Submit manuscript...
Journal of
eISSN: 2373-6410

Neurology & Stroke

Case Report Volume 3 Issue 5

Infarct after SICH Evacuation– Cause or Effect?

Girish Menon R, Lakshman I Kongwad, Sibhi Ganapathy, Rajesh Nair

Department of Neurosurgery, Kasturba Hospital, India

Correspondence: Dr. Rajesh Nair, Neurosurgery Registrar, Department of Neurosurgery, Kasturba Hospital, Manipal University, Manipal 576104, India

Received: November 29, 2015 | Published: December 10, 2015

Citation: Girish MR, Lakshman IK, Ganapathy S, Nair R (2015) Infarct after SICH Evacuation– Cause or Effect?. J Neurol Stroke 3(5): 00103. DOI: 10.15406/jnsk.2015.03.00103

Download PDF

Abstract

Cerebral infarction developing concomitantly or soon after a parenchymal intracerebral hemorrhage is a rare occurrence and is usually limited to small cortical or subcortical infarcts. We report two cases of malignant cerebral infarction secondary to large vessel occlusion occurring subsequent to the decompression of large intracerebral hematomas.

Keywords:Infarct, Spontaneous intracerebral haemorrhage, Surgical evacuation

Case 1

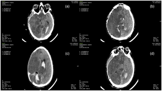
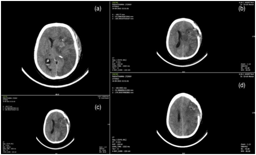
A 73-year-old diabetic, hypertensive male presented with the history of sudden onset altered sensorium and left sided weakness. On admission, nearly 4 hours after the ictus, he was intubated and had a Glasgow Coma Scale (GCS) of E1M3 with pupillary asymmetry, right pupil being larger. His blood pressure was high on admission (200/120mm of Hg) and his blood sugars were 236gm%. His Computed tomographic scan of the (CT) brain showed a massive right-sided parieto-occipital bleed with intraventricular extension and early hydrocephalus along with diffuse oedema (Figure 1). (SICH score 5). After explaining the pros and cons of intervention, he was taken up for evacuation of the haematoma under GA. As the brain remained full even after clot evacuation the bone flap was not replaced and a lax duroplasty was done. Preoperatively he remained stable with no major hemodynamic fluctuations. His blood pressures were maintained around a MAP of 100-120 mm of Hg as is the unit protocol. He was electively ventilated and started on decongestants. Postoperative CT scan done on day1 showed a large right ICA infarct with mass effect and midline shift (Figure 2). Thereafter he continued to deteriorate in spite of full cerebral protective measures and eventually succumbed 3 days after surgery.

Figure 1 Preoperative axial CT Scans showing a large right parieto-occipital haematoma with intraventricular extension and early hydrocephalus (a to d).

Figure 2 Postoperative axial CT Scans showing a large right ICA infarct with mass effect and midline shift with effacement of basal cisterns and significant cerebral oedema (a to d).

Case 2

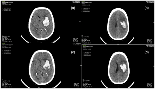
A 65-year-old lady presented with sudden onset of loss of consciousness and right-sided weakness. She was a hypertensive on regular treatment but had no other co-morbidities. On admission, she was intubated and had a GCS of E2M5, stable vitals, and a right hemiplegia. Her CT scan showed a large left putaminal bleed with intraventricular extension and early hydrocephalus (Figure 3) (SICH score 3). After explaining the risks involved, the patient was taken up for an immediate craniotomy and evacuation of the haematoma under GA. The patient was electively ventilated post procedure and started on decongestants. The repeat CT brain done next day showed an evolving infarct over the left ICA territory with oedema (Figure 4) elevating the bone flap and complete effacement of the basal cisterns. She was then immediately taken up for an emergency decompressive craniectomy. Post procedure she was sedated and electively ventilated with decongestants. The post op scan showed a large patchy ICA infarct on the left side with oedema and trans calvarial herniation of the brain through the decompressive craniectomy site. Thereafter, she had a stormy course and was discharged nearly two weeks after the surgery in a vegetative state.

