Submit manuscript...
eISSN: 2378-3176

Urology & Nephrology Open Access Journal

Case Report Volume 12 Issue 2

Sarcomatoid carcinoma of the urinary bladder: a case report

Abdelmounim Boughaleb,1,2 Reda Tariqi,1,2 Hicham EL Bote,3 Hamza EL Abidi,1,2 Imad Boualaoui,1,2 Ahmed Ibrahimi,1,2 Hachem EL Sayegh,1,2 Yassine Nouini1,2

1Urology A department, Ibn Sina University Hospital of Rabat, Morocco
2Faculty of Medicine and Pharmacy, Mohammed V University, Rabat, Morocco
3Sultan Moulay Slimane University, Department of Anatomy, Faculty of Medicine and Pharmacy, Beni Mellal, Morocco

Correspondence:

Received: May 22, 2024 | Published: June 7, 2024

Citation: Boughaleb A, Tariqi R, Bote HEL, et al. Sarcomatoid carcinoma of the urinary bladder: a case report. Urol Nephrol Open Access J. 2024;12(2):33-34. DOI: 10.15406/unoaj.2024.12.00352

Download PDF

Abstract

Background: Sarcomatoid carcinoma of the urinary bladder (SCUB) is a rare and aggressive malignancy with limited clinical data due to its infrequency. This case report contributes to the existing knowledge by presenting a patient with SCUB and highlighting the diagnostic workup, treatment course, and clinical outcomes.

Case presentation: A 57-year-old man presented with lower urinary tract symptoms and hematuria. Imaging revealed a 4 cm bladder tumor. Transurethral resection of bladder tumor (TURBT) confirmed pT2 sarcomatoid carcinoma. Radical cystoprostatectomy with bilateral pelvic lymphadenectomy and urinary diversion was performed. Pathological examination confirmed SCUB with no lymph node involvement. The patient remains disease-free at two years follow-up.

Conclusion: SCUB is an uncommon malignancy with a poor prognosis. Radical cystectomy is the preferred treatment; however, outcomes remain poor. A multimodal approach may offer improved outcomes for locally advanced diseases. Further research is needed to establish more effective treatment strategies.

Keywords: sarcomatoid carcinoma, urinary bladder, case report, radical cystectomy, enterocystoplasty

Abbreviations

SCUB, sarcomatoid carcinoma of the urinary bladder; TURBT, transurethral resection of bladder tumor; SC, sarcomatoid sarcoma; CS, carcinosarcoma; LUTS, lower urinary tract symptoms

Introduction

Sarcomatoid carcinoma of the urinary bladder is a rare and aggressive type of bladder cancer. It has been described using various terms, including malignant mesodermal mixed tumor, spindle cell carcinoma, giant cell carcinoma, sarcomatoid sarcoma (SC), carcinosarcoma (CS), pseudosarcomatous transitional cell carcinoma, and malignant teratoma.1 To simplify nomenclature, the World Health Organization recommends using the term “sarcomatoid carcinoma” for all biphasic malignant neoplasms showing both epithelial and mesenchymal differentiation. Due to its rarity and aggressive nature, clinical data on SCUB management remain limited, often relying on case reports to inform treatment strategies and improve understanding of this unique malignancy. This case report contributes to the existing knowledge on SCUB, highlighting the diagnostic workup, treatment course, and clinical outcomes.  By sharing this experience, we aim to provide valuable insights for clinicians encountering this rare and challenging malignancy.

Case presentation

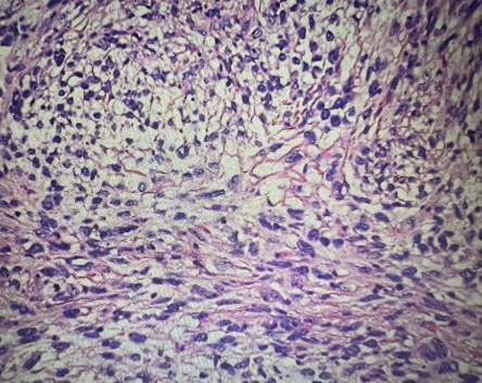
A 57-year-old man, with history of cigarettes smoking, presented with obstructive lower urinary tract symptoms (LUTS) and intermittent hematuria. Ultrasonography revealed a 4 × 5 cm urinary bladder tumor on the left lateral wall, with normal-appearing upper urinary tracts. Endoscopy revealed a large, polypoid tumor within the bladder; therefore, underwent transurethral resection of bladder tumor (TURBT). Histopathological examination revealed pT2 sarcomatoid carcinoma Figure 1. Radical cystoprostatectomy with bilateral extended pelvic lymphadenectomy and urinary diversion was subsequently performed. Definitive histopathology confirmed a pure sarcomatoid carcinoma without perivesical involvement and 21 lymph nodes negative for malignancy. Additionally, the prostate, bilateral seminal vesicles, vas deferens, and ureteric margins were free of tumor (pT2, N0, Mx) so did not received adjuvant chemotherapy. At two years of follow-up, he remains alive with no evidence of disease.

Figure 1 Histopathology slide showing sarcomatoid carcinoma presenting round cells, giant pleomorphic cells and spindle-shaped anisokaryocytic cells.

