Submit manuscript...
MOJ
eISSN: 2379-6162

Surgery

Clinical Report Volume 11 Issue 2

Retrograde pulmonary embolectomy performed without aortic cross-clamping and closed left-sided heart chambers

Ivayla Zheleva,1 Ass Prof Dimitar Kyuchukov2

1Department of Cardiology, Acibadem City Clinic UMBAL Tokuda, Bulgaria
2Department of Cardiac Surgery, National Heart Hospital MBAL, Bulgaria

Correspondence: Ivayla Zheleva, MD, Ph.D.; Department of Cardiology, Acibadem City Clinic UMBAL Tokuda, Sofia, Bulgaria

Received: May 12, 2023 | Published: May 25, 2023

Citation: Zheleva I, Kyuchukov A. Retrograde pulmonary embolectomy performed without aortic cross-clamping and closed left-sided heart chambers. MOJ Surg. 2023;11(2):71-74. DOI: 10.15406/mojs.2023.11.00226

Download PDF

Abstract

Despite recent diagnostic and surgical management advances in massive pulmonary embolism (PE) treatment, the prognosis of patients is still unfavorable. The current surgical technique is direct antegrade embolectomy using cardiopulmonary bypass and beating heart, without cardioplegic arrest and hypothermia. A significant disadvantage of this approach is the inability to evacuate distally located thrombotic substances. Several authors offer a solution to these problems by applying retrograde pulmonary perfusion or retrograde pulmonary embolectomy. In 2017 Hussain provided a simplified method for performing retrograde perfusion without left atriotomy. In 2019, we served emergency procedures similar to Hussain’s in two patients with massive PE. As an adjunct, we did them on normothermia beating heart and without aortic clamping.

Keywords: surgical pulmonary embolectomy, retrograde pulmonary perfusion, beating heart

Introduction

The current treatment of acute pulmonary embolism (PE) is mainly a subject of intensive care and interventional cardiology departments, where basic emergency therapies are applied - systemic thrombolysis or various catheter-based methods.1 Surgical pulmonary embolectomy remains the main therapeutic option in massive embolism complicated with severely compromised hemodynamics and failure of or contraindications for fibrinolytic therapy.1,2 Despite advances in diagnostic and surgical management, patients with acute PE have a poor prognosis, with a mortality rate exceeding 60% for those with cardiac arrest.3 Aggravating factors for these unfavorable outcomes are the degree of right ventricular failure and the rapidity of its deterioration.4 Further symptoms of cardiogenic shock and respiratory failure also worsen the prognosis. The current surgical technique is direct antegrade embolectomy under cardiopulmonary bypass (CPB), beating heart, without cardioplegic arrest and hypothermia. A significant disadvantage of this approach is the inability to evacuate distally located residual thrombotic clots,5 which decreases the benefits of surgery and increases perioperative risk. A Fogarty thrombectomy catheter and other distal intravascular manipulations are optional but poorly effective and even dangerous. They can induce pulmonary arterial wall injury with subsequent intraparenchymal hemorrhage or hematoma.6 Few authors have proposed a solution for residual thrombosis by applying retrograde perfusion or retrograde embolectomy.7,8 In 2017, Hussain presented a simplified method for performing retrograde perfusion without left atriotomy.9 In 2019, we performed two emergency procedures similar to that described by Hussain in patients with acute massive PE. As an adjunct, we did them on normothermia beating heart without aortic cross-clamping.

Case 1

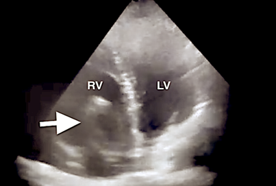
A 79-year-old man was admitted to St.Ekatherina UH with syncope and signs of progressive right ventricular dysfunction and respiratory failure. He had no comorbidities, only a history of lower leg trauma complicated by a subcutaneous infection a month ago. His vital signs were: saturation - 91%, tachypnea – 35 insp/min, tachycardia 150 b/min, and hypotension - 90/50mmHg. Transthoracic echocardiography revealed right ventricle dilatation with decreased systolic function and huge thrombotic mass free-floating in the right atrium, protruding through the tricuspid valve into the right ventricle in diastole (Figure 1).

