Submit manuscript...
MOJ
eISSN: 2379-6162

Surgery

Case Report Volume 8 Issue 2

Subcutaneous emphysema after tonsillectomy: a case report and literature review

Alzahrani Rajab A

Department of Surgery, Albaha University, Saudi Arabia

Correspondence: Alzahrani Rajab A, MD, Assistant Professor, Division of Otolaryngology, Department of Surgery, Faculty of Medicine, Albaha University, Saudi Arabia, Tel 966509766298

Received: April 16, 2020 | Published: May 6, 2020

Citation: Alzahrani RA. Subcutaneous emphysema after tonsillectomy: a case report and literature review.MedCrave Online J Surg. 2020;8(2):27-30. DOI: 10.15406/mojs.2020.08.00166

Download PDF

Abstract

Tonsillectomy is one of the most commonly performed surgical procedures among patients in the Otolaryngology Department for different indications. Although it is a relatively safe surgical procedure, tonsillectomy may be accompanied by rare complications, such as surgical emphysema, which is considered a fatal complication if incorrectly managed or misdiagnosed. We report a case of surgical emphysema following a routine tonsillectomy, as well as conduct a retrospective review of every such case published in English between January (1, 2000 to March 30, 2020). The aim of this case report was to report the pathogenesis, clinical presentation, treatment and management outcomes of patients with surgical emphysema after tonsillectomy.

Keywords: tonsillectomy, complications, surgical emphysema, patients, tracheostomy

Introduction

Tonsillectomy is among the most frequently applied operations in patients who visited the Otolaryngology Department. Although tonsillectomy can potentially often involve complications such as nausea, vomiting, throat infection, odynophagia, otalgia, damage to teeth and hemorrhage, it is a comparatively safe operation.1 Unusual complications can also occur;2 for example, surgical emphysema, which is regarded as a life-threatening complication in certain cases. However, most cases followed a benign course and were managed with conservative treatment. Herein, we report a case of surgical emphysema following routine tonsillectomy. The aim of this review is to report the clinical presentation, pathogenesis and management outcomes of patients who developed post-tonsillectomy emphysema.

Materials and methods

Case report

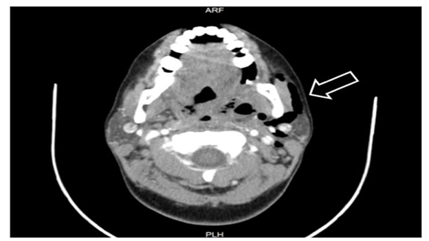
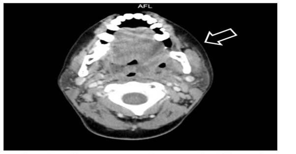
Our ENT clinic at Saudi German Hospital received a patient who had endured a record number of acute tonsillitis attacks. We examined this 40-year-old female and found red swollen tonsils. The diagnosis confirmed that she was suffering from chronic tonsillitis. Preoperative examinations including laboratory investigations and electrocardiography were normal; therefore, the patient was admitted and a tonsillectomy was performed under general anesthesia, which was induced by protocol and maintained by sevoflurane. Monopolar electrocautery dissection was used to remove the tonsils and hemostasis was attained through bipolar cautery. The operation was uneventful, and the patient recovered promptly from anesthesia, without vigorous coughing or violent neck movement; however, she began to complain of left painful submandibular swelling six hours following the operation. A marked crepitus was detected and a visible pulsation was seen on oral examination; this conformed surgical emphysema, which extended from the mandibular angle to the left side of the upper area of the neck. The patient was regularly monitored and her condition was found to be good, with minimal signs of airway compromise in the first 24 hours which then improved gradually. Computed tomography angiography of the neck was performed (Figure 1) and a small collection of serous fluid was discovered on the left operative bed, as well as marked surgical emphysema on the left side of the neck that reached superiorly to the skull base level and inferiorly to the upper mediastinum. The chest radiograph results were normal without any indication of pneumomediastinum or pneumothorax. Immediately subsequent to this diagnosis, a pressure dressing, high flow oxygen and further intravenous antibiotics were administered to the patient including Augmentin and Flagyl, steroid was not given. The patient showed significant improvement and exhibited a noticeable reduction in swelling after four days. Furthermore, to assess the pharyngeal wall, a gastrografin swallow was performed, which showed no fistulous tracts or contrast leakage. A follow-up computed tomography of the neck (Figure 2) indicated a significant reduction in the volumes of the previously observed fluid and air locules. The patient was monitored at the hospital for an additional four days, and then discharged in a generally good condition.

