Submit manuscript...
Journal of
eISSN: 2373-6410

Neurology & Stroke

Case Report Volume 13 Issue 2

A case of progressive vasculopathy: angiographic characteristics and moyamoya syndrome

Fabiana Gouveia, João Tiago Loja, Diogo André, Rafael Nascimento, João Miguel Freitas, Rita Vieira, Patrício Freitas, Rafael Freitas, Miguel Homem Costa, Teresa Faria

Department of Internal Medicine, Serviço de Saúde da Região Autónoma da Madeira, Portugal

Correspondence: Rafael Nascimento, Department of Internal Medicine, Serviço de Saúde da Região Autónoma da Madeira, Funchal, Portugal

Received: March 18, 2023 | Published: April 3, 2023

Citation: Gouveia F, Loja JT, André D, et al. A case of progressive vasculopathy: angiographic characteristics and moyamoya syndrome. J Neurol Stroke. 2023;13(2):32-34 DOI: 10.15406/jnsk.2023.13.00540

Download PDF

Abstract

Moyamoya Disease and Syndrome are neurological conditions that affect the blood vessels in the brain, characterized by progressive stenosis of the terminal portion of the internal carotid artery and its main branches, and the consequent network of collateral vessels at the base of the skull whose angiographic pattern simulates a "smoke cloud". Both conditions have a universal distribution, although Moyamoya Disease is more frequently seen in the Asian population. The term "Moyamoya" originates from Japanese, meaning puff of cigarette smoke, reflecting the characteristic cerebral angiogram pattern seen in these conditions. The etiology of both conditions is not yet fully understood. Moyamoya Disease corresponds to isolated vasculopathy, without risk factors for cerebrovascular disease, whereas in Moyamoya Syndrome, there is an underlying pathology. In this case report, the angiographic study and the presence of autoimmune pathology (Graves' Disease) suggest the hypothesis of Moyamoya Syndrome. The natural history of Moyamoya Disease and Syndrome varies, and they may have a slow progression with rare intercurrent events or a fulminant course with rapid neurological decline. In the absence of treatment, the progression of the disease is associated with a high risk of recurrence of neurological events. Therefore, it is crucial to consider these conditions in cases of cerebrovascular diseases.

Keywords: moyamoya disease, moyamoya syndrome, vasculopathy, cerebrovascular disease, graves’ disease

Introduction

The article describes a case study of a 50-year-old female patient with a medical history of hyperthyroidism and Graves' disease (GD) who developed cerebrovascular disease (CVD). The patient was asymptomatic until she developed left hemiparesis and dysarthria, which was diagnosed as Moyamoya syndrome (MS) based on imaging studies showing stenosis of the terminal portion of the internal carotid artery (ICA) and its main branches, resulting in a network of collateral vessels. The differences between MS and Moyamoya disease (MD) are explained. MD is a rare and isolated cerebrovascular disorder, in which genetic factors are believed to play a role. MS, on the other hand, is caused by an underlying disease or condition and can lead to the narrowing or blockage of arteries in the brain. Early diagnosis and management are crucial for preventing deterioration and improving outcomes in affected individuals. Treatment options include surgical and non-surgical approaches, and the goal is to prevent stroke and improve blood flow to the brain. The text emphasizes the importance of close monitoring by a multidisciplinary team of healthcare providers for the long-term management of MD and MS.

Case description

A 50-year-old caucasian female with no relevant medical history until the age of 45, when she was diagnosed with hyperthyroidism and GD. In the same year, she was hospitalized due to a decrease in the strength of her right upper limb and language disorders. Magnetic resonance angiography (MRA) was performed, revealing occlusion of the right carotid siphon, stenosis of the left carotid siphon, and a decrease in the caliber of the posterior cerebral arteries with poor filling of the intracranial circulation, more evident on the right, observing leptomeningeal anastomoses and through the circle of Willis. During the patient's hospitalization in the internal medicine department, they achieved full recovery and were subsequently discharged.

