Submit manuscript...
MOJ
eISSN: 2379-6162

Surgery

Mini Review Volume 12 Issue 3

Proposal of proximal gastric plication as a simple technique to prevent gastroesophageal reflux disease after sleeve gastrectomy

Alejandro Weber-Sánchez, Pablo Weber Alvarez, Denzil Garteiz-Martinez

Department of Surgery, Hospital Angeles Lomas, México

Correspondence: Alejandro Weber Sánchez, Department of Surgery, Hospital Angeles Lomas, Huixquilucan, México

Received: October 15, 2024 | Published: October 31, 2024

Citation: Weber-Sánchez A, Weber-Alvarez P, Garteiz-Martinez D. Proposal of proximal gastric plication as a simple technique to prevent gastroesophageal reflux disease after sleeve gastrectomy. MOJ Surgery. 2024;12(3):109-111. DOI: 10.15406/mojs.2024.12.00274

Download PDF

Abstract

Proximal gastric plication is a simple technique that has been employed by the authors to treat gastroesophageal reflux disease (GERD) in patients who have developed symptoms after being subject to sleeve gastrectomy (SG). Because of the favorable results observed in these cases, it is now proposed that this procedure be performed initially, in all patients who undergo sleeve gastrectomy, to avoid de novo GERD. The technique is described in this article.

Keywords: proximal gastric plication, gastroesophageal reflux disease (gerd), bariatric surgery, sleeve gastrectomy (sg)

Introduction

Contemporary data shows that sleeve gastrectomy (SG) is the most preferred and performed bariatric procedure worldwide because of its effectiveness, low mortality, and reduced side effects when compared to gastric bypass. Nonetheless, de novo or worsening gastroesophageal reflux disease (GERD) is a concern as a possible secondary effect of the procedure. Due to the heterogeneity among studies and controversial results of esophageal function tests, the exact effect of laparoscopic SG on the prevalence of GERD remains unanswered.1,2 Some operative techniques have been suggested to avoid this problem, and other treatment strategies have been designed to manage postoperative GERD. During the past decade, the authors have proposed proximal gastric plication as a simple technique to create an internal valve to treat GERD in patients with previous bariatric surgery and have had good results.3 This report aims to make the proposal that de novo GERD may be prevented by performing the proximal gastric plication in patients who undergo SG for the first time.

Material and methods (Technique description)

Two 12mm trocars are used: one through the umbilicus, and the other over the left midclavicular line for the stapler. Three additional 5mm trocars are then placed, one subxiphoid for the liver retraction with a grasper, another subcostal over the left anterior axillary line, and the last one over the left mid-axillary line for retraction and the 5mm 30º laparoscope changing it between these two trocars as necessary. All patients diagnosed with, or found during surgery to have a hiatal hernia, are first subject to its repair by dissecting the hiatal crura and closing the defect with two or three sutures (Ethibond 2-0, Ethicon J&J®) on the posterior aspect, and when necessary with one or two more sutures on the anterior hiatus.

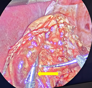
The SG is then performed by dividing the gastroepiploic omentum from the greater curvature with an ultrasonic scalpel (Sonicision TM Medtronic) starting 6cm from the pyloric vein to the angle of His, until the left crura of the hiatus was observed. The gastro-splenic and gastro-phrenic ligaments are also divided. The fat pad that covers the His angle is excised with the same instrument. A 36Fr bougie is passed to the stomach to construct the gastric tube using five or six cartridges of the Endo GIA 60 tristaple (CovidienTM) to divide the greater curvature. The proximal gastric plication is then performed to create an internal antireflux valve in the upper 3cm on the lateral side of the gastric tube by using a grasper to invaginate 2cm of the gastric wall of the stomach with sero-muscular stitches of a running suture of 2-0, 45cm spiral Monocryl (Stratafix Ethicon ®), and then continue the suture to reinforce the rest of the staple line (Figure 1-3). This invagination reduces the gastric bulb that is frequently observed at the proximal staple line and serves to decrease the gastric lumen at this point; serving as an internal anti-reflux valve.

Figure 1 Start of the running suture with 2-0 spiral Monocryl

Figure 2 Grasper invaginating 2cm of the upper stapled side of the stomach tube wall to create the antireflux valve with proximal gastric plication.

Figure 3 Running suture with 2-0 sero-muscular inverted Stitches to reinforce the rest of the stapled line.

