Submit manuscript...
Journal of
eISSN: 2373-6410

Neurology & Stroke

Case Report Volume 9 Issue 1

Alpers–Huttenlocher syndrome presenting with epilepsia partialis continua

Amal Y Kentab

Department of Pediatrics, King Khalid University Hospital, King Saud University, Riyadh, Saudi Arabia

Correspondence: Amal Y. Kentab, Associate Professor & Consultant Pediatric Neurologist , Department of Pediatrics (39), King Khalid University Hospital, College of Medicine, King Saud University, P.O. Box 2925, Riyadh 11461, Saudi Arabia

Received: January 15, 2019 | Published: February 1, 2019

Citation: Kentab AY. Alpers–Huttenlocher syndrome presenting with epilepsia partialis Continua. J Neurol Stroke. 2019;9(1):29-32. DOI: 10.15406/jnsk.2019.09.00342

Download PDF

Abstract

Alpers-Huttenlocher syndrome (AHS) is an uncommon autosomal recessive mitochondrial DNA depletion disorder due to biallelic mutations in POLG. It is typically characterized by a clinical triad of progressive developmental regression, intractable epilepsy and liver degeneration in infants and young children. Treatment is supportive, and prognosis is poor. Here the author describes the clinical, biochemical, and radiological features of a Saudi child with AHS due to a homozygous mutation in POLG presenting with epilepsia partialis continua. Diagnostic workup for infantile neuronal regression with epilepsia partialis continua should include mutation screening of POLG because a positive result should alert the treating physician to avoid valproic acid in the management of these patients to avoid triggering fatal liver failure.

Keywords: Alpers-Huttenlocher syndrome, neuronal degeneration, liver disease, progressive cerebral poliodystrophy

Introduction

Alpers-Huttenlocher syndrome (AHS, OMIM 203700), also known as progressive infantile poliodystrophy, is a rare genetically heterogeneous fatal hepatocerebral degenerative mitochondrial (mtDNA) depletion syndrome. It was first described as a distinct “diffuse progressive degeneration of the gray matter of the cerebrum” with intractable generalized seizures by Bernard Alpers in 19311 and recognized as a novel syndrome of progressive neurodegeneration and hepatic dysfunction by Huttenlocher et al. in 1976.2

It has an estimated birth incidence of 1/100 to 1/250 000. It is caused by recessive mutations in the gene encoding the catalytic subunit of polymerase-γ gene (POLG) (OMIM 174763) located on chromosome 15q25 and contains 23 exons. The POLG is an important mitochondrial DNA replication enzyme, the loss of which leads to mitochondrial DNA depletion with resulting widespread organ dysfunction.3,4 POLG mutations account for approximately 90% of cases with typical AHS and up to a third of those with “Alpers-like” presentation.

Clinically, three forms of AHS have been recognized using age of onset: neonatal, infantile and juvenile forms. Both the neonatal and the juvenile forms are rare. In the neonatal form, refractory convulsions, liver failure and occasional cardiomyopathy result in death before two years of age,5 while the juvenile form presents between 10 and 27 years of age with migraines, visual impairment, progressive myoclonus, spasticity, choreoathetosis, dementia and premature death due to intractable epilepsy.6

The commonest type is the infantile form with its onset usually before 2 years of age, but it can range between 3 months to 8 years. It presents with recurrent vomiting, failure to thrive, hypotonia and developmental delay, typically following a short period of normal development. Intractable seizures appear weeks or months later, often acutely, in the form of epilepsia partialis continua or generalized status epilepticus. Other manifestations may include ataxia, involuntary movements, myoclonus, deafness and blindness secondary to optic atrophy. Hair may become depigmented and brittle. Microcephaly, spasticity, and jaundice due to chronic liver dysfunction ensue later in the course of the disease. Death usually occurs between 3 and 4 years of age.6,7

This report aimed to describe a case of AHS presenting with epilepsia partialis continua that was difficult to control. Raising awareness of such presentation of this rare disease and the importance of early genetic diagnosis may help the treating physician to avoid valproic acid in the management of these patients to avoid triggering fatal liver failure.

