Submit manuscript...
eISSN: 2378-3176

Urology & Nephrology Open Access Journal

Case Report Volume 5 Issue 4

MYH9 Mutation, the Hidden Face of Diverse Disease Spectrum - from Renal Perspective. Renal Perspective of MYH9 Mutation

Assel Rakhmetova,1 Pakesh Baishya,1 Pouneh Dokouhaki,1 Abdullah Alabbas,2 Kim Solez1

1Department of laboratory medicine and pathology, University of Alberta hospital, Canada
2Department of pediatrics, division of nephrology, University of Alberta hospital, Canada

Correspondence: Pakesh Baishya, Department of laboratory medicine and pathology, University of Alberta hospital, Edmonton, Alberta, Canada, Tel 1 5875328105

Received: December 10, 2017 | Published: October 26, 2017

Citation: Rakhmetova A, Baishya P, Dokouhaki P, Abdullah A, Solez K (2017) MYH9 Mutation, the Hidden Face of Diverse Disease Spectrum - from Renal Perspective. Renal Perspective of MYH9 Mutation. Urol Nephrol Open Access J 5(4): 00181. DOI: 10.15406/unoaj.2017.05.00181

Download PDF

Abstract

MYH9 (myosin heavy chain 9)-mutation is a frequent genetic disorder among African-Americans and rare in Caucasians that can lead to dramatic deterioration of renal function and as a consequence, end stage renal disease (ESRD). The clinical presentation of MYH9 mutations includes five syndromes: May-Hegglin anomaly, Sebastian, Fechtner, Epstein syndromes and isolated sensorineural deafness. The diagnosis is challenging to establish due to non-specific presentation that requires exclusion of a vast number of other entities. Renal biopsy is not commonly performed but it may reveal non-specific findings such as mesangial expansion with hypercellularity, focal segmental glomerulosclerosis (FSGS) and/or global glomerulosclerosis usually with no immune complex deposition. The immunostaining study for alpha-smooth muscle actin (SMA) can be valuable to perform in patients suspected to have MYH9 mutations in order to detect early FSGS. Additional studies for patients presenting with thrombocytopenia, decreasing glomerular filtration rate, proteinuria and haematuria are suggested. Here, we report a child with classic clinical picture of MYH9 genetic disorder that presented with early focal segmental glomerulosclerosis with possible concurrent C1q nephropathy. This case highlights the importance of kidney biopsy in optimal management of pediatric patients with MYH9 related diseases.

Keywords: FSGS,  kidney,  MYH9, pediatric,  proteinuria,  C1q nephropathy

Abbreviations

MYH9,  myosin heavy chain 9; ESRD,  end stage renal disease; FSGS,  focal segmental glomerulosclerosis; SMA,  alpha-smooth muscle actin; NMMHC-IIA,  non-muscle myosin heavy chain IIA; HIVAN,  HIV associated nephropathy

Introduction

MYH9 gene mutation results in a spectrum of diseases, such as May -Heglin anomaly and Epstein syndrome, depending upon the type of isoforms involved.1 This mutation is inherited as an autosomal dominant entity and the gene encodes for non-muscle myosin heavy chain IIA (NMMHC-IIA) which is a part of myosin superfamily. The exact incidence of this disease in different populations is yet to be determined however, certain studies show the higher incidence in African-Americans.2,3 Clinically, it presents frequently as macrothrombocytopenia, dohle inclusion bodies in polymorphs, sensorineural deafness, elevated liver enzymes, pre- senile cataract and renal involvement.4 There is limited insight into the renal manifestations because of infrequent biopsy practice due to low platelet count. The majority of the patient suffering from nephritis present as proteinuria, haematuria or even progressive renal failure. Recent molecular studies revealed that there are many susceptibility loci in this gene associated with FSGS, HIV associated nephropathy (HIVAN) and non-diabetic end stage kidney disease. The pathogenesis of this entity is poorly understood however, it is considered that NMMHC-IIA protein is part of actin/myosin contractile apparatus located in the podocyte foot processes and its defect result in an abnormal filtration and defective podocyte matrix production.

The NMMHC-IIA protein is also located in mesangial cells and renal tubular cells. Due to the low number of biopsies, exact histomorphology is still not clear. When kidney biopsy is done, a wide spectrum of histological changes from mild mesangial proliferation to segmental sclerosis and global glomerulosclerosis with diverse tubulointerstitial changes are seen.5 It is difficult to appreciate the typical immunofluorescent (IF) findings, as different studies have reported different IF findings. A definitive diagnosis needs immunofluorescent staining with monoclonal antibodies against NMMHC-IIA to visualize the inclusion bodies in leucocytes and gene studies apart from renal biopsies. Pediatric cases with typical history should be further investigated to rule out underlying genetic disorder and also to exclude any other superimposed condition because early diagnosis is crucial for management and follow up of these patients. Here, we report a case with review of the disease spectrum, in order to highlight the importance of renal biopsy in proper management of pediatric cases of MYH-9 mutation.

