Submit manuscript...
MOJ
eISSN: 2379-6294

Toxicology

Research Article Volume 1 Issue 5

Lipid profile and malondialdehyde concentrations in cadmium-induced rats: a study with relation to doses

Olabisi Olufunmilayo Ogunrinola

Department of Biochemistry, Lagos State University, Nigeria

Correspondence: O.O. Ogunrinola, Cell and Tissue Culture Research Laboratory (Drug Discovery Unit) Department of Biochemistry, Lagos State University, Nigeria, Tel +234 (0) 803324476

Received: July 01, 2015 | Published: November 5, 2015

Citation: Ogunrinola OO. Lipid profile and malondialdehyde concentrations in cadmium-induced rats: a study with relation to doses. MOJ Toxicol. 2015;1(5):149–154. DOI: 10.15406/mojt.2015.01.00022

Download PDF

Abstract

Background: Cadmium is a serious environmental and occupational contaminant that may represent a serious health hazard to humans and other animals. Since cadmium cannot be degraded, the risk of environmental exposure is constantly increasing because of accumulation via the food chain. Exposure to cadmium at the cellular level can produce tissue injury and damage various organs, but the underlying mechanism is enigmatic.

Methods: In order to investigate its toxicity on lipid profile and malondialdehyde concentration, thirty-two rats were exposed to 100, 200 and 300 ppm cadmium in their drinking water for six weeks while the control group received distilled water for the same period.

Results: At all the concentrations, cadmium produced a significant (p<0.05) dose-dependent hypocholesterolemia, hypotriglyceridemia and hypophospholipidemia in the plasma and erythrocyte respectively. Exposure to cadmium resulted in increased hepatic triacylglycerol concentration, whereas brain triacylglycerol concentrations were reduced. While cadmium induced brain phospholipidosis, a reduction in liver phospholipid concentration was observed. There was a significant (p<0.05) dose-dependent increase in the plasma, erythrocyte, brain and liver malondialdehyde concentrations corresponding to 56, 89, and 69 % at high dose of 300 ppm respectively compared to control. While positive associations were observed between plasma, liver, brain, erythrocyte malondialdehyde and organ triacylglycerol and phospholipid, negative associations were observed with liver phospholipid.

Conclusion: The results showed that exposure to cadmium for 6 weeks significantly causes dose-dependently up-/-down lipid profile and increased malondialdehyde concentration in rats.

Keywords: cadmium, Erythrocyte, Dyslipidemia, Malondialdehyde, Phospholipidosis, Hypotriglyceridemia

Abbreviations

Cd, cadmium; MDA, malondialdehyde; ApoB, apolipoprotein b

Introduction

Cadmium (Cd); a non-essential trace element; is one of the most toxic heavy metals in the environment for plants and animals.1 Environmental contamination by Cd results from its industrial use and its presence in agricultural fertilizers. This is a subject of serious concern since the metal is known to enter the food chain and can undergo bioaccumulation; endangering human health.2 In human; non-occupational exposure to Cd predominantly results from smoking; air pollution and consumption of Cd-contaminated sea foods and water.3 Once absorbed; Cd stimulates the formation of metallothionein (a family of low molecular weight metal binding proteins unique in their high cysteine content available in liver; kidney; intestine and pancreas) and reactive oxygen species. Metallothionein is thought to function in the storage of the essential metals zinc and copper; and to serve as an antioxidant; preventing damage to cellular constituents; but which also retains Cd in the cell. As Cd bound to metallothionein is of small size therefore it is released into the circulation filtered by kidney and reabsorbed by cells of proximal tubules. Cd thus accumulates in renal tubular cells; until the synthetic capacity for metallothionein is exceeded. When the concentration of Cd in the kidney reaches a critical concentration; renal dysfunction is likely to occur; thus causing oxidative damage to tissues and cells by altering lipid peroxidation and loss of membrane functions.4-9 Cd causes damage to several organs such as liver, kidney, lung and testes following acute intoxication, and nephrotoxicity, immunotoxicity, hepatic dysfunction, osteotoxicity and tumors on prolonging exposures.9-11 It also affects various structures and metabolic processes; such as nucleic acids, carbohydrate energy metabolism, protein synthesis, and enzyme systems.12 Several studies have demonstrated that Cd stimulates free radical production in tissues where malondialdehyde is used as an indicator of oxidative damage; resulting in oxidative deterioration of lipids player thereby initiating various pathological conditions in humans and animals.13-15 The molecular mechanism responsible for the toxic effects of Cd is not well-understood. Several tissues were selected for investigation based on the fact that Cd has been reported to accumulate in all tissues; although the level of accumulation differs; leading to various diseases conditions. Therefore, the purpose of this research was to study the lipid profile and MDA concentrations in the plasma, erythrocyte, brain and liver of rats induced with different doses of Cd in drinking water.

