Submit manuscript...
Journal of
eISSN: 2373-6410

Neurology & Stroke

Review Article Volume 12 Issue 4

Hydrocephalus secondary to tumors of the posterior fossa: review article

Claudio A Rivas Palacios,1 Hernando R Alvis Miranda,2 María Andrea Escobar Pacheco3

1Neurosurgery Resident University of Cartagena, Colombia
2Neurosurgeon Hospital Universitario del Caribe, Colombia
3Primary Care Physician in Epilepsy and Neurological Sciences. Jaime Fandiño Franky Colombian Center for Epilepsy and Neurological Sciences Foundation, Colombia

Correspondence: Claudio A Rivas Palacios, Neurosurgery Resident University of Cartagena (Colombia)

Received: July 27, 2022 | Published: August 23, 2022

Citation: Palacios CAR, Miranda HRA, Pacheco MAE. Hydrocephalus secondary to tumors of the posterior fossa: review article. J Neurol Stroke. 2022;12(4):124-129. DOI: 10.15406/jnsk.2022.12.00514

Download PDF

Abstract

Posterior fossa (PF) tumors are a common cause of obstructive hydrocephalus. In adults, metastases are the most common tumors in PF. Among the primary neoplasms, the most common are meningioma, vestibular schwannoma, and hemangioblastoma. Glial tumors are the most prevalent in children and adolescents, followed by medulloblastoma and ependymomas.

Surgical treatments are of choice in hydrocephalus due to posterior fossa tumors (HPFt). Tumor resection may be sufficient as monotherapy in adults with asymptomatic hydrocephalus and in others with a low risk of postoperative hydrocephalus. Endoscopic third ventriculoscisternostomy (ETV) is the choice for prophylaxis and / or treatment of HPFt in children-adolescents and adults. Ventriculoperitoneal bypass is beneficial in children-adolescents and adults with relative contraindications for EVT and / or unfavorable anatomy for it. External ventriculostomy is useful in adults who require emergency cerebrospinal fluid drainage.

Introduction

The posterior fossa (PF) is an anatomical region susceptible to complications. Its location, size and content of vital structures mean that any change in its content could put the patient's life at risk. In children and adolescents, PF tumors account for 60% of all brain neoplasms, while in adults they account for 20%.1 One of the main complications associated with localized tumors in PF is hydrocephalus.2,3 This has high morbidity and mortality, and therefore great economic impact due to the resources of the health system invested in its treatment. HPFt accounts for approximately 10% of all hydrocephalus in children and adults (9% and 11%, respectively).4,5 HPFt occurs in children and adolescents up to 90%,6–8 and in adults,9,10 are reported in up to 58% of cases. Despite its high frequency, there is still controversy regarding the optimal moment and the treatment modality. This review article aims to describe the pathophysiological mechanisms and risk factors involved in the development and/or perpetuation of HPFt, as well as the different therapeutic approaches and treatments, establishing its main indications.

Definition and classification of hydrocephalus

Hydrocephalus is an active dilatation of the ventricular system of the brain, resulting from the inadequate passage of CSF from its place of production within these ventricles, to its site of absorption in the systemic circulation.11

From the pathophysiological point of view, hydrocephalus is classified as obstructive and non-obstructive. Hydrocephalus is considered to be obstructive when there is partial or total blockage of CSF circulation through the foramina (Monro, Luschka and Magendie) and ducts (cerebral aqueduct) that connect the ventricles with each other, and finally with the ventricles. subarachnoid space. In the case of non-obstructive hydrocephalus, it can be due to an increase in the production of CSF in the choroid plexuses (eg: choroid plexus tumors), or due to a decrease in its absorption in the arachnoid granulations (mainly). HPFt is predominantly obstructive.12–14 It is classified as intra-axial if the tumor lesion exerts a mass effect on the outlet of the fourth ventricle (V4), and extra-axial if what occurs is a secondary compression of the venous outflow.6,12

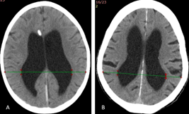
The severity of hydrocephalus can be established with the standardized method used by Choudhury in 1995,15 determining the ventricular/biparietal (V/BP) ratio (mathematical ratio) from a computed tomography of the skull (axial slice). The V/BP ratio is calculated from the measurements of the ventricular diameter (parietal part of the body of the ventricles, drawing a line between the lateral walls of both lateral ventricles) and the biparietal diameter (on the same "ventricular line" is extended to the internal cortices of the skull bilaterally) (Figure 1). The V/BP is considered normal when it is less than 0.26. Taking these variables into account, 4 severity groups are established: mild (V/BP 0.26-0.40), moderate (V/BP 0.41-0.60), severe (V/BP 0.61- 0.90) and extreme (V/BP 0.91-1).15

Figure 1 V/BP ratio. Courtesy registry of diagnostic images FIRE (Cartagena). (A) Immediate postoperative DVP in a pediatric patient with severe hydrocephalus (V/BP: 0.61); (B) Adult patient with severe hydrocephalus (V/BP: 0.62).

