Case Report Volume 10 Issue 1
Department of Neurosurgery, Hassan II University Hospital of Fez, Morocco
Correspondence: Marouane Hammoud, Medicine doctor, Department of Neurosurgery, Hassan II University Hospital, of Fez, Morocco, University Sidi Mohammed Ben Abdellah, Fez, Morocco,
Received: January 09, 2020 | Published: February 24, 2020
Citation: Hammoud M, Benzagmout M, Lakhdar F, et al. Fronto orbital approach for primary orbital hydatid cyst: Case report. J Neurol Stroke. 2020;10(1):53?56. DOI: 10.15406/jnsk.2020.10.00410
Background: Hydatid cyst is a rare parasitic infection that can involve almost all organscaused by tapeworms of the genus Echinococcus.It is endemic in sheep-raising and cattle-raising areas worldwide.The most common site of involvement is liver followed by lungs.The orbital involvement as a rare location, associates with 0.3 % – 2 % of prevalence.
Case presentation: Herein, we report the case of a 6-year-old boy with slowly progressive proptosis of his right eyeball of 8 months duration, with recent progressive diminution of vision for 2 months.The presumptive diagnosis of hydatid cyst was based on the clinical finding, the life-style of the patient, and the diagnostic imaging techniques that showed a cystic lesion in the intraconal space of the right orbit.Surgical removal was carried out; the cyst was enucleated via fronto orbital approach. Histopathological examination confirmed the diagnosis of hydatid cyst.The patient remained disease free with regular follow-up for 2 years.
Conclusions: Orbital hydatid cyst should be included in the differential diagnosis of unilateral proptosis. The treatment is surgical excision followed by the systemic use of Albendazole.
Keywords: Orbit, hydatid cyst, proptosis, orbital-MRI, neurosurgery
Hydatid cyst is a parasitic disease caused by Echinococcus granulosus,1 which can invade different sites of body, it is prevalent in endemic areas. Liver (60-70%) and lungs (30%), followed by the CNS are the most frequent sites of involvement.2,3 The orbital location is extremely rare even in endemic areas, with 0.3 % – 2 % of prevalence.4Slowly progressive unilateral proptosis, with or without pain is the most frequent clinical manifestation.4In this paper, we report a case of orbital hydatid cyst that we removed through fronto orbital approach.
A 6-year-old boy was admitted to our Neurosurgery department withprogressive proptosis of his right eye for 8 months (Figure1).Visual acuity was reduced to 4/10 in his right eye and 10/10 in the left side.Personal past history was significant for continuous contact with sheep and dogs.
On clinical exam, the mass was nontender, irreducible, nonpulsative, and had no bruits audible,with no sign of conjunctivitis or keratitis. Ocular movements were restricted in all directions.Ophthalmic examination revealed the manifest proptosis of his right eye, measured 20mm by Hertel’sexophthalmometer. Fundoscopic examination indicated a macular edema,and papilledema with tortuosity of blood vessels on his right eye.
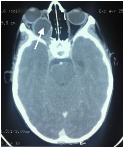
The rest of the clinical examination was normal.Orbital CT scan showed a well-defined cystic lesion,with distinct and regular border in the intraconal space of the right orbit (Figure 2).Based on CT scan finding, the age and the life-style of the patient, the presumptive diagnosis of orbital hydatid cyst was made.
Casoni test and enzyme linked immunosorbent assay (ELISA), and indirect hemagglutinationassay (IHA) tests were negative. There was no leukocytosis or eosinophilia on peripheral blood smear.Abdominal ultrasound and chest X- Ray all were normal.
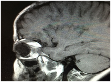
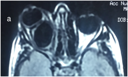
An orbital magnetic resonance imaging (MRI) revealed a well-defined cyst lesion sized 20×18×25 mm located in the intraconal space of the right orbit,hypointense on T1 weighted,hyper intense on T2 weighted, with marginal ring enhancement after an IV injection of gadolinium ethoxybenzyldiethylenetriaminepentaacetic(Figure 3).
The patient underwent surgery via a right fronto orbital approach. He was anesthetized via an orotrachealroute, and was positioned supine with the neck flexed 30 degrees in a neutral position (Figure 4A &4B).After frontoorbitotomy, and dissection of orbital fat, an opaque cystic lesion was found in the intraconoalspace, which was densely adherent to surrounding tissues(Figure 4C & 4D).
Removal was not possible because of the adherence to the neighbouring structures. First a puncture of the cyst and an aspiration with a syringe was done, and a transparent clear fluid was aspirated which is characteristic for hydatid cyst, then a microscopic extirpation of the cystic membrane, combined with abundant washing of the site of operation was washed with hypertonic saline solution.We found two others cystic membranes that we removed (Figure 4E & 4F).
The patient received oral Albendazole at a dose of 10mg per kilogram per day.Postoperative outcome was marked by the significant regression of the exophthalmia Figure 5,and the gradual improvement of the visual acuity.
A postoperative orbital MRI was performed after 2 months showed no recurrence of the cyst, with optic nerve decompression Figure 6.
