Submit manuscript...
MOJ
eISSN: 2379-6294

Toxicology

Research Article Volume 1 Issue 4

Histopathological evaluation of di-ethyl phthalate induced hepatotoxicity on rat

Sana Akhtar

Toxicologist, Ministry of interior Hospital, Saudi Arabia

Correspondence: Sana Akhtar, Toxicologist, Ministry of interior Hospital, Saudi Arabia, Tel 9665 3710 0653

Received: September 24, 2014 | Published: September 30, 2015

Citation: Akhtar S. Histopathological evaluation of di-ethyl phthalate induced hepatotoxicity on rat. MOJ Toxicol. 2015;1(4):133–136. DOI: 10.15406/mojt.2015.01.00019

Download PDF

Abstract

Hepatotoxicity in one of the major parameters need to be consider in drug ther-apy, behind the reason that drugs given either in single or in combination for a prolonged period causes liver damage. Most of drug withdraw from the market or pending for approval due to causing hepatotoxicity (Leflunomide, Flutamide, Disulphiram, and Triglitazone) and may be chance to criticize the use based on this toxicity. Hepatoprotective agent opposes this effect while the agent who gen-erates called hepatotoxins. There is no plant in this Universe which is non-me-dicinal and which cannot be made of use for many purposes and by many modes. This definition rightly suggests that in principle all plants have a potential me-dicinal value. Medicinal plants have been considered as important therapeutic aid for alleviating ailment of humankind. The present review is aimed at com-piling data on promising Phytochemical from medicinal plants that have been tested in hepatotoxicity models using modern scientific system and mechanisms of free radicals toxicity with scavenger which revealed their toxicity belongs to synthetic or herbal product.

Keywords: Liver Diseases; Herbal Treatment; Free Radicals; CYP450

Introduction

Phthalates are a group of multifunctional chemicals used in plastics, consumer product and medical devices, Despite their wide spread use the toxicity data on these diesters of ophthalmic acid information are limited on pathways of exposure tom phthalates. Diethyl Phthalate was found to be one of the more toxic phthalates.1

Diethyl Phthalate is a manufacturing chemical that makes plastic more flexible. It is a phthalic acid ester with chemical formula C12H14O4 and commonly identified by CAS registry number -84-66-2 and LD50 value is 8600mg/kg. It is a colorless liquid with almost no odor. It is everywhere in the environment because of its use in plastic toys, shower curtains adhesives and coatings etc.2 A survey of fragrance manufactures conducted in 1995-1996 by the Research Institute for Fragrance Materials reported an annual use of approximately 4000 tones of diethyl phthalate in the preparation of fragrance mixtures.1 The route of exposure is through inhalation, dermal, oral and intravenous route. The oral route is the most common way of exposure.

Diethyl Phthalate has been found to injure liver. The liver is one of the common sites of Diethyl Phthalate metabolism and utilization after oral exposure.3 Liver is known to be a target site for specific toxins and functions in detoxification and maintaining the metabolic homeostasis of body. The liver is the largest organ in the body and performs an astonishingly large number of tasks that impact all body systems (www.vivo.colostate.edu). It is located in the upper right-hand portion of the abdominal cavity, beneath the diaphragm and on top of the stomach, right kidney and intestines. It is coned shaped, dark reddish-brown organ, weighs about 3 pounds (medicalcenter.osu.edu). It consists of hepatocytes and is organized into lobules. It is a metabolic factory, synthesizing and breaking down a verity of substances. When the liver broke down harmful substances its by-products are excreted into the bile or blood (medicalcenter.osu.edu). Because the body depends on so many liver functions, the liver is also involved in a variety of pathological process.

Humans are frequently indirect contact with DEP as chemical is included in numerous cosmetic formulations such as bath products hair sprays, nail polish solvents, shampoos, perfumes after shave lotions and detergents. DEP is known to be released into the environment during its synthesis processes, final utilization of DEP-containing products, or disposal of used products.4 The most important release source to the aquatic environment is described to leaching from landfill sites.5

Entry of this plasticizer into biological system during transfusions (blood or physiological fluid) or hem dialysis or through food chain and their ubiquitous presence in environment has led to numerous studies on their toxicology. Some phthalates are hepatotoxic, cytotoxic, teratogenic and mutagenic in nature. Certain renal, pulmonary and reproductive dysfunctions have also been reported on exposure to these plasticizers in aquatic invertebrates and mammalian species.6

