Submit manuscript...
eISSN: 2378-3176

Urology & Nephrology Open Access Journal

Case Report Volume 3 Issue 1

Post subtotal thyroidectomy calciphylaxis with normal calcium phosphorus product following kidney transplantation: a case report

Ahmed I Akl,1,2 Abdalla sidahmed Mohamed,2 Naeim Salah,2 Mubarak Al Shraim,3 Ahmed Nassar,1,4 Khalid Al Alshiekh2

1Urology and Nephrology center, Mansoura University, Egypt
2AFHSR, khamis Mushayt, KSA
3Pathology Department, College of Medicine, King Khalid University, KSA
4Dermatology, Tanta University, Egypt

Correspondence: Ahmed Akl, Urology & Nephrology Center, Mansoura, Egypt

Received: November 16, 2015 | Published: January 12, 2016

Citation: Ahmed IAKl, Mohamed AS, Salah N, et al. Post subtotal thyroidectomy calciphylaxis with normal calcium phosphorus product following kidney transplantation: a case report. Urol Nephrol Open Access J. 2016;3(1):1-3. DOI: 10.15406/unoaj.2016.03.00060

Download PDF

Abstract

Cutaneous calciphylaxis can occur early or late after kidney transplantation. We report a 43year-old female with end stage renal failure (ESRD) secondary to unknown cause, who was on dialysis for 15years and received deceased kidney transplant 3years ago. She had cutaneous calciphylaxis lesions confirmed by biopsy, involving the medial aspect of the thighs bilaterally and a large necrotic ulcer on the posterior aspect of the left thigh. The patient had no classic risk factors. She had subtotal parathyroidectomy but have normal serum calcium, phosphate and parathyroid hormone level. The clinical outcome of this case was favorable and highlights some fundamental issues relating to management.

Keywords: post transplantation, calciphylaxis, hyperparathyroidism, calcium-phosphate product, necrotizing livedo reticularis

Abbreviations

ESRD, end stage renal failure; PTH, parathyroid hormone

Introduction

Calciphylaxis represent a disease in which abnormally the calcium deposit in the walls of small- and medium-sized arteries causing ischaemic necrosis of the tissues supplied by those arteries that is called necrotizing livedo reticularis. First cases reported having calciphylaxis were among dialysis patients.1 Therefore, it was first named as calcific uraemic arteriolopathy however it was found that it is not exclusive to uraemic patients but observed as well in non-uraemic conditions including: primary hyperparathyroidism, malignancy, autoimmune diseases and even after kidney transplantation.2 Calciphylaxis, is a serious disease that can be fatal characterized by painful skin lesions localized on the peripheral extremities.1,2 Patient survival is less than 40%.3

Calciphylaxis is a progressive disease that usually affects the distal parts of lower limbs. In addition, it may affect any part of the body, including visceral tissue.4,5 Pathogenesis of calciphylaxis is not well known but may be due to abnormal calcium phosphate homeostasis. There are many risk factors associated with the incidence of calciphylaxis; the most common is hyperparathyroidism and the dysregulation of calcium-phosphate metabolism leading to abnormal calcium phosphate product. Diseases associated with atherosclerosis like diabetes mellitus, obesity, coagulopathies, and warfarin or iron dextran treatment may contribute as well in calciphylaxis. A few reported patients suffering calciphylaxis been reported after kidney transplantation.5‒7 In here, we describe an unusual presentation of a case of calciphylaxis one-year post subtotal parathyroidectomy in a kidney transplanted patient with normal serum calcium & phosphate product levels with superimposed infection.