Figure 1 Computed tomography of the neck reveals subcutaneous emphysema. The arrow indicates the presence of air in the left side of the neck.

Figure 2 Follow-up computed tomography of the neck shows reduction of the previously observed air.

Literature review and data extraction

The MEDLINE database was searched from January 1, 2000 to March 30, 2020 using the key words “emphysema”, “tonsillectomy” and “adenotonsillectomy”. The search strategy aimed to identify all reported cases of emphysema following tonsillectomy published in English. The search identified 34 articles for review, which were sequentially reduced to 26 (Figure 3). Specifically, information regarding age, sex, surgical technique, time of onset and treatment course was gathered.

Figure 3 Literature review flow diagram.

Results

Over the past 18 years, 26 cases of post-tonsillectomy surgical emphysema were identified and summarized (Table 1). An additional case from our institution was included, bringing the total number of reported cases to 27. Thirteen of these cases were males and 14 were females, with an average age of 30.5 years (range, 3-55 years). Tonsillectomy was performed by the electrodissection method in 12 cases and by the cold dissection method in 10 cases. The surgical technique used in the remaining 4 cases was not documented. Concurrent adenoidectomy was performed on 8 patients.7,11,21,25,28 The indication of surgery was recurrent tonsillitis in 20 patients. One patient had a granular tumor over the right tonsil with a bulging surface on the nasopharynx and was scheduled for a tonsillectomy and nasopharyngeal biopsy.17 Furthermore, one patient was a down syndrome,3 one young patient was shown to have a significant medical history of attention deficit disorder and seizure disorder.25 The time of symptom presentation ranged from prior to extubation to four days following surgery, and 20 patients (the majority) developed symptoms in the 24 hours following surgery. Generally, a physical examination combined with a CT scan and/or X-ray was used for diagnosis. However, in three cases, the diagnosis was verified exclusively by physical examination.14,17,18 Overall, all patients attained total remission after treatment. In most cases, including our case, the subcutaneous emphysema was treated by conventional methods. However, tracheostomy was required in one complicated case in which the emphysema compromised the airway.18

No

Age (y)

Gender

Technique

Indication

Time to SE presentation

Diagnosis

Treatment

Country

Year

Author

1

3

M

bovie electrocautery

RT, OSA

Recovery room (1hour)