Case report

A 14-month-old boy was admitted to our hospital for workup and treatment of seizure in the form of epilepsia partialis continua (EPC) involving the left hand for three days, hypotonia, and progressive psychomotor deterioration for two months. He was a product of a healthy term pregnancy, born to consanguineous parents, and has been healthy up till twelve months of age, with normal developmental milestones and was beginning to walk with help. The parents are healthy and have eight healthy children and one son who died at 12 months of age with an undiagnosed neurological disease that manifested as intractable epilepsy. Although valproic acid did help with the seizures, he developed repeated vomiting bouts and became jaundiced, and valproic acid was stopped when liver enzyme assays showed significant elevation. He died following aspiration pneumonia two months after the onset of illness. A brain CT scan had shown cerebral atrophy.

Our patient’s illness had begun two months ago with the sudden onset of left-hand focal clonic jerks, which culminated in multiple episodes of generalized tonic-clonic status epileptics within one hour. His seizures were refractory and necessitated ventilation and admission to intensive care unit at a local hospital where he received intravenous benzodiazepines, phenobarbitone, phenytoin, midazolam infusion and pentothal sodium. Acyclovir, ceftriaxone, and vancomycin were added to cover the possibility of meningoencephalitis. An enhanced brain CT scan showed subarachnoid leptomeningeal enhancement, and Brain MRI scan showed mild gyral hyperintensity at both parietal lobes on Flair, and T2W images were suggestive of early cerebritis. Electroencephalography (EEG) showed diffuse slowing consistent with severe encephalopathy. He later became hypotonic, could not sit without support and even lost his head control. His seizures were partially controlled with phenobarbital, Co-enzyme Q, L-carnitine, vitamin B6, and multivitamins. Gradually he became less alert and attentive and had difficulty swallowing. There was a history of repeated vomiting bouts without any apparent cause one month before presentation.

During his current admission, his weight was 7.7 kg and height was 68 cm (both <5th percentile), while head circumference was 45.5 cm (>10th percentile). He was hypotonic; deep tendon reflexes were responsive and plantar responses abolished. His eye movements showed no limitation, but visual tracking was impaired. Fundoscopic examination showed no abnormality and direct and indirect pupillary light responses were normal. Prolonged episodes of the left hand rhythmic clonic activity were noted; each lasted anywhere from 40 to almost 90 minutes, occurring during awake and sleep with no change in level of consciousness or vital signs. His seizure (EPC) was finally controlled with a combination of phenobarbital, carbamazepine, and clonazepam in full dose.

Comprehensive metabolic workup, including venous blood gases, serum lactate, pyruvate, ammonia, plasma amino acids, and urine organic acids, showed no abnormality. Renal and bone profile were normal. A complete blood count and blood coagulation profile were normal. The liver enzymes showed moderate elevation with aspartate aminotransferase (AST) 71-81 U/L (normal 12-37), alanine aminotransferase (ALT) 76-190 U/L (normal 20-65), GGT 160-324 U/L (normal 15-85), and alkaline phosphatase 59-223 U/L (normal 20-65). Serum albumin and total bilirubin were normal. Virology screening for hepatitis B and C, CMV, and EBV was negative. Herpes, varicella, and mycoplasma IgM antibodies were negative. CSF analysis revealed normal lactate, pyruvate, and mildly elevated protein 0.9g/dl (NR up to 0.45). Echocardiogram and abdominal ultrasound were normal. Brain auditory evoked potential (BAEP), visual evoked potential (VEP), and electroretinogram were normal.

