Submit manuscript...
eISSN: 2379-6367

Pharmacy & Pharmacology International Journal

Research Article Volume 9 Issue 6

Gender differences in MS related pain, correlation with MRI lesion localization and burden of disease

Mirla Avila,1 Volker Neugebauer,2 John DeToledo3

1Department of Neurology, Texas Tech University Health Sciences Center, USA
2Department Chairperson Pharmacology and Neuroscience, Texas Tech University Health Sciences Center, USA
3Neurology Chair, Texas Tech University Health Sciences Center, USA

Correspondence: Mirla Avila, Department of neurology, Texas Tech University Health Sciences Center, USA, Tel 8322448072, Fax 806 743 5687

Received: December 01, 2021 | Published: December 17, 2021

Citation: Avila M, Neugebauer V, DeToledo J. Gender differences in MS related pain, correlation with MRI lesion localization and burden of disease. Pharm Pharmacol Int J. 2021;9(6):258-261. DOI: 10.15406/ppij.2021.09.00354

Download PDF

Summary

Brain MRI evaluated in MS patients with and without pain. Authors found a correlation between lesion location and the presence of moderate to severe pain.

Introduction

Multiple Sclerosis (MS) is an inflammatory demyelinating disorder of the central nervous system (CNS). It is the most common cause of acquired neurologic dysfunction in young patients. It is an autoimmune condition and is more prevalent in woman.1 The incidence of MS in the United States is approximately 85-100 cases per 100,000 people per year. The ratio of women to men has been estimated to be 2.6:1.1 The evaluation and diagnosis of MS is critically dependent on the findings of Magnetic Resonance Imaging (MRI). Characteristically MS plaques are multiple, hyperintense in T2 weighted images and Fluid Attenuated Inversion Recovery (FLAIR). Hypointense lesions in T1-WI are associated with areas of myelin loss.2 Brain MRI is important in treatment decisions as lesions may be clinically silent.

Pain was initially not considered to be a common symptom in MS but more recently it has been estimated to occur in 17% to 86% of MS patients.3,4,5 The clinical presentation varies widely between individuals, ranging from burning, aching, pricking, stabbing, or squeezing sensations. Painful spasms of the extremities are also related to central pain.6 About 32% of MS patients report that pain is their most severe MS-related symptom.7 Severe pain invariably interferes with the quality of life in MS patients since it becomes a frequent, disabling and often incompletely controlled symptom.8 Pain interferes with sleep, occupational performance, and quality of life in general. There is evidence that higher pain levels contribute to worsening fatigue and depression in MS patients.

Although the clinical course of the pain-related symptoms in patients with MS can be fluctuating, a large number of patients experience a progressive worsening of their pain-related symptoms. Preliminary evidence suggests that neurochemical and functional changes in the central nervous system are the basis for the progression to the state of chronic severe pain. Studies of patients with chronic pain syndromes (non-MS patients), utilizing structural MRI and Magnetic Resonance Spectroscopy (MRS) reveal abnormalities in brain regions involved in pain processing, including thalamus, amygdala, prefrontal cortex, cingulate cortex, and somatosensory cortex.9,10

In this study, in addition to assessing the nature and severity of the pain, we evaluated whether there were gender differences in MS related pain and localization of lesions and burden of disease contributed to these symptoms.

Methods

Study was conducted at TTUHSC Neurology Clinic and University Medical Center in Lubbock Texas. Approval by the Institutional Review Board was obtained prior to conducting the study. All patients signed full consent prior to enrollment. A total of 100 patients were initially enrolled. Two patients were incorrectly enrolled twice, therefore a total of 98 patient were included.

The presence of pain, its clinical features and the severity of the pain experience were assessed utilizing the Modified McGill pain questionnaire. Detailed demographic data were collected from each patient including year of diagnosis, pain treatment history, clinical course, disease modifying treatments, presence of other neuropathic pain (trigeminal neuralgia, Lhermitte’s sign, dysesthetic pain), somatic pain (back pain and painful tonic spasms), or visceral pain, and different qualitative and quantitative aspects of pain. Headache, acute pain due to optic neuritis, and somatic pain other than back pain (tendonitis, capsulitis) was not considered.

