Submit manuscript...
eISSN: 2378-3176

Urology & Nephrology Open Access Journal

Case Report Volume 2 Issue 3

Selective arterial embolization of arteriovenous malformation causing gross hematuria in horseshoe kidney

Maher Saleh Moazin, Muhammad Tahir Bashir Malik, Muhammad Aslam, Saud Abdullah Al Moosa

King Fahd Medical City, King Saud University of health Sciences, Saudi Arabia

Correspondence: Muhammad Tahir Bashir Malik, Assistant Consultant Urologist, King Fahd Medical City, P.O. Box 59046, Riyadh 11525, Kingdom of Saudi Arabia, Tel 966-11-2889999

Received: March 03, 2015 | Published: April 7, 2015

Citation: Moazin MS, Malik MTB, Aslam M, et al. Selective arterial embolization of arteriovenous malformation causing gross hematuria in horseshoe kidney. Urol Nephrol Open Access J. 2015;2(3):68-70. DOI: 10.15406/unoaj.2015.02.00036

Download PDF

Abstract

Introduction: Renal arteriovenous malformations (AVMs) are aberrant connections between the renal artery and vein. They present most commonly with gross hematuria. Treatment options are catheter embolization, balloon catheter occlusion, vascular ligation, partial nephrectomy or nephrectomy. Selective embolization is currently the first line treatment for arteriovenous fistulas.

Setting: KFMC, Riyadh, Saudi Arabia

Case: A 28year female presented with gross intractable hematuria. C.T revealed horseshoe kidney. Selective left renal angiography revealed a cork-screw like small renal vessels at inter polar region. Selective embolization of AV malformation was done. Hematuria was resolved. DMSA after one year revealed 33% function in that kidney.

Conclusion: Super selective transcatheter embolization should be the initial treatment modality for congenital AVM even in anomalous kidneys with the aim to control bleeding and occlude those malformations supplied by the terminal portion of inters lobar arteries. Renal scintigraphy is a useful follow up tool for evaluating renal function in these patients after embolization.

Keywords: arterio-venous malformations, horseshoe kidney, angio-embolization

Introduction

Renal arteriovenous malformations (AVMs) are aberrant connections between the renal artery and vein. They may be acquired or congenital in their aetiology. Arterio venous malformations may present most commonly with gross hematuria .However they may present incidentally or even with congestive cardiac failure and renal insufficiency in large AVMs1,2 AVMs appear as irregular filling defects in the pelvicalyceal system on excretory urography. Three dimensional ultrasound and MR angiography are more accurate findings to detect them than excretory urography and are non-invasive. Selective renal angiography or digital subtraction angiography is most accurate diagnostic tool for AVMs. Treatment options are catheter embolization, balloon catheter occlusion, vascular ligation, partial nephrectomy or nephrectomy.3,4 Nephrectomy was used to be done for AVMs in the past, transcatheter arterial embolization has now become the treatment of choice.5,6 Despite its controversial efficacy of repeated embolization, it is currently the first line treatment for arteriovenous fistulas.7

Case history

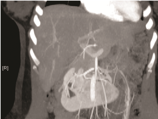
A 28years female with past history of laparoscopic cholecystectomy presented as an emergency with first episode of gross hematuria and clot retention. She was catheterized and bladder irrigation was performed. Serum creatinine was normal. Computerized tomography revealed horseshoe kidney. Cystoscopy and retrograde pyelography was unremarkable. As hematuria persisted, CT angiogram was done which showed hoarse-shoe kidney (Figure 1).

Figure 1 Hoarse-shoe kidney.

Selective left renal angiography by hand injection revealed a cork-screw like small renal vessels at inter polar region representing nidus of AV malformation with multiple feeding arteries associated with early draining to IVC (Figure 2). Selective embolization of AV malformation was done. Right common femoral artery was accessed with 6Fr sheath and 5Fr guide wire. Different angle angiogram showed multiple feeding arteries. The main Left renal artery feeding branches were occluded by embolizing material Onyx. There were no complications (Figure 3).

Figure 2 Left renal AV-malformation.
Figure 3 Embolization of AV-Malformation.

The patient recovered well from the procedure and hematuria was resolved. Follow-up DMSA a year after the embolization revealed moderately enlarged left kidney with thin cortex and large focal defect in upper pole, upper lateral and mid lateral cortex indicating a big scar. And 33.7% of contribution by left kidney to total renal function (Figure 4). At her recent follow up a year after embolization, she was asymptomatic, renal profile was normal and hematuria never recurred.

Figure 4 DMSA scan on follow-up.

