Submit manuscript...
Journal of
eISSN: 2373-6410

Neurology & Stroke

Case Report Volume 15 Issue 3

High-grade glioma in an elderly patient: balancing oncological management and early palliative care integration

Juan Carlos Perdomo Puentes, Bianca Cristea

Internal Medicine, Portuguese Institute of Oncology of Lisbon Francisco Gentil (IPO), Portugal

Correspondence: Juan Carlos Perdomo Puentes, Internal Medicine, Portuguese Institute of Oncology of Lisbon Francisco Gentil (IPO), Portugal, R. Prof. Lima Basto, 1099-023 Lisboa, Tel 217229800

Received: July 21, 2025 | Published: August 11, 2025

Citation: Puentes JCP, Cristea B. High-grade glioma in an elderly patient: balancing oncological management and early palliative care integration. J Neurol Stroke. 2025;15(3):81-83. DOI: 10.15406/jnsk.2025.15.00627

Download PDF

Abstract

Background: High-grade gliomas are among the most aggressive and malignant primary brain tumors, characterized by rapid progression, invasiveness, and overall poor prognosis. This is particularly pronounced in elderly patients, who frequently present with multiple comorbidities, reduced physiological reserve, and diminished treatment tolerance. These factors complicate therapeutic decision-making and necessitate a nuanced approach that balances the goals of effective tumor control with the preservation of neurological function, independence, and overall quality of life. The management of such tumors in this vulnerable population remains a significant clinical challenge, underscoring the need for multidisciplinary care strategies that integrate both oncological and supportive interventions.

Case presentation: We report the clinical case of an 81-year-old right-handed woman who presented with a three-week history of progressive cognitive decline, behavioral changes, and gait instability, severely impacting her daily functioning. Neuroimaging revealed a cortico-subcortical lesion extensively involving the right temporal, parietal, and frontal lobes, raising suspicion for a high-grade neoplasm. Subsequent stereotactic biopsy and histopathological analysis confirmed the diagnosis of a high-grade glioma consistent with an IDH-wildtype glioblastoma. Following the procedure, the patient experienced neurological deterioration, prompting the initiation of a hypofractionated radiotherapy regimen tailored for elderly patients. In parallel, early integration of palliative care services was implemented to optimize symptom management, address psychosocial needs, and support shared decision-making with the patient and family.

Conclusion: In elderly patients diagnosed with high-grade gliomas, adopting a multidisciplinary treatment framework that combines oncological, surgical, and palliative care is essential. Early initiation of palliative interventions facilitates optimal symptom control, preserves functional capacity, enhances quality of life, and supports patient-centered clinical decision-making throughout the disease course.

Keywords: high-grade glioma, elderly patients, palliative care, multidisciplinary approach

Introduction

Glioblastoma, classified as a WHO grade 4 astrocytic tumor, represents the most frequent and lethal primary brain malignancy in adults worldwide. Its incidence notably peaks between the ages of 65 and 84 years,1 a demographic group often burdened with multiple comorbidities. Elderly patients diagnosed with glioblastoma typically have a poorer prognosis, which is influenced not only by the aggressive biological behavior of the tumor but also by reduced physiological reserve, frailty, and increased intolerance to standard treatments such as surgery, radiotherapy, and chemotherapy.2 The management of glioblastoma in this age group presents a complex clinical challenge, requiring a delicate balance between aggressive oncologic control and the preservation of the patient’s functional status and overall quality of life. This balance is crucial, as treatment-related toxicities can significantly impair independence and wellbeing. This case report underscores these challenges and emphasizes the critical role of early palliative care integration to provide holistic, patient-centered management that addresses both medical and supportive care needs.

Case presentation

An 81-year-old right-handed woman presented with a three-week history of progressive cognitive decline, initially noted as temporal disorientation and confabulation, which progressively worsened to include dressing apraxia, irritability, dizziness, and marked gait instability. These neurological symptoms severely impacted her ability to perform daily activities and maintain independence. Her past medical history was notable for well-controlled hypertension and osteoarthritis, but she had no prior neurological conditions. Before symptom onset, she was fully functional, living independently at home with regular family support and no reported cognitive complaints.