Discussion

Sarcomatoid carcinoma of the urinary bladder (SCUB) is an uncommon malignancy, representing 0.11% to 4.3% of all bladder carcinomas according to histopathological analysis.2 Analysis of the SEER database revealed a median diagnosis age of 75 years (range: 41-96 years) with a male predominance (male-to-female ratio: 1.9:1).2 The disease exhibits a racial disparity, predominantly affecting Caucasians (89.1%), followed by African Americans (6.8%) and other ethnicities (4.1%).2 Notably, these demographic characteristics may differ from single-institution studies. Our case report presents a 57-year-old male with SCUB, which aligns with the established median age range of this malignancy.2 Risk factors for SCUB largely mirror those of urothelial carcinoma. Cigarette smoking is the most prominent risk factor.3 In this case, the patient's history of smoking aligns with this established risk factor. Additionally, prior radiation therapy and intravesical cyclophosphamide, a chemotherapy agent, have been linked to an increased risk.3 Emerging evidence suggests a potential association between long-term benzodiazepine and SCUB development.4 The precise origin of SCUB remains a subject of debate. Proposed theories include collision tumors, poorly differentiated urothelial carcinoma with stromal metaplasia, and undifferentiated sarcomatoid spindle cell urothelial carcinoma.5

Clinical manifestations is similar to other urothelial carcinomas, with hematuria being the most frequent presenting symptom.1 Patients often present with advanced-stage disease and high histological grade upon diagnosis.2 Macroscopic examination typically reveals a large, intraluminal mass projecting into the bladder cavity, often presenting as a polypoid, pedunculated, or broad-based growth.1 Histologically, SCUB exhibits a blend of carcinomatous and sarcomatoid elements in varying proportions. In most cases, the sarcomatoid component exceeds 50% of the tumor volume. The epithelial component can manifest as various carcinomas, including transitional cell carcinoma, squamous cell carcinoma, carcinoma in situ, small cell carcinoma, and adenocarcinoma. The sarcomatoid component can encompass leiomyosarcoma (smooth muscle cancer), chondrosarcoma, rhabdomyosarcoma, and rarely, liposarcoma. Interestingly, the presence of more than one type of heterologous differentiation is possible.6 Immunohistochemistry plays a crucial role in confirming the diagnosis. Vimentin, cytokeratin, epithelial membrane antigen, and/or smooth muscle antigen are some commonly employed markers.7

The aggressive nature of SCUB and its usual presentation at an advanced stage render treatments like transurethral resection of bladder tumor (TURBT) or partial cystectomy unsuitable.8 Radical cystectomy appears to be the preferred treatment for both superficial and deeply invasive disease; however, local recurrence and metastasis rates remain high even after radical surgery.9,10 A multimodal approach incorporating radical cystectomy, local radiation therapy, and chemotherapy seems to offer better outcomes for locally advanced disease. For metastatic disease, chemotherapy remains the mainstay of treatment.1 However, the lack of randomized controlled trials underscores the need for multi-institutional clinical trials to establish a more effective treatment protocol for this rare and aggressive malignancy. The prognosis is unfavorable, with poor outcomes regardless of the treatment approach. Pathologic stage emerges as the sole significant predictor of patient survival. Other factors such as age, sex, ethnicity, marital status, year of diagnosis, and treatment modality appear to have no significant impact on disease-specific survival.2

Conclusion

Sarcomatoid carcinoma of the urinary bladder is a rare and aggressive malignancy with a poor prognosis. While radical cystectomy remains the mainstay of treatment, a multimodal approach incorporating radiation and chemotherapy may offer improved outcomes for locally advanced disease. Further research through multi-institutional clinical trials is warranted to establish more effective treatment strategies for this challenging malignancy.

Acknowledgments

None.

Conflicts of interest

The authors declares that there are no conflicts of interest.

References

  1. Malla M, Wang JF, Trepeta R, et al. Sarcomatoid Carcinoma of the Urinary Bladder. Clin Genitourin Cancer. 2016;14(5):366–372.
  2. Wang J, Wang FW, Lagrange CA, et al. Clinical features of sarcomatoid carcinoma (carcinosarcoma) of the urinary bladder: analysis of 221 cases. Sarcoma. 2010;2010:454792.
  3. Wang J, Gillaspie C, Kunadharaju R, et al. Sarcomatoid urothelial carcinoma: A single cancer center experience. World J Oncol. 2011;2()4):175–180.
  4. Baio R, Spiezia N, Marani C, et al. Potential contribution of benzodiazepine abuse in the development of a bladder sarcomatoid carcinoma: a case report. Mol Clin Oncol. 2021;15(5):231.
  5. Robinson SP, Farooq A, Laniado M, et al. The demographic features, clinical outcomes, prognosis and treatment options for patients with sarcomatoid carcinoma of the urinary bladder: a single centre experience. Int Braz J Urol. 2018;44(1):45–52.
  6. Kadouri Y, Ouskri S, Sayegh HE, et al. Sarcomatoid carcinoma of the urinary bladder: analysis of five cases and literature review. Pan Afr Med J. 2020;36:369.
  7. Sanchez JEH, Figueira YR, Gonzalez RT, et al. Sarcomatoid carcinoma of the urinary bladder: a case report and review of the literature. J Med Cases. 2014;5(2):116–119.
  8. Daga G, Kerkar P. Sarcomatoid carcinoma of urinary bladder: a case report. Indian J Surg Oncol. 2018;9(4):644–646.
  9. JP Stein, G Lieskovsky, R Cote, et al, Radical cystectomy in the treatment of invasive bladder cancer: long-term results in 1,054 patients. Journal of Clinical Oncology. 2001;19(3):666–675.
  10. JL Wright, PC Black, GA Brown, et al. Differences in survival among patients with sarcomatoid carcinoma, carcinosarcoma and urothelial carcinoma of the bladder. Journal of Urology. 2007;178(6):2302–2306.
Creative Commons Attribution License

©2024 Boughaleb, et al. This is an open access article distributed under the terms of the, which permits unrestricted use, distribution, and build upon your work non-commercially.