Submit manuscript...
Journal of
eISSN: 2373-6410

Neurology & Stroke

Case Report Volume 13 Issue 5

Optimal interval between embolization and resection of a large meningioma: case report and literature review

Rahul C Chawla DM, Sumit Goyal MCh, Nitin K Sethi MD

Department of Neurosciences, Pushpawati Singhania Hospital & Research Institute (PSRI), India

Correspondence: Nitin K Sethi, MD, MBBS, FAAN, Chairman Neurosciences and Senior Consultant Pushpawati Singhania Hospital & Research Institute (PSRI), India

Received: September 21, 2023 | Published: October 4, 2023

Citation: Rahul Chawla DM , Sumit Goyal MC, Nitin K Sethi MD. Optimal interval between embolization and resection of a large meningioma: case report and literature review. J Neurol Stroke.. 2023;13(5):122-124. DOI: 10.15406/jnsk.2023.13.00557

Download PDF

Abstract

Preoperative embolization facilitates resection of highly vascular tumours of head and neck including meningioma by reducing intra operative blood loss and causing tumor shrinkage. However, the optimal time duration between embolization and resection of meningioma is not clearly defined. We present a patient with a large convexity meningioma who underwent embolization followed by meningioma resection after 2 days. Medical literature pertaining to the role of embolization as an adjuvant therapy to surgical resection and the optimal time interval between embolization and resection is reviewed.

Keywords: meningioma; embolization; resection

Case report

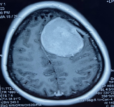
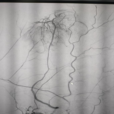
A-45-year-old right-handed lady with no significant past medical history presented with left sided hemicranial headache and a single secondary generalized convulsion. Clinical examination was normal with no other neurological deficit. Funduscopy revealed no papilledema. MRI brain without contrast identified a large left frontal extra-axial space occupying lesion with a dural tail suggestive of a meningioma with mass effect (Figure 1). Routine biochemical and haematological parameters were normal. Levetiracetam was started for seizure prophylaxis. Preoperative embolization of the tumor was planned followed by resection after 48 hours. Endovascular embolization was performed under conscious sedation. Vascular access was obtained via standard left femoral artery approach. Diagnostic angiography revealed tumoral blood supply from left middle meningeal artery and right ophthalmic artery (Figure 2). Super-selective microcatheterization of the left middle meningeal artery was achieved and tumorous feeders from ophthalmic artery were not embolized (Figure 3). Tumor embolization was achieved with polyvinyl alcohol particles (150 to 250 um). The patient was started on intravenous dexamethasone. Embolization of middle meningeal artery was followed by craniotomy after 48 hours. Simpson grade I resection of the tumor was achieved with around 300 ml periprocedural blood loss. There was no new onset neurological deficit following surgery. Post-operative hospital course was uneventful, and she was discharged home after 4 days. Histopathological examination revealed a WHO grade I meningioma. Review of medical literature was carried out to determine the optimal interval of resection following embolization of a large meningioma.

Figure 1 Large left frontal meningioma with mass effect.

Figure 2 Pre embolization.

Figure 3 Post embolization.

Discussion

Meningiomas are the most common benign tumors, arising from meningothelial cells, contributing to 37.6% of all primary CNS tumors.1 Meningiomas are slow growing dural-based tumors which are often asymptomatic when small in size, but can present with focal neurologic deficits, depending on the location of tumor, compression of adjacent structures due to mass effect and the time course over which the tumor develops.2

Treatment options for meningiomas include surgical resection, embolization, radiotherapy, and rarely chemotherapy. Appropriate treatment strategy for meningioma is determined on the presence or absence of clinical symptoms, age, comorbidities, size, and location of the tumor. Surgical resection is indicated for asymptomatic large, expanding tumors or those associated with surrounding edema and symptomatic meningiomas.3 Surgical resection relieves mass effect, prevents any impending neurological deficit, and helps establish tissue diagnosis. Complete resection of an accessible tumor and its dural attachment is curative. The primary goal is to achieve gross total resection (Simpson grade I). However, the extent of resection depends on the location of tumor, limited by possibility of new onset cortical deficits or cranial neuropathies.4 The extent of resection, determined by the Simpson grade, impacts the rates of recurrence for meningiomas following surgical resection. Following Simpson grade I gross total resection, WHO grades I, II, and III tumors show 5-year recurrence rates of 7–23%, 50–55%, and 72–78% respectively.5 Radiotherapy is usually indicated after incomplete resection. Radiotherapy alone is used for patients not amenable to resection due to tumor location or due to elevated risk of surgery. There is increased risk of reactive edema following radiotherapy of larger tumors, which can cause seizures and new onset deficits depending upon tumor location. Large convexity meningiomas can be completely resected owing to their superficial location and adjuvant radiotherapy is rarely indicated.6