Materials and methods

Animals and treatment
Thirty-two adult male albino Wistar rats (bred in the Animal House of the Department of Biochemistry; Faculty of Sciences; Lagos State University; Ojo; Lagos; Nigeria) with body weight between 180 and 200g were used for the experiment. They were housed in animal stainless cages with a 12h light/dark cycle and free access to food and water for 14days prior to the experiment. The animals were randomly and equally distributed into four groups (n=8). Animals in group one were given distilled water and served as controls while rats in three other groups were given 100; 200 and 300 ppm Cd in the form of Cd-chloride in drinking water respectively for short-term exposure of six weeks. All groups were fed ad libitum with grower mash with minimal Cd level (product of Animal care; Lagos; Nigeria). Although the levels surpassed Cd levels to which humans are exposed to in water.16 but the concentrations embodied levels of Cd that have elicited toxic effect in rats.17,18

At the end of Cd exposure; the rats were fasted overnightand sacrificed under light anesthesia. Blood was collected into heparinized tubes by cardiac puncture under light diethyl ether anesthesia. The blood sample were centrifuge at 2000 x g for 10 minutes into plasma and erythrocyte while the brain and liver were quickly excised, homogenized and placed on ice until required for biochemical analysis. All these animal protocols conformed to the international guiding principles of laboratory animal care and use in research and teaching19 and were approved by the Animal Ethical Committee of the Department of Biochemistry; Lagos State University; Ojo; Nigeria.

Extraction of lipids
Lipids in the plasma known weight of brain and liver lipids were extracted according to the Folch extraction method using chloroform-methanol mixture (2:1 v/v).20 The extraction of lipids from erythrocytes was done using chloroform-isopropanol 7:11 v/v method.21 The extracts were stored at -20°C for further analysis.

Biochemical Analysis
Lipid profile determination: Concentrations of total cholesterol; triglyceride and phospholipids in plasma; erythrocyte; brain and liver were determined with commercial kits (Spin React S.A.; Santa Colona; Sant Esteve De Bas; Spain).

Malondialdehyde determination: Concentration of malondialdehyde (MDA) was measured as per the spectrophotometric method.22 Briefly; to each test tube; 0.5ml of plasma; 0.5ml of normal saline; 1ml of 20% trichloroacetic acid and 0.25ml of thiobarbituric acid reagent (200mg of thiobarbituric acid in 30ml distilled water and 30ml of acetic acid) were added. The test tubes were kept for boiling at 95°C for one hour. To each of the test tubes; 3 ml of n-butanol was added and mixed well. The tubes were centrifuged at 3000 rpm for 10 minutes. The separated butanol layer was collected and read on a spectrophotometer against reagent blank at 535nm. Thiobarbituric reactive substance concentration was expressed in terms of normal of MDA per milliliter of plasma and erythrocyte. The brain and liver homogenate was expressed in terms of nmoles MDA formed/g tissue. All determination was done in triplicate.