Case presentation

A 43year-old female with ESRD, on dialysis for 15years was received a kidney graft from deceased donor on 24th Feb 2009 with smooth post operative course and good initial graft function with no rejection episodes. She was admitted in July 2009 with corrected calcium 3.27mmol/L, phosphate 0.62mmol/L, PTH 19.8pmol/l (n. 0.7-5.6pmol/l). Subsequent to that she had subtotal-parathyroidectomy with normalization of corrected calcium and phosphate level and calcium-phosphate product of less than four. She was not on warfarin, calcium supplements nor alfacalcidol. She had good graft function with creatinine ranging between 79-106µmol/L. Her treatment was prednisolone 5mg OD, Tacrolimus 1.0mg BID, Mycophenolat Mofetil 1.0gm BID and Amlodipine 5mg OD. She was re-admitted on 29th July 2012 with a complaint of sudden onset of painful lesions bilaterally on the medial aspect of her thighs. They appeared within 48hours prior to admission and were not associated with a history of trauma. Serum levels of calcium, phosphate and calcium-phosphate product were found to be normal. Clinically, both lesions were well demarcated, gangrenous in appearance and foul smelling (Figure 1). Painful nodules were palpable on the medial side of the right thigh. Peripheral pulses were intact.

Figure 1 On the left leg, a well-demarcated and large ulcerated lesion [1.A]. In comparison, [1.B & 1.C] the lesions on the left leg are those in the early changes of calciphylaxis and show typical picture of gangrenous lesion typical of calciphylaxis.

Her BMI was 22.3kg/m2 and results of a laboratory work-up for vasculitis were negative. Protein electrophoresis showed low serum albumin and hypo-gammaglobulinemia. The patient’s hemoglobin level was 12.1g/dL, hematocrit 36.6%; normal; corrected serum calcium 2.58mmol/L; phosphate 1.09mmol/L; Mg++ 0.66mmol/L; alkaline phosphatase 152 IU/L; urea 7.5mmol/L; serum creatinine 98µmol/L; albumin 26gm/L.

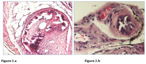
Swabs taken from this lesion grew mix growth of gram positive cocci. A wedge biopsy of the lesion confirmed the diagnosis of calciphylaxis (Figure 2). A second biopsy shows cocci and hyphae confirming bacterial and fungal infection. Intravenous antibiotic was immediately introduced. Based on biopsy and culture results voriconazole was added for two weeks as it is the treatment of choice in seriously invasive candidiasis and aspergillosis. Modification of tacrolimus level was needed as therapeutic level reached 20ng/ml with rise of serum creatinine from 98 to 154µmol/L. Withdrawal of half dose of tacrolimus the level returned back to 8.9 ng/ml and creatinine level normalized. Our patient had aggressive treatment with antibiotics including Piperacillin/tazobactam, Meropenem and voriconazole this treatment resulted in compacting infection and survival of the patient. Over a period of one month, new lesions had fully resolved while old lesion ulcerate forming 20 x 15cm ulcer on the posterior aspect of left thigh with undermined edges and necrotic base that was corrected surgically.

Figure 2 Photomicrograph (original magnification x10; Hematoxylin and eosin stain) showing extensive calcification of the vessel with endovascular fibrosis causing marked vascular luminal obliteration [2.a]. Photomicrograph (original magnification x 20; Hematoxylin and eosin stain) showing luminal occlusive small vessel calcification [2.b].

Discussion

We describe an unusual calciphylaxis of the medial aspect of the proximal part of the lower limb with superimposed infection. To the best of our knowledge, there are few cases reported of rapid onset cutaneous calciphylaxis occurring after kidney transplantation,8 and another case report of late calciphylaxis occurring post kidney transplantation both cases suffered unfavorable outcome.3,9 Interestingly, our patient did not have any of the recognizable risk factors associated with the development of calciphylaxis. The clinical outcome in our case has been favorable and emphasizes the importance of early diagnosis, aggressive antimicrobial therapy, wound management and minimization of maintenance immunosuppression. Calciphylaxis may present in the form of mild erythematous patches, painful nodules, livido reticularis or necrotic ulcerating lesions, giving various possible differential diagnoses.10