Discussion

Renal AVF, initially described by Varela in 1928, represents a low incidence clinical entity with variable clinical presentation.8 Arteriovenous malformation may be detected incidentally while patient undergoing investigations for some other indications. Kanda and colleagues have presented similar case of AV malformation detected in a patient with horseshoe kidney while patient was investigated with angiography for hemorrhagic shock after injury in road traffic accident. He was subjected to renal angiography and it showed a right renal arteriovenous malformation from which leakage of contrast medium was detected. Hemostasis was possible by embolization of the abnormal artery and no recurrence of renal AVM detected on follow up.9 Pregnancy may increase the propensity of bleeding from renal AV malformations because of the hyper dynamic circulatory state that exists during pregnancy predisposing to bleeding from vascular malformations.10

Cases have been reported where bleeding arteriovenous malformations necessitated nephrectomy or partial nephrectomy or abortion. However therapeutic embolization was successful in a patient reported by Jun and colleagues, whose arteriovenous malformation was treated successfully by therapeutic embolization. The patient's convalescence was unremarkable and a healthy newborn was delivered without any complications.11

Another report presented 48-year-old Caucasian woman presented with gross hematuria, left flank pain, and clot retention. Her systolic and diastolic blood pressure values were normal at presentation. However, the patient had anemia (8gm/dl) and tachycardia (110bpm). She underwent color and spectral Doppler sonography, multi-slice computed tomography, and angiography of the kidneys, which showed a renal arteriovenous malformation pole on top of the left kidney. The feeding artery of the arteriovenous malformation was selectively embolized with a micro catheter introduced using a right trans femoral approach. By using this technique, the bleeding was stopped, preserved renal parenchymal function, and relieved the patient's symptoms. The hemodynamic effects associated with the abnormality were also corrected.12 Supers elective transcatheter embolization should be the initial treatment modality for congenital AVM with the aim to control bleeding and occlude those malformations supplied by the terminal portion of inter lobar arteries. Large malformations supplied by multiple feeders may require operative ligation and removal of the AVM when vessels cannot be occluded satisfactorily because of massive shunting.13 Renal scintigraphy is a useful follow up tool for evaluating renal function in these patients after embolization.14

Acknowledgements

None.

Conflict of interest

The author declares no conflict of interest.

References

  1. Thayaparan A, Amer T, Mahdi E, et al. Complete Renal Artery Embolization in a Comorbid Patient with an Arteriovenous Malformation. Case Rep Urol. 2014;2014:856059.
  2. Dames EL, Ng LG, Tay KH. Congenital renal arteriovenous malformation presenting with gross hematuria after a routine jog:a case report. J Med Case Rep. 2014;8:65.
  3. Ishikawa T, Fujisawa M, Kawabata G, et al. Assessment of availability of magnetic resonance angiography (MRA) in renal arteriovenous fistula. Urol Res. 2004;32(2):104­106.
  4. Gómez Pascual JA, Chicharro Molero JA, Bonilla Parrilla R, et al. Post­ traumatic renal arteriovenous fistula. Conservative treatment with super selective embolization. Arch Esp Urol. 2002;55(8):949­952.
  5. Murata S, Onozawa S, Nakazawa K, et al. Endovascular embolization strategy for renal arteriovenous malformations. Acta Radiol. 2014;55(1):71–77.
  6. Shih CH, Liang PC, Chiang FT, et al. Transcatheter embolization of a huge renal arteriovenous fistula with Amplatzer Vascular Plug. Heart Vessels. 2010;25(4):356–358.
  7. Hayakawa K, Aoyagi T, Ohashi M, et al. Surgical treatment for an idiopathic renal arteriovenous fistula with a large aneurysm. Int J Urol. 2001;8(1):26–28.
  8. Maldonado JE, Sheps SG, Bernatz PE, et al. Renal arteriovenous fistula. A reversible cause of hypertension and heart failure. Am J Med. 1964;37:499–513.
  9. Kanda H, Kanai M, Araki T, et al. A case report: renal arteriovenous malformation associated with horseshoe kidney detected by hemorrhage due to injury. Hinyokika Kiyo. 2003;49(6):325–328.
  10. Klimberg I, Wilson J, Davis K, et al. Hemorrhage from congenital renal arteriovenous malformation in pregnancy. Urology. 1984;23(4):381–384.
  11. Jun Shik Shin, Han Ki Yun, Yong Il Park. Congenital Renal Arteriovenous Malformation in Pregnancy. Korean J Urol. 2008;49(2):182–185.
  12. Carrafiello G, Laganà D, Peroni G, et al. Gross hematuria caused by a congenital intra renal arteriovenous malformation: a case report. J Med Case Rep. 2011;5:510.
  13. Clouse ME, Levin DC, Desautels RE. Trans catheter embolo therapy for congenital renal arteriovenous malformations. Long–term follow–up. Urology. 1983;22(4):360–365.
  14. Ogi S, Fukumitsu N, Tsuchida D, et al. The role of renal scintigraphy in renal arteriovenous malformation treated by transcatheter arterial embolization. Clin Nucl Med. 2002;27(12):877–882.
Creative Commons Attribution License

©2015 Moazin, et al. This is an open access article distributed under the terms of the, which permits unrestricted use, distribution, and build upon your work non-commercially.