Statistical Analysis
The results are expressed as mean ± SEM. Statistical differences in the means were determined using One-way analysis of variance (ANOVA) followed by Turkey’s test (Turkey honest significant difference (THSD)) with p<0.05 considered significant. The associations between the parameters and their magnitudes were tested for by using Multiple Linear Regression analysis.

Results

Lipid profile of Cd -induced plasma, erythrocyte, brain and liver
The effect of Cd on the lipid profile of plasma, erythrocytes, brain and hepatic cells through drinking water in animals is depicted in Table 1. There was a significant (p<0.05) dose-dependent decrease in plasma and erythrocyte total cholesterol triacylglyceride and phospholipids when compared to control. Exposure to Cd at all doses compared to control, resulted in significant decreased in brain cholesterol (11.16±0.67a to 7.37±0.43dmg/g) and triacylglyceride (14.45±1.26a to 9.66±0.74dmg/g) but an increase in phospholipids concentration (7.50±0.32ato9.39±0.47dmg/g). While Cd-induction resulted in decreased concentration of hepatic cholesterol (14.96±0.49a to 9.50±0.37dmg/g) and phospholipids (9.37±0.50a to 6.95±0.50dmg/g); there was an increased triacylglyceride (9.67±0.74a to 15.55±0.69dmg/g) concentration at all doses when compared to control.

MDA level of Cd -induced plasma, erythrocyte, brain and liver
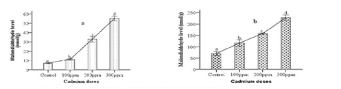
Cd-exposure resulted in increased plasma MDA by 56% at the highest dose of 300 ppm compared to control (Figure 1A). There was a 9-fold significant (p<0.05) dose-dependent increase in erythrocyte MDA at the highest dose (Figure 1B). However, the increase in both brain and liver MDA level elicited by exposure to Cd yielded 7- and 3-fold above the control respectively (Figure 2A,2B).

Cholesterol/phospholipids intensities of association among tissue lipid profile and MDA
The ratios of cholesterol to phospholipids in the plasma and organ of rats as a result of Cd exposure are depicted in Table 2. With the exception of the brain where exposure to Cd resulted in decrease ratio from control (1.51±0.12a) to highest dose (0.79±0.06d); cholesterol, phospholipid ratios in all the other organs observed up-down regulation as a result of Cd exposure. The intensities of association between the blood organ MDA and blood, brain and liver MDA and lipid profile are depicted in Table 3. Correlation; as calculated by the Pearson’s method; revealed significant positive and negative associations among the parameters. It was observed that a highly significant negative association existed between plasma MDA and liver phospholipid (r= -0.487; p<0.01); liver MDA and liver phospholipid (r= -0.580; p<0.01); erythrocyte MDA and liver phospholipid (r= -0.559; p<0.01). A significant positive association was observed between plasma, liver, brain, erythrocyte MDA and tissue lipid profile respectively.

Figure 1 Effects of cadmium on plasma (A) and erythrocyte (B) malondialdehyde levels. Each bar represents the mean ± S.E.M of rats. Bars with different alphabets are significantly different at p<0.05.

Figure 2 Effects of cadmium on brain (A) and liver (B) malondialdehyde levels. Each bar represents the mean ± S.E.M of rats. Bars with different alphabets are significantly different at p<0.05.

Parameters

Control

Cadmium Doses

100 ppm

200 ppm

300 ppm

Plasma Lipid Profile

Cholesterol (mg/dl)

176.43±13.14a

141.64±10.94b

125.42±9.02c

107.68±9.06d

Triacylglyceride (mg/dl)

158.84±7.51a

148.33±10.84b

140.19±5.51c

126.25±3.84d

Phospholipid (mg/dl)

124.76±13.83a

107.07±15.08b

91.55±5.61c

86.53±3.73d

 

Erythrocyte Lipid Profile

Cholesterol (mg/dl)

118.44±8.59a

111.89±9.83b

102.08±4.96c

85.29±1.16d

Triacylglyceride (mg/dl)

