Submit manuscript...
Journal of
eISSN: 2373-6410

Neurology & Stroke

Case Report Volume 7 Issue 6

Penetrating Intracranial Injury by a Nail: Case Report

Bah AB,1 Souaré I Sory,1 Boubane Daniel,1 Kezeli L Beavogui2

1Department of Neurosurgery, CHU de Donka Conakry Guinée, West Africa
2Department of Neurosurgery, CHU de Donka Conakry Guin

Correspondence: Alpha Boubacar, BAH Department of Neurosurgery Hopital de Kipe, Conakry, Guinea, West Africa, Tel +224 620 19 29 55

Received: August 21, 2017 | Published: October 23, 2017

Citation: Bah AB, Sory SI, Daniel B, Beavogui KL (2017) Penetrating Intracranial Injury by a Nail: Case Report. J Neurol Stroke 7(6): 00256. DOI: 10.15406/jnsk.2017.07.00256

Download PDF

Abstract

Penetrating intracranial injuries are uncommon in the civilian medical environment. The most common types of such injuries include occupational incidents, and criminal assaults. A 34-year-old prisoner with an intracranial injury produced by a nail is presented. Imaging studies showed that the nail had penetrated 1 cm lateral to the midline and 4.5 cm deep into the right frontal region with the tip in the third ventricle. Despite a 2-week delay in the treatment, the patient experienced a remarkably good recovery in a 2 years follow up.

Keywords:penetrating brain injury, nail brain injury, foreign bodies

Introduction

Non-ballistic penetrating injuries to the cranial cavity are uncommon in comparison to other body cavities.1 Various bizarre objects implicated in penetrating brain injuries have been described in the literature.2 A nail is rarely used as a weapon and can forcefully penetrate the skull bone and cause intracerebral lesions due to the rigid structure and narrow tip of the object. Penetrating intracranial injuries by a nail with infectious complications followed by positive recovery as the present case have not yet been reported in the literature.

Case presentation

A 34-year-old male detainee from a local prison presented to our department after an assault using a nail by another prisoner. There was no history of loss of consciousness or convulsions. The physical examination revealed the head of the nail sticking out of the skin with the remainder completely lodged near the midline in the right frontal region of the brain. The patient was alert, oriented, and responding to verbal commands. His vitals were stable (heart rate: 90/min, blood pressure: 120/80 mm Hg, and respiratory rate: 20/min). The pupils were equally round and reactive to light. The Glasgow coma score (GCS) was 15/15. There were no motor or sensory deficits. Brainstem reflexes were intact. No associated systemic injuries were found.

CT scan of the head showed the nail had penetrated 1 cm lateral to the midline and 3.5 cm deep into the right frontal region. Surgery was delayed due to the absence of a qualified anesthesia team in the hospital at that time. On the following days, the patient presented a progressive decline in neurologic status with a GCS of 10/15, left hemiplegia, fever, and neck rigidity. Two weeks after the initial evaluation, circumferential craniotomy was performed and the nail was removed along with a bone flap. We observed an abundant purulent fluid coming out of the narrow cavity created by the nail in the brain parenchyma. The cavity was drained. Necrotic brain tissue and bone fragments were also removed followed by rigorous hemostasis and generous irrigation. There was no vascular injury. The dura was closed, and a small duroplasty was made using the pericranium. The wound was closed after debridement of the track. The patient had an uneventful post-operative course and his neurological impairments recovered completely within 10 days. He received intravenous Ceftriaxone and Flagyl for 3 weeks. He was then discharged with recommendations to take Gardenal (Phenobarbital) for 6 months. He was advised to return for monthly follow-up. There has been no report of seizure at the last follow up visit.

Discussion

Head injury is a common cause of hospitalization in neurosurgery, but rarely present as a penetrating injury of the skull. Head injuries caused by foreign bodies other than bullet and missiles are extremely uncommon.3 In the literature, intracranial weapons such as screw driver, knife, ice pick, nail, power drill, wooden wounding objects have been documented.2 The cranial bones offer considerable resistance to the object which tends to slide on the skull surface rather than penetrate it except in the areas with thin and more delicate bones such as the orbital roof or the temporal squama.4 A nail can easily penetrate the cranium provided that it is stabbed with force at a right angle with the head in a fixed position.2 In the present case the nail penetrated the frontal bone which is known to have an average thickness of 8 mm. The force required to penetrate the skull is about 11 times higher in the fronto-parietal region than the force needed to perforate the skin.5 Extra care is important in history taking to define the exact mechanism of injury.6

Unlike gunshot and missile injuries, the damage in low-velocity wounds is predominantly restricted to hemorrhagic infarctions along the wound track. They do not cause contrecoup injuries and diffuse axonal injury compared to motor vehicle accidents.7 Radiological investigation plays an important role in the identification of the stabbing object. In any patients with intracranial penetrating wounds, skull X-rays, subsequent CT scan and possibly cerebral angiography should be obtained.8 In low socioeconomic settings the inaccessibility of a CT scan should not delay the surgical evaluation if the weapon is identified on x ray, depending on the site of penetration and physical morphology of the penetrating object.