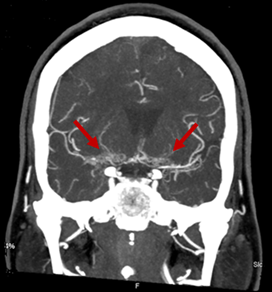
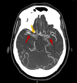
Despite the unclear CVD, the patient remained asymptomatic until September 2019 when she was admitted for left hemiparesis with dysarthria and conjugate deviation of gaze to the right. The computed tomography (CT) angiography showed a recent right parietal ischemic infarction, occlusion of the terminal portion of the right ICA and the M1 segment of the right middle cerebral artery, and marked stenosis of the terminal portion of the left ICA, the left M1 portion, and the A1 segments of the anterior cerebral arteries, with marked collateral circulation from the lenticulostriate and thalamus-perforating arteries with occlusion of the terminal portion of the ICA, demonstrating the moyamoya pattern (Figure 1 & 2). Progressive neurological deterioration culminated in the patient's death.

Figure 1 On coronal section CT angiography, bilaterally hypertrophied perforating arteries with a characteristic "smoke cloud" appearance, known as "Moyamoya vessels" are indicated by red arrows.

Figure 2 On axial CT angiography, evidence of collateral circulation (indicated by red arrows) and occlusion of the right M1 middle cerebral artery (indicated by a yellow arrow) can be observed.

Discussion

The angiographic pattern observed in a female patient with autoimmune pathology, specifically GD, raises the possibility of MS.1 Both MD and MS are conditions that affect the blood vessels in the brain and are characterized by progressive stenosis of the terminal portion of the ICA and its main branches, resulting in a network of collateral vessels at the base of the skull that resembles a "smoke cloud" on angiography.2 Although they share some similarities, there are also important differences between the two.3 MD is most commonly found in the Asian population and is a rare and isolated cerebrovascular disorder without any known risk factors for cerebrovascular disease.4 Genetic factors may play a role in MD, as familial cases have been reported, and some gene mutations, including the RNF213 gene, have been associated with the disease.5

In contrast, MS is a condition that is caused by an underlying disease or condition (Table 1), such as sickle cell disease, down syndrome, or radiation therapy, that may lead to the narrowing or blockage of arteries in the brain.6,7 The etiology of both MD and MS is not yet fully understood.7

Pathologies associated with Moyamoya Syndrome

Hemoglobinopathies (drepanocytosis, beta-thalassemia)

Vasculitis and autoimmune diseases (systemic lupus erythematosus, Graves' disease, diabetes mellitus type 1)

Connective tissue diseases (neurofibromatosis type 1, tuberous sclerosis, Marfan syndrome)

Chromosomal disorders (trisomy 21, Turner and Alagille syndromes)

Infections (Leptospira, Propionibacterium acnes, HIV)

Previous cranial or cervical radiotherapy

Table 1 Pathologies associated with Moyamoya Syndrome

Early diagnosis and management, including both medical and surgical interventions, are crucial for preventing deterioration, recurrent strokes, and improving outcomes in affected individuals.8 The diagnosis of MD and MS is based on clinical and radiological findings. Clinical manifestations may be diverse, but typically include ischemic or hemorrhagic strokes, transient ischemic attacks, seizures, and cognitive decline. Radiological diagnosis is made by angiographic findings, although other imaging techniques such as magnetic resonance imaging and CT scans can also be used.2,7

Treatment options for MD and MS include surgical and non-surgical approaches, and the goal of treatment is to prevent stroke and improve blood flow to the brain. Surgical options include direct and indirect revascularization procedures, which aim to create new blood vessels to bypass the blocked arteries.9–11 In addition to surgery, patients may also be treated with medications to manage their symptoms and reduce their risk of further strokes. Non-surgical options include medication such as antiplatelet agents, anticoagulants, and medications to control high blood pressure and high cholesterol levels, as well as lifestyle modifications such as smoking cessation, a healthy diet, and regular exercise.12–14

Close monitoring by a multidisciplinary team of healthcare providers, including neurologists, neurosurgeons, and rehabilitation specialists, is necessary for the long-term management of MD and MS.7,15,16 Regular imaging studies are necessary periodically to evaluate the effectiveness of treatment and to monitor disease progression and cognitive decline, detecting any new areas of stenosis or blockage. With appropriate management, individuals with MD and MS can lead productive and fulfilling lives.2,7,17,18

The natural history of MD and MS is variable, and the disease may have a slow progression with rare intercurrent events or be fulminant with rapid neurological decline. Without treatment, the progression of the disease is accompanied by a high risk of recurrence of neurological events, and it is essential to consider this entity in cases of CVD.7,19

Acknowledgments

None.