148.49±5.47a

132.31±1.60b

117.75±3.12c

109.57±2.47d

Phospholipid (mg/dl)

83.84±4.79a

72.11±4.45b

65.24±3.75c

60.59±2.78d

 

Brain Lipid Profile

Cholesterol (mg/g)

11.16±0.67a

10.38±0.93b

9.26±0.38c

7.37±0.43d

Triacylglyceride (mg/g)

14.45±1.26a

13.92±0.70b

11.59±0.28c

9.66±0.74d

Phospholipid (mg/g)

7.50±0.32a

8.42±0.41b

9.14±0.73c

9.39±0.47d

 

Hepatic Lipid Profile

Cholesterol (mg/g)

14.96±0.49a

12.77±0.97b

10.91±0.56c

9.50±0.37d

Triacylglyceride (mg/g)

9.67±0.74a

11.67±0.49b

13.48±0.73c

15.55±0.69d

Phospholipid (mg/g)

9.37±0.50a

8.88±0.17b

8.14±0.45c

6.95±0.50d

Table 1 Effect of Cd on lipid profile of plasma, erythrocytes, brain and hepatic cells Values are represented as mean ± SEM, n=8. Rows of the same compartment carrying different letters of the alphabet are significantly different from each other (p < 0.05)

Cadmium Dose

Plasma

Erythrocyte

Brain

Liver

Control

1.52± 0.19a

1.45± 0.15a

1.51± 0.12a

1.62± 0.02a

100 ppm

1.43 ± 0.17b

1.60 ± 0.18b

1.23 ± 0.08b

1.44 ± 0.11b

200 ppm

0.43 ± 0.17b

1.59 ± 0.11b

1.05 ± 0.08c

1.38 ± 0.12c

300 ppm

1.25 ± 0.09c

1.42 ± 0.06a

0.79 ± 0.06d

1.41 ± 0.11b

Table 2 Ratio of cholesterol to phospholipids in plasma and different organ compartments of control of Cd-exposed animals. Values are mean ± S.E.M. Values having different superscripts within a column differ significantly from each other (p<0.05)

Parameters

Correlation Coefficient (r)

p-Value

Plasma MDA vs. Brain MDA

0.540**

0.001

Plasma MDA vs. Liver MDA

0.561**

0.001

Plasma MDA vs. Liver triacylglycerol

0.395*

0.025

Plasma MDA vs. Liver phospholipid

-0.487**

0.004

Plasma MDA vs. Brain phospholipid

0.519**

0.002

Liver MDA vs. Liver triacylglycerol

0.706**

0.000

Liver MDA vs. Brain phospholipid

0.415*

0.018

Liver MDA vs. Liver Phospholipid

-0.580**

0.000

Brain MDA vs. Liver triacylglycerol

0.702**

0.000

Brain MDA vs. Brain phospholipid

0.420*

0.017

Erythrocyte MDA vs. Liver triacylglycerol

0.705**

0.000

Erythrocyte MDA vs. Brain phospholipid

0.449*

0.010

Erythrocyte MDA vs. Liver phospholipid

-0.559**

0.001

Table 3 Intensity of association among the tissue MDA and organ lipid concentrations in the animals MDA = Malondialdehyde **: Correlation is significant at the 0.01 level, *: Correlation is significant at the 0.05 level

Discussion

Cd exposures in humans and animals produce a series of adverse effects in the biological systems; which is thus the cause of great concern. In this study, the effects of Cd exposures on the lipid profile of rats along with the MDA concentration in relation to doses were examined. The finding revealed that Cd exposure indeed perturbs the metabolism of lipids; which plays an important role in the reactions of the animals. These perturbations were reflected as up-/down-regulation of the concentrations of the major lipids (cholesterol; triacylglyceride and phospholipids). Cd was found to dose-dependently down-regulate the plasma and erythrocyte concentrations of cholesterol, triacylglyceride and phospholipids the brain concentrations of cholesterol and triacylglyceride with a concomitant increase in phospholipids concentrations and decrease hepatic cell concentrations of cholesterol and phospholipids with a concomitant up-regulation in triacylglyceride concentrations significantly compared to control animals. These were in agreement with the findings of other researchers.23-26 The data also indicate that the activity of MDA an end product of lipid peroxidation was up-regulated as a result of Cd-induction which is in consistent with previous researchers.24