Meningiomas are highly vascular tumors. Meningiomas are commonly supplied by the branches of the external carotid artery (ECA), primarily middle meningeal artery, which can be easily accessed by selective microcatheterization.7 Large convexity meningiomas are superficial, hypervascular and considered as ideal candidates for embolization. Preoperative embolization facilitates tumoral devascularisation and tumor visualization reducing intraoperative blood loss, need for intraoperative transfusion and shortens the surgery duration.8 However, in a retrospective study by Raper et al, there were no significant difference in operative duration, extent of resection, or complications between embolized and nonembolized group.9 Embolization causes necrotic and ischemic changes within the tumor, enhancing tumoral softening and facilitates safer tumoral resection, including tumors in eloquent areas.10 Theoretically, there is increased likelihood of achieving Simpson grade I or II resection post embolization. However, the evidence in support is derived from retrospective case series.

Pre-operative embolization facilitates resection in large giant convexity meningiomas. There have been retrospective case series demonstrating substantial reduction in tumor volume following super selective embolization, thereby leading to neurological improvement.11 Although evidence is insufficient to recommend embolization as a definitive therapy, it provides a treatment option for surgically inaccessible tumors or high-risk surgical candidates. For large convexity meningiomas, embolization may not be curative, but it provides temporary tumoral control for high-risk surgical resection and helps stall for optimising patient for the surgery. In a retrospective analysis of 186 patients with WHO grade I meningiomas, embolization group showed favorable recurrence-free survival (RFS) and had significantly less intraoperative blood loss without any improvement in Simpson grade or overall perioperative complications.12 In a meta-analysis, preoperative embolization was found to have reduced intraoperative blood loss and surgical time without any significant increase in the overall complication rate.13 Superselective catheterization of a tumoral feeder artery allows safely embolization without injuring healthy tissue. Tumor embolization can be done in tumors of all sizes and results in neurological improvement within ten days after treatment. The procedural complications include dissection, hemorrhagic or ischemic infarct and cranial neuropathy resulting from embolic material getting trapped into the feeder vessels. In a retrospective study, the complication rate of preoperative embolization ranged from 3 to 13 percent, with most complications being minor and transient.14 Rare major or long-term complications included stroke and cranial neuropathy resulting from embolic material getting trapped into the feeder vessels.

In a retrospective study, out of 27,008 patients with meningioma, only 633 (2.34%) had undergone preoperative embolization.15 The mean interval from embolization to resection was 1.49 days. Longer interval was significantly associated with nonroutine discharge but not with complications or mortality. The embolization group showed increased risk of cerebral edema with no significant difference in the mortality. The adequate time interval between tumor embolization and resective surgery remains an area of debate, and no standard guidelines are available. The timing of the surgery depends on the location of tumour and preference of operating surgeon. Initial data regarding the duration between tumor embolization and resection was based on earlier case series on head and neck tumors in 1970s including meningioma. Djindjian et al recommended an interval of 3 days while Brismar and Conqvist et al in their retrospective study suggested resection 1 or 2 days after embolization. Minimum 24 hours are required to maximize tumor devascularization and reduce operative blood loss. In a retrospective analysis of fifty patients, intraoperative blood loss was greater when surgical resection was done within 24 hours after embolization.16 The greatest degree of meningioma softening is achieved around 1 week after embolization. In a single centre retrospective study of twenty-eight patients, embolization followed by meningioma resection at least after 7 days was found to be safe and effective in reducing the volume of intraoperative blood transfusion.17 However, shorter time interval was associated with a longer surgical time and a higher transfused blood volume.

The optimal time interval between embolization and meningioma resection is one where the degree of tumor necrosis and tumoral softening is maximum. But it must be noted that the ideal interval is also one that minimizes intraoperative blood loss, duration of surgery and length of stay in hospital. There is a benefit of immediate resection of meningioma in the same sitting as reduced vascularity of tumor facilitates easy resection and reduces hospital stay but it must be balanced with the risk of increased blood loss. Besides, there is a risk for tumoral inflammation and increased mass effect after embolization. Early meningioma resection after day one retains the benefit of reduced vascularity and there is increased softness. However, as the interval prolongs further, there is increased friability of the tumor tissue makes resection difficult. Tumoral devascularisation is maximum at day one, after which the beneficial effects start declining and to reduce the chances of tumor revascularization, it is preferable to undergo resection within 7 days of embolization. If the interval prolongs greater than 1 week, there is potential for collateralization and recanalization. Any delay beyond 10 days is not recommended due to revascularisation. Even though there is no high-level evidence to favour early resection, the trend is to resect the meningioma preferably within 48 hours of embolization. Early resection in the same admission reduces the hospital stay and the medical expenses incurred by the patient. Besides, late resection of a large meningioma in second admission may lead to an untoward situation where patient might develop a new onset neurological deficit owing to the surrounding edema.