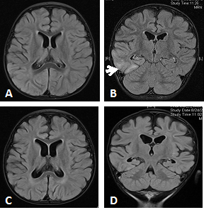
The EEG at 14 months of age showed a diffuse slowing of background activity with multifocal paroxysmal activity with sharps, spikes and slow wave activity predominately seen at the central, parietal region and posterior quadrant of the right hemisphere, consistent with multifocal seizures. Repeated brain MR imaging was remarkable for right temporal lobe hyperintensity on T2/FLAIR with no diffusion restriction or abnormal enhancement. Mild atrophic changes were more obvious at the right cerebral hemisphere. Another brain MRI 4 months later showed interval regression of the previously noted abnormalities and diffuse cerebral atrophy (Figure 1). The possibility of mitochondrial disease was entertained based on the clinical picture and positive family history of similar case, and further molecular rapid gene analysis revealed the presence of a previously reported homozygous mutation c.3286C>T (p.Arg1096Cys) in exon 21 of POLOG, thus confirming diagnosis of POLG- related hepato-cerebral form of mtDNA depletion syndrome, AHS.

Figure 1 Brain MRI at 14-months of age with postictal changes seen in epilepsia partialis continua with AHS (A) axial, and (B) coronal T2W/ Fluid-attenuated inversion recovery (FLAIR) sequences showing: a focal high-signal-intensity lesion in the right temporal lobe (predominantly lower and lateral portion) with no diffusion restriction or abnormal enhancement. Mild atrophic changes seen in the right cerebral hemisphere with prominent right lateral ventricle.

Follow-up study at 16-months of age (C) axial, (D) coronal T2W/ Fluid-attenuated inversion recovery (FLAIR) sequences showing: interval regression of the previously noted hyperintensity in the right temporal lobe with no signs of atrophy or enhancement. Same previous mild right cerebral atrophy. Slight enlargement of the size of lateral and third ventricle with no signs of active e hydrocephalus.

Discussion

Mitochondrial DNA depletion syndromes that are caused by nuclear DNA mutations are typically transmitted as an autosomal recessive trait, and cause respiratory chain dysfunction with prominent neurological, muscular, and hepatic involvement.8 Advances in molecular genetics such as Next-generation sequencing (NGS), and Sanger sequencing technique help to detect mutations in the several genes implicated in mtDNA depletion syndromes (POLG, MPV17, DGUOK, FBXL4 and TWINKLE).9

AHS is a type 4A (mtDNA) depletion syndrome caused by homozygous or compound heterozygous mutation in the POLG gene. Alterations in enzyme activity result in reduced levels or deletions in mitochondrial DNA, and phenotypic manifestations occur when the functional content of mitochondrial DNA reaches a critical nadir. No precise genotype/phenotype correlation has been established, although the location of mutations within specific regions of polymerase may play a role in the phenotypic expression of the disorder.10

The hallmark clinical features of AHS include the triad of psychomotor retardation, intractable focal motor or myoclonic epilepsy, as well as liver failure in infants and young children. Clinically, most patients showed variations in the age of onset, rate of progression and sequence of organ involvement. Age at onset appears to be influenced in part by the nature of mutations within the POLG,11 but environmental factors such as intercurrent viral infections and certain medications such as valproic acid also appear to play a role.

It usually begins in early life with convulsions before it evolves into progressive encephalopathy. Seizure types include myoclonic, focal, and generalized tonic-clonic convulsions often manifesting as epilepsia partialis continua or status epilepticus. EPC is a subtype of simple partial status epileptics that occur without impairment of awareness. In children the commonest cause is Rasmussen syndrome, and it is a rare presentation in AHS.12–14 Typically, it is resistant to medications and treatment should focus on the underlying cause.15 Our patient had repeated episodes of refractory status epileptics followed by regression of milestones before he presented with epilepsia partialis continua at our center. Considering the sibling it seems that age of onset within the family ranges between 10 and 12 months. There was no reported developmental delay before the onset, and both presented with status epilpticus resistant to therapy with subsequent progressive encephalopathy.