The observed down-regulated cholesterol in the plasma, erythrocyte, brain and hepatic cells could be attributed to the Cd effect on cholesterol metabolism which causes decrease in supply for cell division and reparative processes. Several interpretations of these results could be considered. Firstly, the decrease in cholesterol may be due to inhibition of lecithin-cholesterol acyltransferase activity in Cd-treated rats.23,24 Secondly, the cholesterol decreases in Cd-exposed animals suggests that Cd activates the acyl-CoA: cholesterol acyltransferase which catalyzes intracellular esterification of cholesterol and as such is involve in intestinal absorption of cholesterol hepatic assembly of ApoB-containing lipoproteins foam cell formation and atherogenesis.27 Thirdly, decrease cholesterol impaired developmental gene sonic hedgehog and organization of cell membranes during development of embryonic tissues and organs.28

The liver is the main source of both cholesterol synthesis and disposal therefore hypocholesterolemia is associated with increased hepatic triacylglyceride levels as divulged by this study. The association is a consequence of both decreased clearance and increased hepatic lipogenesis. Studies have shown that increased adipose tissue lipolysis in response to endotoxin and cytokines provides increased quantities of fatty acid for triacylglycerol synthesis.29 Likewise, the Cd induced decrease in the hepatic concentration of phospholipids with the concurrent growth in the brain concentration may result from their enhanced degradation by phospholipases. Cd is noted as the stimulator of the activity of phospholipase A2 responsible for this process.25 The significant dose-dependent Cd-induced phospholipidosis observed in the brain suggests that a part of fatty acids are shunted to the phospholipids synthetic pathway at the expense of triacylglyceride synthesis. This is similar to results observed from other researchers.26 It is known that phospholipids and triglycerides are metabolically interconnected by common lipid intermediates such as diacylglycerol and fatty acids which are exchanged in a recycling pathway that could be potentially relevant for membrane synthesis and lipid signal transduction.30

Moreover, changes in the level of phospholipids would compromise the integrity and function of cell membranes because these mainly depend on the lipid balance31 especially on the cholesterol/ phospholipids ratio revealed by this study. The observed alterations in cholesterol-phospholipid ratio could results in increased red cell membrane permeability, fragility and reduced fluidity. The net increase or decrease of cholesterol in the membrane would be expected to cause considerable changes in the organization of lipid molecules in the membrane. Accumulation of phospholipids in the cell of the brain may lead to the formation of numerous multi-lamellar inclusion bodies in cell cytoplasm resulting in loss of cellular function and viability to generate oxidative stress which compromises the integrity of the cell membrane thereby promoting brain dysfunction.32 The decreased plasma, erythrocytes and hepatic cell phospholipids revealed by this study may be as a result of an impairment of catabolism of the atherogenic triacylglyceride-rich lipoproteins which is due to the decreased transfer of phospholipids between plasma lipoproteins mediated in part by the phospholipid transfer protein.

The changes in the distribution of lipids in the different subcellular particles after Cd exposure can be associated with a change in the turnover of lipids in a medium of high oxidative stress which is known to modify the properties of membranes. Cd is attached to the inner membrane of mitochondria where it enhances lipid peroxidation and disturbs the integrity of mitochondrial membranes by producing hydroxyl radicals, superoxide anions, nitric oxide and hydrogen peroxide.33 The lipid peroxidation end product MDA serves as a reliable marker of oxidative stress.34 Our data revealed that induction with Cd significantly elevated MDA in all compartments. This is in consistent with previous researchers.22 Cd might have induced phagocytic cells for production of reactive oxygen species which may be involved in the initiation of lipid peroxidation and oxidative stress in different tissues. Another possible mechanism of Cd-induced lipid peroxidation through displacement of iron from its binding sites leading to acceleration of free radical production has been suggested. The up-and-down lipid profile concentrations and increased level of MDA observed in this research suggested that the membrane function is disrupted by Cd-induction as evidence in the cholesterol/phospholipids ratio.

