Submit manuscript...
MOJ
eISSN: 2379-6162

Surgery

Case Report Volume 3 Issue 1

Successful management of a rare palatal tumor preventing further complications

Simon Chummar Bhushan Jayade, Ravikant Adiraju

Dental Department, NMC Specialty Hospital, UAE

Correspondence: Simon Chummar, NMC Specialty Hospital, Dental Department, PB-7832, UAE, Tel +971502010266

Received: January 29, 2016 | Published: February 15, 2016

Citation: Jayade SCB, Adiraju R. Successful management of a rare palatal tumor preventing further complications. MOJ Surg. 2016;3(1):11-13. DOI: 10.15406/mojs.2016.03.00034

Download PDF

Abstract

Myoepithelioma is a benign tumor of the glandular organs. It is predominantly seen in the breast glands. Its occurrence in the salivary glands is rare and even then it is seen mainly in the major Salivary gland of the parotid. Less than 1% of these tumors have been reported in literature occurring in the minor Salivary glands especially the Palate. We report a case of large Myoepithelioma involving the hard and soft palate which was treated successfully.

Keywords: myoepitheliomas, tumor

Introduction

Among all the salivary gland neoplasms Myoepitheliomas constitute only 1-1.5% of these tumour. Other names of Myoepitheliomas are myoepithelial adenoma or benign myoepithelial tumors. The tumor has been found in the head and neck region, and their symptoms vary accordingly. The term myoepithelioma was first coined by Sheldon in 1943.1 Myoepithelioma are slow growing tumors and present as an asymptomatic mass that slowly enlarges over a period of months to years. The average age of patients being in the third decade. They occur in a posterolateral part of the hard palate and soft palate because anterior part of the hard palate is devoid of minor salivary glands. Literature has reported recurrent and malignant ones also. Myoepithelioma exhibit 4 main cell morphologies of which spindle cell forms are most common.2 The other histopathological forms being the epithelioid, plasmacytoid, and clear cells which is least common. A mixture of these subtypes may be present in one tumor. We report a case of Plasmacytoid variety here involving the soft and hard palate, along with their radiological features, histological findings, management and differential diagnosis. Myoepitheliomas are known to have less recurrence after complete surgical resection.

Case report

A 23 years old female presented with slow growing swelling of approximately 4 years of duration involving her hard and soft palate junction on the right side. The swelling was peanut size when she first observed. However as lesion had always been asymptomatic with no associated pain or paraesthesia the patient had neglected it. She only sought medical help when it started obstructing her speech and eating. The patient’s medical history was noncontributory. She had no known allergies and not undergone any surgeries of head and neck. Clinically the patient presented with typical ‘Hot potato in mouth’ speech. Inspection of the lesion revealed ulcerated dome shaped palatal swelling of size about 5x4 cms in the posterior part of hard palate right side extending on to the soft palatal junction crossing the midline. The overling mucosa was red and stretched and presented as a single mass without any nodules. The lesion was firm non tender and not blanching to pressure on palpation (Figure 1).

Figure 1 Preoperative view of growth with ulceration on the surface.

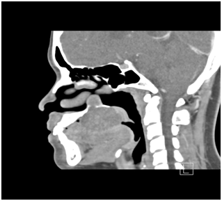
CT Scan of the maxilla revealed erosion of the right half of the hard palate with intranasal extension into the floor of the right nostril with erosion of the adjustant part of the medial wall of the right maxillary antrum upto the base of pterygoid plates and medially the inferior part of the bony part of the nasal septum on that side (Figure 2 & 3). The soft palate was pushed in to the oropharynx. Punch biopsy was taken which suggested Myoepithelioma of minor salivary gland. All preoperative blood and urine investigation was done which were within normal limits. The patient was intubated nasally with endotracheal tube and wide local excision of the mass was done. The tumor was dissected from the nasal mucosa. The excised mass was about 4.5x 3 x2.5cms (Figure 4) and send for histopathological examination. An obturator was given postoperatively.

Figure 2 CT scan showing tumor encroaching nasal floor.

Figure 3 CT scan showing perforation of palatine bone and displacement of tongue and soft palate.

Figure 4 Resected specimen.

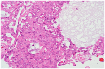
Microscopic examination showed well encapsulated tumor composed of sheets and islands of monomorphic round to polygonal cells with eccentrically placed plasmacytoid nuclei and abundant glassy eosinophilic cytoplasm lying in myxomatous stroma. No mitosis or necrosis seen. (Figure 5 & 6) Immunohistochemistry for Vimentin, CK, S100, CK7 were positive and the final diagnosis was Myoepithelioma-Plasmacytoid variety of minor salivary gland.

Figure 5 Histology of the tumor.

Figure 6 Postoperative view of patient at 2 months showing complete granulation of palate.