Electronic medical records from these patients were analyzed by the same investigator in order to ensure consistency in data interpretation. Brain MRI (1.5 Tesla scanner) was obtained in 98 patients and was evaluated for T2 hyperintense lesion localization, burden of disease (lesion count) and the presence of gadolinium enhancing lesions. Spine MRI was available for 84 patients and was analyzed for the presence of spinal cord lesions. Moderate to severe pain was considered when patient ranked 5 or more on/in intensity in the McGill pain questionnaire.

Statistical analysis

Demographics and sample characteristics were summarized by gender. Age and pain data are presented as mean±standard deviation, and all binary variables are presented as frequency of positive (percentage). Differences by gender in age and pain were tested using two-sided Student’s t-test for independent means, and differences in categorical data were assessed using chi-squared test. Subjects were categorized as having elevated pain if they scored 5 or more in general, specific, or usual pain. Pain groups were compared in MRI findings using chi-squared test. Cohen’s d was used as a standardized measure of effect size. Statistical significance was accepted at the level P<0.05. The statistical analysis was performed using Stata 13.1 (StataCorp, College Station, TX).

Results

A total of 98 patients were included in the final analysis (27% male and 72% female). Sample description is presented in Table 1. Of the 98 patients 80% (78 patients) reported having moderate to severe pain. Of the 27 male patients, 89% reported having moderated to severe pain whereas 76% of the 71 female patients reported similar symptoms (see Table 2).

 

 

Gender

 

n

Female

Male

Total

p

 

(n=71)

(n=27)

(n=98)

Age (years), M±SD

98

43.8±11.9

42.9±11.7

43.5±11.8

0.723

Age at diagnosis (years), M±SD

98

35.4±11.5

36.4±8.8

35.7±10.8

0.657

Treatment for MS

       

Previous, n (%)

95

43 (62.32)

12 (46.15)

55 (57.89)

0.155

Current, n (%)

97

66 (92.96)

25 (96.15)

91 (93.81)

0.563

Table 1 Sample description

Pain

Moderate to severe pain   80% (n 78)

 

Female 76%

 

Male 89%

Lesion location and the presence of moderate to severe pain

Thalamus 92.3%

 

Brain stem 86%

 

Spinal cord 61%

Table 2

A comparison of the two groups showed an approximate difference of 0.8 points between the genders, suggesting that male patients with MS were at higher risk of developing symptoms of moderate to severe pain in the course of their illness. The relatively small sample and the larger number of female MS patients in the cohort did not permit further analysis of statistical significance. The effect size of the difference was d=0.27 in both cases.

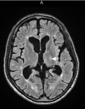
Brain MRI lesions were found in periventricular, subcortical, thalamus and brainstem. Lesion location seemed to play an important role in the presence of pain. Moderate to severe pain was found in 92.3% of the patients that had a lesions in the thalamus and in 86% of the patient's with brainstem lesions (Figure 1 and 2).

Figure 1 Brain MRI flair sequence which shows a left hypenintense thalamic lesion (arrow).

Figure 2 Brain MRI flair sequence which shows a Right brainstem hyperintense lesion (arrow).

We found a significantly higher proportion of thalamus and brainstem lesions in males (p=0.018, and p=0.009 respectively). Spinal, thalamus, and brainstem lesions combined showed also a higher proportion for males than females (p=0.043). Brainstem lesions were present in 29 patients, of which 86% were complaining of moderate to severe pain. Spine MRI was available for 84 patients, and 61% of patients with lesions in the spinal cord reported moderate to severe pain.

Of the patients with lesions limited to the subcortical and periventricular regions, 69% reported having moderate to severe pain. This was significantly different from patients who had thalamic or brainstem lesions, where 85% or more of them reported similar symptoms.