Case presentation

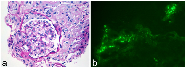
A 12 years old boy with a known mutation in MYH9 gene, which was diagnosed due to chronic thrombocytopenia with giant platelets and mild to moderate sensorineural hearing loss at 6 ears of age. At 10years old, he started to develop proteinuria (3+) and microhematuria (6-10/HPF). In our clinic, his protein/creatinine ratio was 170.18 mg/mmol. He had normal blood pressure and estimated GFR. Performed serology (ANCA, ANA, Anti- ds-DNA, C3 and C4) was negative. Ultrasonography did not reveal any abnormalities in either of the kidney. We performed renal biopsy with platelet transfusion prior to the procedure. Light microscopy of kidney core biopsy showed one glomerulus (1/26 available glomeruli) with segmental sclerosis and hyalinosis at the vascular pole with tubularization of the epithelium of Bowman’s capsule see Figure a. All glomeruli showed mild to moderate mesangial hypercellularity.

No significant parenchymal scarring was present. Immunofluorescence study showed moderate mesangial staining of C1q see Figure b, mild mesangial staining for IgG, IgA, and C3; Mild to moderate mesangial staining for Kappa and Lambda light chains. Immunohistochemical staining for Smooth Muscle Actin (SMA) was focally positive in mesangium. Electron microscopy assessment showed focal effacement of foot processes and numerous mesangial and paramesangial dense immune complex-type deposits. Thus, the diagnosis of focal and segmental glomerulosclerosis with possible C1q nephropathy compatible with MYH9 nephropathy was established.

Figure 1A Vascular pole with tubularization of the epithelium of Bowman’s capsule.
Figure 1B Immunofluorescence study showed moderate mesangial staining of C1q.

Discussion

The case we present here illustrates an early focal segmental glomerulosclerosis- with immunoglobulin and complement deposition mimicking C1q nephropathy- in a pediatric patient with MYH9 gene mutation. We postulate that immune-related deposits in glomeruli of patients with MYH9 mutation may not be as easily cleared as normal individuals due to defects in mesangial cell cytokinesis and function. This may contribute to a more pronounced proteinuria and faster progression to ESRD. This is particularly important for screening and early management of pediatric patients with MYH9 related disease. As a member of class II non-muscle myosin heavy chains (NMMHCs), MYH9 gene product (NMMHC-IIA) has a wide distribution in many tissues and different cell types. In humans, it is expressed mainly in platelets, leukocytes, kidney, and cochlea.6 Exclusive expression of NMMHC-IIA is seen in platelets, megakaryocytes and granulocytic lineages, which is consistent with the fact that macrothrombocytopenia and leukocyte inclusions are exclusively present in MYH9 disease.7

Recently, Pecci et al.8 elegantly demonstrated that MYH9genotype is a major determinant of the disease phenotype. They defined the disease evolution associated with seven genotypes that, overall, account for about 85% of the MYH9-RD cases. In their 2014 publication, these investigators elaborated on their previous observation that the site of mutation is correlated with the development of severe form of the disease and multiple organ involvement. They included 255 consecutive patients belonging to 121 unrelated MYH9-RD pedigrees with 34 different mutations. Certain mutations, particularly SH1 helix substitution (R702 substitution), are directly associated, not only with higher risk of nephropathy but also with more accelerated progression to ESRD in the affected individuals.9

Our patient has a heterozygous missense mutation in Exon 17 which is defined as c.2104 C>T that is predicted to result in amino acid substitution Arg702Cys. As a result, he has a higher risk of kidney involvement and progression to ESRD, which is reflected in a younger age at the presentation and higher level of proteinuria. Such patients require more rigorous treatment and closer follow up. Kidneys can be involved in 30-70% of the patients with MYH9-related disease. The clinical presentation can vary from no abnormality to proteinuria with or without haematuria. Proteinuria may remain subnephrotic or may become nephrotic.10 There is no consensus and established clinical guideline regarding the criteria to perform kidney biopsy in these subsets of patients. Nevertheless, the most commonly described renal pathologies are mesangial proliferation, FSGS especially its collapsing variant in both HIV infected and non-infected individuals, followed by global glomerulosclerosis and ESRD.11,12

All forms of the disease are notably more common among individuals of African descent.11 The ethnic background of our patient is of Indian origin and he has negative family history of MYH9 RD or nephropathy. Histomorphological changes in our case matches the earliest lesion observed in patients with MYH9 mutation, as has been elegantly documented by Sekin et al.13 in their case series. A rather unexpected finding in our patient was the deposition of immune complexes with C1q predominance by immunofluorescence and deposits by EM. These findings resemble C1q nephropathy, which particularly in pediatric patients can have identical clinical and pathological characteristics. This pattern is rare in MYH9-RD but has been reported before and is believed to be a part of the spectrum of kidney involvement in this disease.14,15