Cerebrospinal fluid dynamics

CSF is one of the three main elements contained in the skull and contributes 10% of the intracranial volumen.16–20 The total capacity of the cerebrospinal cavity in the adult is 1,400 to 1,700 ml. The volume of CSF varies from 75 to 270 ml in the adult divided between the ventricular system (25%), spinal canal (20 to 50%) and subarachnoid space (25 to 55%).17

CSF is an ultrafiltrate of plasma. It is produced in 60-70% in the choroid plexuses of the lateral ventricles (LV), third ventricle (V3) and fourth ventricle (V4). The remaining 30% of production is extrachoroidal, with the participation of the ependyma, the arachnoid and subarachnoid epithelial membrane, and the neurovascular unit (astrocyte-endothelium complex).18,21 It has a production rate of 0.3-0.4 ml/min (equivalent to 20 ml/h or 500 to 650 ml/day), remaining an intracerebral volume of approximately 150 ml, with an estimated turnover rate of 4 volumes/day.17,18,21

From the LV, the CSF passes to V3 through the foramina of Monro. Similarly, CSF circulation continues from V3 to V4 via the cerebral aqueduct (Sylvian aqueduct). Finally, CSF is redistributed to the subarachnoid space (cisterna magna) via the lateral (Luschka) and medial (Magendie) foramina.21–23

Absorption takes place mainly in the cranial (Pacinian) and spinal arachnoid granulations, in the leptomeningeal vessels, in the lymphatic system (cervical and abdominal by the perineural sheaths of the cranial and spinal nerves), in the space of Virchow Robin and through the olfactory nerve and nasal mucosa.17,18,24 Its maximum rate of reabsorption is 1.5 ml/min.17

Tumors of the posterior fossa

The tumor lesions of the PF are very varied, and their frequency of diagnosis has a marked pattern in relation to age and the affected anatomical structure (Figure 2). Metastases are the most frequent tumors in adults, representing approximately 30% of lesions. Around 50% of these metastases are of pulmonary origin, followed by breast, gastrointestinal, urogenital tumors and melanomas.1 Among primary tumors, meningiomas are the most common in adults.1 In children and adolescents, the frequency is determined by the location of the tumor lesion. Globally, glial tumors are the most prevalent.1 In the case of vermian lesions,1,3,25,29 medulloblastoma is common. Metastases are very rare in people under 20 years of age.1,30 Table 1 summarizes the different PF tumors according to anatomical location.

Figure 2 PF tumors. Diagnostic imaging registry courtesy Hospital Universitario del Caribe (Cartagena). (A) lung tumor metastasis in the fourth ventricle and right cerebellar hemisphere; (B) right APC meningioma; (C) left APC squamous cell tumor; (D) ependymoma; (E) right cerebellar hemisphere pilocytic astrocytoma; (F) medulloblastoma. APC, cerebellopontine angle.

Anatomical structure

Children and adolescent

Adults

Cerebellar vermis Metastases

Medulloblastoma

Metastases

Cerebellar hemisphere

Gliomas (astrocytomas)

Metastases, hemangioblastomas

Cerebellar pontine angle (CPA)

Rare

1. Meningioma

2.Vestibular schwannoma

 

3. Epidermoid cyst

Brainstem

Gliomas

Gliomas

Fourth ventricle

Ependymomas

Metastases, choroid plexus papilloma

Table 1 Most frequent tumors of the PF

Pathophysiological mechanisms and clinical repercussions

CSF is the main compensatory mechanism for intracranial pressure (ICP). This is obtained by decreasing its production and its resistance to reabsorption. Finally, there is displacement of CSF to the lumbar cistern. This happens until the increase in ICP produces a displacement of the brain structures that end up blocking the circulation of CSF, as can occur with FP tumors. Initially, the patient may be asymptomatic, or with mild symptoms (headache, gait instability). Once ICP compensatory mechanisms are exhausted, a series of clinical signs appear, such as drowsiness, impaired level of consciousness, high blood pressure and intermittent bradycardia, coma, fixed mydriasis, and even death. Consequently, intracranial hypertension (ICHT) can develop in its different stages (Table 2).16

