Submit manuscript...
eISSN: 2377-4304

Obstetrics & Gynecology International Journal

Case Report Volume 15 Issue 3

Basic cell carcinoma of the vulva. Case report and literature review

Victor Manuel Vargas Aguilar,3,4 Max Abraham Castro Antonio,1 Paola Xochilt Gómez García,1 Gilda Morales Ferrer,2,3 Víctor Manuel Vargas Hernández4,5

1Ginecología y Obstetricia. Hospital Regional Poza Rica. PEMEX. Hospital Regional, Mexico
2Anatomia Patologica Poza Rica. PEMEX, Mexico
3Ginecología oncológica. Hospital regional de Poza Rica. IMSS Bienestar, Mexico
4Academia Mexicana de Cirugía, Mexico
5Academia Nacional de Medicina de México, Mexico

Correspondence: Víctor Manuel Vargas-Hernández, Women’s Health Clinic, Mexico, Tel (52) 5552 179782

Received: May 08, 2024 | Published: June 4, 2024

Citation: Antonio MAC, García PXG, Ferrer GM, et al. Basic cell carcinoma of the vulva. Case report and literature review. Obstet Gynecol Int J. 2024;15(3):132-135. DOI: 10.15406/ogij.2024.15.00748

Download PDF

Abstract

Background: Vulvar carcinoma is rare, 4% of gynecological cancer worldwide and basal cell carcinoma of these represents 2 to 3%; Its diagnosis is delayed due to carelessness of the patient and doctor.

Objective: To present a clinical case of basal cell carcinoma of the vulva and review of the literature.

Clinical case: A 58-year-old patient, without comorbidities or risk factors, who presented a nodule in the upper third of the right labia majora; Excisional biopsy was performed with margins free of macroscopic tumor, basal cell carcinoma was reported.

Methodology: A narrative review is carried out from 2014 to 2021 in PubMed, scholaris, SciELO Google scholar and books, finding 27 articles and only 20 were included for reliability, impact factor.

Results: Vulvar cancer represents 4% of gynecological cancer worldwide. 0.4% of all basal cell carcinomas occur in the genital region, and in the vulva it represents 2 to 4% of all vulvar cancers. Basal cell carcinoma of the vulva most commonly presents as a solitary pink or pigmented papule or plaque on the labia majora; bilateral and multifocal lesions may occur. Basal cell carcinoma of the vulva is an extremely rare tumor that rarely metastasizes or spreads. . Primary treatment should consist of wide local excision and continuous monitoring.

Conclusion: Any suspicious lesion of the vulva must be biopsied to reach a timely diagnosis and treatment, the rarity of these lesions and the lack of care on the part of the patient and the negligence of the doctor not to perform an examination of the vulva, the lesions progress until symptoms occur or are discovered during medical examination, vulvar cancer is suspected, radical excisional biopsy is the correct therapeutic approach.

Keywords: vulvar cancer, basal cell carcinoma

Introduction

Vulvar cancer represents 4% of gynecological cancer worldwide1,2 fourth place (Table 1); after uterine cancer, ovarian cancer and cervical cáncer;3,4 It occurs in Geripausic women (> 65 years old), the incidence in those under 50 years of age has been increasing since 2002.5–7 Since 2018, 27,000 cases are diagnosed annually.4,6,8 The highest incidence (5.5/100,000) is found in Europe, North and South America, and Oceania.3,4

Cancer percentage (%)

Cervix

57.8

Ovary

19.4

Uterine cáncer

17.9

Vulva

22

Vagina

16

Trophoblast neoplasia

15

Table 1 Gynecological cancer. Relative frequency

Squamous cell carcinoma (SCC) represents 90%2,3,5,9 followed by melanoma 5,6. 0.4% of all basal cell carcinomas (BCC) occur in the genital region, and the vulva represents 2 to 4% of all vulvar cancers.10,11 Affected women are usually white, average age 70 years.12–14

In Mexico, 162 cases of vulvar cancer were reported in 2006.15 In 2013, the National Cancer Institute reported 16 cases of vulvar cancer, ranking fourth among gynecological cancers. The most common histopathology is epidermoid or squamous (86.2%), melanoma (4.8%) and sarcoma (2.2%).16 Vulvar cancer is asymptomatic, or presents with pruritus, vulvar pain or ulcer; In case of any suspicious vulvar lesion, a biopsy is performed for histopathological study of cancer and invasión.3