Conclusion

However, some tissues increased and decreased lipid profile and MDA concentrations and they represent a different dose response of Cd exposure. These findings then suggest that alteration of lipid profile and elevated MDA might be one of the mechanisms underlying the subtle cellular effects of Cd toxicity.

Acknowledgements

The author appreciates the technical support of A. A. Onifade; C.F. Ekocha and O.K. Shasore at the Cell and Tissue Culture Research Laboratory (Drug Discovery Unit); Department of Biochemistry; Lagos State University; Ojo; Lagos; Badagry Expressway; Lagos - Nigeria.

Conflict of interest

The author declares no conflict of interest.

References

  1. El–Sharaky AS, Newairy AA, Badreldeen MM, et al. Protective role of selenium against renal toxicity induced by cadmium in rats. Toxicol. 2007;235(3):185–193.
  2. Roccheri M, Agnello M, Bonaventura R, et al. Cadmium induced the expression of specific stress proteins in sea urchin embryo. Biochem Biophys Res Commun. 2004;321(1):80–87.
  3. Jarup L, Hellstrom L, Alfven T, et al. Low level exposure to cadmium and early kidney damage. The OSCAR study. Occup Environ Med. 2000;57(10):668–672.
  4. Viaene MK, Masschelein R, Leenders J, et al. Neurobehavioral effects of occupational exposure to cadmium: a cross sectional epidemiological study. Occup Environ Med. 2000;57(1):19–27.
  5. Akesson A, Barregard L, Bergdahl IA, et al. Non–renal effects and the risk assessment of environmental cadmium exposure. Environ Health Perspect. 2014;122(5):431–438.
  6. Gunnarsson D, Nordberg G, Lundgren P, et al. Cadmium–induced decrement of the LH receptor expression and cAMP levels in the testis of rats. Toxicol. 2003;183(1–3):57–63.
  7. Sarkar S, Yadav P, Bhatnagar D. Lipid peroxidative damage on cadmium exposure and alteration in antioxidant system in rat erythrocytes: a study with relation to time. J Trace Elem Med Biol. 1997;11(2):8–13.
  8. Spatz L. Introduction. In: Spatz L, Bloom AD, editors. Biological Consequences of Oxidative Stress. New York: Oxford University Press; 1992. p. 3–22.
  9. Mohammad FS. Cadmium induced renal toxicity in male rats Rattus rattus. East J Med. 2010;15:93–96.
  10. Josthna P, Geetharathan T, Sujatha P, et al. Accumulation of lead and cadmium in the organs and tissues of albino rat. Inter J Pharm Life Sci. 2012;3(12):2186–2189.
  11. Hooser SB. Cadmium. In: Gupta RC, editor. Veterinary Toxicology. USA: Macmillan Company; 2007. p. 422–427.
  12. Cinar M. Cadmium and effects at biological system. Veterinarium. 2003;14:79–84.
  13. Manca D, Richard A, Trottier B, et al. Studies on lipid peroxidation in rat tissues following administration of cadmium chloride. Toxicol. 1991;67(3):303–323.
  14. Shaikh ZA, Vu TT, Zaman K. Oxidative stress as a mechanism of chronic cadmium–induced hepatotoxicity and renal toxicity and protection by antioxidants. Toxicol Appl Pharmacol. 1999;154(3):256–263.
  15. Cinar MA, Yigit A, Eraslan G. Effects of vitamin C or vitamin E supplementation on cadmium induced oxidative stress and anaemia in broilers. Revue Med Vet. 2010;10:449–454.