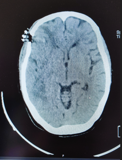
Cranioencephalic computed tomography revealed an expansile cortico-subcortical lesion predominantly centered in the right medial temporal lobe, with significant extension into the adjacent parietal and frontal lobes. The lesion demonstrated heterogeneous contrast enhancement and was surrounded by notable perilesional edema, contributing to local mass effect (Figure 1). A lumbar puncture was performed to analyze cerebrospinal fluid, effectively excluding infectious or lymphoproliferative causes.

Figure 1 Expansile temporal lesion with edema.

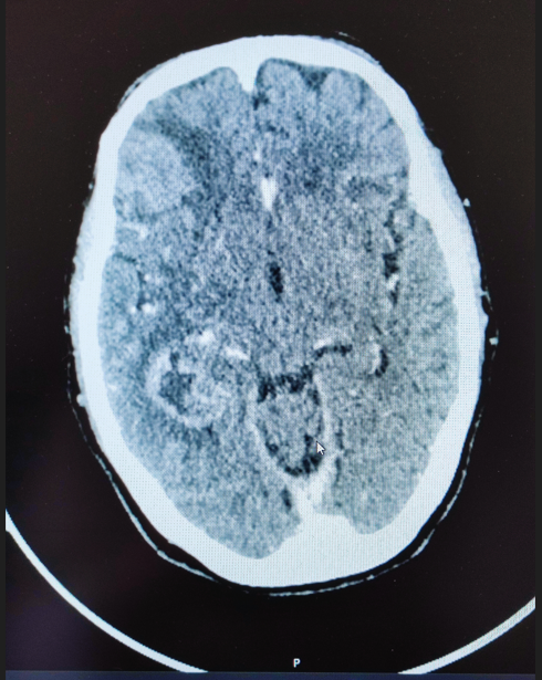
The patient underwent a neuronavigation-guided stereotactic biopsy without immediate complications. Postoperative imaging identified a small intratumoral hemorrhage without mass effect (Figure 2). Histopathological examination confirmed a diagnosis of high-grade glioma consistent with an IDH-wild-type glioblastoma. Treatment was promptly initiated with dexamethasone to reduce peritumoral edema and levetiracetam for seizure prophylaxis.

Figure 2 Stereotactic biopsy with minor hemorrhage.

Neurological examination post-biopsy revealed partial temporal orientation, left-sided visual and sensory extinction, pronator drift on the left side, mild weakness of the left upper limb, hyperreflexia, and severe gait ataxia requiring assistance for ambulation. Given the patient’s advanced age, functional limitations, and extensive tumor involvement, the multidisciplinary tumor board recommended a hypofractionated radiotherapy regimen aimed at maximizing tumor control while minimizing treatment burden. Concurrently, early palliative care services were engaged to optimize symptom management, address psychosocial needs, and provide comprehensive support to both the patient and her family throughout the treatment trajectory.

Discussion

The treatment of glioblastoma in elderly patients presents significant clinical and ethical challenges, stemming from the inherently aggressive behavior of the tumor, frequent atypical clinical presentations, and the increased vulnerability associated with frailty and age-related comorbidities.3 These factors complicate treatment decisions, as elderly patients often have diminished physiological reserve and reduced tolerance to aggressive therapies. Although therapeutic strategies may include surgical resection, radiotherapy, chemotherapy, or supportive care alone, the potential benefits must be carefully weighed against the risks of treatment-related toxicity, neurocognitive decline, and functional deterioration, which may severely impact patients’ independence and quality of life.4

mong the available treatment modalities, hypofractionated radiotherapy has gained prominence due to its demonstrated non-inferior survival outcomes compared to conventional regimens. Additionally, this approach offers advantages such as shorter treatment duration, improved tolerability, and reduced logistical and physical burden for elderly and frail patients, making it a preferred option in this population.5 Within this context, early integration of palliative care is not merely an adjunct but an essential component of comprehensive management. Palliative care addresses the complex symptom burden experienced by these patients; including seizures, cognitive decline, motor deficits, fatigue, and psychological distress; while also providing critical psychosocial support, assisting in advance care planning, and facilitating shared decision-making aligned with the patient’s and family’s values and preferences.6,7

This case exemplifies the importance of adopting a multidisciplinary care paradigm that integrates disease-modifying therapies with timely palliative care involvement. Such an approach not only optimizes symptom control and improves quality of life but also ensures that clinical decisions remain goal-oriented, ethically sound, and personalized throughout the disease trajectory.