Discussion

Myoepitheliomas present as a slow growing, painless tumor mass. Our case had a history of four years of slow growing mass in her mouth. Myoepitheliomas of the parotid are not accompanied by facial nerve weakness, and those occurring in the palate rarely ulcerate. Our patient had ulceration on the surface of the growth which was due to trauma. El-Naggar et al. reported their cytogenetic analysis of a parotid myoepithelioma in which there were alterations in chromosomes. The investigators also showed that myoepitheliomas and pleomorphic adenomas share the chromosome 12q alteration.1 Vekony et al. demonstrated that deregulation of the p16INK4a senescence pathway is involved in the development of myoepithelial tumors and that additional inactivation of p53 is seen in benign recurrences.1 Our case did not undergo any genetic analysis. Myoepitheliomas are usually well-circumscribed, gray-white/tan/yellow, solid masses (average, 3-5cm) with a smooth outline. In our case the size of lesion was 4x5cms arising from the posterior part of hard palate and was red in colour. Degenerative changes are usually not a feature, which was not present in our case.

Most case series of myoepithelioma report equal sex distribution. The tumor has been reported in a wide age range from 9 to 85 years with the average incidence of the tumor in affected individuals is 44years.1 Myoepitheliomas are very rarely reported in children. Myoepitheliomas are of unknown etiology.1 Even though Myoepitheliomas have been reported in all locations containing the minor salivary glands, the parotid gland is the primary site of occurrence (40-50%), followed by the minor salivary glands as the second most preferred site of which the palate is the most common location. On the palate most common site is posterior region since anterior part of the hard palate is devoid of minor salivary glands.2 Our patient had lesion in the posterior part of the hard palate.

Several lesions should be considered in the differential diagnosis of myoepitheliomas. Myoepithelioma should be differentiated from benign and malignant tumours such as pleomorphic adenoma, adenocarcinoma, nerve sheath tumour, fibrous histiocytoma, nodular fasciitis, synovial sarcoma, leiomyoma, leiomyosarcoma, hemangiopericytoma, solitary fibrous tumour and paraganglioma.3,4 Most of these lesions have common clinical and radiological features, so biopsy is needed to exclude other serious tumors especially the malignant variety of salivary gland.5 Malignant myoepithelioma should be differentiated, from benign ones which behave more aggressively and show recurrence even after adequate treatment. Malignant myoepithelioma show cellular atypia, cellular pleomorphism, cellular necrosis, increased mitotic figures, invasive growth pattern, or combination of these Histopathologically.4 Where as benign myoepitheliomas shows non-infiltrative growth pattern, and rarely shows mitoses and nuclear and cellular pleomorphism. Plasmacytoma shows positivity for cytoplasmic immunoglobulin’s, whereas myoepitheliomas do not.3 Spindle cell variant of myoepithelioma should be differentiated from peripheral nerve sheath tumors histologically, while the clear cell myoepithelioma should be correctly differentiated from the clear cell adenocarcinoma and mucoepidermoid carcinomas.3

Myoepithelial cells exhibit 4 main cell morphologies: spindle (most common), epithelioid, plasmacytoid, and clear cells (least common). A mixture of these subtypes may be present in one tumor. Spindle cell type is more frequently observed in parotid gland while Plasmacytoid cell type is more commonly seen in palatal tumor.5 In our case the myoepitheliomas was of plasmacytoid variety.

The plasmacytoid cell type is particularly encountered in palatal and this myoepitheliomas has been the subject of some controversy that is largely due to its low level or complete absence of expression of myogenic markers. Some authors have doubted their identification as myoepitheliomas, even suggesting that these tumors should be classified as adenomas or plasmacytoid adenocarcinomas. Other authors believe that the low expression of muscle tissue markers should still qualify them as myoepitheliomas, since they may be in different stages of evolution. Electron microscopic evidence suggests a myoepithelial origin for these cells.

 Myoepithelioma cells have been shown to be usually positive for the following markers:

  1. Cytokeratins (eg, AE1/AE3, CK 5/6, Cam 5.2, CK-7, and CK-14)1
  2. Vimentin (reported to be positive in neoplastic myoepithelial cells and negative in normal myoepithelial cells)
  3. In our case Immunohistochemistry for Vimentin, CK, S100, CK7 were positive.
  4. According to Scibba and Brannon, there was only 1 recurrence of myoepithelioma in 16cases observed over a period of 1month to 7years, which suggest myoepitheliomas are less prone to recurrence after complete surgical resection.1 Our case is 6months postoperative and shows no signs of recurrence and the palate granulated well.

Conclusion

The case is presented here due to the unusual large size and rare form of tumor in hard palate of minor salivary gland and its extension in to the nasal cavity. Myoepithelioma should be differentiated from the other tumors, especially those arising from minor salivary glands, such as pleomorphic adenoma, mucoepidermoid carcinoma and adenoid cystic carcinoma of the palate. Successful treatment of Myoepithelioma depends on the early diagnosis and efficient treatment from specialized services, which include a team of radiologist, pathologist, anesthetist, otolaryngologist, prosthodontist and oral surgeon.4 Resection with safe margin is the best primary method to avoid recurrence.2,4 It is necessary to have a long-term follow-up to rule out possible malignant changes.

Acknowledgements

Special thanks to Dr. Sunitha Shaji (Prosthodontist) Dr. Tirumalai Anilkumar (Anaesthesist) Dr. Manoj Verma (Histopathologist) and Dr. Sarmistha Gupta (Radiologist).

Conflict of interest

The author declares no conflict of interest.

References

Creative Commons Attribution License

©2016 Jayade, et al. This is an open access article distributed under the terms of the, which permits unrestricted use, distribution, and build upon your work non-commercially.