Submit manuscript...
Journal of
eISSN: 2373-6410

Neurology & Stroke

Case Report Volume 10 Issue 3

Subependymal giant cell astrocytoma associated with hyperproteinorrhachia, presented with vp shunt malfunction: a rare clinical entity

Nazmin Ahmed, Shamsul Alam, KM Taikul Islam, Moududul Haque, Md Ashik Ahsan, Bipin Chaurasia

Correspondence: Dr. Bipin chaurasia, Chief Resident, Department of Neurosurgery, Bangabandhu Sheikh Mujib Medical University, Dhaka, Bangladesh

Received: March 06, 2020 | Published: May 28, 2020

Citation: Ahmed N, Alam S, Islam KMT, et al. Subependymal giant cell astrocytoma associated with hyperproteinorrhachia, presented with vp shunt malfunction: a rare clinical entity. J Neurol Stroke. 2020;10(3):97-99. DOI: 10.15406/jnsk.2020.10.00418

Download PDF

Abstract

Subependymal giant cell astrocytomas (SEGAs) are WHO grade I tumors, most frequently associated with tuberous sclerosis complex (TSC). TSC sometimes also called Bourneville’s disease is a neurocutaneous disorder characterized by hamartoma of many organs like skin, brain, eye and kidneys. In this report, we illustrate the case of SEGA with hydrocephalus, who presented with features of raised intracranial pressure, along with shunt malfunction due to shunt valve blockage with proteinaceous material. Patient underwent interhemispheric transcallosal approach and complete removal of tumor followed by ventriculo- atrial shunt and achieved favourable outcome.

Introduction

Tuberous sclerosis complex (TSC) is a neurocutaneous disorder, in which patient may present neurologically with features of subcortical tubers, subependymal nodules, and subependymal giant cell astrocytomas (SEGAs) (Table A). In rare cases, SEGA patients may demonstrate abnormally high levels of cerebrospinal fluid (CSF) protein (hyperproteinorrhachia), which is responsible for obstruction of CSF diversion devices in shunted cases. However, this phenomenon is rarely reported in the previous literature (Table 1). Here, we illustrate the long term beneficial effect of gross total removal of tumor in a symptomatic TSC patient with hyperproteinorrhachia without necessity of everolimus therapy.

Serial no.

Author      

 Year of publication

Age (years)/sex

Diagnosis 

 Treatment

1

Perek-Polnik et al.4

2012

10 / female

SEGA with hydrocephalus

External CSF drainage, followed by everolimus therapy

2

Laviv et a.3   

2015

    21/male        

SEGA with hydrocephalus

Repeated surgery, shunt revision, endoscopic fenestration followed by everolimus therapy

   

2015

    24/female        

SEGA with hydrocephalus

Repeated surgery, shunt revision followed by everolimus therapy

3

Kasper et al.5

2017

18/female     

SEGA with hydrocephalus

VP shunt placement followed by surgery

Table 1 Reported cases of SEGA with Hyperproteinorrhachia, leads to shunt malfunction

Diagnostic criteria of tuberous sclerosis complex16

  1. TSC: diagnosis requires 2 major criteria, or 1 major and 2 minor criteria
  2. Probable TSC: 1 major + 1 minor
  3. Possible TSC: 1 major or 2 minor
  4. Major criteria
  5. cutaneous manifestations: facial angiofibroma, ungual fibroma, >3 hypomelanotic macules, shagreen patch
  6. brain and eye lesions: cortical tuber, subependymal nodules, subependymal giant cell astrocytoma, multiple
  7. retinal nodular hamartomas
  8. tumors in other organs: cardiac, rhabdomyoma, lymphangioleiomyomatosis, renal angiomyolipoma
  9. Minor criteria
  10. rectal polyps
  11. pits in dental enamel
  12. bone cysts
  13. migration abnormalities of cerebral white matter
  14. gingival fibromas
  15. nonrenal hamartomas
  16. achromic retinal patches
  17. confetti skin lesions
  18. multiple renal cysts
  19. Syndromes Involving Tumors
  20. 35