Stage ICHT

Intracranial response

Clinical symptoms and signs

1

CSF and CSV volume reduction – no change in ICP

None

2

Exhaustion of compensatory mechanisms – small changes in ICP

Headache (mild symptom), drowsiness

3

Rapid increase in ICP, concomitant drop in CPP

Impaired level of consciousness (GCS), intermittent HBP and bradycardia

4

Cerebral vasomotor “palsy”

Coma, fixed mydriasis, death

Table 2 Clinical repercussions of ICHT due to HPFt. Adapted Koenig M. Cerebral Herniation Syndromes and Intracranial Hypertension 2016. The Pathophysiology of Intracranial Hypertension and Cerebral Herniation Syndromes
CSF, cerebrospinal fluid; CSV, vascular blood content; ICP, intracranial pressure; CPP, cerebral perfusion pressure; GCS, glasgow coma scale; HBP, high blood pressure

Blockage of CSF circulation is the main cause of HPFt.12–14 In a small percentage, the pathophysiological mechanism is due to increased CSF production (eg, choroid plexus papilloma) or decreased absorption (tumors with CSF seeding and leptomeningeal infiltration, eg, ependymoma, medulloblastoma, tumor metastasis breast).29,30,32

It should be noted that, prior to performing any surgical intervention, up to 30% of pediatric patients do not present imaging signs of hydrocephalus,6–8 this percentage being higher in adults, where the absence of signs of hydrocephalus can be found up to in 90% of cases.9,10 In these patients, postsurgical hydrocephalus may develop, the pathophysiological mechanism of which is also blockage of CSF circulation due to postoperative bleeding, postoperative cerebral edema and/or secondary compression of venous outflow.1,6,12 Hydrocephalus is one of the main complications associated with surgeries for tumors located in the PF.6,12

ICHT itself does not cause brain damage, but instead produces diffuse or focal ischemia secondarily. Any large increase in ICP leads to a critical reduction in cerebral perfusion pressure (CPP). If this decrease in CPP is not controlled, it leads to global hypoxia and a general decrease in cellular activity. When ICP is around 50 to 60 mmHg, it approaches systemic arterial pressure in the circle of Willis vasculature, leading to global cerebral ischemia and ultimately brain death.33

Therapeutic approach

The main goal of all HPFt treatments is to decrease ICP.6,34,35 Within the management possibilities there are temporary measures, such as medical treatments based on hyperosmolar solutions and/or systemic steroids,17,36,37 and surgical treatments such as external ventricular drainage (EVD).1,31,32,38,39 Definitive measures refer to surgeries that seek to restore CSF circulation (endoscopic third ventriculocisternostomy -ETV- and ventriculoperitoneal/atrial shunt -VPS/VAS-) and tumor resection.29,32,40–45 There is still controversy regarding the opportune moment and the therapeutic measure of choice. Faced with this dilemma, several questions arise: 1. Is tumor resection sufficient to solve hydrocephalus? 2. When is it necessary to perform CSF diversion first? 3. Which CSF diversion treatment is the most indicated?

Next, we will try to elucidate these questions.

Medical treatment

It is useful in cases of increased ICP. There are two groups of medications that can be used: hyperosmolar solutions and systemic steroids.

Mannitol and hypertonic saline (HS) are hyperosmolar solutions that are commonly used to reduce ICP and brain volume. Several clinical trials have compared the effects of HS and mannitol on brain relaxation and lowering ICP in surgical and intensive care settings, with results indicating that HS is as effective as mannitol, and in some cases superior to manitol, this allowing a better hemodynamic stability and CPP.46–49 However, the choice of hyperosmolar solutions to be used compromises other variables, such as institutional experience, the possibility of periodic monitoring of blood pressure, renal function and electrolytes, in addition, the availability of an intensive care unit in cases where central administration is required. . Table 3 describes the characteristics and properties of mannitol and HS.

Medication

Proposed mechanism of action

Indication and dose

Observations

Manitol

↑ plasma osmolarity, “drags” water from the cerebral intra and extracellular space to the distal convoluted tubule;17,37 it is an osmotic diuretic; ↑ FSC (improves the rheological properties of blood).47

Signs of ICHT and/or herniation syndrome. Recommended dose 0.25-1 g/kg of weight, in boluses every 6-8 hours. Therapeutic effect: 30-60 min, duration: 1.5-6h.

Simultaneously administer normal saline solution 1-2 cc/kg of weight, to avoid dehydration. Monitor electrolytes and kidney function every 12 hours.