Pain was more common in lower extremities, followed by upper extremities and face. Facial pain was reported by 14% of the patients. Neuropathic-type pain was reported in 31% of the patients. The most common word to describe their pain was burning sensation. A few patients described a feeling resembling a severe electrical shock traveling down parts of an extremity, which did not respond well to previous treatments. Burden of disease varied from 5 to 115 white matter lesions and did not seem to correlate with type or degree of pain. There was no correlation with burden of disease and gender.

Power analysis

A power analysis was conducted using G*power in order to compute the required sample size based on the observed effects (lesion vs. no-lesion in a combination of spinal cord, thalamus, or brainstem areas) according to the following parameters: Significance level =0.05; power (1-b) = 0.80; Odds ratio = 2.45; allocation ratio N2/N1 (no lesion/lesion) = 23/66 = 0.3385; proportion p2 (pain among no-lesion patients) = 16/23 = 0.7273. It was determined that at least 467 patients (349 with pain, 118 without pain) would be required to detect statistically significant differences in proportions. More information presented in Appendix section.

Discussion

It was once thought that pain was an uncommon symptom in multiple sclerosis with some earlier studies quoting the prevalence of central neuropathic pain in the MS population to be 28%.11 Our study shows that the actual prevalence of pain is significantly more common, with 80% of all patients with MS reporting moderate to severe pain symptoms. Earlier reports suggested that pain was present twice as often in women with relapsing remitting MS when compared to healthy controls but did not compare the prevalence of the symptoms between genders.12 This study suggests that men are at higher risk of developing moderate severe pain secondary to the MS.

The mechanisms causing pain in MS are not well understood. Most accepted mechanisms postulate is that pain is the result of demyelination along the neural axis, mediated by dorsal horn neurons radiating via the spinothalamic tract to the thalamus; demyelinated plaque interrupts descending inhibitory pain fibers; or that the immune process directly produces central pain response.13,14 Recent study using functional MRI in patients with chronic pain showed that there is decreased coactivation in the caudate nucleus and nucleus accumbens bilaterally; suggesting a maladaptive physiology of chronic pain, since there was a dysfunction in the reward system in MS patients with chronic pain.15

Previous studies demonstrated gender differences in the prevalence of chronic pain in non-MS patient.16 Other studies of patients with chronic pain syndromes utilizing brain imaging studies revealed abnormalities in pain processing areas of the brain. These areas include the thalamus, amygdala, prefrontal cortex, cingulate cortex and somatosensory cortex.17,18 Eighty percent of our MS patients reported moderate to severe pain. Pain was more common in male patients. Although the correlation between lesions in certain regions of the brain and pain has been demonstrated in other pathologies, our study is the first to demonstrate the correlation between lesion location (thalamus, brainstem, spinal cord) and the presence of moderate to severe pain in patients with MS.

Conclusion

Pain can be a debilitating symptom in MS patients. Recent reports, including the present study, have shown that moderate and severe pain is more common in MS than initially considered and that men may be at greater risk of developing this complication than women. The pain symptoms in our patients were variable and often accompanied by “atypical” features. Because the pain symptoms often did not fit typical pain description, symptoms were often ascribed to psychosomatic factors or simply ignored by the treating physician. This resulted in the unfortunate situation of many patients with MS having their pain symptoms ignored, underdiagnosed and untreated. Less than half of our patients had been offered or received treatment for their MS related pain symptoms.

Although the correlation between lesions in certain regions of the brain and pain has been demonstrated in other pathologies, our study is the first to demonstrate the correlation between lesion location (thalamus, brainstem, spinal cord) and the presence of moderate to severe pain in patients with MS.15

Lesions in the thalamus, brainstem, and spinal cord appear to be associated with an increased risk of pain-type symptoms progressing to chronic pain. This may suggest that early treatment of these lesions, even in clinically asymptomatic patients, may be justified. As mentioned in a recent research, the thalamus plays an important role as an information relay center, and involvement of the thalamus in MS has been linked with a variety of clinical symptoms including fatigue, movement disorders, pain, and cognitive impairment.16 There are limitations in the day to day clinical practice regarding MS pain and imaging techniques. For better evaluation of these anatomical and connectivity subregions there are limitations in spatial resolution, which could improve with advances in imaging techniques. There is certainly a need for further research to increase understanding in MS pain. Increased awareness of the variable presentation of pain symptoms in MS and the observation that intermittent pain has a tendency to progress to chronic pain will lead to improvement in treatment options and quality of life in MS patients.