Few investigators have studided the hepatotoxic potential of DEP in a variety of animal species. Acute and chronic administrations of DEP caused variable effects on liver depending upon the species of the animal.7 Histopathological examination induced enlarged livers showed fatty vacuolation and congestion followed by a cloudy, swelling excessive fatty regeneration. Dilation of smooth and rough endoplasmic reticulum, mitochondrial swelling and increase in microbes in rat liver have been reported an oral administration for 21days.8 Enlargement of cells, dilation of smooth endoplasmic reticulum and changes in hepatic lysosomes of ferrets and swollen mitochondria and increased smooth endoplasmic reticulum in liver of mice. Oral exposure of rats and mice to Diethyl Phthalate result in marked increase in liver mass and increase in relative liver weight.3 Hepatic hyperplasia appears to be the initial physiological response to DEHP Morphological changes which were observed in the livers of treated rats included fat deposits in the periportal area. Liver cells became enlarged and lipofuscin deposits accumulated indicating that peroxidation of cellular lipids had occurred.8 There was a definite increase in hepatic peroxisomes in the centrilobular and periportal areas of the liver and there was often an increase in number of mitochondria.3

The present study was done to asses of Diethyl Phthalate, polyvinyl chloride, on rat liver after the 14days sub acute of it. To achieve the aim, we designed our protocol with following objective.
The main objective of the study was to evaluate the Histopathological changes in liver tissue.

Materials and methods

Experiment protocol
Ten Healthy male and female Wister Albino rats (body weight 250-300g, age 7-8 weeks) were obtained from the Animal House. Rats were housed in polycarbonate boxes with steel wire tops and rice husk breeding. Rats were given food and water Ad libitum.They were grouped into two (n=5):

  1. Group I - Control group
  2. Group II - Treated group

The control group animals were exposed to 0.9% saline by oral gavage. The rats of treated group were orally gavaged with di ethyl phthalate by 840mg/kg/day. Animals were exposed for 14 days of duration. Fresh food and water were supplied on daily basis. Individual animals weighted at weekly time interval. During the study period animals were weighted weekly and also observed behavioral and morphological changes.The animals were sacrificed by dose of di ethyl ether on the 15th day of exposure after overnight fasting.The study was approved by the Animal Ethics Committee of department of zoology, according to government norms.

Materials required

  1. Xylene: Absolute alcohol, Different grades of alcohol (70%, 80%, 95% v/v in water), Distilled water, Deionized water.
  2. Harris Hematoxylin: Acid alcohol (70% alcohol, HCL: 100%)/Scotts solution.
  3. Eosin stain: Blotted paper.

Reagent preparation
Preparation of Scott’s solution: Sodium bicarbonate 2gms, Magnesium sulfate 20gms, Distilled water 1000ml.
Mix well, label, date solution. Recommended for hematoxylin.
Preparation of Harris Hematoxylin: Haematoxilin crystal 5gms, Alcohol percentage 50ml, Ammo micron or potassium alum 100gms, Distilled water 1000ml, Mercuric oxide red 2.5gms.

Hematoxylin is used to differentiate malignant cells from non malignant cells and diagnosis of diseases affecting tissues.
Preparation of liver slide and staining:

  1. Using a smooth edge, glass spreader a maximum of 2cm in width make a film of the liver slide 3.5cm in length.
  2. Staining and mounting of slides.
  3. Mounting: Section are mounted D.P.X and the cover slip is pressed slightly to drain off excess D.P.X and remove air bubble if any.
  4. Cleaning and labeling stain: Any excess D.P.X is putted the slide after dried the slide one cleaned using absolute alcohol (Table 1).

Station

Reagent

Time (mins)

Action of Reagent

Xylene

2-3

To remove the paraffin from tissue

Xylene

2-3

To remove the paraffin from tissue

Ab. Alcohol

2

To remove the Xylene

Ab. Alcohol

2

To remove the Xylene

95% Alcohol

2

To remove the Xylene

70% Alcohol

2

To remove the Xylene

7

Inhaler

 

 

Hematoxylin

10-15mins

To remove alcohol stains the nucleus

Tap water

Till excess stain remove

To remove excess stain

10

Scotts

2

Remove excess dyes

11

70%alcohol

2

Remove excess dyes

12

95 % Alcohol

2

Remove water from the tissue

13 

95% Alcohol

2

Remove water from the tissue

14

Eosin

2-3 dips

Counter status, stain cytoplasm

15

95% Alcohol

2

………………..