HS

Does not cross the intact BHE 56; causes a greater increase in serum osmolality compared with mannitol 47; has little diuretic effect 47; inhibits the expression of aquaporin 4 (AQP4) channels 57.

Signs of ICHT and/or herniation syndrome. Recommended doses 1-2 cc/kg body weight, in boluses every 6-8 h.

Caution in heart failure with ejection fraction < 35% Monitor serum sodium every 6 h, if > 160 mEq/L suspend administration. HS 7% requires administration via central

Dexamethasone

Stabilizes BBB and decreases vascular permeability (↑ angipoietin 2 (Ang2) and ↓ vascular endothelial growth factor (VEGF), respectively);50 ↑ removal of peritumoral edema;51 ↓ CSF production by inhibition of the Na+/K+ ATPase pump.31

Symptomatic peritumoral vasogenic edema. Mild symptoms: 4-8 mg/day, 1 or 2 doses. Moderate and severe symptoms: 8-16 mg/day, in 2 doses.53

Absorption at 30 minutes. Half life 36 hours. Consider non-use in asymptomatic patients. Do not administer for more than 72 hours

Table 3 Characteristics and properties of drugs used to decrease ICP in HtFP
CBF, cerebral blood flow; BBB, blood-brain barrier; CSF, cerebrospinal fluid.

Systemic steroids improve vasogenic cerebral edema (VCE) and decrease CSF production,50,51 contributing to ICP reduction. The systemic steroids of choice is dexamethasone, due to its great anti-inflammatory potency and null mineralocorticoid activity.52,53 When the tumor lesion is accompanied by VCE, the administration of dexamethasone is indicated for 72 hours before surgery.36 However, all peritumoral VCE do not require treatment with dexamethasone.53 The anti-oedematous effects of dexamethasone depend on the dose, and this should be individualized based on the extent of the edema and the severity of the symptoms,53,54 which are classified as mild (mild headache, nausea) and moderate/severe (severe headache, vomiting, focal neurological deficit, HTEC).53 Table 3 describes the characteristics and properties of dexamethasone.

Early tumor resection

It is the treatment of choice in patients with asymptomatic hydrocephalus or with mild symptoms, both in primary tumors and in metastatic lesions.32,36,44 In patients presenting with pre-surgical hydrocephalus, tumor resection can resolve it in 70-90% in children, and up to 96% in adults.36 However, the risk of persistence of hydrocephalus, or new onset postoperatively, is estimated at 20-40% in pediatric patients1,36 and 5.7-14.3% in adults.1,9

The most important predictors of postoperative hydrocephalus (new and/or persistent) in children and adolescents are age ≤2 years, brainstem compression, moderate or severe preoperative hydrocephalus, preoperative estimation of possible medulloblastoma or ependymoma (tumors of the midline) and brain metastases.1,30 Taking the above into account, ideally, before making the surgical decision for tumor resection, the risk of postoperative hydrocephalus should be estimated. In this regard, the Canadian Preoperative Hydrocephalus Prediction Scale (CPPRH)30 is a useful tool. In this, different variables are taken into account (Table 3), with a weighted value according to its risk estimate, and whose total sum is 10 points. Patients are classified as low risk when the score is 0-4, and high risk when it is ≥ 5 (Table 4).30

Predictor

Escore

Age < 2 years

3

Presence of papilledema

1

Moderate hydrocephalus

2

Brain metastases

3

Preoperative tumor estimation:

 

Medulloblastoma
Ependymoma
Dorsal exophytic mesencephalic glioma

1
1
1

Total

10

Low risk
High risk

0-4
5-10

Table 4 CPPRH in children with neoplasms of the posterior fossa. Adapted Predicting postresection hydrocephalus in pediatric patients with posterior fossa tumors. J Neurosurg Pediatr (2009)

In adults, the predictive factors most associated with postoperative hydrocephalus are preoperative active hydrocephalus, the petroclival location of the tumor, and vasogenic cerebral edema. The last two in relation to extraaxial tumors.55 Pilocytic astrocytomas are also associated with an increased risk of postoperative hydrocephalus in adults.1 The Frankfurt classification system to predict the postoperative requirement for CSF drainage after resection of PF tumors can be used in adult patients, with the aim of establishing the benefit of preoperative CSF drainage.55 In this classification system, tumors are divided into intraparenchymal and extra-axial, with their different variables (Table 5), and a weighted value according to their risk estimate. Patients with a score ≥3 are considered at high risk of presenting postoperative hydrocephalus, both in intraparenchymal tumors and in extra-axial. On the contrary, those with a score of 0 and 1 have low risk. The discussion is in individuals with a score of 2, who present a higher risk in cases of intraparenchymal tumors.55

