Submit manuscript...
Journal of
eISSN: 2373-6410

Neurology & Stroke

Case Report Volume 7 Issue 4

A Case of First Epileptic Seizure Diagnosed with Top of the Basilar Syndrome

Zeynep Özözen Ayas,1 Dilcan Kotan2

1Sakarya University Training and Research Hospital, Department of Neurology, Turkey
2Sakarya University, Faculty of Medicine, Department of Neurology, Turkey

Correspondence: Zeynep Özözen Ayas, Sakarya University Training and Research Hospital, Department of Neurology, Adnan Menderes Road, Saglık St. No: 195, 541, Adapazarı, Sakarya, Turkey, Tel 5059039605, Fax 02642759192;

Received: August 04, 2017 | Published: September 12, 2017

Citation: Ayas ZÖ, Kotan D (2017) A Case of First Epileptic Seizure Diagnosed with Top of the Basilar Syndrome. J Neurol Stroke 7(4): 00244. DOI: 10.15406/jnsk.2017.07.00244

Download PDF

Introduction

Top of the basilar syndrome (TOB-S) is characterized by infarction of thalamus, mesencephalon, and posterior cerebral artery territory as a result of the occlusion of rostral basilar artery. Brain stem and hemispheric involvement may occur in isolation or in combination. This syndrome presents with a variety of symptoms including altered consciousness, oculomotor signs, memory, and behavioral disorders. In this article, we report a 84-year-old woman with TOB-S whose initial symptom was seizure, an even rarer presentation of the disease.

Case report

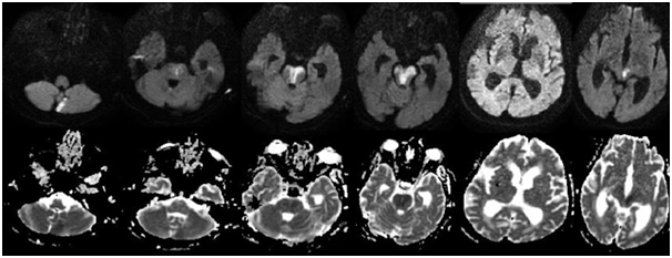
A 84-year-old woman was admitted to emergency department after having generalized tonic clonic seizure (GTC). She had a history of hypertension but not epilepsy. Her initial neurological examination revealed somnolence, eye opening in response to pain stimulus, poor cooperation, anisocoria affecting the right pupil, and a flexor limb response to pain. No sign of meningeal irritation was noted. Her hemoglobin level was low (10.6 g/dL (normal range 12-14 g/dL)). Her electrocardiogram showed normal sinus rhythm. Her brain CT and diffusion MRI were both normal. She was monitored at postictal period at the emergency service. Phenytoin infusion was started at a loading dose of 20 mg/kg to suppress seizure activity. As she continued to have persistent alteration of consciousness, anisocoria, and delayed motor response to painful stimuli without any sign of improvement, neuroimaging tests were repeated at the same day. Control brain diffusion MRI B1000 sections showed hyperintense areas, and corresponding hypointense areas on ADC, consistent with acute infarction in bilateral cerebellar, bilateral mesencephalon, pons, and right thalamic area (Figure 1). Having been diagnosed with TOB-S, the patient was admitted to intensive care unit. She was administered acetylsalicylic acid, low molecular weight heparin, and levatirecetam 2x1000 mg as a maintenance dose. She had no recurrent seizure episodes. Her electroencephalogram did not show any active epileptiform pattern. On 21st day of admission she was intubated and connected to mechanical ventilation due to respiratory failure. However, owing to impaired creatinine clearance, no CT angiography, MR angiography, or carotid-vertebral DSA study could be done. The patient died from cardiac arrest on 31st day of admission.

Discussion

TOB-S is defined as the infarction of rostral brain stem and thalamus, cerebellum, and temporal and occipital regions that are supplied by distal basilar artery.1 Its clinical course is usually characterized by visual, oculomotor disturbances, altered consciousness and behavior disorders, and hallucinations.2 The symptom severity may vary from mild to severe, enough to cause significant morbidity or even mortality. Our patient was diagnosed with TOB-S at the emergency department by virtue of her neurodeficits that accompanied her first time ever GTC seizure activity. In literature, the clinical course of TOB-S has been generally described as one that involves motor loss, altered consciousness, visual/oculomotor disturbances, cerebellar disorders, altered behavior, and speech disturbances.1,3 A recent study made a classification of neurological signs on the basis of frequency, and put motor deficit into the first rank, followed by altered consciousness, visual/oculomotor disturbance, cerebellar dysfunction, altered behavior, and speech disturbance, in descending order of frequency.4 Our patient manifested a rare clinical presentation, and her altered consciousness accompanying epileptic seizure was associated with a postictal onset. The presence of anisocoria is an important persistent sign for the diagnostic process. Stroke was considered as the etiology of our patient’s seizure and altered consciousness because of persistently altered consciousness despite therapy and the presence of anisocoria and delayed response to pain stimulus in all her four extremities.

