Submit manuscript...
eISSN: 2378-3176

Urology & Nephrology Open Access Journal

Case Report Volume 4 Issue 1

Early Recurrence of Focal Segmental Glomerulosclerosis after Kidney Transplantation in a Child: A Case Report

Shuaa Asiri,1 Naif Abdulmajeed,2 Saeed Alzahrani,2 Saeed Alghwery,2 Abdulmonem Alghamdi,2 Majed Aloufi2

1Central Laboratory Department, Prince Sultan Military Medical City, Saudi Arabia
2Pediatric Nephrology Department, Prince Sultan Military Medical City, Saudi Arabia

Correspondence: Majed Aloufi, Pediatric Nephrology Department , Prince Sultan Military Medical City, Riyadh, P.O Box 7897 Riyadh 11159, Saudi Arabia, Tel 00 966537110088

Received: March 01, 2017 | Published: January 17, 2017

Citation: Asiri S, Abdulmajeed N, Alzahrani S, et al. Early recurrence of focal segmental glomerulosclerosis after kidney transplantation in a child: a case report. Urol Nephrol Open Access J. 2017;4(1):12-14. DOI: 10.15406/unoaj.2017.04.00113

Download PDF

Abstract

The survival rate of kidney graft after kidney transplantation has been improved following the introduction of current immune suppression drugs. However, the risk of recurrence or de novo glomerulonephritis still remains. Most forms of glomerular disease can recur after transplantation [1] but different forms of glomerulonephritis have widely different allograft outcomes. Whereas IgA nephritis recurs in up to one third of transplanted patients, this is not associated with adverse effects on graft survival. In contrast, recurrent focal segmental glomerulosclerosis (FSGS) has an unfavorable prognosis [2] and so early detection and appropriate treatment can be crucial. We are presenting here a patient with primary FSGS who developed acute kidney injury and heavy proteinuria in the first week post-transplant that responded completely to multiple plasmapheresis sessions and four doses of Rituximab.

Abbreviations

FSGS: Focal Segmental Glomerulosclerosis; ATG: Anti-Thymocyte Globulin; EBV: Epstein-Barr Virus; PP: Plasmapheresis; BUN: Blood Urea Nitrogen

Case Report

We present here in a case of an 11 year old girl with focal segmental glomerulosclerosis (FSGS) diagnosed at two years of age. She progressed to chronic kidney failure with peritoneal dialysis at 9 years. She underwent deceased kidney transplantation from an unrelated pediatric donor with a negative cross match with baseline characteristics of both donor and recipient are shown in Table 1. She was induced with anti-thymocyte globulin (ATG) and methylprednisolone and she started to pass urine immediately. Her serum creatinine decreased smoothly until it reached 105 micromol/L by day 3. Tacrolimus was introduced in the third day post transplantation and she was maintained on the triple immunosuppression agents of tacrolimus, mycophenolate and prednisone. Increasing body oedema, associated with more than 300 mg/l proteinuria by urine dipstick and a Protein/Creatinine ratio of 2500-4000 mg/mmol was noted on the third day post transplantation. Serum creatinine increased gradually over the subsequent three days to 324 micromol/L. Clinical examination confirmed hypertension with blood pressure about 135/85 mmHg, periorbital puffiness, distended abdomen with moderate ascites, and moderate lower limb oedema. At that stage, she was suspected to have a recurrence of her primary disease, so kidney allograft biopsy was urgently arranged.

 

Donor

Recipient

Age (year)

10

11

Sex

F

F

Weight (kg)

30

24

Height(cm)

138

127

Blood Group

A+

A+

Tissue Typing

A2; B8,51; CW4,15; DR1,7; DQ2,5

A32; B18; CW5; DR4,7; DQ2

CMV

IgG positive

IgG positive

EBV

IgG positive

IgG positive

Table 1: Characteristics of both donor and recipient.

Kidney Allograft Biopsy Findings

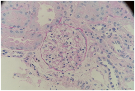
Light microscopy: Sections stained for H+E, PAS, and Jones methenamine silver and trichrome stains showed the renal cortex containing 32 glomeruli with no segmental or global sclerosis. The glomeruli were normocellular and the capillary loops were not thickened. Interstitial fibrosis, inflammation and tubular atrophy were absent. The arteries and arterioles were unremarkable (Figure1).

Figure 1: LM image with normal glomerulus and tubulointerstitia.

Immunohistochemistry: Peritubular capillary staining for C4d was negative.

Immunofluorescence microscopy: Sections stained for IgG, IgA, IgM, C3, C1q, and fibrinogen. There was mild granular mesangial staining for IgM. All other stains were negative.