Tumor category and predictor variable

Score

Intraparenchymal tumor

 

Hidrocephalus
Yes
No

 

1
0

Transependymal edema
Yes
No

 

1
0

Surgical position
Other position than semi-sitting
Semi-sitting

 

1
0

Resection extension expectations
Subtotal
Total

 

1
0

Low risk:
Moderade risk:
High risk:

0-1
2
≥ 3

Extra-axial tumor

 

Location:
Petroclival
Midline
Lateral

 

2
1
0

Perilesional edema
Yes
No

 

1
0

Hidrocephalus
Yes
No

 

1
0

Low risk:
High risk:

0-2
≥ 3

Table 5 Frankfurt classification system. Adapted A novel grading system for the prediction of the need for cerebrospinal fluid drainage following posterior fossa tumor surgery. J Neurosurg 132 (2020)

External ventricular drainage

It is a temporary therapeutic measure, whose main indication is the adult patient who requires emergent CSF drainage. It should be considered in adults with metastatic disease and poor clinical condition.55 It is also a good option as “prophylaxis” in adult individuals at high risk of developing postoperative hydrocephalus.32 In this sense, the Frankfur classification system can be very useful to define those with high risk (Table 5).55 It is not indicated as “prophylaxis” in the absence of clear signs of hydrocephalus.38

A duration of < 8 days is suggested with the intraventricular catheter.38 Even duration ≤4 days is related to a lower risk of complications (ventriculitis, intraparenchymal hemorrhage, intraventricular hemorrhage, and surgical site infection).55 EVD has classically been related to ascending transtentorial herniation, however, studies have not shown causality.39 In children and adolescents it is not recommended as "prophylaxis" or treatment of hydrocephalus due to tumor lesions of a primary or metastatic nature.13

Endoscopic third ventriculocisternostomy versus ventriculoperitoneal/ventricle atrial shunt

Children and adolescents

There is a wide preference for ETV. In the last 20 years, much progress has been made in the development of new equipment and refinement of techniques to carry out this procedure, becoming routine in some neurosurgical care centers. In pediatric patients, ETV has shown lower complication rates than VPS/VAS.40,45 ETV is the procedure of first choice in midline tumors (medulloblastoma and ependymomas), due to its shorter surgical time and its low incidence of morbidity and mortality compared to VPS.29 In this group of tumors, it is suggested to perform "prophylactic" ETV since, when comparing it with early tumor resection as monotherapy, lower rates of postoperative hydrocephalus (of new appearance) and/or persistence of hydrocephalus have been shown in those with pre-surgical presentation. The indication of prophylactic ETV in hemispheric cystic tumors is questionable.29 ETV should be avoided in the presence of multiple macroscopic metastases. In the case of patients who have undergone ETV, they should be followed closely in the presence of CSF metastases after tumor resection surgery, due to the risk of postoperative hydrocephalus. In these situations, VPS remains a safe alternative, since it allows early specific cancer treatment without adding additional risks.31

Adults

As in pediatric patients, the trend of recent decades places ETV above VPS/VAS.41–44 ETV is the procedure of choice for the treatment of symptomatic obstructive hydrocephalus due to primary and/or metastatic tumor lesions, presenting good efficacy and a low rate of complications.32,41–44 In cerebellar metastases, the performance of ETV is similar to VPS/VAS, but at a lower cost and with less morbidity. EVT appears to be less effective in individuals with metastatic lesions with a history of neuroinfection, intraventricular hemorrhage, and leptomeningeal carcinomatosis.32 As previously described, in this group of patients hydrocephalus can be communicating, and its pathophysiology lies mainly in the decreased absorption of CSF in the arachnoid granulations (cerebral and spinal),29,31,32 therefore, it would probably be ineffective. perform a ETV. VPS/VAS is a valid alternative in patients with the aforementioned characteristics. EVT requires the presence of a subarachnoid space in the perimesencephalic cisterns, therefore, patients with brainstem compression and basal cistern collapse have an unfavorable anatomy to perform this procedure. Also in these cases, VPS/VAS is a valid alternative.32 Peritoneal metastasis secondary to VPS has been described in patients with brain metastases,58 however this remains extremely rare.32,59

It should be noted that, unlike pediatric patients, in adults there is no indication for prophylactic ETV in patients with asymptomatic hydrocephalus.13 However, the predictors of postoperative hydrocephalus (Table 5) must be taken into account when making this decisión.55