16

Ab. Alcohol

2-3

……………………

17 

Xylene

Till liver section cleaned

Clearing agents

Table 1 Reagent time period and action

Results

After oral exposure of rats with Diethyl Phthalate for 14 days, following results were obtained

Histopathology
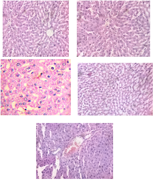
Histopathological evaluation of the terminally sacrificed rats from the treated group did reveal significant microscopic changes in liver. Diethyl phthalate exposure at the dose of 840mg/kg/bw/day produced centrilobular necrosis, sinusoid dilation, chronic venous congestions and fatty liver change as compared to control (Figure 1).

Figure 1 Normal photomicrograph of liver tissue of control rat showing normal hepatic cells with central vein and sinusoidal dilation (H and E 100X).

Discussion

There have been a number of studies concerning the potential human health risks from phthalate exposure and diesters of phthalic acid.5 Day to day exposure to DEP can result from consuming food stored in plastic packaging which contains DEP, through the usage of a wide array of consumer goods that contain DEP, as a result of medical treatment, i.e., tubing used for dialysis patients and also through occupational exposure (incense stick industry). DEP undergoes degradation in the environment within 72hrs Lipophilic compounds are highly bioaccumulative in nature as compared to hydrophilic compounds. DEP being lipophilic, major routes of exposure in varying concentrations is through contaminated food or water.9

Generally exposure to DEP occurs by daily use of consumer products containing DEP or by occupational exposure at low as well as high concentrations hence usage will be several times a day for a prolonged period.1

In this study, we found that sub-chronic exposure to DEP for longer period brings about hepatocellular damage due to oxidative stress (ischemia) leading to increased lysosomal activity, which is evident from a progressive increase in the serum levels of LPO and Catalase and decrease levels of Destructive process in the tissues would lead to leakage of these enzymes into the extra cellular fluids and then into the body fluids which results in the increase in the serum levels of these enzymes. Increased serum levels of these enzymes indicate tissue oxidative stress leading to cell death, which correlates well with the histology.

Hence, DEP given for a prolonged period can lead to hepatocellular damage, which could prove fatal in the future. Significantly increased triglyceride levels in the liver and serum of all the treated groups indicates impairment in the triglyceride metabolism and enhanced triglyceride storage in the liver, which correlates well with the histology and electron micrographs indicatingDose-dependent accumulation of triglycerides in the form of lipid droplets as well as accumulation in mitochondria as observed in electron micrographs may lead to impaired mitochondrial function.

A recent study of dose-dependent toxicity of DEP carried out on male Wistar rat’s showedsignificantly increased serum and liver triglyceride levels in 10, 25 and 50mg/kg DEP-treated groups.10

Liver is the site for synthesis and storage of glycogen, thus being a key organ involved in this metabolic process, increase in the liver glycogen levels would indicate suppressed Carbohydrate metabolism, which is clearly seen in the light microscopy especially of the high treated groups. Thus accumulation of excessive glycogen due to DEP treatment at higher doses could lead to hypertrophy of the hepatocytes, which could lead to complete impairment.

Synthesis and metabolism of cholesterol takes place mainly in the liver following which it is transported to other organs. Accumulation of cholesterol in the liver leads to decreases the serum cholesterol levels due to the impairment of cholesterol transport across the hepatocellular membrane. This could lead to impairment in hormone synthesis due to unavailability of cholesterol which is used as a precursor, thus exposure to DEP at higher doses for a prolongedperiod could lead to impairment of cholesterol transport leading to severe endocrine effects in the reproductive organs. A significant dose-dependent decrease in cholesterol levels in the serum indicates that DEP interferes with cholesterol transport from liver and probably other organs.

Summary

Diethyl phthalate is used as a plasticizer for cellulose ester plastic films and sheets (photographic) blister packaging and tape applications. Greatest human exposure comes from the use of DEP-containing consumer products and the ingestion of contaminated foods (seafood, drinking water, or foods contaminated due to DEP leaching from packaging materials). Exposure may also occur via inhalation of contaminated air and from medical treatment involving use of polyvinyl chloride (PVC) tubing. The available studies on the effects of diethyl phthalate are not sufficient.

Acknowledgements

None.

Conflict of interest

The author declares no conflict of interest.

References

Creative Commons Attribution License

©2015 Akhtar. This is an open access article distributed under the terms of the, which permits unrestricted use, distribution, and build upon your work non-commercially.