Finally, the new greater curvature is fixed again to the greater omentum with five or six stitches with 2-0 Polyglactin 910 (Vicryl Ethicon ®), and a 10mm drain is left in place (Biovac Biometrics ®) and exteriorized through the incision of the left mid-axillary line after the extraction of the excised stomach through the extended umbilical incision.

Discussion

Sleeve gastrectomy is the most frequently performed bariatric procedure today because it is efficient and safe.4,5 However, a common long-term complication reported is the increased rate of gastroesophageal reflux disease.6–9 The actual prevalence of GERD after SG is not known and has been informed with a wide range of variability. On the other hand, some studies have shown improvement in GERD after SG.10–14 According to the American Gastroenterological Association clinical practice update on the personalized approach to the evaluation and management of GERD, a plan for the investigation of GERD symptoms must be personalized. Obese patients are not the exception.15 The American Society for Metabolic and Bariatric Surgery considers erosive reflux esophagitis as a relative contraindication for SG.16

Therefore, a preoperative diagnostic work-up should be done in obese patients when designing a surgical bariatric strategy.17 If severe GERD or Barret’s disease is detected, probably Roux-Y gastric bypass should be preferred as the first choice. Different anatomical and pathophysiological mechanisms have been proposed for the development of GERD after SG. Disruption of the oblique fibers of the gastroesophageal sphincter due to stapling too close to the angle of His decreasing lower esophageal sphincter pressure, a dilated upper sleeve, a narrow distal sleeve gastrectomy that increases the intragastric pressure, or the development of gastric emptying or esophageal motility disorders, among others.18–20 Concomitant hiatal hernia should be corrected to preserve the intra-abdominal length of the esophagus and to prevent migration of the gastric tube to the mediastinum.21

Varied approaches have been suggested to deal with GERD after SG, since conservative measures, endoscopic interventions, endoluminal stents, balloon dilations, endoscopic radiofrequency (Stretta), antireflux mucosectomy, or surgical management. But none have shown consistent results.6 Also, to prevent de novo GERD, surgical approaches such as SG plus fundoplication and other changes in surgical technique have been described but adding an anti-reflux procedure when performing SG is a controversial subject, and the procedure has remarkable complications such as gastric perforation.22,23

We have had clinically good results with the proximal gastric plication procedures we performed over the years to correct GERD in patients with different bariatric procedures including SG.3 The internal anti-reflux valve can be seen clearly in the X-ray and endoscopic studies we have performed after the surgery and has been found to persist in patients operated on more than five years after the original procedure (Figure 4).

Figure 4 A detailed photo of the internal anti-reflux gastric valve constructed with the proximal gastric plication.

Since this proposal is for all patients who undergo sleeve gastrectomy, no special preoperative studies are required other than those done routinely. Obviously, if a patient has GERD before surgery it is important to perform endoscopy, manometry, or pHmetry in selected cases and in accordance to their reflux symptoms to select the best surgical approach. But because of their risk of developing reflux after SG, we suggest that these patients without GERD undergo the proximal gastric plication, and if they have hiatal hernia it should be corrected. Long-term prospective randomized studies that compare patients with and without gastric plication could give us a better insight of the benefits of this procedure.

Conclusion

Although further studies are required to evaluate the long-term results, our experience suggests that proximal gastric plication is a promising procedure to reduce the incidence of postoperative GERD in sleeve gastrectomy patients.

Acknowledgments

None.

Conflicts of interest

The authors declare that there are no conflicts of interest.