Conclusion

Hydrocephalus is one of the main complications associated with tumors located in the PF, and its presentation can be pre or postoperative. It is essential to estimate the risk of postoperative hydrocephalus (persistent or new onset), in order to define therapeutic measures aimed at reducing said risk. Tumor resection may be sufficient as monotherapy in adults with asymptomatic hydrocephalus, and in others with low risk of postoperative hydrocephalus (Table 4 & 5). ETV is the procedure of choice for prophylaxis and/or treatment of HPFt in pediatric and adult patients, whose estimated risk of postoperative hydrocephalus is high (Table 4 & 5). VPS is beneficial in pediatric patients with multiple metastatic lesions and/or CSF metastases. Similarly, in adults, its use is pertinent in cases of individuals with metastases who present with communicating hydrocephalus, or who present unfavorable anatomy for ETV. EVD is very useful in adults who require emergency CSF drainage, and their intraventricular catheter must be removed before four days to reduce the risk of complications.

Acknowledgments

None.

Conflicts of interest

The authors declare no conflicts of interest.

References

  1. Sae-Yeon Won, Daniel Dubinski, Bedjan Behmanesh, et al. Management of hydrocephalus after resection of posterior fossa lesions in pediatric and adult patients-predictors for development of hydrocephalus. Neurosurg Rev. 2020;43(4):1143–1150.
  2. Bondurant CP, Jimenez DF. Epidemiology of cerebrospinal fluid shunting. Pediatr Neurosurg. 1995;23(5):254–258.
  3. Farwell JR, Dohrmann GJ, Flannery JT. Central nervous system tumors in children. Cancer. 1977;40(6):3123–3132.
  4. Tisell M, Hoglund M, Wikkelsø C. National and regional incidence of surgery for adult hydrocephalus in Sweden. Acta Neurol Scand. 2005;112(2):72–75.
  5. Simon TD, Butler J, Whitlock KB, et al. Risk factors for first cerebrospinal fluid shunt infection: findings from a multi-center prospective cohort study. J Pediatr. 2014;164(6):1462.e2–1468.e2.
  6. Lin CT, Riva-Cambrin JK. Management of posterior fossa tumors and hydrocephalus in children: a review. Childs Nerv Syst. 2015;31(10):1781–1789.
  7. Foreman P, McClugage S, Naftel R, et al. Validation and modification of a predictive model of postresection hydrocephalus in pediatric patients with posterior fossa tumors. J Neurosurg Pediatr. 2013;12(3):220–226.
  8. Lam S, Reddy GD, Lin Y, et al. Management of hydrocephalus in children with posterior fossa tumors. Surg Neurol Int. 2015;6(Suppl 11):S346–S348.
  9. Fukuda M, Tetsuro T, Tetsuya H, et al. Clinical factors predicting outcomes after surgical resection for sporadic cerebellar hemangioblastomas. World Neurosurg. 2014;82(5):815–821.
  10. Niu L, Zhang Y, Li Q, et al. The analysis of correlative factors affecting long-term outcomes in patients with Solid Cerebellar Hemangioblastomas. Clin Neurol Neurosurg. 2016;150:59–66.
  11. Rekate HL. The definition and classification of hydrocephalus: A personal recommendation to stimulate debate. Cerebrospinal Fluid Res. 2008;5:2.
  12. Bateman GA, Fiorentino MJ. Childhood hydrocephalus secondary to posterior fossa tumor is both an intra- and extraaxial process. J Neurosurg Pediatr. 2016;18(1):21–28.
  13. Mohanty S, Rout SS, Sarangi GS, et al. Choroid plexus papilloma from the temoral horn with a bilateral hypersecretory hydrocephalus: a case report and review of literature. World J Oncol. 2016;7(2–3):51–56.
  14. Raimondi AJ, Tomita T. Hydrocephalus and infratentorial tumors: incidence, clinical picture, and treatment. J Neurosurg. 1981;55(2):174–182.
  15. Choudhury AR. Infantile hydrocephalus: management using CT assessment. Child's Nerv Syst. 1995;11(4):220–226.
  16. Koenig M. Cerebral Herniation Syndromes and Intracranial Hypertension 2016. The Pathophysiology of Intracranial Hypertension and Cerebral Herniation Syndromes. Chap 1, p1–p27.
  17. Pérez-Neri I, Aguirre-Espinosa AC. Dynamics of the cerebrospinal fluid and the blood-brain barrier. Arch Neurocien (Mex). 2015;20(1):60–64.
