Mini Review Volume 12 Issue 1
Neurology, Tizi Ouzou University Hospital, Mouloud Mammeri University of Tizi Ouzou, Algeria
Correspondence: Hakim Si Ahmed, Neurology, Tizi Ouzou University Hospital, Mouloud Mammeri University of Tizi Ouzou, Algeria
Received: January 03, 2022 | Published: February 25, 2022
Citation: Ahmed HS, Megherbi L, Daoudi S. Unusual progressive supranuclear palsy: A case report. J Neurol Stroke. 2022;12(1):18-19. DOI: 10.15406/jnsk.2022.12.00491
Introduction: Progressive supranuclear palsy (PSP) is a rare brain condition. It is predominantly a sporadic disease that occurs between 45 and 75 years of age, typically after the age of 40. We herein report a presentation of PSP in a 35-year-old male patient.
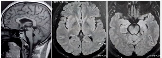
Observation: A 35-year-old man progressively presented gait disturbances with postural instability leading to falls. On examination: Akineto-rigid parkinsonian syndrome (PS), primarily axial, associated with vertical gaze palsy, head backwards tilt and postural instability without tremor. There was a slight frontal syndrome, irritability and dysphagia. The biological assessment (autoimmunity, copper and CSF testing) was correct. Brain MRI of the onset [figure1] did not show mesencephalic atrophy, nor signal abnormalities of overload disorders (Wilson's disease (WD), neuroferritinopathy). The patient underwent a therapeutic test (L-dopa 300 mg/d) over three months, without significant improvement. We then added ropinirole, rivastigmine and paroxetine. Despite the given therapeutics, no remarkable changes were noticed.
Discussion: PSP is the most common phenotype of parkinsonism after Parkinson’s disease (PD). Its prevalence estimated to be 5–7 cases /100 000 with peak occurrence at age 63 and no cases recorded before the age of 40. Although neuropathology is the gold standard for diagnosing definite PSP, certain clinical features, such as vertical supranuclear palsy evident in our patient are highly sensitive and specific. It is frequently seen in PSP and has strong relevance. A combination of clinical characteristics with high specificity is used to diagnose probable PSP. Vertical gaze palsy, pseudobulbar palsy, axial rigidity, falls and cognitive dysfunction are PSP’s clinical hallmarks. Our patient clinical presentation strongly suggested probable PSP with Richardson’s syndrome (PSP-RS), which is the commonest PSP presentations. In front of this atypical and sporadic PS, WD was ruled out as well as other differential diagnoses (anti-DPPX encephalitis). A control brain MRI is planned to look for possible midbrain atrophy that may not be found at the disease’s start. The patient clinical features are evocative arguments of the diagnosis, although the onset at the age of 35 is atypical and original.
Conclusion: The onset of PSP after the age of 40 is one of the diagnostic requirements so far, however, early presentation should be considered.
Progressive supranuclear palsy (PSP), also called Steele-Richardson-Olszewski disease, is one of the most common presentations of parkinsonism after Parkinson’s disease. It is a rare neurodegenerative disorder related to aberrant protein tau accumulation in the CNS, occurring between the ages of 45 and 75, with a peak age of 63. There have been no cases reported in the literature before the age of 40. We herein report an exceptional presentation of early-onset PSP in a 35-year-old male patient.
A 38-year-old man progressively presented disturbances of balance and walking with postural instability leading to early falls. He was born from a non-consanguineous marriage and had no past medical or surgical history.
On examination: Akineto-rigid parkinsonian syndrome, primarily axial and to a lesser extent segmental, associated with a backward tilt of the head with the stiffness of the neck muscles (retrocollis) and postural instability. The patient had no tremor. The parkinsonian syndrome was associated with vertical supranuclear gaze palsy with a wide-eyed staring facial expression.
There has been a slight frontal syndrome (Palmomental and Snout reflex were present) and bulbar syndrome (dysphagia), without major cognitive disorders apart from irritability. The biological assessment, including autoimmunity, copper testing and CSF analysis with iso-electro-focalisation, was correct. Video-oculography has not been performed. Brain MRI, at the onset, did not show mesencephalic atrophy, nor parenchymal signal abnormalities in favour of overload disorders (Wilson's disease or neuroferritinopathy). The patient underwent a therapeutic test with L-dopa (300mg/d) over three months, however, there was no significant improvement. After that, we added ropinirole (4mg/day), rivastigmine solution (3mg/d) and paroxetine (20mg/d). Despite the given therapeutics, there were no remarkable changes in the patient's symptoms.
Progressive supranuclear palsy (PSP) is an uncommon neurodegenerative condition. PSP is the most common phenotype of parkinsonism after Parkinson’s disease (PD). Its prevalence varies with age and estimated to be 5–7 cases per 100 000.1,2 It is predominantly a sporadic condition with peak occurrence at age 63 and no cases were recorded before the age of 40.2 It was first described by Steele, Richardson, and Olszewski in 1964.2 Although neuropathology is the gold standard for diagnosing definite PSP,3 certain clinical features may be highly sensitive and specific, such as vertical supranuclear palsy, which was evident in our patient. It is frequently seen in PSP and has strong diagnostic relevance.2
A combination of clinical features with high specificity is used to diagnose probable PSP.4 Vertical gaze palsy, pseudobulbar palsy, axial rigidity, and cognitive dysfunction are all hallmark symptoms of PSP. These clinical symptoms have been extended since 1964 to include falls during the first year of disease, as well as supranuclear gaze palsy.2
In our case, the atypical parkinsonian syndrome presentation was not suggestive of young-onset PD. Therefore, other aetiologies were carefully sought. Firstly, acquired aetiologies, such as drug-induced and toxin-induced parkinsonism, were eliminated, given the fact that no drug intake or toxin exposure was found in the patient's medical history. Anti-DPPX encephalitis was also rapidly ruled out, due to the absence of digestive manifestations, the progressive course of the disease, negative immunological and CSF assessment. Wilson's disease was also excluded due to the lack of additional neurological symptoms, such as cerebellar syndrome or dystonia, and extra-neurological signs, particularly hepatic and ocular, as well as the absence of suggestive MRI and CSF abnormalities. Furthermore, Gaucher disease was also ruled out by an enzymatic dosage which came out normal.
A regular brain MRI control was planned to look for possible atrophy of the midbrain that may not be found at the start of the disease.
Our patient’s clinical presentation strongly suggested PSP according to the NINDS-SPSP (1996) and the NNIPPS (2013) diagnostic criteria,3,5 typically probable PSP with Richardson’s syndrome (PSP-RS), which is the most common PSP presentation.6 PSP-RS is a growingly known akinetic-rigid syndrome with symptoms that at first seem to be similar to idiopathic Parkinson's disease.
Although the clinical features of parkinsonian syndrome allow us to evoke several degenerative diseases, such as PSP, diagnosis certainty remains difficult, especially in young adults. Therefore, further paraclinical studies, including morphological and functional cerebral imaging, and eventually biomarkers, are required.
None.
The authors declare no conflicts of interest.
©2022 Ahmed, et al. This is an open access article distributed under the terms of the, which permits unrestricted use, distribution, and build upon your work non-commercially.