Conclusion

Evidence supporting preoperative embolization and the optimal interval between embolization and meningioma resection is derived from case series and we lack randomized controlled clinical trials. The decision for embolization and the interval between embolization and resective surgery must be decided by the operating neurosurgeon on case to case basis taking into consideration the factors highlighted above.

Acknowledgments

None.

Declarations

Author contributions: RC drafted the manuscript, SG operated on patient and revised the manuscript, NKS saw the patient, drafted, and revised the manuscript. All 3 authors share first author status.

Study funding: No targeted funding reported.

Data sharing statement: The authors have no additional data to share.

Conflicts of interest: The authors have no conflicts of interest.

References

  1. Ostrom QT, Cioffi G, Gittleman H, et al. CBTRUS Statistical report: primary brain and other central nervous system tumors diagnosed in the United States in 2012–2016. Neuro Oncol. 2019;21(Suppl 5):v1–v100.
  2. Huntoon K, Toland AMS, Dahiya S. Meningioma: a review of clinicopathological and molecular aspects. Front Oncol. 2020;10:579599.
  3. Goldbrunner R, Minniti G, Preusser M, et al. EANO guidelines for the diagnosis and treatment of meningiomas. Lancet Oncol. 2016;17(9):e383–e391.
  4. Buerki RA, Horbinski CM, Kruser T, et al. An overview of meningiomas. Future Oncol. 2018;14(21):2161–2177.
  5. Huntoon K, Toland AMS, Dahiya S. Meningioma: a review of clinicopathological and molecular aspects. Front Oncol. 2020;10:579599.
  6.  Meling TR, Da Broi M, Scheie D, et al. Meningioma surgery–are we making progress? World Neurosurg. 2019;125:e205–e213.
  7.  Shah AH, Patel N, Raper DM, et al. The role of preoperative embolization for intracranial meningiomas. J Neurosurg. 2013;119(2):364–372.
  8. Dowd CF, Halbach VV, Higashida RT. Meningiomas: the role of preoperative angiography and embolization. Neurosurg Focus. 2003;15(1): E10.
  9. Raper DM, Starke RM, Henderson F Jr, et al. Preoperative embolization of intracranial meningiomas: efficacy, technical considerations, and complications. AJNR Am J Neuroradiol. 2014;35(9):1798–1804.
  10. Ng HK, Poon WS, Goh K, et al. Histopathology of post-embolized meningiomas. Am J Surg Pathol. 1996;20(1):1224–1230.
  11. Bendszus M, Martin-Schrader I, Schlake HP, et al. Embolization of intracranial meningiomas without subsequent surgery. Neuroradiology. 2003;45(7):451–455.
  12. Akimoto T, Ohtake M, Miyake S, et al.Preoperative tumor embolization prolongs time to recurrence of meningiomas: a retrospective propensity-matched analysis. J NeuroInterv Surg. 2023;15(8):814–820.
  13. Chen L, Li DH, Lu YH, et al. Preoperative embolization versus direct surgery of meningiomas: a meta-analysis. World Neurosurg. 2019;128:62–68.
  14. Bendszus M, Martin-Schrader I, Warmuth Metz M, et al. MR imaging- and MR spectroscopy-revealed changes in meningiomas for which embolization was performed without subsequent surgery. Am J Neuroradiol. 2000;21(4):666–669.
  15. Brandel MG, Rennet RC, Wali AR, et al. Impact of preoperative endovascular embolization on immediate meningioma resection outcomes. Neurosurg Focus. 2018;44(4):E6.
  16. Chun JY, McDermott MW, Lamborn K, et al. Delayed surgical resection reduces intraoperative blood loss for embolized meningiomas. Neurosurgery. 2002;50(6):1231-1235;discussion 1235-1237.
  17. Nania A, Granata F, Vinci S, et al. Necrosis score, surgical time, and transfused blood volume in patients treated with preoperative embolization of intracranial meningiomas. Analysis of a single-centre experience and a review of literature. Clin Neuroradiol. 2014;24:29–36.
Creative Commons Attribution License

©2023 Rahul, et al. This is an open access article distributed under the terms of the, which permits unrestricted use, distribution, and build upon your work non-commercially.