Acknowledgments

Special acknowledgment for the Laura W. Bush Institute for Women’s Health, to the Clinical Research Institute and to the Center of Excellence for Translational Neuroscience and Therapeutics.

Disclosure

Mirla Avila MD: Participates in patient and physician speaker programs, advisory board meeting. No conflict of interest for this particular study.

Eneko Larumbe-Zabala PhD, Volker Neugebauer MD, PhD, John DeToledo MD: nothing to Disclose.

References

  1. Noonan C, Kathman S, White M. Prevalance estimates for MS in the United States and evidence of an increasing trend for women. Neurology. 2002;58(1):136–138.
  2. Fazekas F, Barkhof F, Filippi M, et al. The contribution of magnetic resonance imaging to the diagnosis of multiple sclerosis. Neurology. 1999;53(3):448–456.
  3. Archibald CJ, McGrath PJ, Ritvo PG, et al. Pain prevalence, severity and impact in a clinic sample of multiple sclerosis patients. Pain. 1994;58(1):89–93.
  4. Solaro C, Brichetto G, Amato P. The prevalence of pain in multiple sclerosis. A multicenter cross-sectional study. Neurology. 2004;63(5):919–921.
  5. Mersky H, Bogduk N. Classification of chronic pain. Seattle: IASP Press; 1994.
  6. Ro D, Nurmikko TJ, Friede T, et al. Randomized, controled trial of cannabis based medicine in central pain in MS. Neurology. 2005;65(6):812–819.
  7. Stenager E, Knudsen L, Jensen K. Acute and chronic pain syndromes in multiple sclerosis. Acta Neurol Scand. 1991;84(3):197–200.
  8. Bonica JJ. Introduction: semantic, epidemiologic, and educational issues. In: Casey, KL, eds. Pain and central nervous system disease: the central pain syndromes. New York: Raven Press; 1991. 21 p.
  9. Gibson SJ, Farrell M. A review of age differences in the neurophysiology of nociception and the perceptual experience of pain. Clin J Pain. 2004;20(4):227–239.
  10. Tracey I. Neuroimaging of pain mechanisms. Curr Opin Support Palliat Care. 2007;1(2):109–116.
  11. Simons LE, Moulton EA, Linnman C, et al. The human amygdala and pain: evidence from neuroimaging. Hum Brain Mapp. 2014;35(2):527–538.
  12. Newland PK, Naismith RT, Ullione M. The impact of pain and other symptoms and quality of life and woman with relapsing remitting multiple sclerosis. J Neurosci Nurs. 2009;41(6):322–328.
  13. White SR, Byas D, Bieger D, et al. Monoamine containing fiver plexus in spinal cord of guinea pigs during paralysis, recovery and relapse stages of chronic relapsing experimental allergic encephalomyelitis. J Neuroimmunol. 1989;22(3):211–221.
  14. Zhang JH, Huang YG. The immune system: A new look at pain. Chin Med J. 2006;119(11):930–938.
  15. Seixas D, Palace J, Tracey I. Chronic pain disrupts the reward circuitry in multiple sclerosis. European Journal of Neuroscience. 2016;44(3):1928–1934.
  16. Amin M, Ontaneda D. Thalamic injury and cognition in Multiple Sclerosis. Front Neurol. 2021;11:623914.
Creative Commons Attribution License

©2021 Avila, et al. This is an open access article distributed under the terms of the, which permits unrestricted use, distribution, and build upon your work non-commercially.