Nguyen KV et al.16 in 2006 suggested that hepatopathy and the presence of two out of eleven paraclincal tests establish the clinical diagnosis of AHS, but in their absence, the diagnosis can only be confirmed by POLG sequencing, liver biopsy, or postmortem examination.16 The case reported here showed mildly elevated CSF protein, and lactate concentrations in blood and CSF were normal. Although no specific pointers to mitochondrial etiology were evident in this patient, it was suspected because of the constellation of hepato-cerebral symptoms along with a family history of similar occurrence and parental consanguinity.

Biochemical liver dysfunction can be detected initially as in this patient (elevation in transaminases, 2-3 folds) or after the onset of a seizure and found to be unrelated to anticonvulsant drugs. Fatal liver failure with characteristic histopathological changes, such as fatty changes, abnormal bile duct architecture, and liver fibrosis, occur at the end stage of disease progression or after valproic acid introduction.16

In AHS the EEG commonly demonstrates slow posterior dominant rhythms with interictal discharges of posterior rhythmic high-amplitude delta with superimposed polyspikes (RHADS) usually involving the occipital lobes, but some with variable location.13,17 His EEG showed encephalopathy and multifocal paroxysmal activity mainly at the right parito-occipital region. He manifested with a poor visual tracking probably secondary to cortical blindness.

Cranial CT and MRI scans usually demonstrate generalized atrophy of both the cortex, and white matter at the end stage of the disease. Characteristic hyperintensities signaling abnormalities on T2/ FLAR MRI sequences involving metabolically active occipital and sensorimotor cortical regions can be detected. Lesions of the thalamus have also been reported.13,18 In this report, brain MRI revealed global brain atrophy in both siblings, while changes in the temporal lobe abnormality that resolved with time on neuroimaging have been reported previously in AHS and may be attributed to prolonged seizure activity.

Patient’s diagnosis of AHS was confirmed by rapid molecular analysis, whichrevealed a previously reported homozygous mutation in POLG gene and further parental carrier testing was done, which confirms the homozygosity of the mutation. Counseling was done with advice regarding planning for pregnancy and the need for prenatal diagnosis. The illness has a poor prognosis as it progresses to fatal encephalopathy or liver failure and results in premature death 4 years from the onset. Treatment is supportive and limited to symptom management. Both the newer antiepileptic drugs, such as lamotrigine, topiramate, oxcarbazepine, or levetiracetam, and the old one phenobarbital, phenytoin, carbamazepine, and primidone had shown similar efficacy in controlling seizures in AHS. Valproic acid (divalproex sodium) should be avoided as it may trigger a crisis and fulminant hepatic failure in children who may not have had hepatic involvement.17 The ketogenic diet may be effective in some patients.12

Patients with liver failure may benefit from the standard treatment for liver failure and Levocarnitine, but liver transplantation is contraindicated because of progressive neurocognitive impairment and multisystem organ involvement. Recent data showed evidence of low 5-methyl-tetrahydrofolate in CSF and support empirical treatment with calcium leucovorin that crosses the blood-brain barrier and increases cerebral folate.19 A novel treatment medication EPI-743 on the clinical trial pathway may offer hope.20

Conclusion

Diagnostic workup for infantile neuronal regression with epilepsia partialis continua should include an early mutation screening of POLG because a positive result should alert the treating physician to avoid valproic acid in the management of these patients to avoid triggering fatal liver failure. Timely diagnosis helps ensure appropriate counseling and family planning of future pregnancies especially in communities with a high rate of consanguineous marriage.

Acknowledgements

This work was supported by the College of Medicine Research Center, Deanship of Scientific Research, King Saud University.

Conflict of interest

The author declares no conflicts of interest.

Consent

 Written informed consent was obtained from the patient’s parents for the publication of this case report and any accompanying images.

