Submit manuscript...
Journal of
eISSN: 2373-6410

Neurology & Stroke

Case Report Volume 12 Issue 1

Case of cognitive motor dissociation diagnosed in patient with traumatic brain injury and hypoxia

Vladimir A Belkin,1 Anastasiia Yu Belkina,2 Dmitriy G Pozdnyakov,3 Andrey A Belkin4

1Neurologist, Head of the Rehabilitation Department in Clinical Institute of the Brain, Ural State Medical University, Russia
2Neurologist, Rehabilitation Department in Clinical Institute of the Brain, Ural State Medical University, Russia
3Neurophysiologist, Department of Functional Diagnostics in Clinical Institute of the Brain, Ural State Medical University, Russia
4CEO in Clinical Institute of the Brain, Ural State Medical University, Russia

Correspondence: VA Belkin, Clinical Institute of the Brain, Berezovsky, Sverdlovsk Region, Russia, Tel 8 (343) 253-01-00

Received: December 25, 2021 | Published: January 7, 2022

Citation: Belkin VA, Belkina AY, Pozdnyakov DG, et al. Case of cognitive motor dissociation diagnosed in patient with traumatic brain injury and hypoxia. J Neurol Stroke. 2022;12(1):1-3. DOI: 10.15406/jnsk.2022.12.00487

Download PDF

Abstract

Cognitive Motor Dissociation (CMD) is a subtype of disorders of consciousness which can be characterized as a detection of command following in clinically unresponsive patients. CMD detection requires usage of sophisticated diagnostical tools, such as functional magnetic resonance imaging to evaluate activation of following brain zones due to audial commands. Differential diagnosis between CMD and unresponsive wakefulness syndrome (UWS) or minimally consciousness state minus (MCS-) is crucial due to different prognosis for all these categories of patients. Patients with diagnosed CMD demonstrate regaining of consciousness more often than UWS patients. Here we described case of CMD, diagnosed in clinically unresponsive patient after severe traumatic brain injury complicated with hypoxia.

Keywords: disorders of consciousness, cognitive motor dissociation, unresponsive wakefulness syndrome, minimally consciousness state minus

Introduction

Development and implementation of cognitive trace diagnosis methods in patients with chronic disorders of consciousness (DoC) conduced identification of the new category of patients.1 Behaviorally these patients are corresponding to unresponsive wakefulness syndrome,2 but instrumental diagnostics findings in these patients show signs of preserved consciousness,3 which are interpretated as evidence of covert consciousness preserved in such patients. This state can be characterized as a functional 'locked-in' syndrome, and it is called cognitive motor dissociation (CMD).4 This term was suggested by N. Schiff in 2015 and seems to be the most exact to explain this phenomenon.4 Differential diagnosis between CMD and other types of DoC, such as unresponsive wakefulness syndrome (UWS) or minimally consciousness state minus (MCS-) is crucial due to different prognosis for all these categories of patients.5 Proved CMD is a powerful predictor of further functional contact restitution that corresponds regaining of consciousness at least to MCS+ level.6 In current report, we described case of patient with CMD after severe traumatic brain injury and his further development of disease.

Materials and methods

In our practice we use patented method7 of CMD detection based on navigated brain stimulation which is called NBS-CMD-test. The principle of method is following: first step is mapping of individual localization of motor cortical zones via NBS, in our protocol it was zone responsible for musculus abductor pollicis movements (Figure 1). Secondly this motor zone was stimulated with magnetic stumuli: 10 of them were provided without any facilitation and next 10 were accompanied with an audial command, ordering patient to raise his hand. Then all the amplitudes of received motor responses, registered with myographic tracking, were averaged out. In case averaged amplitude of facilitated stimuli exceeds non-facilitated amplitude by more than 20%, the result of NBS-CMD-test was ranked as a positive. That meaned, that clinically unresponsive patient heard an audial command, understood it and tried to execute it, but failed due to neurological deficit. Thus, we concluded that positive result of NBS-CMD-test indicates the presence of CMD in such a patient.

Figure 1 Upper extremity motor cortical representation.
Evoked motor responses with >1000 mkV amplitude are marked with white dots; 500-1000 mkV – yellow dots, 50-500 mkV – red dots; <50 mkV or without myographic response – grey dots.