Histopathology is the gold standard diagnosis for calciphylaxis through a diagnostic biopsy to exclude other causes of cutaneous lesions. The standard management includes treatment of hyperparathyroidism; reduction of calcium-phosphate product, culture based anti-microbial therapy if there was infection and meticulous care of the wound.7,11,12 Several therapeutic approaches for the treatment of calciphylaxis have been reported starting with parathyroidectomy then less commonly hyperbaric oxygen therapy, sodium thiosulfate infusion, tissue plasminogen activator and recently bisphosphonates but none have shown any consistent benefit.13 Cinacalcet has been prescribed as a treatment of calciphylaxis in patients medically unfit for parathyroidectomy.12 It suppresses PTH release and has been shown to be effective in cases with high PTH levels as in secondary hyperparathyroidism.11,12 Cinacalcet was not introduced in our patient as calcium-phosphate product was normal and PTH level could not be done at the time. In general, calciphylaxis is associated with a poor prognosis if not aggressively managed. Monitoring of the immunosuppressive medications especially calcineurin trough level is mandatory. In conclusion cutaneous calciphylaxis lesions should be promptly managed with meticulous wound care, antimicrobial therapy and the correction of calcium-phosphate product where indicated.

Acknowledgements

None.

Conflict of interest

Author declares that there is no conflict of interest.

References

  1. Angelis M, Wong LL, Myers SA, et al. Calciphylaxis inpatients on hemodialysis: A prevalence study. 1997;122(6):1083‒1089.
  2. Nigwekar SU, Wolf M, Sterns RH, et al. Calciphylaxis from non-uremic causes: A systematic review. Clin J Am Soc Nephrol. 2008;3(4):1139‒1143.
  3. Vanbelleghem H, Terryn W, Van Leuven L, et al. A dramatic case of calciphylaxis 20 years after kidney transplantation. Nephrol Dial Transplant. 2004;19(12):3183-3185.
  4. Shapiro C, Coco M. Gastric calciphylaxis in a patient with a functioning renal allograft. Clin Nephrol. 2007;67(2):119‒125.
  5. Brewster UC, Perazella MA. Calcific uremic arteriolopathy in a transplanted kidney. Am J Med Sci. 2005;329(2):102‒103.
  6. Vanbelleghem H, Terryn W, Van Leuven L, et al. A dramatic case of calciphylaxis 20 years after kidney transplantation. Nephrol Dial Transplant. 2004;19(12):3183‒3185.
  7. Fox R, Banowsky LH, Cruz AB. Post-renal transplant calciphylaxis: successful treatment with parathyroidectomy. J Urol. 1983;129(2):362‒363.
  8. Giacobetti R, Feldman SA, Ivanovich P, et al. Sudden fatal pulmonary calcification following renal transplantation. 1977;19(5):295‒300.
  9. Strehl JD, Brandenburg V, Forster C, et al. Calciphylaxis. A less well-known, clinically relevant disease. 2011;32(3):250‒256.
  10. Aabed G, Al Furayh O, Al-Lehbi A, et al. Calciphylaxis-associated second renal graft failure and patient loss: a case report and review of the literature. Exp Clin Transplant. 2008;6(4):287‒293.
  11. Mohammed IA, Sekar V, Bubtana AJ, et al. Proximal calciphylaxis treated with calcimimetric 'cinacalcet'. Nephrol Dial Transplant. 2008;23(1):387‒389.
  12. Velasco N, MacGregor MS, Innes A, et al. Successful treatment of calciphylaxis with cinacalcet-an alternative to parathyroidectomy? Nephrol Dial Transplant. 2006;21(7):1999‒2004.
  13. Hayden MR, Goldsmith D, Sowers JR, et al. Calciphylaxis: calcific uremic arteriolopathy and the emerging role of sodium thiosulfate. Int Urol Nephrol. 2008;40(2):443‒451.
Creative Commons Attribution License

©2016 Ahmed, et al. This is an open access article distributed under the terms of the, which permits unrestricted use, distribution, and build upon your work non-commercially.