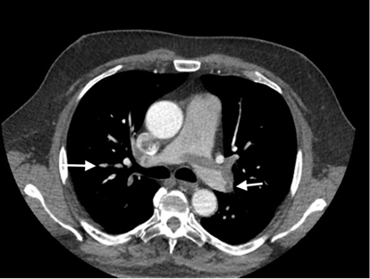
The Computed tomography (CT) pulmoangiography demonstrated a massive thrombus at the pulmonary trunk bifurcation with extension to the right lung arteries, which were almost completely blocked (Figure 2). Considering unstable hemodynamics and massive mobile thrombus in the right chambers, we proceeded with surgical thrombectomy.

Figure 1 Transthoracic echocardiography showing a mobile thrombus (white arrow) protruding to the right ventricle in diastole-apical view. LV- left ventricle; RV – right ventricle.

Figure 2 Computed tomography showing proximal pulmonary emboli in the right pulmonary branch (white arrows).

Case 2

A 76-year-old male with prior systemic hypertension, obesity class III, COPD, and NIDDM presented to the emergency department with acute complaints of worsening dyspnea with cyanosis, tachyarrhythmia - 160 b/min, hypotension - 80 / 60mmHg, D-dimer value -1800 ng/ml. He had undergone an endoscopic cholecystectomy a week before. CT pulmoangiography demonstrated dilated pulmonary trunk with a saddle pulmonary embolism, extending into the left and right pulmonary arteries as in the distal branches (Figure 3). Hemodynamic instability and recent cholecystectomy led us to decide on emergency surgical embolectomy.

Figure 3 CT pulmoangiography - saddle pulmonary thrombosis, proximal and distal pulmonary emboli (white arrows).

Surgical technique

We performed a similar surgical intervention on both patients. After systemic anticoagulation and median sternotomy, normothermic CPB  was established with selective bicaval cannulations. Immediately after reaching the required flow rate, tourniquets around venae cavae were tightened, and a standard right atriotomy with right cavities inspections was performed. In the first patient, free thrombotic masses were found and removed. After exposure of the pulmonary artery, a longitudinal incision was made on the pulmonary trunk, 2 cm distally to the pulmonary valve, with an extension to the left PA branch. Then we carefully shifted the aorta to the left, the superior vena cava to the right, and made a longitudinal arteriotomy of the right branch of the pulmonary artery about 2-3 cm long. In contrast to the standard antegrade thrombectomy in our version of the operation, we did not immediately extract the existing thrombotic material during arteriotomies. The next step included preparations for the retrograde perfusion and its performance. Two lungs were perfused separately and sequentially, starting with the right and then the left. Before that, the right and left pulmonary vein cuffs were snared with a tourniquet for radiofrequency ablation of the pulmonary veins. A 14F cannula for retrograde cardioplegia (LivaNova RCS-11314 Cardioplegia Cannulae, Retrograde, Self-Inflating PVC Balloon) was inserted into the upper right pulmonary vein through a purse-string 3-0 polypropylene suture on which we had previously rind the balloon (Figure 4).

Figure 4 A 14F cannula for retrograde cardioplegia with previously rind balloon.