Case report

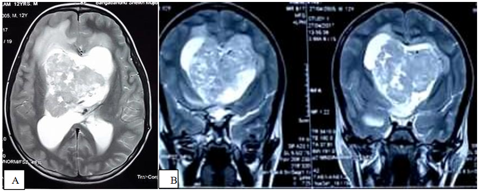
A 12 years old male patient presented with insidious onset of dull aching headache and vomiting for one year, progressive dimness of vision in both eyes for the same duration (Figure 1). He experienced one episode of generalized tonic clonic convulsion followed by loss of consciousness. After evaluation with MRI of brain, he diagnosed as a case of SEGA with obstructive hydrocephalus and underwent urgent VP shunt surgery in a private hospital (Figure 2). However, 7 months following shunt surgery, patient admitted for definitive surgery into BSMMU with additional features of ascites. However, his liver function test, renal function test and cardiac evaluation were normal. Serum albumin, total protein and albumin- globulin ratio was also within normal limit. At this stage, we exteriorize the lower end of VP shunt and drain 1 litre ascitic fluid for decompression. We sent both CSF and ascitic fluid for biochemical, cytological and microbiological examination. Findings were normal except high protein level both in CSF and ascitic fluid. Later on, we came into conclusion that, CSF high protein level was responsible for impaired peritoneal absorption of CSF. Patient underwent anterior interhemispheric transcallosal approach and gross total removal of tumor. At 10th POD, he underwent right sided ventriculo-atrial shunt. His postoperative period was uneventful. 1 year after surgery, repeat MRI of brain with contrast showed no recurrence of tumor with well functioning status of the shunt (Figure 3).

Figure  1  Photograph  of the  patient  showing-  adenoma  sebaceum  (A);  non traumatic  gingival fibroma (B).

Figure 2 MRI of brain , T2WI demonstrates a heterogeneously hyperintense lesion occupying both lateral ventricle as well as third ventricle with multiple intrinsic flow voids (A, B, C).

Figure 3 MRI of brain with contrast demonstrates no recurrence of tumor and well-functioning status of ventriculo-atrial shunt (A, B, C).

Discussion

According to the International TSC Consensus Conference in 2012, it was recommended that patient with SEGA associated with ventriculomegaly should undergo early surgical intervention for better long term outcome. The association of these tumors with a highly proteinaceous CSF has been mentioned as a reason to avoid shunt placement as the initial treatment in symptomatic SEGA patients.2,3 According to the previously published literature, there are several possible mechanism for hyperproteinorrhachia in CSF of a SEGA patient, such as presence of high levels of clotting proteins, recurrent hemorrhages into the tumor with spillage of the blood products into the CSF and meningeal spreading of the solid tumor.4–7 These explanations are less likely in our case, since there was no evidence of hemorrhage and the CSF cytology report was normal.

We have reviewed this rare observation, which were summarised in Table 1. We have hypothesized that the high protein content may have resulted from increased proteinaceous secretions by the tumor. However, further study required to prove the hypothesis.

Conclusion

Surgical resection of a SEGA tumor can not only relieve local mass effect and reverse blockage of the foramen of Monro; it can also reverse the grossly elevated CSF protein levels and prevent shunt malfunction. However, pathophysiology of this unique condition related to CSF malabsorption needs further evaluation for treatment modalities.

Acknowledgments

None.

Conflicts of interest

The author declares no conflict of interest.

References

  1. Roach ES, Gomez MR, Northrup H. Tuberous sclerosis complex consensus conference: revised clinical diagnostic criteria. J Child Neurol. 1998;13(12):624–628.
  2. Wheless JW, Klimo P Jr. Subependymal giant cell astrocytomas in patients with tuberous sclerosis complex: Considerations for surgical or pharmacotherapeutic intervention. J Child Neurol. 2014;29(11):1562–1571.
  3. Nazmin Ahmed, Bipin Chaurasia, Narendra Shalike et al. Rare Complications of VP Shunt Surgery resulting in significant morbidity and mortality: report of four cases and review of literature. Int J Neurol Neurosurg. 2019;11(4):293–301.
  4. Di Rocco C, Iannelli A, Marchese E. On the treatment of subependymal giant cell astrocytomas and associated hydrocephalus in tuberous sclerosis. Pediatr Neurosurg. 1995;23(3):115–121.
  5. Laviv Y, Jackson S, Rappaport ZH. Persistent communicating hydrocephalus in adult tuberous sclerosis patients: A possible therapeutic role for everolimus. Acta Neurochir (Wien). 2015;157(2):241–245.
  6. Perek-Polnik M, Józwiak S, Jurkiewicz E, et al. Effective everolimus treatment of inoperable, life-threatening subependymal giant cell astrocytoma and intractable epilepsy in a patient with tuberous sclerosis complex. Eur J Paediatr Neurol. 2012;16(1):83–85.
  7. Kasper E, Laviv Y, Sebai MA, et al. Subependymal giant cell astrocytoma: Associated hyperproteinorrhachia causing shunt failures and nonobstructive hydrocephalus-Report of successful treatment with long-term follow- up. Asian J Neurosurg. 2017;12(4):746–750.
Creative Commons Attribution License

©2020 Ahmed, et al. This is an open access article distributed under the terms of the, which permits unrestricted use, distribution, and build upon your work non-commercially.