It is important to emphasize that the role of palliative care in glioblastoma extends far beyond end-of-life care. In elderly patients; who frequently have limited physiological reserves and reduced ability to tolerate aggressive treatments; early palliative involvement is critical for providing comprehensive, individualized treatment plans that prioritize patient comfort and dignity.8 Palliative interventions should be tailored to include symptom relief, emotional and spiritual support, family education, and facilitation of effective communication among all stakeholders.

Effective treatment in this complex population requires close collaboration among neurologists, neuro-oncologists, radiation oncologists, palliative care specialists, nursing staff, psychologists, and rehabilitation professionals. This multidisciplinary coordination facilitates the development of dynamic, patient-centered care plans capable of responding to evolving clinical, functional, and emotional needs.9 In this case, the early inclusion of palliative care enabled timely symptom management, improved communication with caregivers, and helped define realistic therapeutic goals that were aligned with the patient’s values and expected quality of life. This integrated care model reinforces current international guidelines advocating for early palliative care integration from the moment of diagnosis in patients with high-grade gliomas, especially in older adults with limited therapeutic options and fragile clinical status.

Conclusion

The management of high-grade gliomas in elderly patients necessitates a personalized, multidisciplinary approach that carefully balances effective oncological control with the preservation of functional status, autonomy, and overall quality of life. Early integration of palliative care is paramount, as it provides comprehensive symptom relief, addresses complex psychosocial and emotional challenges, and facilitates shared decision-making among patients, families, and healthcare teams. This holistic and patient-centered strategy ultimately enhances clinical outcomes, improves patient satisfaction, and supports both patients and their caregivers throughout the entire disease trajectory, ensuring dignity, comfort, and the best possible quality of life despite the aggressive nature of the disease.

Acknowledgments

None.

Conflicts of interest

The authors declare that they have no conflicts of interest related to this work.

References

  1. Ostrom QT, Price M, Neff C, et al. CBTRUS Statistical report: primary brain and other central nervous system tumors diagnosed in the United States in 2015-2019. Neuro Oncol. 2022;24(Suppl 5):v1–v95.
  2. Mazarakis NK, Robinson SD, Sinha P, et al. Management of glioblastoma in elderly patients: A review of the literature. Clin Transl Radiat Oncol. 2024;46:100761.
  3. Iwamoto FM, Cooper AR, Reiner AS, et al. Glioblastoma in the elderly: the Memorial Sloan-Kettering Cancer Center Experience (1997-2007). Cancer. 2009;115(16):3758–3766.
  4. Weller M, van den Bent M, Preusser M, et al. EANO guidelines on the diagnosis and treatment of diffuse gliomas of adulthood. Nat Rev Clin Oncol. 2021;18(3):170–186.
  5. Roa W, Brasher PM, Bauman G, et al. Abbreviated course of radiation therapy in older patients with glioblastoma multiforme: a prospective randomized clinical trial. J Clin Oncol. 2004;22(9):1583–1588.
  6. Ferrell BR, Temel JS, Temin S, et al. Integration of palliative care into standard oncology care: american society of clinical oncology clinical practice guideline update. J Clin Oncol. 2017;35(1):96–112.
  7. Pace A, Dirven L, Koekkoek JAF, et al; European Association of Neuro-Oncology palliative care task force. European Association for Neuro-Oncology (EANO) guidelines for palliative care in adults with glioma. Lancet Oncol. 2017;18(6):e330–e340.
  8. Wu W, Klockow JL, Zhang M, et al. Glioblastoma multiforme (GBM): An overview of current therapies and mechanisms of resistance. Pharmacol Res. 2021;171:105780.
  9. Crooms RC, Goldstein NE, Diamond EL, et al. Palliative Care in high-Grade Glioma: A Review. Brain Sci.2020;10(10):
Creative Commons Attribution License

©2025 Puentes, et al. This is an open access article distributed under the terms of the, which permits unrestricted use, distribution, and build upon your work non-commercially.