Case Report Volume 9 Issue 6
1Department of Neurosurgery, Hopital National Ignace Donka, Guinea
2Department of Neurosurgery, Hopital de Amitie Sino- Guineenne, Guinea
Correspondence: Alpha Boubacar BAH, Department of Neurosurgery, Hopital National Ignace Donka, Guinea
Received: November 27, 2019 | Published: December 10, 2019
Citation: Seylan D, Bah AB, Berete I, et alMultiple contralateral recurrence of bilateral chronic subdural hematoma: case report and literature review. J Neurol Stroke. 2019;9(6):327-329. DOI: 10.15406/jnsk.2019.09.00398
We report a case of bilateral chronic subdural hematoma (CSDH) operated with a single burr-hole on the more symptomatic side (left) followed by a symptomatic expansion of the contralateral (right) hematoma 7 days after the surgery treated again with a burr-hole on the other side. A week later the patient presented again a bilateral CSDH that was re-operated on both side with a good outcome at 6 months follow-up. Relevant literature was reviewed, and we believe that the multiple recurrence of these hematomas in the opposite hemisphere resulted from the rapid drainage of the hematoma, which caused the rupture of weak bridging veins during drainage. Slow decompression is recommended to avoid rapid intracranial changes during drainage of a subdural hematoma.
Keywords: chronic subdural hematoma, contralateral recurrence, drainage
CSDH is one of the most common neurosurgical conditions, especially in the aging population. The surgical techniques, mainly consisting of burr-hole evacuation and closed system drainage is relatively simple but recurrences remain one of the challenges in the treatment.1 Here, we present a case of double recurrence of CSDH in the course of 2 months in a patient with no hemostasis trouble. The relevant literature is reviewed.
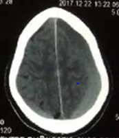
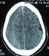
A 57 year old male with past history of mild traumatic brain injury a month ago presented to the emergency neurosurgery department with progressive headache and consciousness disturbance. The neurological examination revealed gait disturbance and left hemiparesis. Brain computed tomography revealed a bilateral chronic subdural hematoma, more predominant on the right fronto-parieto occipital convexity (Figure 1). Routine blood test were within normal limit. A right burr-hole drainage was performed with excellent neurologic recovery in the immediate post-operative period. A week later, the patient symptom reappeared, with a right hemiparesis this time. A stat Brain CT scan disclosed a complete resolution of the right sided hematoma but an increase in the left SDH with a fluid level (Figure 2). A hematologic consult suggested a complete blood coagulation work up that revealed increased D-Dimers and DIC. The patient received FFP and a left sided burr hole drainage was performed with good resolution of symptoms. However, recurrent headache with dizziness appeared 3 days after we removed the drain tube for testing. Repeat brain CT scan revealed reaccumulation of subdural hematoma on both side. The patient was again taken to the Operative room and bilateral subdural space aspiration was performed through both previous holes and the drain were left on both side for 5 days.
Complications of CSDH during the post-operative period include failure of the brain to re-expand, recurrence of hematoma and tension pneumocephalus, which are associated with poor prognosis.2 Recurrence develops in 20% of the cases with CSDH.3 Residual inner and outer capsule, blood at the subdural space, fibrin and degradation products, re vascularization of the capsule and residual subdural space are important factors for recurrence of CSDH.4 Contralateral acute complications such as acute subdural hematomas can be encountered after evacuation of a chronic subdural hematoma, though they are rare. In previous reports, postoperative bleeding almost always occurred in a single spot.5 There is some report of CSDH in which burr-hole surgery is only performed on one side, when contralateral hematoma is asymptomatic and thin like our case.6 In these cases, the contralateral hematoma may enlarge and cause symptoms after a certain period, requiring a burr-hole surgery. In our case there was a second rebleeding requiring a third evacuation. There was no evidence of blood coagulopathy. The cause and pathophysiological mechanism of these acute events is still unclear.
Increasing evidence indicates that too rapid excessive postoperative drainage can be the primary cause.7 A sudden variation in cerebral blood flow is a consequence of cerebral decompression after CSDH drainage.8 According to some author the height of the drainage tube is the main factor that determine the speed of the drainage. If the tube is too low, the drainage speed will be increased and may cause a change leading to increased intracranial pressure, a shift in midline structure and decreased blood flow.9 Other studies suggest that rapid perioperative parenchymal shift could dramatically worsen cerebral venous drainage. A sudden copious drainage of hematoma fluid could lead to peri-operative brain shift which can tear the contralateral or other bridging vein and subsequently cause intracranial hemorrhage. This theory fits well with the sequence of events in our patient, in which we didn’t take any particular precaution regarding the drainage tube height and one can argue that in the first surgery, we shouldn’t let the hematoma drain freely and quickly, knowing that there is already a contralateral thin CSDH that wasn’t to be drained at the same time. On the third and last surgery we did, we placed a finger on the burr-hole opening, not allowing the subdural fluid to drain freely, and inserted the tube with the bag placed at the same level of the head to ensure that sudden decompression is avoided by a better control of the drainage speed. No subsequent recurrence were noted at the follow-up.
Coagulopathies, cerebral amyloid angiopathy, anti-coagulant therapy, diffuse cerebral atrophy and failure of cerebral autoregulation in fragile elder patients are potential causes of acute recurrence of hemorrhage.10 Our patient was relatively young and didn’t show any evidence of the aforementioned factors. The literature doesn’t show that other surgical factors related to the technique, whether less invasive, twist drill percutaneous drainage, or full craniotomy make any difference in the rate of acute contralateral recurrence of CSDH.11 Lee,12 reported that reoperation and recurrence occur following partial membranectomy with burrhole (16%), enlarged craniectomy (23%), and in cases with coagulopathy (41%).12
In 2006, Sucu et al.13 suggested that traumatic chronic subdural hematomas develop from mostly subdural hygromas. If contralateral subdural hygroma is seen after surgical evacuation of a chronic subdural hematoma, the possibility of development of contralateral chronic subdural hematoma must be kept on mind. In our context we don’t routinely order brain CT immediately following burr-hole evacuation of CSDH, so we couldn’t identify a possible hygroma in the immediate post-operative period. In some case of refractory chronic subdural hematoma recollection, a CT angiography is necessary and an endovascular treatment performed for embolization of the Middle Meningeal artery to eliminate the blood supply to this structure.13
In 2017 Fujitani et al,6 investigated factors predicting contralateral hematoma growth after unilateral drainage of bilateral CSDH, and found that hypointensity or isointensity on T1 weighted preoperative MRI was associated with a high risk of postoperative CSDH growth on the contralateral side after unilateral surgery.6
This case was clinically important as we learned from the sequence of events and the literature review many lessons. In all case of CSDH, a slow decompression with controlled re-expansion and controlled closed system drainage should be used to avoid rapid, dynamic intracranial changes, including brain shift. In bilateral CSDH operated on a single side, a pre-operative MRI with iso-intensity or hypointensity on the non-operated side, warrant a close monitoring with serial CT scan and one should have a low threshold to perform a burr hole on that side if there is evidence of post-operative hygroma. In case of refractory CSDH a complete coagulation works up and a CT angiography should be part of the investigations to rule out complex hematologic problems or allow for an embolization of the Middle Meningeal Artery.
None.
The author declares no conflicts of interest.
None.
©2019 Seylan, et al. This is an open access article distributed under the terms of the, which permits unrestricted use, distribution, and build upon your work non-commercially.