Submit manuscript...
MOJ
eISSN: 2379-6162

Surgery

Case Report Volume 5 Issue 2

Unusual case of pruritus vulvae (prurigo nodularis): a rare case report

Kafil Akhtar,1 Mehkat Ansari,2 Zehra Mohsin,2 Talha Khan Abid2

1Department of Pathology, Jawaharlal Nehru Medical College, India
2Department of Obstetrics & Gynecology, Jawaharlal Nehru Medical College, India

Correspondence: Kafil Akhtar, Professor, Department of Pathology, Jawaharlal Nehru Medical College, Aligarh Muslim University, Aligarh. (U.P)-India

Received: October 18, 2017 | Published: November 16, 2017

Citation: Akhtar K, Ansari M, Mohsin Z, et al. Unusual case of pruritus vulvae (prurigo nodularis): a rare case report. MOJ Surg. 2017;5(2):181-183. DOI: 10.15406/mojs.2017.05.00105

Download PDF

Abstract

Prurigo Nodularis, an unusual disorder with unknown aetiology, notoriously resistant to therapy is characterized by extremely pruritic nodules with well-defined clinical symptoms and histopathological findings. Herein, we report a case of a 19-year-old female student presenting with complaint of pruritis vulvae for 3years. She took treatment off and on in the form of topical and systemic antibiotics, anti fungal, anti-histaminics and steroids, but was not relieved. Vulval biopsy was done and histopathological examination revealed it to be a case of prurigo nodularis.

Keywords: prurigo nodularis, pruritus vulvae, vulvar biopsy, treatment, steroids

Introduction

Prurigo nodularis, first described by Hyde and Montgomery in 1909,1 is a condition usually characterized by multiple, intensely pruritic, excoriated nodules erupting on the extensor surfaces of the limbs secondary to itching or rubbing. It can occur at any age, but it most often occurs in middle-aged and older persons.2 Even in current practice, prurigo nodularis is a condition of unknown etiology with well-defined clinical symptoms and histopathological findings. Prurigo nodularis has been associated with a variety of diseases, such as psychiatric disorders, atopic dermatitis, chronic renal failure, hyperthyroidism, iron-deficiency anemia, obstructive biliary disease, gastric malignancy, lymphoma, leukemia, human immunodeficiency virus (HIV), hepatitis B, and hepatitis C.2,3

Case report

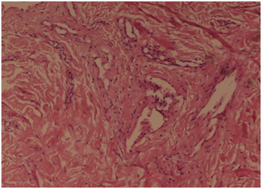
A 19-year-old female student visited the outpatient gynecology clinic with complaints of pruritus vulvae for 3 years. The itching was intense enough to wake up the patient at night. She denied of any vaginal discharge and was not sexually active. She also had history of chronic rhinitis. She took treatment off and on in the form of topical and systemic antibiotics, antifungals, antihistaminics and steroids, but was not relieved although the patient reported spontaneous remissions. Physical examination revealed a 0.5 x 1 cm dry patch on her vulva. There were no nodules present either on the vulva or anywhere on the body. As the patient had already taken treatment for 3 years without any relief, so a decision for vulval biopsy from the identified patch was taken. Histopathological examination showed hyperkeratosis with focal epithelial hyperplasia and mild mononuclear infiltrate in upper subepidermal region with fibrocollagenous stromal dermis. (Figure 1). There was marked degree of hyperplasia of cutaneous nerves and neuroid structure with collagenization of the dermis (Figure 2). No other specific pathology was noted. S-100 immunostain revealed an increase in number and size of cutaneous nerves throughout the dermal zone. She was prescribed topical emollients and corticosteroids along with habit reversal therapy and was referred to a dermatologist.

Figure 1 Histopathological examination showed hyperkeratosis with focal epithelial hyperplasia and mild mononuclear infiltrate in upper subepidermal region and firbrocollagenous dermis. Hematoxylin and Eosin x 10X.