References

  1. Alpers BJ. Diffuse progressive degeneration of gray matter of cerebrum. Arch Neurol Psychiat. 1931;25(3):469–505.
  2. Huttenlocher PR, Solitare GB, Adams G. Infantile diffuse cerebral degeneration with hepatic cirrhosis. Arch Neurol. 1976;33(3):186–192.
  3. Ferrari G, Lamantea E, Donati A, et al. Infantile hepatocerebral syndromes associated with mutations in the mitochondrial DNA polymerase-gamma A. Brain. 2005;128(4):723–731.
  4. Naviaux RK, Nguyen KV. POLG mutations associated with Alpers syndrome and mitochondrial DNA depletion. Ann Neurol. 2004;55(5):706–712.
  5. Frydman M, Jager-Roman E de Vries L, Stoltenburg-Didinger G, et al. Alpers progressive infantile neuronal poliodystrophy: An acute neonatal form with findings of the fetal akinesia syndrome. Am J Med Genet. 1993;47(1):31–36.
  6. Harding BN. Progressive neuronal degeneration of childhood with liver disease (Alpers-Huttenlocher syndrome): A personal review. J Child Neurol. 1990;5(4):273–287.
  7. Saneto DO RP, Cohen BH, Copeland WC, et al. Alpers - Huttenlocher Syndrome. Pediatr Neurol. 2013;48(3):167–178.
  8. El-Hattab AW, Scaglia F. Mitochondrial DNA depletion syndromes: Review and updates of genetic basis, manifestations, and therapeutic options. Neurotherapeutics. 2013;10(2):186–98.
  9. Nogueira C, Carrozzo R, Vilarinho L, et al. Infantile-onset disorders of mitochondrial replication and protein synthesis. J Child Neurol. 2011;26:866–875.
  10. Wong L JC, Naviaux RK, Brunetti-Pierri N, et al. Molecular and clinical genetics of mitochondrial dieses due to POLG mutations. Hum Mutat. 2008;29(9):150–172.
  11. Hakonen AH, Isohanni P, Paetau A, et al. Recessive Twinkle mutations in early onset encephalopathy with mtDNA depletion. Brain. 2007;130(Pt 11):3032–3040.
  12. Joshi CN, Greenberg CR, Mhanni AA, et al. Ketogenic diet in Alpers-Huttenlocher syndrome. Pediatr Neurol. 2009;40(4):314–316.
  13. Wolf NI, Rahman S, Schmitt B, et al. Status epilepticus in children with Alpers’ disease caused by POLG1 mutations: EEG and MRI findings. Epilepsia. 2009;50(6):1596–1607.
  14. Cardenas JF, Amato RS. Compound heterozygous polymerase gamma gene mutation in a patient. Semin Pediatr Neurol. 2010;17(1):62–64.
  15. Sinha S, Satishchandra P. Epilepsia partialis continua over last 14 years: experience from a tertiary care center from south India. Epilepsy Res. 2007;74(1):55–59.
  16. Nguyen KV, Sharief FS, Chan SSL, et al. Molecular diagnosis of Alpers syndrome. J Hepatol. 2006;45(1):108–116.
  17. Cohen BH, Naviaux RK. The clinical diagnosis of POLG disease and other mitochondrial DNA depletion disorders. Methods. 2010;51(4):364–373.
  18. Hunter MF, Peters H, Salemi R, et al. Alpers Syndrome with mutations in POLG: Clinical and investigative features. Pediatr Neuro. 2011;45(11):311–318.
  19. Hasselmann O, Blau N, Ramaekers VT, et al. Cerebral folate deficiency and CNS inflammatory markers in Alpers disease. Mol Genet Metab. 2010;99(1):58–61.
  20. Enns GM, Kinsman SL, Perlman SL, et al. Initial experience in the treatment of inherited mitochondrial disease with EPI-743. Mol Genet Metab. 2012;105(1):91–102.
Creative Commons Attribution License

©2019 Kentab. This is an open access article distributed under the terms of the, which permits unrestricted use, distribution, and build upon your work non-commercially.