  16. World Health Organization. Cadmium in drinking–water, background document for development of WHO Guidelines for Drinking–water Quality. 2011. p. 1–16.
  17. Waalkes MP, Rehm S. Carcinogenicity of oral cadmium in the male Wistar (WF/NCr) rat: effect of chronic dietary zinc deficiency. Fund Appl Toxicol. 1992;19(4):512–520.
  18. Liu Y, Liu J, Habeebu SM, et al. Methallothionein–I/II Null mice are sensitive to chronic oral cadmium–induced nephrotoxicity. Toxicol Sci. 2000;57(1):167–176.
  19. Guide for the Care and Use of Laboratory Animals. NIH Publication No. 85–23. Revised 1985.
  20. Folch J, Lees M, Sloane SGH. A simple method for the isolation and purification of total lipids from animal tissues. J Biol Chem. 1957;226(1):497–509.
  21. Rose HG, Oklander M. Improved procedure for the extraction of lipids from human erythrocyte. J Lipid Res. 1965;6:428–431.
  22. Ohkawa H, Ohishi N, Yagi Y. Assay for lipid peroxides in animal tissues by thiobarbituric acid reaction. Ann Biochem. 1979;95(2):351–358.
  23. Alvarez SM, Gomez NN, Scardapane L, et al. Effects of chronic exposure to cadmium on prostate lipids and morphology. Biometals. 2006;20(5):727–741.
  24. Newairy AA, El–Sharaky AS, Badreldeen MM, et al. The hepatoprotective effects of selenium against cadmium toxicity in rats. Toxicol. 2007;242(1–3):23–30.
  25. Cheung WY. Calmodulin: its potential role in cells proliferation and heavy metal toxicity. Fed Proc. 1984;43(15):2995–2998.
  26. Silvina MA, Nidia NG, Luis S, et al. Effects of chronic exposure to cadmium on prostate lipids and morphology. Bio Metals. 2007;20:727–741.
  27. Liang K, Kim CH, Vaziri ND. HMG–CoA reductase inhibition reverses LCAT and LDL receptor deficiencies and improves HDL in rats with chronic renal failure. Am J Physiol Renal Physiol. 2005;288(3):F539–F544.
  28. Roux C, Wolf C, Mulliez N, et al. Role of cholesterol in embryonic development. Am J Clin Nutr. 2000;71(5 Suppl):S1270–S1279.
  29. Marik PE. Dyslipidemia in the critically ill. Crit Care Clin. 2006;22(1):151–159.
  30. Igal RA, Caviglia JM, Gomez Dumm IN, et al. Diacylglycerol generated in CHO cell plasma membrane by phospholipase C is used for triacylglycerol synthesis. J Lipid Res. 2001;42(1):88–95.
  31. Finney RE, Nudelman E, White T, et al. Pharmacological inhibition of phosphatidylcholine biosynthesis is associated with induction of phosphatidylinositol accumulation and cytolysis of neoplastic cell lines. Cancer Res. 2000;60(18):5204–5213.
  32. Abe A, Hiraoka M, Shayman JA. A role for lysosomal phospholipase A–2 in drug–induced phospholipidosis. Drug Met Lett. 2007;1(1):49–53.
  33. Larregle EV, Varas SM, Oliveros LB, et al. Lipid metabolism in liver of rat exposed to cadmium. Food Chem Toxicol. 2008;46(5):1786–1792.
  34. Prabu SM, Muthumani M, Shagirtha K. Quercetin potentially attenuates cadmium–induced oxidative stress mediated cardiotoxicity and dyslipidemia in rats. Eur Rev Med Pharmacol Sci. 2013;17(5):582–595.
Creative Commons Attribution License

©2015 Ogunrinola. This is an open access article distributed under the terms of the, which permits unrestricted use, distribution, and build upon your work non-commercially.