Figure 3 Preoperative axial CT Scans showing a large left putaminal bleed with intraventricular extension and early hydrocephalus (a to d).

Figure 4 Postoperative axial CT scan showing an evolving infarct over the left ICA territory with oedema and complete effacement of the basal cisterns (a to d).

Discussion

Cerebral infarction following spontaneous intracerebral hematomas is uncommon. Wang et al observed an incidence of 8% infarcts in their cohort of 212 patients with spontaneous intracerebral hematomas.1 Prabhakaran et al detected a 22.9% prevalence of associated infarcts as evidenced by DWI abnormalities in a cohort of 118 spontaneous ICH patients.2 The majority of these infarcts, however, were small subcortical and subclinical. Large vessel occlusion causing malignant cerebral infarction has been rarely reported.3,4 We report two such cases of malignant infarction following the evacuation of a SICH and discuss the relevant clinicopathological issues.

Several mechanisms have been postulated to explain the possible occurrence of an infarct following a spontaneous hematoma. The majority of such infarcts are small and subcortical, conforming to borderzone or single perforator territories. A few recent studies have observed subclinical DWI lesions in 15% of patients with acute ICH attributable to cerebral amyloid angiopathy (CAA). Since both ischemic and hemorrhagic stroke, share common risk factors and certain common pathogenic mechanisms it is possible that an ischemic stroke may simply be a co-occurrence in the presence of common risk factors. Hypotension due to the attempted aggressive reduction of blood pressure following a hypertensive bleed may precipitate an ischemic event. Surgery for evacuation of the hematoma may be associated with intraoperative hemodynamic instability which can result in an ischemic event. These theoretical possibilities, however, lack radiographic evidence. Though unlikely, infarcts the following craniotomy may also be attributable to iatrogenic compression of vascular structures during craniotomy or through the durotomy defects. Large hematomas with surrounding oedema can theoretically directly compress the adjacent cerebral vessels causing ischemia. Infection with persistent fever, dehydration and electrolyte imbalance can all result in a hypercoagulable state following a bleed and can result in ischemia. One another postulated mechanism for ischemia is the massive release of blood and blood breakdown products into the CSF and subsequent inflammatory changes in the smooth muscle of the large cerebral arteries. Cerebral vasospasm due to the presence of concomitant intraventricular hemorrhage or after indirect vessel manipulation at the time of craniotomy is another suspected mechanism for ischemia. Both our patients developed infarcts following surgical evacuation of the hematoma. The surgeries were uneventful with no major hemodynamic instability preoperatively. After acute brain injury, autoregulation may be abolished such that CBF is linearly related to CPP. Aggressive BP lowering beyond the lower limits of cerebral autoregulation might induce cerebral ischemia in chronic hypertensive ICH patients. In both our patients, the MAP was maintained and no attempts were made to aggressively reduce the blood pressure.

Attempts have been made to predict the risk of developing concomitant infarcts in patients with SICH. Wang et al observed that the presence of intra-ventricular hemorrhage (IVH), hydrocephalus, the volume of intracranial hematoma and neurosurgical intervention were important predictors of infarction of which IVH had the most statistical significance.1 Similarly, Prabhakaran et al observed that the factors independently associated with DWI abnormality were a prior ischemic stroke, lowering of mean arterial pressure by over 40% and craniotomy for ICH evacuation.2 Both our patients met most of the above criteria and appeared to be potential candidates for developing infarcts although the exact etiopathogenesis of these large infarcts in our patients remains uncertain. The management of such large infarcts needs to be on similar lines as for any ischemic infarct. The outcome, however, is usually grave.

Conclusion

Stroke physicians need to be aware that SICH patients have a potential threat of developing large vessel occlusion with malignant cerebral infarcts, especially after surgical decompression. Although the exact pathogenesis is unknown, the size of the clot, IVH, hydrocephalus, aggressive reduction of blood pressure appear to be predictive factors.

Acknowledgments

None.

Conflicts of interest

None.

References

Creative Commons Attribution License

©2015 Girish, et al. This is an open access article distributed under the terms of the, which permits unrestricted use, distribution, and build upon your work non-commercially.