Xray

conservative

USA

2020

Jenna H Barenget al3

2

6

M

bipolar diatherm

RT, OSA

4 hours

Xray

conservative

Bangladesh

2019

Naha A et al4

3

3

M

Cold dissection

RT+OSA

Few hours

PE, CT

conservative

Belgium

2019

L De Coninck et al5

4

30

F

Cold dissection

RT

POD#3

PE, CT

Conservative

UK

2019

Kirsten Shoemaker et al6

5

6

M

Cold dissection with bipolar

RT. OSA

I hour

PE, Xray, CT

Conservative

Turkey

2018

Görgülü et al7

6

40

F

Not documented

RT + Peritonsillar abscess

POD#1

PE, Xray

Conservative

UK

2018

Mahmood et al8

7

21

M

Cold dissection with bipolar

RT

POD#3

PE, CT

Conservative

Germany

2017

Saravakos et al9

8

12

F

Harmonic Scalpel

RT

15 hours

PE, Xray, CT

Conservative

UK

2017

Crosbie et al10

9

4

M

Cold dissection with bipolar

RT + OSA

10 minutes

PE, Xray

Conservative

Turkey

2016

Erol et al11

10

30

F

Monopolar electrocautery

RT + Tonsillith

POD#4

PE, Xray, CT

Conservative

US

2015

Tran et al12

11

18

M

Bipolar diathermy

Hypertrophied tonsils + Dysphagia

36 hours

PE, Xray

Conservative

UK

2014

Yelnoorkar et al13

12

29

F

Bipolar scissors

RT

14 hours

PE

Conservative

Finland

2014

Bizaki et al14

13

21

F

Cold dissection with bipolar

Peritonsillar abscess

1 hour

PE, Xray, CT

Conservative

Greece

2013

Koukoutsis et al15

14

36

F

Monopolar electrodissection

RT

POD#1

PE, Xray, CT

Conservative

South Korea

2010

Kim et al16

15

37

M

Not documented

Granular tumour

Immediately

PE

Conservative

Taiwan

2009

Hung et al17

16

31

F

Cold dissection with bipolar

Not documented

Immediately

PE

Tracheostomy

Brazil

2005

Panerari et al18

17

31

M

Bipolar diathermy

RT

6 hours

PE, Xray

Conservative

UK

2005

Patel et al19

18

25

M

Not documented

RT

4 hours

PE, Xray, CT

Conservative

Brazil

2005

Lima et al20

19

7

F

Electrodissection

OSA

20 minutes

PE, Xray

Conservative

Australia

2005

Shine et al21

20

36

M

Cold dissection

RT

POD#4

PE, Xray, CT

Conservative

Canada

2004

Yammine et al22

21

22

F

Electrodissection

RT

Immediately

PE, Xray

Conservative

US

2004

Stewart et al23

22

24

M

Not documented

RT

POD#1

PE, Xray

Conservative

Japan

2004

Watanabe et al24

23

21

F

Monopolar cautery/ ABH

RT

Immediately

PE, CT

Conservative

US

2003

Fechner et al25

24

34

F

Cold dissection with bipolar

RT

5 hours

PE, Xray, CT

Conservative

Italy

2003

Marioni et al26

25

55

F

Not documented

RT

8 hours

PE, Xray, CT

Conservative

Japan

2003

Nishino et al27

26

11

M

Cold dissection

Hypertrophied tonsils

Immediately

PE, Xray

Conservative

Turkey

2001

Miman et al28

Table 1 Summary of all published cases of post tonsillectomy emphysema from 2000–2020
SE, subcutaneous emphysema; RT, recurrent tonsillitis; OSA, obstructive sleep apnea; Y, years; F, female; M, male; POD, post-operative day; PE, physical examination; CT, computed tomography; ABH, argon beam haemostasis

Discussion

The literature review revels that several complications have occurred with tonsillectomy although it is among the most frequently performed procedures by otolaryngologists and is regarded as a comparatively safe operation. Leong et al2 reported several rare complications of this routine procedure. These complications included intraoperative vascular injury, surgical emphysema, mediastinitis, Eagle syndrome, taste disorder, cervical osteomyelitis and atlantoaxial subluxation. In the case of tonsillectomy leading to subcutaneous emphysema, several hypotheses exist as to the pathogenesis of this condition. Mucosal damage to the pharyngolaryngeal wall due to surgical or anesthetic causes is the first of these. This disturbance enables air to travel through the superior constrictor muscle into the masticator and pharyngeal spaces. Consequently, vomiting, straining and coughing, which involve an increase in upper airway pressure, eases the accumulation of air. Consequently, as result of the anatomical connection between the laryngeal and pharyngeal spaces, this air accumulation may move to the mediastinum [descending route].28 Second, when an excessive increase in intrapulmonary pressure causes the marginal alveoli to rupture, there is precipitation of the pneumomediastinum, which then reaches the neck [ascending route].23 The third theory suggests that the release of gas by organisms or neighboring solutions is liberated into an enclosed space, causing emphysema.29 In this review, the majority of the tonsillectomies were performed using electrodissection methods. Weimert et al30 conducted a randomized control trial comparing the removal of the tonsils by the cold dissection method with selective cauterization versus electrocautery dissection. They concluded that an equivalent or better outcome was found for electrodissection tonsillectomy when compared to cold dissection in terms of efficacy and safety. However, negative aspects such as slower healing and greater pain can occur after electrodissection, which might be associated with this rare complication.