Operative delay for greater than 48 hours from the time of injury dramatically increases the incidence of infection from 4.6 to 36.5%.7 The current case is illustrative of the importance of early surgical exploration to avoid delayed infectious, vascular and epileptic complications. The treatment is essentially based on meticulous handling of the inflicting agent, removal of clots and necrotic tissues, and adequate amounts of post-operative antibiotics9(Figure 1-3).

Figure 1 Sagittal X ray showing the full length of the nail in the cranium.

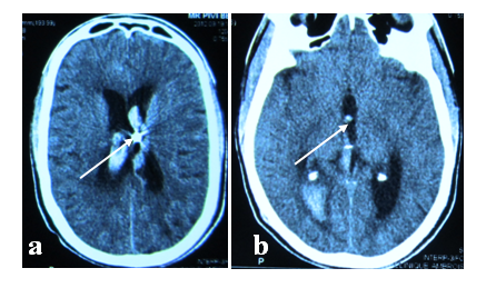
Figure 2 Axial, Frontal and Sagittal CT scan showing the penetration of the foreign body near the midline and deep into the right frontal region with the tip in the 3rd ventricle floor (white arrows).

Figure 3 Operative images of the circumferential craniotomy with the nail removed along with the bone flap (white arrow).

Studies across the world suggest that victims usually survive when the intracranial penetration is accidental in the absence of damage to vital centers and large vessels.2 In cases where the cranial injury is homicidal, the depth of penetration is higher and the prognosis is more reserved.10 The originality of the present case rests on the remarkably positive outcome attained, despite the violence of the impact, and the delay in treatment. Finally this case underlines the urge to implement situational and social prevention strategies supported by appropriate management policies from the local penal authorities to reduce interpersonal violence in African prisons.

Acknowledgments

We thank Dr Diakhaté from the Ambroise Paré Clinic in Conakry for his valuable contribution as a radiologist, both in the actual management of the case and the figure preparation for this work.

Patient consent

The patient has consented to the submission of the case report for submission to the journal.

Funding

None.

Conflicts of interest

All authors certify that they have no affiliations with or involvement in any organization or entity with any financial interest (such as honoraria; educational grants; participation in speakers’ bureaus; membership, employment, consultancies, stock ownership, or other equity interest; and expert testimony or patent-licensing arrangements), or non-financial interest (such as personal or professional relationships, affiliations, knowledge or beliefs) in the subject matter or materials discussed in this manuscript.

References

  1. Williams JR, Aghion DM, Doberstein CE, et al. Penetrating brain injury after suicide attempt with speargun: case study and review of literature. Front Neurol. 2014;5:113.
  2. Bauer M, Patzelt D. Intracranial stab injuries : case report and case study. Forensic Sci Int. 2002; 129(2):122˗127.
  3. Smrkolj V, Balazic J, Princic J. Intracranial injuries by a screwdriver. Forensic Sci Int. 1995;76(3):211˗216.
  4. Oki T, Asamura H, Hayashi T, et al. Unusual intracranial stab wounds inflicted with metal tent stakes for a case involving a family murder suicide. Forensic Sci Int. 2010;202(1˗3):e19˗e21.
  5. Weber W. Quantitative investigations concerning penetrating wounds of the human skull. Z Rechtsmed. 1974;74(2):111˗116.
  6. Carrillo-Ruiz JD, Juárez-Montemayor V, Méndez-Viveros A, et al. Skull stab wound from a metal railroad nail perforating the right frontal lobe. Brain Inj. 2013;27(7˗8):973˗977.
  7. Tanweer K Margaret T. An unusual case of penetrating head injury in a child. J Emerg Trauma Shock. 2010;3(2):197˗198.  
  8. Gutierrez-Gonzalez R, Boto GR, Rivero-Garvía M, et al. Penetrating brain injury by drill bit. Clin Neurol Neurosurg. 2008;110(2):207˗210.
  9. Borzone M, Rivano C, Altomonte M, et al. Penetrating cranio-cerebral injury at the vertex. Report of an unusual case. Zentralbl Neurochir. 1986;47(2):155˗157.
  10. Tommasi AD, Cascardi P, Tommasi CD, et al. Emergency surgery in a severe penetrating skull base injury by a screw driver. Case report and literature review. World J Emerg Surg. 2006;1:36. 
Creative Commons Attribution License

©2017 Bah, et al. This is an open access article distributed under the terms of the, which permits unrestricted use, distribution, and build upon your work non-commercially.