The distinction between MYH9 related nephropathy and C1q is difficult to make and relies mainly on detection of MYH9 mutations. The etiology and pathogenesis of this rare histopathological form of MYH9-related nephropathy is unknown. One can, however, postulate that the defective expression of NMMHC in mesangial cells may impair their effective cytokinesis and phagocytosis, which is normally required for clearance of entrapped immunoglobulins and complement factors. Conclusion: The cases with persistent thrombocytopenia, deafness along with proteinuria and diverse histomorphological changes in biopsy should be vigorously investigated for underlying hidden genetic disease such as MYH9 nephropathy.

Acknowledgments

This work has been made possible through ISN funded fellowship.

Conflicts of interest

 No financial interest or any conflict of interest exists.

Funding

None.

References

  1. Seri M, Cusano R, Gangarossa S, et al. Mutations in MYH9 result in the May–Hegglin anomaly, and Fechtner and Sebastian syndromes. The May–Heggllin/Fechtner Syndrome Consortium. Nat Genet. 2000;26(1):103–105.
  2. Oleksyk TK, Nelson GW, An P, et al.  Worldwide distribution of the MYH9 kidney disease susceptibility alleles and haplotypes: evidence of historical selection in Africa. PLoS One. 2010;5(7):e11474.
  3. Kao WH, Klag MJ, Meoni LA, Reich D, et al. MYH9 is associated with nondiabetic end–stage renal disease in African Americans. Nat Genet. 2008;40(10):1185–1192.
  4. Heath KE, Campos–Barros A, Toren A, et al. Nonmuscle myosin heavy chain IIA mutations define a spectrum of autosomal dominant macrothrombocytopenias: May–Hegglin anomaly and Fechtner, Sebastian, Epstein, and Alport–like syndromes. Am J Hum Genet. 2001;69(5):1033–1045.
  5. Kopp JB. Glomerular pathology in autosomal dominant MYH9 spectrum disorders: what are the clues telling us about disease mechanism? Kidney Int. 2010;78(2):130–133.
  6. Marigo V, Nigro A, Pecci A, et al. Correlation between the clinical phenotype of MYH9–related disease and tissue distribution of class II nonmuscle myosin heavy chains. Genomics. 2004;83(6):1125–1133.
  7. Maupin P, Phillips CL, Adelstein RS, et al. Differential localization of myosin–II isozymes in human cultured cells and blood cells. J Cell Sci. 1994;107(Pt 11):3077–3090.
  8. Pecci A, Panza E, Pujol–Moix N, et al. Position of nonmuscle myosin heavy chain IIA (NMMHC–IIA) mutations predicts the natural history of MYH9–related disease. Hum Mutat. 2008;29(3):409–417.
  9. Pecci A, Klersy C, Gresele P, et al. MYH9–related disease: a novelprognostic model to predict the clinical evolution of the disease based on genotype–phenotype correlations. Hum Mutat. 2014;35(2):236–247.
  10. Singh N, Nainani N, Arora P, et al. CKD in MYH9–related disorders. Am J Kidney Dis. 2009;54(4):732–740.
  11. Freedman BI, Hicks PJ, Bostrom MA, et al. Polymorphisms in the non–muscle myosin heavy chain 9 gene (MYH9) are strongly associated with end–stage renal disease historically attributed to hypertension in African Americans. Kidney Int. 2009;75(7):736–745.
  12. Ghiggeri GM, Caridi G, Magrini U, et al. Genetics, clinical and pathological features of glomerulonephritis associated with mutations of nonmuscle myosin IIA (Fechtner syndrome). Am J Kidney Dis. 2003;41(1):95–104.
  13. Sekine T, Konno M, Sasaki S, et al. Patients with Epstein–Fechtner syndromes owing to MYH9 R702 mutations develop progressive proteinuric renal disease. Kidney Int. 2010;78(2):207–214.
  14. Reeves–Daniel AM, Iskandar SS, Bowden DW, et al. Is collapsing C1q nephropathy another MYH9–associated kidney disease? A case report. Am J Kidney Dis. 2010;55(5):e21–44.
  15. Ohtsuka Y, Kanaji T, Nishi M, et al. A notable case report of May–Hegglin anomaly with immune complex–related nephropathy:a genetic and histological analysis. Clin Nephrol. 2011;75(3):255–262.
Creative Commons Attribution License

©2017 Rakhmetova, et al. This is an open access article distributed under the terms of the, which permits unrestricted use, distribution, and build upon your work non-commercially.