The severity of this complication can range from self-limiting emphysema of the neck to extensive emphysema over the chest with or without respiratory difficulties and may also predispose the patient to mediastinitis and necrotizing fasciitis. Furthermore, the main clinical characteristic of subcutaneous emphysema is crepitus, and air can be detected by chest X-ray or CT scans, which were performed in most of the cases reported in this review. The treatment of subcutaneous emphysema varies according to the level of severity; nevertheless, conventional management was applied in the majority of the cases. During such treatment, the airway and the level of emphysema are carefully monitored for a few days and any activity that leads to upper-airway pressure such as straining, vomiting and coughing should be averted. Furthermore, the administration of analgesia together with wide spectrum antibiotics is performed, and when there is apparent mucosal disruption, the injured mucosa may be sutured to prevent the secondary entrance of bacteria into the emphysematous space as well as to restrict its extension. Rarely, a tracheotomy or even a thoracotomy is required. Panerari et al18 reported a case of a 31-year-old female who needed a tracheostomy as a result of an airway blockage caused by mediastinal and cervical emphysema. After a period of five days, the tracheostomy was removed successfully and the patient attained complete recovery31.

Conclusion

Despite the rarity of this complication in the medical literature, it is important to detect subcutaneous emphysema after tonsillectomy in order to avert unnecessary and excessive treatment. Whereas this complication may be anticipated in the immediate postoperative period or late, indicating the possibility of a patient who is initially asymptomatic presenting many days following surgery. The reason for that is, subsequent to tonsillectomy, dysphagia, odynophagia and swelling are already frequent complaints; therefore, the provider ought to have increased perception, particularly with any mention of crepitus or breathing difficulties. In conclusion, a closer observation and greater perception will help ensure these potential complications do not develop into life-threatening situations.

Acknowledgments

Dr. Arwa obeid ENT demonstrator for her arrangements and review. Dr. M. Amjad ENT Consultant for scientific review.

Conflicts of interest

The author declares that there is no conflict of interest.

Funding

None.