With a tangential vascular clamp of appropriate size, we clamped the cuff from the left atrium so that the cannula remained between the clamp and the ostium of the pulmonary veins, as described by Hussain. We started infusing warm blood through the cannula at an initial 250 ml/min rate. The velocity was increased to a pressure of 30-45 mmHg, measured through the retrograde cannula pressure line. This was achieved at about 400 ml/min in our two cases. We maintained the retrograde perfusion in these parameters for 4 min. Cardiotomy suction cannulas were placed in the right atrium and pulmonary artery to provide sufficient visibility to the hilus and branches of the right pulmonary artery. After approximately 1 min, distally located thrombotic particles began to flow retrograde and were easily evacuated through the arteriotomy. At this point, we established a drop in retrograde perfusion pressure of about 10mmHg. With minimal manipulation of the forceps in the lumen of the right pulmonary artery, the operator extirpated all available blood clots, taking care not to damage their integrity. Anesthesiologist inflated the lung once every minute during retrograde pulmonary perfusion to facilitate residual flushing clots and air in distal vessels. After four minutes, the clamp and cannula were removed, and the purse-string suture was secured. The same maneuvers were repeated on the left side with the difference that the assistant had carefully displaced the beating heart to the right during the cannulation and placement of the clamp. It is easier while working on the left to insert the cannula through the inferior left pulmonary vein. After clamping the left atrium, the heart returned to normal position, and retrograde perfusion of the left lung started. Left-sided thrombotic clots were evacuated through a pulmonary trunk arteriotomy (Figure 5). The atrium was decamped and decannulated at the end of the four minutes. After that operation was completed in a standard manner. Heparin was reversed with half of the calculated dose of Protamine Sulfate. In intensive care, the Heparin infusion started from the third hour and remained at therapeutic levels until the fifth postoperative day, when we switched to acenocoumarol.  The CPB time in the first case was 58 minutes, and the second was 73 minutes.

Figure 5 Surgical specimen of removed emboli A. first case B. second case.

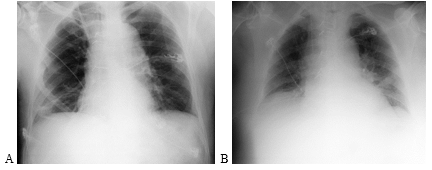
At the intensive care unit, patients were extubated approximately 8 hours after the operation with normal arterial blood gas tests and chest X-ray exams (figure 6 A, B). Catecholamine infusion was discontinued at the 36th hour, and patients were discharged on the 9th postoperative day.  Three years later, our patients are alive and in good condition, without embolism recurrence and with normal pulmonary artery pressure. Six months after operations, acenocoumarol was replaced with NOAC.

Figure 6 Postoperative chest X-ray after extubation showed normal findings. A. Case 1; B. Case 2.

Discussion

We strongly recommend that any acute pulmonary embolectomy is feasible to be performed without aortic cross-clamping and on a beating heart, primarily to avoid right ventricular ischemia. The addition of retrograde pulmonary flush (perfusion) allows sufficient and safe removal of peripherally dispersed residual emboli without risk of intraparenchymal hematoma or hemorrhage.10 In addition, it optimizes the elimination of air bubbles in the pulmonary vascular bed. It minimizes the harmful effects of air emboli stuck in the distal arterial branches accompanying any antegrade embolectomy.11,12

The main risks when performing retrograde perfusion (flushing) are:

  1. Risk of pulmonary edema. It is controlled by limiting the 40-50 mmHg range perfusion pressure.9 Therefore, continuous measurement and control of pulmonary vein pressure during retrograde perfusion is mandatory. Using a manually modified cannula for retrograde cardioplegia is a good solution because it has an atraumatic tip, a malleable guide, and a pressure measuring line and allows infusion at speeds of up to 600 ml/min. The balloon is removed, as shown in Figure 4.
  2. Risk of distension of the left heart cavities. The technique proposed by Hussain eliminates this risk because there is a clamp between the cannula and the left atrium cavity that does not allow the pressure to increase. In our version, additional security is achieved due to the beating heart condition, which excludes the development of distension. Additionally, surgery on the beating heart normothermic CPB eliminates the risks associated with hypothermia.
  3. Risk of air embolism in the systemic circulation. Incidentally, cannulation of the pulmonary veins of the beating heart carries some risk of air embolism. However, CO2 insufflation in the pericardium, “underwater” cannulation, or cannulation after clamping can adequately control this risk. Therefore, it is mandatory that before starting the reduction of CPB, thorough deaeration of the heart cavities must be performed.