  18. Dimitris Kombogiorgas. The cerebrospinal fluid shunts. Nova Science Publishers. Dinamics of cerebrospinal fluid flow. 2016;Chap 3: 69–84.
  19. Wilson MH. Monro-Kellie 2.0: The Dynamic vascular and venous pathophysiological components of intracranial pressure. J Cereb Blood Flow Metab. 2016;36(8):1338–1350.
  20. Rodríguez-Boto G, Rivero-Garvía M, Gutiérrez-González R, et al. Basic concepts of brain pathophysiology and monitoring of intracranial pressure. Neurología. 2015;30(1):16–22.
  21. Youmans & Winn, Neurological Surgery. 7th edition. Johanson C.E. Production and flow of cerebrospinal fluid. 2016;Chap 29:157–167.
  22. Brodbelt A, Stoodley M. An anatomical and physiological basis for CSF pathway disorders. In Malluci C, Sgouros S, editores. Cerebrospinal fluid disorders. Atenas: Informa Healthcare. 2010:1–17.
  23. Hartman AL. Normal anatomy of the cerebrospinal fluid compartment. En Irani DN, editor. Cerebrosipnal fluid in clinical practice. Filadelfia: Elsevier. 2009:5–10.
  24. Stokum JA, et al. Molecular pathophysiology of cerebral edema. J Cereb Blood Flow Metab. 2016;36(3):513–538.
  25. Fournier L, Delion M, Esvan M, et al. Management of hydrocephalus in pediatric metastatic tumors of the posterior fossa at presentation. Childs Nerv Syst. 2017;33(9):1473–1480.
  26. Dufour C, Kieffer V, Varlet P, et al. Tandem high-dose chemotherapy and autologous stem cell rescue in children with newly diagnosed high-risk medulloblastoma or supratentorial primitive neuro-ectodermic tumors. Pediatr Blood Cancer. 2014;61(8):1398–1402.
  27. Schneider C, Ramaswamy V, Kulkarni AV, et al. Clinical implications of medulloblastoma subgroups: incidence of CSF diversión surgery. J Neurosurg Pediatr. 2015;15(3):236–242.
  28. Polednak AP, Flannery JT. Brain, other central nervous system, and eye cancer. Cancer. 1995;75(1):330–337.
  29. Nasser M F El-Ghandour. Endoscopic third ventriculostomy versus ventriculoperitoneal shunt in the treatment of obstructive hydrocephalus due to posterior fossa tumors in children. Childs Nerv Syst. 2011;27(1):117–126.
  30. Riva-Cambrin J, Detsky AS, Lamberti-Pasculli M, et al. Predicting postresection hydrocephalus in pediatric patients with posterior fossa tumors. J Neurosurg Pediatr. 2009;3(5):378–385.
  31. Fournier L, Delion M, Esvan M, et al. Management of hydrocephalus in pediatric metastatic tumors of the posterior fossa at presentation. Childs Nerv Syst. 2017;33(9):1473–1480.
  32. Pallud J, Roux A, Botella C, et al. Posterior fossa metastasis-associated obstructive hydrocephalus in adult patients: literature review and practical considerations from the neuro-oncology club of the french society of neurosurgery. World Neuro surg. 2018;117:271–279.
  33. Godoy DA, Lubillo S, Rabinstein AA. Pathophysiology and management of intracranial hypertension and tissular brain hypoxia after severe traumatic brain injury an integrative approach. Neurosurg Clin N Am. 2018;29(2):195–212.
  34. Hekmatpanah J. Cerebellar tumors in children and their management. Semin Neurol.  1989;9:225–230.
  35. Schmid UD, Seiler RW. Management of obstructive hydrocephalus secondary to posterior fossa tumors by steroids and subcutaneous ventricular catheter reservoir. J Neurosurg. 1986;65(5):649–653.
  36. Marx S, Reinfelder M, Matthes M, et al. Frequency and treatment of hydrocephalus prior to and after posterior fossa tumor surgery in adult patients. Acta Neurochir. 2018;160(5):1063–1071.
  37. Lee K, Esquenazi Y, Lo VP. Critical care management of cerebral edema in brain tumors. J Intensive Care Med. 2017;32(1):15–24.
  38. Anania P, Battaglini D, Balestrino A, et al. The role of external ventricular drainage for the management of posterior cranial fossa tumours: a systematic review. Neurosurg Rev. 2021;44(3)1243–1253.
  39. Braksick SA, Himes BT, Snyder K, et al. Ventriculostomy and risk of upward herniation in patients with obstructive hydrocephalus from posterior fossa mass lesions. Neurocritical Care. 2018;28(3):338–343.
  40. Di Rocco F, Jucá CE, Zerah M, et al. Endoscopic third ventriculostomy and posterior fossa tumors. World Neurosurg. 2013;79(2).