Figure 2 There was marked degree of hyperplasia of cutaneous nerves and neuroid structure with collagenization of the dermis. Hematoxylin and Eosin x 10X.

Discussion

Prurigo nodularis (PN) is clinically characterized by chronic, intensely itchy nodules.1 Chronic mechanical trauma to skin causes thickening of skin proportionate to the trauma. Repetitive rubbing, scratching, and touching results in plaques or nodular lichenification and hyperkeratosis. Pigmentary changes often result from such repetitive trauma to the skin. No racial disparity is known for PN. It occurs mainly in adults of both sexes aged 20 to 60years and especially in middle-aged women, although cases affecting children have also been described.2 Patients with PN invariably complain of a long-standing history of severe, unremitting pruritus. Patients can point out specific areas where they began feeling itchy and where dark-coloured nodules formed soon after. Mature nodules rarely increase or decrease in size and spontaneous resolution is even more rare. PN nodules or papules are 3-20mm in diameter, discrete, scaly, generally symmetrical, hyperpigmented or purpuric, and firm with predominance on the extensor surfaces of arms, legs, and sometime trunk. Lesions number from 1-2 to hundreds and may show signs of excoriation with flat, umbilicated, or crusted top.2,3 In most cases, the disease runs a very protracted course with exacerbations and remissions, as in our case.

The aetiology of PN is still unknown. It has been related with atopy in 65% to 80% of cases, metabolic causes such as anaemia, hepatic dysfunction, uraemia and myxoedema, focal causes such as venous stasis, folliculitis and nummular eczema and psychosocial disorders.2,3 Psychogenic factors, such as emotional stress, depression or anxiety, should be considered in all cases. Although there was no evidence of a psychological cause in our patient, but owing to the long duration of disease, this cannot be ruled out as a contributing factor. External causes of prurigo include heat, cold, light, insect bites, ectoparasites, allergenic contactants of skin, as well as food and drug allergies.4,5 Our patient mentioned an atopic diathesis that manifested with chronic rhinitis. Other important causes include internal infections, such as intestinal parasites, echinococcosis and internal foci of infection such as colitis or infected tonsils as super antigens from bacterial foci can cause many different skin reactions.4,6 Malignant tumours, immunodeficiency, carcinoid syndrome, polycythaemia, hepatic or renal disease, rubra vera, hypothyroidism and hyperthyroidism, diabetes mellitus, obesity, hypertension, peptic ulcer, alcoholism, sarcoidosis, psoriasis, Gilbert's disease, folliculitis or pityriasis capitis, gluten enteropathy and other forms of malabsorption are other aetiological factors.2,3 Histological features of PN include a hyperkeratotic epidermis with acanthosis and parakeratosis. Thickened nerve fibers and fibrosis with thickened collagen bundles are found in the dermis. Thickened nerve fibers can be visualized on electron microscopy.5 Highly characteristic for PN is the presence of thick, compact orthohyperkeratosis; irregular epidermal hyperplasia or pseudoepitheliomatous hyperplasia; focal parakeratosis or superficial epithelial necrosis; hypergranulosis; fibrosis of the papillary dermis with vertically arranged collagen fibers; increased number of fibroblasts and capillaries and a superficial, perivascular and/or interstitial inflammatory infiltrate of mainly lymphocytes and macrophages.