Conclusion

The technique we described is based on the positive experience shared by Hussain and our experience gained with radiofrequency ablation for treating atrial fibrillation and retrograde pulmonary perfusion used for donor lung procurement. The technique is easy to implement and safe, and feasible to reproduce. Eliminates the adverse effects of possible aortic clamping and allows adequate expulsion of distally located thrombotic substances without risk of damage to vascular endothelium or lung parenchyma.

Acknowledgments

None.

Conflicts of interest

The authors declare no conflict of interest.

References

  1. Konstantinides SV, Meyer G, Becattini C, et al. 2019 ESC Guidelines for the diagnosis and management of acute pulmonary embolism developed in collaboration with the European Respiratory Society (ERS): The Task Force for the diagnosis and management of acute pulmonary embolism of the European Society of Cardiology (ESC). Eur Respir J. 2020;41(4):543–603.
  2. Leacche M, Unic D, Goldhaber SZ, et al. Modern surgical treatment  of massive pulmonary embolism: Results in 47 consecutive patients after rapid diagnosis and aggressive surgical approach. J Thorac Cardiovasc Surg. 2005;129(5):1018–1023.
  3. Samoukovic G, Malas T, deVarennes B. The role of pulmonary embolectomy in the treatment of acute pulmonary embolism: a literature review from 1968 to 2008. InteractCardiovasc Thorac Surg. 2010;11(3):265–270.
  4. Keeling WB, Sundt T, Leacche M, et al. Outcomes After Surgical Pulmonary Embolectomy for Acute Pulmonary Embolus: A Multi-Institutional Study. Ann Thorac Surg. 2016;102(5):1498–1502.
  5. Okada M, Watanuki H, Sugiyama K, et al. Potential benefit of non-cardiac arrested thromboembolectomy of acute pulmonary embolism for the impaired right   ventricular function. Gen Thorac Cardiovasc Surg. 2020;68(5):499–502.   
  6. Meneveau N, Ider O, Seronde MF, et al. Long-term prognostic value of residual pulmonary vascular obstruction at discharge in patients with intermediate- to high-risk pulmonary embolism. Eur Heart J. 2013;34(9):693–701.
  7. Zarrabi K, Zolghadrasli A, Ostovan MA, et al. Short-term results of retrograde pulmonary embolectomy in massive and submassive pulmonary embolism: a single-centerstudy of 30   patients. Eur J Cardiothorac Surg. 2011;40(4):890–893.   
  8. Spagnolo S, Barbato L, Grasso MA, et al. Retrograde pulmonary perfusion as anadjunct to standard pulmonary embolectomy for acute pulmonary embolism. Multimed Man Cardiothorac Surg. 2014;2014:mmu019.   
  9. Hussain ST, Bartholomew JR, Leacche M, et al. Retrograde Pulmonary Embolectomy for Acute Pulmonary Embolism: A Simplified Technique. Ann Thorac Surg. 2017;103(5):e473–e474.
  10.  Shimokawa S, Uehara K, Toyohira H, et al. Massive endobronchial hemorrhage after pulmonary embolectomy. Ann Thorac Surg. 1996;61(4):1241–1242.
  11. Albertine KH, Wiener-Kronish JP, Koike K, et al. Quantification of damage by air emboli to lung microvessels in anesthetized sheep. J Appl Physiol Respir Environ Exerc Physiol. 1984;57(5):1360–1368.
  12. Kapoor T, Gutierrez G. Air embolism as a cause of the systemic inflammatory response syndrome: a case report. Crit Care. 2003;7(5):R98–R100.
Creative Commons Attribution License

©2023 Zheleva, et al. This is an open access article distributed under the terms of the, which permits unrestricted use, distribution, and build upon your work non-commercially.