Hydatidosis is a zoonotic disease caused by Echinococcus. It may involve almost every organ or tissue via the portal and systemic circulations.1The hydatid cyst is endemic in sheep and cattle raising areas of the world, such as Australia, East Africa, South America, Eastern Europe and the Middle East.2,3
The orbital location is rare, even in endemic areas, with 0.3 % – 2 % of prevalence of all hydatid cysts.4,5To our knowledge, only four clinical series on orbital hydatid cyst have been published on the literature, by:Talib (21 patients), Gomez Morales et al. (35 patients), Turgut et al. (25 patients) and Benazzou et al. (10 patients).
Orbital hydatid cyst can involve patients at any age, but it is most frequent in pediatric population.6Although,the orbital infestation is usually primitive and unilocular, the left location was reported as the most frequent,7,8probably because left common carotid artery arises directly from the summit of the aortic arch.
The particularity of the orbital hydatid cyst is that it is limited by the adventitia that forms a fibrosis capsule surrounding the two-layered walls of the cyst. The fibrosis capsule is adherent to the neighbouring structures making its dissection difficult.9,10
From an anatomic view, Intraconal and superior location were reported as the most frequent sites respectively.11This may be due to the fact that most branches of the ophthalmic artery supply the intraconal space.12
Although, due to the limited volume of the orbit wichis surrounded by bony walls, and as the cyst grows larger by the rate of 1 – 1.5 cm per year, so the mean duration of symptoms has been reported to vary between 3 months and 2 years.13,14
The most frequent clinical findings are nontender, nonpulsatile proptosis,chemosis, lid edema, visual deterioration, and restriction of extra ocular motility.Most of those symptoms are due to the compressive effect of the cyst that can lead to visual loss in the advanced stage of the disease by the compressive optic neuropathy and optic atrophy.1,4,13
The interest of biologic tests is limited due to high rate of negative reports. Contrary to the hepatic involvement, the serological tests in orbital disease may be negative in 50-60%,especially in the presence of intact cyst.Although, eosinophiliaand elevated ESR are often non-specific.4,15–17
The presumptive diagnosis of hydatid cyst is based on the clinical finding, and the diagnostic imaging techniques such as ultrasonography, computed tomography (CT), and magnetic resonance imaging (MRI). The lesion manifests as well-circumscribed intra orbital cystic masswith distinct and regular borders, it may cause bowing and thinning of the maxillary bone,producing the “water lily” sign on CT scan,18 it does not enhance after injection except in infected cases.19
The orbital MRI showsahypo intense cystic lesion on T1 weighted, hyper intense on T2 weighted, with marginal ring enhancement. The diagnosis of cyst capsule and intraconal lesions is facilitated with fat suppression.20
Also, orbital MRI has proved to be a very useful for the differential diagnosis that include dermoid and epidermoid cyst, chronic hematic orbital cysts, orbital abscess, congenital cyst, mucocele, lymphangioma, teratoma and other orbital cystic lesions.9,21
Traditionally, surgery is the most effective treatment for the orbital hydatid cyst.Technically, severalsurgicalapproaches can be used to access the orbital mass:Fronto-orbital, lateral orbitotomy ‘Kronlein–Berke approach’, transconjunctival, inferior orbitotomy, lateral rhinotomy, percutaneous, and transmaxillary.22–25
The choice of the surgical procedure is made according to the location of the cyst in the orbit, its accessibility, and its extension. Currently, interest is brought to the so-called neurosurgical pathways,especially the fronto orbital approach describedthe first time in 1984 by Maroon and Kennerdell.26 By this approaching exposure obtained is excellent and functional deficits are minimized.
In our patient’s previous report, the cyst was located superiorly to the optic nerve. To facilitate access to the lesion, we choose the fronto orbital approach; we dissected the mass and orbital fat over the cyst wall. Whereas, due to its adherence to the surrounding tissues, we punctured the cyst consciously, and to prevent the spread of the parasitic disease, washing with 0.9% hypertonic saline solution and continuous aspiration were applied simultaneously.
Therefore, Intraoperative aspiration of the cyst has advantages, which are diagnosis, reducing the size of the cyst, and causing the inner germinative layer to collapse, so that the germinal endocystcan be safely removed from ectocyst.11,20,27
The most important complication in surgical treatment is rupture of the cyst during excision, which can cause a relapse.However, complete extirpation of the cyst without rupture is almost impossible because of the usually thin wall of young cysts, and restricted access to the orbital cavity.27Thus, we believe as recommended in the literature, that doing a puncture-aspiration first, and then remove the cyst wall is an effective technique that prevents neural, vascular, and muscle injury.12,27
In our case, a 2-year follow-up shows no relapse, the right side proptosis was completely resolved, and the visual acuity was improved to 8/10.
In summary, orbital hydatid cyst is a rare location of hydatid disease, however, it should be kept in mind in front of the diagnosis of unilateral proptosis, especially in patients from endemic areas.The treatment is surgical excisionavoidingrupture; which is the most important complication. Intraoperative aspiration is recommended for prevention of rupture.
None.
The authordeclares no conflicts of interest.
None.
©2020 Hammoud, et al. This is an open access article distributed under the terms of the, which permits unrestricted use, distribution, and build upon your work non-commercially.