  41. Mahfuzur Rahman M, Abdus Salam M, Uddin K, et al. Early Surgical Outcome of Endoscopic Third Ventriculostomy in the Management of Obstructive Hydrocephalus: A Randomized Control Trial. Asian J Neurosurg. 2018;13(4):1001–1004.
  42. Grand W, Leonardo J, Chamczuk AJ, et al. Endoscopic Third Ventriculostomy in 250 Adults With Hydrocephalus: Patient Selection, Outcomes, and Complications. Neurosurgery. 2016;78(1):109–119.
  43. Lu L, Chen H, Weng S, et al. Endoscopic Third Ventriculostomy versus Ventriculoperitoneal Shunt in Patients with Obstructive Hydrocephalus: Meta-Analysis of Randomized Controlled Trials. World Neurosurg. 2019;129:334–340.
  44. Marx S, Damaty AE, Manwaring J, et al. Endoscopic Third Ventriculostomy before Posterior Fossa Tumor Surgery in Adult Patients. J Neurol Surg A Cent Eur Neurosurg. 2018;79(2):123–129.
  45. Lang Sh, Frisoli F, Kakareka M, et al. Endoscopic third ventriculostomy prior to resection of posterior fossa tumors in children. Child's Nerv Syst. 2019;35(5):789–794.
  46. Prabhakar H, Singh GP, Anand V, et al. Mannitol versus hypertonic saline for brain relaxation in patients undergoing craniotomy. Cochrane Database Syst Rev. 2014;2014(7):CD010026.
  47. Singla A, Mathew PJ, Jangra K, et al. A comparison of hypertonic saline and mannitol on intraoperative brain relaxation in patients with raised intracranial pressure during supratentorial tumors resection: A randomized control trial. Neurol India. 2020;68:141–145.
  48. Malik ZA, Mir SA, Naqash IA, et al. A prospective, randomized, double blind study to compare the effects of equiosmolar solutions of 3% hypertonic saline and 20% mannitol on reduction of brain‑bulk during elective craniotomy for supratentorial brain tumor resection Anesthesia: Essays and Researches.  2014;8(3):388–392.
  49. Shao L, Hong F, Zou Y, et al. Hypertonic Saline for Brain Relaxation and Intracranial Pressure in Patients Undergoing Neurosurgical Procedures: A Meta-Analysis of Randomized Controlled Trials. PLoS ONE. 2015;10(1):e0117314.
  50. Kim H, Lee JM, Park JS, et al. Dexamethasone coordinately regulates angiopoietin-1 and VEGF: a mechanism of glucocorticoid-induced stabilization of blood-brain barrier. Biochem Biophys Res Commun. 2008;372(1):243.
  51. Neurological effects of steroid treatment. In: Neurological Complications of Cancer Treatment, B utterworth-Heinemann, Boston p.173.
  52. Galicich JH, French LA, Melby JC. Use of dexamethasone in treatment of cerebral edema associated with brain tumors. J Lancet. 1961;81:46–53.
  53. Chang SM, Messersmith H, Ahluwalia M, et al. Summary of SNO and ASCO endorsement of the Congress of Neurological Surgeons guidelines. Neuro Oncol. 2019;21(4):424.
  54. Ryken TC, McDermott M, Robinson PD, et al. The role of steroids in the management of brain metastases: a systematic review and evidence-based clinical practice guideline. J Neurooncol. 2010;96(1):103–114.
  55. Sae-Yeon Won, Gessler F, Dubinski D, et al. A novel grading system for the prediction of the need for cerebrospinal fluid drainage following posterior fossa tumor surgery. J Neurosurg. 2019;132(1):296–305.
  56. Rozet I, Tontisirin N, Muangman S, et al. Effect of equiosmolar solutions of mannitol versus hypertonic saline on intraoperative brain relaxation and electrolyte balance. Anesthesiology. 2007;107(5):697–704.
  57. Cao C, Yu X, Liao Z, et al. Hypertonic saline reduces lipopolysaccharideinduced mouse brain edema through inhibiting aquaporin 4 expression. Critical Care. 2012;16(5):R186.
  58. Eralp Y, Saip P, Aydin Z, et al. Leptomeningeal dissemination of ovarian carcinoma through a ventriculoperitoneal shunt. Gynecol Oncol. 2008;108(1):248–250.
  59. Volkov AA, Filis AK, Vrionis FD. Surgical treatment for leptomeningeal disease. Cancer Control. 2017;24(1):47–53.
Creative Commons Attribution License

©2022 Palacios, et al. This is an open access article distributed under the terms of the, which permits unrestricted use, distribution, and build upon your work non-commercially.