Case report

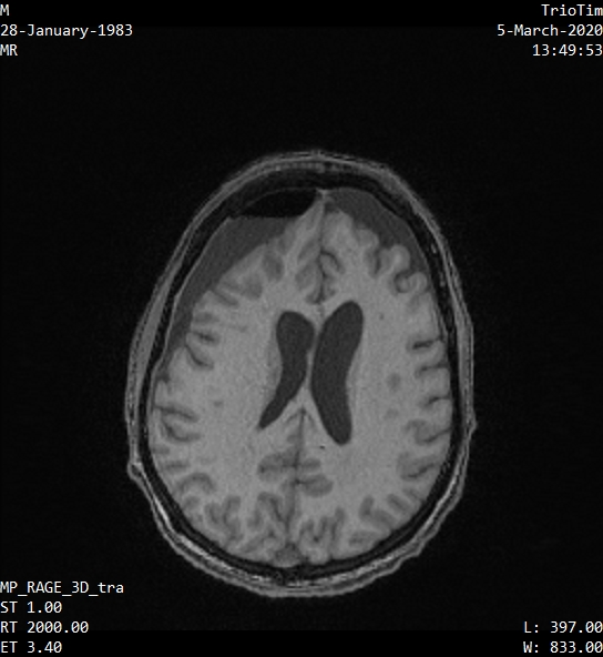
A 37-year-old male K. presented in the Clinical Insitute of the Brain (CIB) in the beginning of March 2020 with chronic disorder of consciousness after severe traumatic brain injury acquires in road accident, complicated with hypoxia – patient was stuck in the car for 40 minutes. That collision took place in the end of December 2019, immediately after the ambulance arrived patient was transported to the neurosurgery clinic. CT scan showed an acute subdural hematoma, diffuse axonal injury, massive subarachnoid hemorrhage, cerebral oedema, pneumocephalus and multiple facial skull fractures. 2 months later MRI showed massive gliotic changes and cerebral atrophy (Figure 2).

Figure 2 Patient’s K. MRI scan.

In a clinical testing patient’s level of consciousness was assessed as UWS, Coma Recovery Scale Revised (CRS-R) rate was 5 points. Assessment was repeated for 5 times, but the score was the same. At the same time, patient had showed signs of covert consciousness in the NBS-CMD-test: amplitude of his motor responses, facilitated with an audial command (Figure 3), was averagely 45% higher than non-facilitated ones (Figure 4).

Figure 3 Making a fist in a right arm following command vocalized by a doctor paradigm.

Figure 4 Resting state paradigm.

Therefore, CMD was diagnosed, and we concluded, that this patient had a positive prognosis for regaining the level of consciousness. We continued monitoring this patient’s state of consciousness via videoconference follow-ups after the discharge from the CIB for 4 months, and in July 2020 K. showed reproductible clinical signs of MCS: he overtly raised his right hand after the relevant command. This means that patient K. had reached out positive prognosis and it also means, that his rehabilitation potential was higher, than it seems to be at the first sight.

Discussion

Covert consciousness in clinically unresponsive patients can be diagnosed in different ways via different diagnostical modalities.3 Functional MRI is a vivid and informative methodic,3 but our modification of NBS can also be an instrument for the revealing of cognitive motor dissociation.7 We collected data of several UWS patients’ outcomes who came through inpatient diagnostics in CIB, measured in Glasgow Outcomes Scale – Extended (GOS-E), and compared it with the results of NBS-CMD-test in them: regaining of consciousness rate in CMD+ patients was significantly higher than in patients without CMD.7 That data means, that CMD detection via NBS-CMD-test is a sensitive and specific predictor (Figure 5) of the restitution of functional contact with a chronical DoC patient.

Figure 5 NBS-CMD-test ROC-analysis.

Conclusion

Patients with chronical DoC always look alike but can be very different inside. Thus, proper diagnostic of covert consciousness becomes not only clinical, but also an ethical problem. In our opinion, one of the ways to solve this issue is to organize routing of such patients to give them an opportunity to go through functional MRI, NBS-CMD-test or any other methods capable to find out covert consciousness.

Acknowledgments

None.

Conflicts of interest

The authors declare no conflicts of interest.

Funding

None.

References

Creative Commons Attribution License

©2022 Belkin, et al. This is an open access article distributed under the terms of the, which permits unrestricted use, distribution, and build upon your work non-commercially.