Conflicts of interest

The authors declare no conflicts of interest.

References

  1. Schievink WI, Torres VE, Wiebers DO. Moyamoya syndrome associated with Graves' disease in an adult. Arch Neurol. 1989;46(2):245–247.
  2. Kuroda S, Houkin K. Moyamoya disease: current concepts and future perspectives. Lancet Neurol. 2008;7(10):1056–1066.
  3. Sadeh M, Goldsher D, Shuper A, et al. Moyamoya syndrome - a review of current knowledge. Acta Neurol Scand. 2016;134(5):304–310.
  4. Ikezaki K. Recent advances in moyamoya disease: Pathophysiology and treatments. Neurol Med Chir (Tokyo). 2015;55(4):267–276.
  5. Cecchi AC, Guo D, Ren Z, et al. RNF213 rare variants in an ethnically diverse population with Moyamoya disease. Stroke. 2019;50(10):2746–2752.
  6. Adams MJ, Khaleel MA, Delaney KA, et al. Moyamoya Syndrome: A Review of Disease Pathology, Clinical Presentation, and Diagnostic Imaging. Cureus. 2021;13(6):e16354.
  7. Scott RM, Smith ER. Moyamoya Disease and Moyamoya Syndrome. N Engl J Med. 2009;360(12):1226–1237.
  8. Guzman R, Lee M, Achrol A, et al. Clinical outcome after 450 revascularization procedures for moyamoya disease. Clinical article. J Neurosurg. 2009;111(1):10–16.
  9. Hayashi K, Horie N, Suyama D, et al. Moyamoya Disease: A Review of Clinical Research. Neurologia medico-chirurgica. 2017;57(6):278–285.
  10. Smith ER, Scott RM. Surgical management of moyamoya syndrome. Skull Base. 2005;15(1):27–41.
  11. Teng. Systematic review and meta-analysis of direct versus indirect bypass surgery for moyamoya disease. Journal of Neurosurgery. 2017;127(5):1132–1141.
  12. Baba T, Houkin K, Kuroda S. Novel epidemiological features of moyamoya disease. J Neurol Neurosurg Psychiatry. 2008;79(7):900–904.
  13. Kim T, Oh CW, Bang JS, et al. A multicenter retrospective analysis of moyamoya disease in Korea: short-term outcome after encephalo-duro-arterio-synangiosis (EDAS). Acta Neurochir (Wien). 2015;157(10):1785–1791.
  14. Starke RM, Komotar RJ, Hickman ZL, et al. Clinical features, surgical treatment, and long-term outcome in adult patients with moyamoya disease. Clinical article. J Neurosurg. 2009;110(4):936–942.
  15. Duan L, Bao XY, Yang WZ, et al. Moyamoya disease in China: its clinical features and outcomes. Stroke. 2012;43(1):56–60.
  16. Miyamoto S, Yoshimoto T, Hashimoto N, et al. Effects of extracranial-intracranial bypass for patients with hemorrhagic moyamoya disease: results of the Japan Adult Moyamoya Trial. Stroke. 2014;45(5):1415–1421.
  17. Pandey P, Steinberg GK. Neurosurgical advances in the treatment of moyamoya disease. Stroke Vasc Neurol. 2018;3(3):138–145.
  18. Bang OY. Update on adult moyamoya disease. Curr Neurol Neurosci Rep. 2018;18(12):105.
  19. Kim T, Oh CW, Bang JS, et al. Natural history of moyamoya disease: comprehensive review. J Korean Neurosurg Soc. 2015;57(6):407–413.
Creative Commons Attribution License

©2023 Gouveia, et al. This is an open access article distributed under the terms of the, which permits unrestricted use, distribution, and build upon your work non-commercially.