In literature, the patients with TOB-S havebeen reported, who had seizure or convulsion-like limb movements as rare initial symptoms.5,6 Saposnick and Caplan advocated that convulsion-like movements occurring in brain stem infarctions are different from epileptic seizures in that they tend to occur as sudden-onset decerebrize posture convulsive seizures.7 In our patient, on the other hand, GTC seizure appeared as the initial symptom of the acute stage of TOB-S.

Among patients with first time ever stroke the risk of having an onset with seizure is 2%.8 Our patient’s age and history of hypertension were important risk factors for stroke. Having a flexor extremity response to painful stimuli on initial neurological examination called into mind that a cerebrovascular event may have been occurring.

Seizure activity that appears within 2 weeks after sustaining a stroke episode is referred to as “early-onset seizure”, and when it occurs within the first 24 hours, it is called “onset-seizure”.8,9 A study detected early-onset seizures at a rate of 54.7%.10 Another study reported an onset-seizure rate of 3.1%.11 It has been reported that the seizure incidence is greater in patients sustaining a cardioembolic ischemic stroke than those having an ischemic stroke of vascular origin.11 Our patient was considered to have an atherosclerotic stroke.

Early-onset stroke is more common in infarctions due to occlusion of anterior circulation than those originating from the posterior system.12 The mechanism underlying seizure in patients with posterior system infarctions is unclear. In a study examining 106 patients, seizure occurred as a result of infarction of MCA territory in 49.1% of patients, infarction of PCA territory in 26.4%, infarction of ACA territory in 13.2%, and infarctions of other arterial territories in 11.3%.10

Although the initial neuroimaging of our patient was normal, the presence of acutely developing neurodeficits prompted having a control MRI diffusion examination, which revealed the central pathology. We thought that first neuroimagings was normal because of they performed at early time (first 3 hours). The etiology of our patient’s stroke starting with seizure was TOB-S that developed as a result of a posterior system infarction. Our case underscores the importance of neurological examination and neuroimaging in the management of cases presenting with first time ever seizure at an older age (Figure 1).

Figure 1 Brain diffusion and ADC MRI sections showed acute infarction in bilateral cerebellar, bilateral mesencephalon, pons, and right thalamic area, defined as top of the basilar syndrome.

Conclusion

In conclusion, epileptic seizure should be remembered as a mode of presentation of TOB-S cases which may have a diverse spectrum of clinical symptoms.

Acknowledgments

None.

Funding

None.

Conflicts of interest

None.

References

  1. Caplan LR. Top of the basilar syndrome. Neurology. 1980;30(1):72˗79.
  2. Warlow C, vanGijn J, Dennis M, et al. Stroke Cerebral arterial supply. (3rd edn), Blackwell Publishing, USA. 2008. p.151.
  3. Barkhof F, Valk J. ‘Top of the basilar’ syndrome: a comparison of clinical and MR findings. Neuroradiology. 1988;30(4):293˗298.
  4. Kıroğlu Y, Onur S, Herek D, et al. Neuroimaging evaluation of non-aneurismatic ‘Top of the Basilar’ Syndrome. J Neurol Sci [Turkish]. 2016;33(2):286˗295.
  5. Matsuo K, Chihiro F, Fuse I, et al. Top of the Basilar Syndrome in a young adult initally presenting with a convulsive seizure. Intern Med. 2011;50(13):1425˗1428.
  6. Conte WL, Gill CE, Biller J. Top of the basilar syndrome presenting with convulsions. JAMA Neurol. 2017;74(2):248˗249.
  7. Saposnick G, Caplan LR. Convulsive-like movements in brainstem stroke. Arch Neurol. 2001; 58(4):654˗657.
  8. Burn J, Dennis M, Bamford J, et al. Epileptic seizures after a first stroke: the Oxfordshire Community Stroke Project. BMJ. 1997;315:1582˗1587.
  9. Berges S, Moulin T, Berger E, et al. Seizures and epilepsy following strokes: recurrence factors. Eur Neurol. 2000;43(1):3˗8.
  10. Sıvacı AÖ, Ürün MO, Demir AB, et al. Correlation between lesion location and EEG findings in post-stroke epilepsy. Epilepsi. 2015;21(1):20˗24.
  11. Szaflarski JP, Rackley AY, Kleindorfer DO, et al. Incidence of seizures in the acute phase of stroke: a population-based study. Epilepsia. 2008;49(6):974˗981.
  12. De Reuck J, De Groote L, Van Maele G, et al. The cortical involvement of territorial infarcts as a risk factor for stroke-related seizures. Cerebrovas Dis. 2008;25(1-2):100˗106.
Creative Commons Attribution License

©2017 Ayas, et al. This is an open access article distributed under the terms of the, which permits unrestricted use, distribution, and build upon your work non-commercially.