References

  1. Randall DA, Hoffer ME. Complications of tonsillectomy and adenoidectomy. Otolaryngol Head Neck Surg. 1998;118(1):61–68.
  2. Leong SCL, Karkos PD, Papouliakos SM, et al. Unusual complications of tonsillectomy: a systematic review. Am J Otolaryngol. 2007;28(6):419–422.
  3. Barengo JH, Yuen SN, Kennedy P, et al. Subcutaneous emphysema with pneumomediastinum after tonsillectomy: case report and review of the literature. Int J Pediatr Otorhinolaryngol. 2020;131:109885.
  4. Naha A, Akhtar N, Datta PG, et al. Subcutaneous emphysema and pneumomediastinum following adenotonsillectomy: a case report. Bangladesh Medical Research Counc Bull. 2019;45:62–65.
  5. L De Coninck, J Goderis N Herregods, et al. Massive pneumomediastinum with subcutaneous emphysema after elective adenotonsillectomy in children: involvement of the boyle-davis mouth gag. Int J Pediatr Otorhinolaryngol. 2019;122:152–154.
  6. Shoemaker K, Thompson CS, Sawant R, et al. Potential life-threatening complication of tonsillectomy: cervicofacial surgical emphysema. BMJ Case Rep. 2019;12(1):e228377.
  7. Görgülü FF, Koç AS, Görgülü O. Pneumomediastinum, pneumopericardium, and epidural pneumatosis following adenotonsillectomy: a very rare complication. Case Rep Otolaryngol. 2018:4531364.
  8. Mahmood AN. Uncommon but potential life-threatening complication after tonsillectomy: post-tonsillectomy cervicofacial surgical emphysema. BMJ Case Rep. 2018:bcr–2017–223964.
  9. Saravakos P, Taxeidis M, Kastanioudakis I, et al. Subcutaneous emphysema as a complication of tonsillectomy: a systematic literature review and case report. Iran J Otorhinolaryngol. 2018;30(96):3–10.
  10. Crosbie RA, Kunanandam T. Cervicofacial emphysema following Harmonic scalpel tonsillectomy: case report and comprehensive review of the literature. J Laryngol Otol. 2017;131(2):177–180.
  11. Erol O, Aydin E. A rare complication of tonsillectomy: subcutaneous emphysema. Turkish Arch Otolaryngol. 2017;54(4):172–174.
  12. Tran DD, Littlefield PD. Late presentation of subcutaneous emphysema and pneumomediastinum following elective tonsillectomy. Am J Otolaryngol. 2015;36(2):299–302.
  13. Yelnoorkar S, Issing W. Cervicofacial surgical emphysema following tonsillectomy. Case Rep Otolaryngol. 2014:746152.
  14. Bizaki A, Kääriäinen J, Harju T, et al. Facial subcutaneous emphysema after tonsillectomy. Head Face Med. 2014;10(1):11.
  15. Koukoutsis G, Balatsouras DG, Ganelis P, et al. Subcutaneous emphysema and pneumomediastinum after tonsillectomy. Case Rep Otolaryngol. 2013:154857.
  16. Kim JP, Park JJ, Kang HS, et al. Subcutaneous emphysema and pneumomediastinum after tonsillectomy. Am J Otolaryngol. 2010;31(3):212–215.
  17. Hung MH, Shih PY, Yang YM, et al. Cervicofacial subcutaneous emphysema following tonsillectomy: implications for anesthesiologists. Acta Anaesthesiol Taiwan. 2009;47(3):134–137.
  18. Panerari ACD, Soter AC, Silva FLP da, et al. Onset of subcutaneous emphysema and pneumomediastinum after tonsillectomy: a case report. Braz J Otorhinolaryngol. 2005;71(1):94–96.
  19. Patel N, Brookes G. Surgical emphysema following tonsillectomy. Ear Nose Throat J. 2005;84(10):660–661.
  20. Lima WLF, Correa NS, de Campos JL, et al. Subcutaneous emphysema after tonsillectomy: case report. Rev Bras Anestesiol. 2005;55(4):441–444.
  21. Shine NP, Sader C, Coates H. Cervicofacial emphysema and pneumomediastinum following pediatric adenotonsillectomy: A rare complication. Int J Pediatr Otorhinolaryngol. 2005;69(11):1579–1582.
  22. Yammine NV, Alherabi A, Gerin-Lajoie J. Post-tonsillectomy subcutaneous emphysema and pneumomediastinum. J Otolaryngol. 2004;33(6):403–404.
  23. Stewart AE, Brewster DF, Bernstein PE. Subcutaneous emphysema and pneumomediastinum complicating tonsillectomy. Arch Otolaryngol Neck Surg. 2004;130(11):1324–1327.
  24. Watanabe K, Kunitomo M, Yamauchi Y, et al. Subcutaneous emphysema after tonsillectomy: a case report. J Nippon Med Sch. 2004;71(2):111–113.
  25. Fechner FP, Kieff D. Cervical emphysema complicating tonsillectomy with argon beam coagulation. Laryngoscope. 2003;113(5):920–921.
  26. Marioni G, De Filippis C, Tregnaghi A, et al. Cervical emphysema and pneumomediastinum after tonsillectomy: it can happen. Otolaryngol Head Neck Surg. 2003;128(2):298–300.
  27. Nishino H, Kenmochi M, Kasugai S, et al. Subcutaneous emphysema secondary to tonsillectomy: a case report. Auris Nasus Larynx. 2003;30 Suppl:S135–S136.
  28. Miman MC, Ozturan O, Durmus M, et al. Cervical subcutaneous emphysema: an unusual complication of adenotonsillectomy. Paediatr Anaesth. 2001;11(4):491–493.
  29. Smelt GJ. Subcutaneous emphysema: pathological and anaesthetic, but not surgical. J Laryngol Otol. 1984;98(6):647–654.
  30. Weimert TA, Babyak JW, Richter HJ. Electrodissection tonsillectomy. Arch Otolaryngol Head Neck Surg. 1990;116(2):186–188.
  31. Cummings GO. Mortalities and morbidities following 20,000 tonsil and adenoidectomies. Laryngoscope. 1954;64(8):647–655.
Creative Commons Attribution License

©2020 Alzahrani. This is an open access article distributed under the terms of the, which permits unrestricted use, distribution, and build upon your work non-commercially.