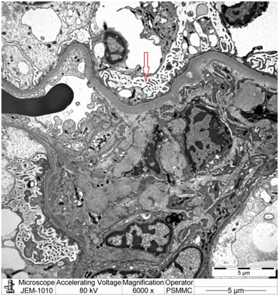
Electron microscopy: Sections stained with Toluidine blue stain showed the renal cortex containing 16 glomeruli, none globally sclerotic. Ultrastructure evaluation showed diffuse epithelial foot processes effacement with microvillus proliferation, mild amounts of electron dense deposits in the mesangial region. The glomerular basement membranes were normal thickness (Figure 2&3).

Figure 2: EM image showing diffuse epithelial foot processes effacement with microvillus proliferation (red arrow).
Figure 3: High power EM image showing the diffuse epithelial foot processes effacement with microvillus proliferation.

Diagnosis: Minimal change nephropathy indicating early recurrence of focal segmental glomerulosclerosis.

Clinical Course

Plasmapheresis (PP) was started with albumin/fresh frozen plasma as replacement fluid for the initial intensive 12 sessions. Renal function recovered, edema resolved and creatinine levels dropped to 95 micromol/l. The patient was maintained on two sessions per week of PP, but continued to show heavy proteinuria. At that stage, we decided to give her four doses of Rituximab (375 mg/m2) that were given every other week without complication. Both enalapril and candesartan were added as antiproteinuric and antihypertensive agents. She was discharged home on once weekly PP with her blood urea nitrogen (BUN) 3.4 mmol/l, serum creatinine 48 micromol/L with protein/creatinine ratio between 800-1200 mg/mmol and stable graft and patient status. Her renal parameters continued to be within acceptable range and her protein/creatinine ratio gradually decreased over the subsequent six weeks after Rituximab, until it reached and stabilized at a level far below the nephrotic range proteinuria between 70-120 mg/mmol. So PP was discontinued after which she continued to have stable graft function without signs of recurrence of her proteinuria and FSGS.

Ten months later, she had another recurrence of her FSGS, with increased urine protein/creatinine ratio reached more than 1000 mg/mmol, and associated with slight increments in her serum creatinine, for which two doses of Rituximab given. She showed immediate recovery with normalization of Urine protein/creatinine ratio. Currently, she is more than three years after kidney transplantation with no more recurrence and latest serum creatinine is 52 µmol/L and urine protein/creatinine Ratio is 0.5 mg/mmol, she had no further admission since then. She had never diagnosed to have any infectious complications and her regular viral monitoring for Cytomegalovirus, Epstein–Barr virus (EBV) and BKV were unremarkable.

Discussion

Focal segmental glomerulosclerosis is a common cause of end stage renal disease requiring renal transplantation [3]. In the pediatric age group, FSGS has a high rate of recurrence (up to 30%) [4-6]. The risk of recurrence in the first graft is high, up to 30%, with graft loss of 40-60% [4,7] while the risk of recurrence in a second graft is 60–100% [8]. Risk factors include: Onset of nephrotic syndrome during childhood, rapid course to ESRD (<3 years), female sex, bilateral nephrectomy, mesangial hypercellularity, presence of FSGS circulating factor [4,5]. The podocin mutation may play a role in pathogenesis and early recurrence of FSGS [3,9]. The presentation of recurrence includes early massive proteinuria (78% during the first month after transplant, often as early as in the first urine from the graft) and sometimes graft failure and hypertension [9]. Proteinuria may herald the development of FSGS even if an early biopsy does not show glomerular abnormalities under light microscopy (as our case). In other words light microscopy will not show any evidence for FSGS and only the presence of diffuse epithelial foot process effacement on electron microscopic examination can prove the diagnosis pathologically.

Patients with post-transplant proteinuria >2 g/day who have FSGS as their original disease should be treated as soon as possible with an intensive course of plasmapheresis [3]. In spite of the risk of recurrence, patients with FSGS should not be excluded from transplantation. In the case of living donation, the possibility of recurrence and its consequences should be clearly highlighted and discussed with the donor and the recipient and preemptive plasma exchange should be planned [3]. In this case, we believe that management was started sufficiently early and aggressively in order to prevent any negative outcome for her new transplanted kidney. The benefit of Rituximab has been suggested in multiple case series and case reports [10-19]. The number of doses given varies in different studies between 1-6 doses, with an overall success rate of up to 64%. Therefore, we decided on a course of four doses every other week. This achieved full remission after 6 weeks, which is the average response time reported in many studies.

Summary

This 11 years old girl with primary FSGS and early recurrence FSGS post transplantation was managed with a combination of multiple sessions of PP and four doses of Rituximab, after which she had complete remission. In conclusion, this is another case of recurrent FSGS that shows a good response to the combination of PP and Rituximab. Further longitudinal prospective controlled studies are needed in order to assess the efficacy of such a protocol in the management of recurrent FSGS.