The goal of therapy for PN is to break the itch-scratch-itch cycle by reducing pruritus, rubbing, picking and scratching. Treatable endogenous and exogenous causes of pruritus should always be ruled out.6 Topical emollients and topical, oral, and intralesional corticosteroids have been used in an attempt to decrease inflammation and sense of itching and to soften and smoothen firm nodules. Some other topical agents such as menthol, phenol, pramoxine, capsaicin cream, fexofenadine, vitamin D-3 ointment and topical anaesthetics are used to reduce pruritus.7,8 Occlusive therapies have been suggested to flatten the lesions and at the same time prevent the patients from directly scratching the nodules.9 UV light treatment using UV-B or UV-A plus psoralen may be beneficial for severe pruritus.10 Antihistamines, anxiolytics, opiate receptor antagonists and (most recently) thalidomide are oral medications other than steroids used for PN.11 Topical immunomodulators such as tacrolimus and pimecrolimus may be used for steroid unresponsive patients or those with lesions on thin skin.12 Habit reversal therapy for the itch-scratch cycle may be helpful and can be administered by dermatology nurses trained in this therapy. Cryotherapy with liquid nitrogen helps reduce pruritus and flatten lesions.13 This modality can be helpful in upper limb and trunk lesions for patients with diabetes mellitus or hypertension to minimize adverse effects of intralesional and highly potent topical corticosteroids. Cryotherapy may be combined with other modalities eg. Intralesional corticosteroids. Pulsed dye laser therapy may help reduce the vascularity of individual lesions.

Conclusion

Prurigo nodularis is a benign condition, however, severe morbidity can occur in untreated and even in some treated persons who are affected, due to poor control of the itching/scratching and psychological symptoms. Ultimately, a strong therapeutic alliance is the best outcome predictor because the course of the disease is long, with waxing and waning symptoms, making the patient prone to being subjected to excessive diagnostic procedures and to seek alternative therapies.

Acknowledgements

None.

Conflict of interest

The author declares no conflict of interest.

References

  1. Hyde JN, Montgomery FH. A practical treatise on disease of the skin for the use of students and practitioners. 1909. p.174–175.
  2. Berger TG, Shive M, Harper GM. Pruritus in the older patient: a clinical review. JAMA. 2013;310(22):2443–2450.
  3. Reamy BV, Bunt CW, Fletcher S. A diagnostic approach to pruritus. Am Fam Physician. 2011;84(2):195–202.
  4. Arnold HL, Odom RB, Andrew JWD. Erythema and urticaria (prurigo): diseases of the skin. In Arnold’s Clinical Dermatology. 12th ed. Philadelphia, PA: USA: WB Saunders; 2010. p. 157–158.
  5. Feuerman EJ, Sandbank M. Prurigo nodularis: Histological and electron microscopical study. Arch Dermatol. 1975;111(11):1472–1477. 
  6. Michael S, George C. Prurigo nodularis: Picking the right treatment. J Fam Pract. 2015;64(4):221–226.
  7. Boyd K, Shea SM, Patterson JW. The role of capsaicin in dermatology. Prog Drug Res. 2014;68:293–306.
  8. Saraceno R, Chiricozzi A, Nisticò SP. An occlusive dressing containing betamethasone valerate 0.1% for the treatment of prurigo nodularis. J Dermatolog Treat. 2010;21(6):363–366.
  9. Shintani T, Ohata C, Koga H. Combination therapy of fexofenadine and montelukast is effective in prurigo nodularis and pemphigoid nodularis. Dermatol Ther. 2014;27(3):135–139.
  10. Hammes S, Hermann J, Roos S. UVB 308-nm excimer light and bath PUVA: combination therapy is very effective in the treatment of prurigo nodularis. J Eur Acad Dermatol Venereol. 2011;25(7):799–803.
  11. Paghdal KV, Schwartz R. Thalidomide and its dermatologic uses. Acta Dermatovenerol Croat. 2007;15(1):39–44.
  12. Siepmann D, Lotts T, Blome C. Evaluation of the antipruritic effects of topical pimecrolimus in non-atopic prurigo nodularis: results of a randomized, hydrocortisone-controlled, double blind phase II trial. Dermatol. 2013;227(4):353–360.
  13.  Wallengren J. Prurigo: diagnosis and management with cryotherapy. Am J Clin Dermatol. 2004;5(2):85–95.
Creative Commons Attribution License

©2017 Akhtar, et al. This is an open access article distributed under the terms of the, which permits unrestricted use, distribution, and build upon your work non-commercially.