References

  1. Oor JE, Roks DJ, Ünlü Ç, et al. Laparoscopic sleeve gastrectomy and gastroesophageal reflux disease: a systematic review and meta-analysis. Am J Surg. 2016;211(1):250–267.
  2. Laffin M, Chau J, Gill RS, et al. Sleeve gastrectomy and gastroesophageal reflux disease. J Obes. 2013;2013:741097.
  3. Weber-Sánchez A, Weber-Alvarez P, Garteiz-Martinez D. Proximal gastric plication to treat gastroesophageal reflux in patients with previous bariatric surgery. EC Gastroenterology and Digestive System. 2021;8.3(2021):116–123.
  4. Puzziferri N, Almandoz JP. Sleeve gastrectomy for weight loss. JAMA. 2018;319:316.
  5. Brajcich BC, Hungness ES. Sleeve gastrectomy. JAMA. 2020;324:908.
  6. Tian P, Fu J, Liu Y, et al. Current status of gastroesophageal reflux disease after sleeve gastrectomy: Still a long way to go. Biosci Trends. 2021;15(5):305–312.
  7. van Rutte PW, Smulders JF, de Zoete JP, et al. Outcome of sleeve gastrectomy as a primary bariatric procedure. Br J Surg. 2014;101(6):661–668.
  8. Dalboh A, Al-Shehri DM, Abd El Maksoud WM, et al. Impact of laparoscopic sleeve gastrectomy on gastroesophageal reflux disease and risk factors associated with its occurrence based upon quality of life. Obes Surg. 2021;31(7):3065–3074.
  9. Yeung KTD, Penney N, Ashrafian L, et al. Does sleeve gastrectomy expose the distal esophagus to severe reflux?: a systematic review and meta-analysis. Ann Surg. 2020;271(2):257–265.
  10. Moon RC, Teixeira AF, Jawad MA. Is preoperative manometry necessary for evaluating reflux symptoms in sleeve gastrectomy patients. Surg Obes Relat Dis. 2015;11:546–551.
  11. Alvarenga ES, Lo Menzo E, Szomstein S, et al. Safety and efficacy of 1020 consecutive laparoscopic sleeve gastrectomies performed as a primary treatment modality for morbid obesity. A single-center experience from the metabolic and bariatric surgical accreditation quality and improvement program. Surg Endosc. 2016;30(7):2673–2678.
  12. Gärtner D, Stroh C, Hukauf M, et al. Sleeve gastrectomy in the german bariatric surgery registry from 2005 to 2016: perioperative and 5-year results. Surg Obes Relat Dis. 2019;15(2):187–193.
  13. Gorodner V, Buxhoeveden R, Clemente G, et al. Does laparoscopic sleeve gastrectomy have any influence on gastroesophageal reflux disease? Preliminary results. Surg Endosc. 2015;29(7):1760–1768.
  14. Felsenreich DM, Prager G, Kefurt R, et al. Quality of life 10 years after sleeve gastrectomy: A multicenter study. Obes Facts. 2019;12(2):157–166.
  15. Yadlapati R, Gyawali CP, Pandolfino JE, et al. AGA Clinical practice update on the personalized approach to the evaluation and management of gerd: expert review. Clin Gastroenterol Hepatol. 2022;20(5):984–994.e1.
  16. English WJ, DeMaria EJ, Brethauer SA, et al. American Society for Metabolic and Bariatric Surgery estimation of metabolic and bariatric procedures performed in the United States in 2016. Surg Obes Relat Dis. 2018;14(3):259–263.
  17. Stenard F, Iannelli A. Laparoscopic sleeve gastrectomy and gastroesophageal reflux. World J Gastroenterol. 2015;21(36):10348–10357.
  18. Keidar A, Appelbaum L, Schweiger C, et al. Dilated upper sleeve can be associated with severe postoperative gastroesophageal dysmotility and reflux. Obes Surg. 2010;20:140–147.
  19. Del Genio G, Tolone S, Limongelli P, et al. Sleeve gastrectomy and development of "de novo" gastroesophageal reflux. Obes Surg. 2014;24(1):71–77.
  20. Lazoura O, Zacharoulis D, Triantafyllidis G, et al. Symptoms of gastroesophageal reflux following laparoscopic sleeve gastrectomy are related to the final shape of the sleeve as depicted by radiology. Obes Surg. 2011;21(3):295–299.
  21. Melissas J, Braghetto I, Molina JC, et al. Gastroesophageal reflux disease and sleeve gastrectomy. Obes Surg. 2015;25(12):2430–2435.
  22. Castagneto-Gissey L, Russo MF, D'Andrea V, et al. Efficacy of sleeve gastrectomy with concomitant hiatal hernia repair versus sleeve-fundoplication on gastroesophageal reflux disease resolution: systematic review and meta-analysis. J Clin Med. 2023;12(9):3323.
  23. Daes J, Jimenez ME, Said N, et al. Laparoscopic sleeve gastrectomy: symptoms of gastroesophageal reflux can be reduced by changes in surgical technique. Obes Surg. 2012;22:1874–1879.
Creative Commons Attribution License

©2024 Weber-Sánchez, et al. This is an open access article distributed under the terms of the, which permits unrestricted use, distribution, and build upon your work non-commercially.