References

  1. Ivanyi B (2008) A primer on recurrent and de novo glomerulonephritis in renal allografts. Nat Clin Pract Nephrol 4(8): 446-457.
  2. Sprangers B, Kuypers DR (2013) Recurrence of glomerulonephritis after renal transplantation. Transplant Rev (Orlando) 27(4): 126-134.
  3. Ponticelli C (2010) Recurrence of focal segmental glomerular sclerosis (FSGS) after renal transplantation. Nephrol Dial Transplant 25(1): 25-31.
  4. Cochat P, Fargue S, Mestrallet G, Jungraithmayr T, Koch-Nogueira P, et al. (2009) Disease recurrence in paediatric renal transplantation. Pediatr Nephrol 24(11): 2097-2108.
  5. Sener A, Bella AJ, Nguan C, Luke PP, House AA (2009) Focal segmental glomerular sclerosis in renal transplant recipients: predicting early disease recurrence may prolong allograft function, Clin Transplant 23: 96-100.
  6. Golgert WA, Appel GB, Hariharan S (2008) Recurrent glomerulonephritis after renal transplantation: an unsolved problem. Clin J Am Soc Nephrol 3(3): 800-807.
  7. Hariharan S, Peddi VR, Savin VJ, Johnson CP, First MR, et al. (1998) Recurrent and de novo renal diseases after renal transplantation: a report from the renal allograft disease registry. Am J Kidney Dis 31(6): 928-931.
  8. Montagnino G, Tarantino A, Banfi G, Maccario M, Costamagna L, et al. (2000) Double recurrence of FSGS after two renal transplants with complete regression after plasmapheresis and ACE inhibitors. Transpl Int 13(2): 166-168.
  9. Mohey H, Thibaudin L, Laurent B, Berthoux F (2013) The podocin mutation R229Q and early recurrence (within the first year) of glomerular disease after renal transplantation. Ann Transplant 18: 436-442.
  10. Hristea D, Hadaya K, Marangon N, Buhler L, Villard J, et al. (2007) Successful treatment of recurrent focal segmental glomerulosclerosis after kidney transplantation by plasmapheresis and rituximab. Transplant Int 20(1): 102-105.
  11. Gossmann J, Scheuermann EH, Porubsky S, Kachel HG, Geiger H, et al. (2007) Abrogation of nephrotic proteinuria by rituximab treatment in a renal transplant patient with relapsed focal segmental glomerulosclerosis. Transplant Int 20(6): 558-562.
  12. Westphal S, Hansson S, Mjörnstedt L, Mölne J, Swerkersson S, et al. (2006) Early recurrence of nephrotic syndrome (immunoglobulin M nephropathy) after renal transplantation successfully treated with combinations of plasma exchanges, immunoglobulin and rituximab. Transplant Proc 38(8): 2659-2660.
  13. Nozu K, Lijima K, Fujisawa M, Nakagawa A, Yoshikawa N, et al. (2005) Rituximab treatment for post transplant lymphoproliferative disorder (PTLD) induces complete remission of recurrent nephrotic syndrome. Pediatr Nephrol 20(11): 1660-1663.
  14. Pescovitz MD, Book BK, Sidner RA (2006) Resolution of recurrent focal segmental glomerulosclerosis proteinuria after rituximab treatment. N Engl J Med 354(18): 1961-1963.
  15. Meyer TN, Thaiss F, Stahl RA (2007) Immunoadsorbtion and rituximab therapy in a second living-related kidney transplant patient with recurrent focal segmental glomerulosclerosis. Transplant Int 20(12): 1066-1071.
  16. Nakayama M, Kamei K, Nozu K, Matsuoka K, Nakagawa A, et al. (2008) Rituximab for refractory focal segmental glomerulosclerosis. Pediatr Nephrol 23(3): 481-485.
  17. Kamar N, Faguer S, Esposito L, Guitard J, Nogier MB, et al. (2007) Treatment of focal segmental glomerulosclerosis with rituximab: 2 case reports. Clin Nephrol 67(4): 250-254.
  18. Marks SD, McGraw M (2007) Does rituximab treat recurrent focal segmental glomerulosclerosis post-renal transplantation? Pediatr Nephrol 22(1): 158-160.
  19. Yabu JM, Ho B, Scandling JD, Vincenti F (2008) Rituximab failed to improve nephrotic syndrome in renal transplant patients with recurrent focal segmental glomerulosclerosis. Am J Transplant 8(1): 222-227.
Creative Commons Attribution License

©2017 Asiri, et al. This is an open access article distributed under the terms of the, which permits unrestricted use, distribution, and build upon your work non-commercially.