Submit manuscript...
MOJ
eISSN: 2379-6162

Surgery

Case Report Volume 5 Issue 1

Subacute pediatric de novo- transverse colonic volvulus: a rare cause of bowel obstruction case report

Ulises Garza Serna

TEC de Monterrey, Mexico

Correspondence: Ulises Garza Serna, Batallón de San Patricio 112 Col, Real de San Agustin San Pedro Garza Garcia NL, 66278, Mexico, Tel 409-256-842-0

Received: June 27, 2017 | Published: October 12, 2017

Citation: Serna UG. Subacute pediatric de novo- transverse colonic volvulus: a rare cause of bowel obstruction case report. MOJ Surg. 2017;5(1):152-153. DOI: 10.15406/mojs.2017.05.00097

Download PDF

Abstract

Introduction: Colonic volvulus represents 3-5% of all cases of bowel obstruction in adults, being the sigmoid colon the most common site and the transverse colonic volvulus the less common site. In the pediatric population, colonic volvulus is rare enough to not know it’s true incidence.

Presentation of case: We present the case of a 16 year-old female with a history of chronic constipation and abdominal bloating that came to the emergency department with acute abdominal pain. Physical examination showed abdominal distension and pain in left mid-abdomen. A CT scan confirmed the presence of a transverse colonic volvulus. The patient was surgically intervened and a transverse colonic resection was done in a two-step procedure with an initially failed simple detorsion. A one-year follow up has been uneventful.

Discussion: Because of the rare presentation of transverse volvulus in children, a consensus of the management of this entity has not been established. The surgical approach is based on the clinical scenario, the bowel’s viability and the available resources.

Conclusion: It seems that the most appropriate management is bowel resection with primary anastomosis when possible.

Introduction

Bowel obstruction due to colonic volvulus in adults represents 3-5% of all cases.1 The most common site of colonic volvulus in adults is the sigmoid colon and transverse colonic volvulus represents less than 4% of all with a mortality of a 35%.1–4 In children, the transverse colonic volvulus is rare, with an unknown incidence.1,5 Less than 30 cases of pediatric transverse volvulus have been reported in the literature. Based on the SCARE guidelines6 and in the PROCESS criteria7 we present the rare case of a 16-year old female diagnosed with a transverse colon volvulus managed with a two-step procedure.

Case report

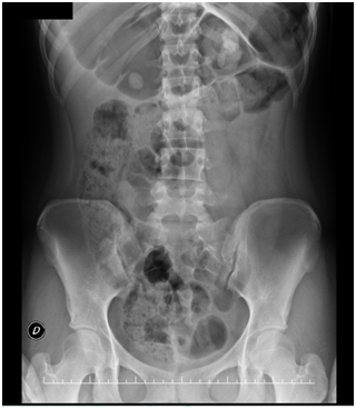
A 16 year-old girl complaining of chronic constipation and abdominal bloating since early childhood presented in the emergency department with a 36-hours of abdominal pain. The plain abdominal radiograph showed dilated small and large bowel (Figure 1). A simple abdominal CT scan revealed a dilated transverse colon (14.2 cm) and a whirl sign (Figure 2). A diagnosis of a transverse colonic volvulus was done and the patient was scheduled for a surgical intervention. A laparoscopic approach was done and a transverse colonic volvulus was detorsed. The patient had an uneventful recovery and was discharged home. During her follow up, chronic constipation and abdominal bloating continued to be occasionally present, with no improvement with dietary changes and conservative measures. A follow up CT scan confirmed the presence of a dilated transverse colon. We then decided to perform an open transverse colonic resection with a primary anastomosis (Figure 3). She was discharged home on the fifth postoperative day. One-year follow up has shown no recurrence of symptoms.

Figure 1 AXR with transverse colonic dilatation.
Figure 2 CT Transverse colon dilatation and a whirl sign.
Figure 3 Ditorsion and resection of transverse colonic segment.

Discussion

In children, colonic volvulus is a rare cause of bowel obstruction.1,5 In a single-institution report of 11cases of colonic volvulus over 15years, one case involved the transverse colon and another one involved both the cecum and the transverse colon.5 Diagnosis is challenging due to unspecific symptoms and signs, being the abdominal pain and distension the most common.4 Risk factors associated with a transverse colonic volvulus include: a narrow base of fixation, a distal colonic obstruction and abnormalities in the intestinal muscular activity.8 In children, a lengthy transverse colon, dismotility disorders and chronic constipation, mental retardation and lax of fixation have all been described; in the present case, the patient was found to have the Treitz ligament in its usual position and a right lower quadrant fixed cecum, excluding malrotation as a potential cause; we do believe that it was a result of the altered motility, lengthy transverse colon, and the narrowed transverse colonic mesenteric base that lead to the patient’s condition.1 Two forms of presentation have been reported: an acute fulminating presentation in which the patients typically complained of a sudden onset of severe abdominal pain, with rebound tenderness, vomiting, little distension, and rapid clinical deterioration, and the sub acute progressive presentation, associated with massive abdominal distension in the setting of mild abdominal pain without rebound tenderness and little or no nausea nor vomiting.9 Our patient presented with a sub acute progressive scenario.

Management of a transverse colonic volvulus includes endoscopic decompression with a high recurrence rate of 66%4 and a mortality rate of 33%.1–4 Surgical options described for transverse colon volvulus include, detorsion plus colopexy, resection and primary anastomosis, resection and stoma creation, or detorsion followed by elective transverse resection.10 However, there is no consensus of which is the best management option for these patients. Based on our operative findings and a viable bowel without ischemic changes, we decided to do a simple detorsion and avoid the surgical resection; the short-term follow up was uneventful and conservative measures such as dietary changes and management by a gastroenterologist seem to be helpful, but symptoms recurred after a period of 4 months with abdominal bloating and distension. A follow up CT scan was essential to determine the need of a surgical resection that showed persistent dilatation of the transverse colonic segment. Because of persistent symptomatology we decided to perform a transverse colonic resection with a primary anastomosis, since the bowel was healthy and this type of surgical management has shown to decrease recurrences.1 The patient has had a one-year follow up uneventful.

Conclusion

Transverse colonic volvulus is a rare presentation of bowel obstruction in children; a high suspicion index is required. Associated conditions predisposing to this pathology include a narrow mesentery, motility disorders, absent fixation, persistent constipation and an elongated transverse colon, however further studies are required to explain the etiology of transverse volvulus in children without associated malrotation. There is no general consensus about the management of these patients and the decision must be based on the patient’s hemodynamic stability and the bowel circulatory compromise, which will determine initial resection versus detorsion. It seems that resection is the most appropriate management option to prevent recurrence of symptoms on a viable bowel, and potentially a recurrence of a transverse colonic volvulus. More data is needed to conclude which is the best management option for these patients.

Consent

Written informed consent was obtained from the patient for publication of this case report and accompanying images. A copy of the written consent is available for review by the Editor-in-Chief of this journal on request.

Acknowledgements

None.

Conflict of interest

The author declares no conflict of interest.

References

Creative Commons Attribution License

©2017 Serna. This is an open access article distributed under the terms of the, which permits unrestricted use, distribution, and build upon your work non-commercially.