Basal cell carcinoma is the most common type of skin cancer; It occurs especially in areas exposed to the sun, and is correlated with accumulated ultraviolet radiation.12,17 People with white skin and blue eyes who work outdoors have an increased incidence; Basal cell carcinomas develop in areas protected from sunlight, on arteriovenous malformations, after ingestion of arsenic, exposure to X-rays, skin lesions, chickenpox scars, tattoos, hair transplant scars and immunosuppression.17 The virus human papilloma (HPV), premalignant or malignant urogenital lesions, chronic vulvar dermatoses, mainly lichen sclerosus; are associated with vulvar cancer. The susceptibility of the cervical, vaginal and vulvar epithelium to smoking and in immunocompromised patients, such as infected by human immunodeficiency virus/human immunodeficiency syndrome (HIV/AIDS) or organ transplants.18 Clinically, vulvar melanomas are pigmented, raised and even ulcerated, they are found on the labia majora or clitoris. The origin of sarcoma develops from any mesenchymal support structure of the vulva; Its frequency is greater in the reproductive age (average age 38 years).18,19

Primary treatment consists of wide local excision and primary closure, obtaining margins greater than 1cm if possible. In the case of early stages (I and II), surgery is the definitive treatment.19,20 A directed question about chronic vulvar pruritus and examination of the vulva during any routine gynecological examination.2,3

Methodology

A narrative review from 2014-2024 was carried out in PubMed, Scholaris, SciELO and Google Scholar with keywords “vulvar cancer”, “basal cell carcinoma”, 27 articles were found and only 20 were included, due to their reliability, impact factor, Authorization was requested from the Hospital's Research Ethics Committee under the principles of the Declaration of Helsinki, to obtain information on the clinical case.

Results

The most common symptom of vulvar cancer is chronic itching,2,3 other nonspecific symptoms include irritation, discomfort, pain, ulceration and hemorrhage.2–4,7,12

BCC of the vulva most frequently presents as a solitary pink or pigmented papule or plaque on the labia majora; bilateral and multifocal lesions may occur.7,12 The presence of a vulvar lesion, especially if it is painful or hemorrhagic, has a high positive predictive value for vulvar cáncer.2

Dermatoscopy of vulvar BCC reveals structures characteristic of extragenital lesions, such as blue-gray ovoid globules and nests, arboriform telangiectasias, leaf-shaped structures, bright white areas, and ulceration.7,12

BCC is the most common skin cancer, and rare on the vulva.7,11 They are related to accumulated ultraviolet radiation; in protected areas such as the vulva other etiologies, such as immunosuppression, dermatoses, chronic irritation, chickenpox scars, pelvic radiotherapy, arsenic ingestion and trauma.12,17

Staging is surgical and pathological (Table 2), including lesion size and resected lymph nodes; Inguinal lymph node dissection is not recommended in clinical stages 1A, the risk of affected nodes is low.4,18 Clinical evaluation helps in defining the conduct, when the patient is not eligible for surgical treatment, location, advanced disease, they are treated with concomitant chemotherapy and radiotherapy.4,12

Stadium description

        I.            Tumor confined to the vulva

A.      Tumor size ≤2 cm and stromal invasion ≤1 mma

B.      Tumor size > 2 cm or stromal invasion > 1 mma

      II.            Tumor of any size with extension to the lower third of the urethra, lower third of the vagina, lower third of the anus with negative nodes

   III.            Tumor of any size with extension to the top of adjacent perineal structures, or with any number of non-ulcerated and non-fixed lymph nodes

A.      Tumor of any size with extension of disease to the upper two-thirds of the urethra, the upper two-thirds of the vagina, the bladder mucosa, the rectal mucosa, or metastasis to regional lymph nodes ≤5 mm

B.      Metastasis in regional lymph nodesb > 5 mm

C.      Metastasis in regional lymph nodesb with extracapsular spread

    IV.            Tumor of any size attached to bone, or fixed, metastasis to ulcerated lymph nodes, or distant metastasis

A.      Disease fixed to the pelvic bone, or regional lymph node metastasesb fixed or ulcerated

B.      Distant metastasis

a.       The depth of invasion is measured from the basement membrane of the crest of the deepest adjacent tumor-free dysplastic network (or the peg of the nearest d ysplastic network) to the deepest point of invasion.

b.       Regional refers to the inguinal and femoral lymph nodes.

Table 2 New (2021) FIGO staging for vulvar carcinoma

The choice of treatment is considered the age of the patient, conditions of the vulvar tissue, size, location and depth.15 The depth of tumor invasion is related to the risk of lymph node involvement; as the lesion deepens, the risk of involvement increases. Nodal;18 The lymph node status is the most important prognostic factor with an impact on both local and distant Recurrence.15 With negative lymph nodes, overall survival over 5 years is 90%, with affected nodes decreasing, survival drops to 40-50%.18

In lesions measuring 2cm with a stromal depth of 1mm, wide local excision is definitive treatment.3 If the disease is locally advanced and the lesion is ≥ 1cm from the midline, radical excision or radical vulvectomy with sentinel lymph node biopsy is performed. If it is positive, ipsilateral inguinal lymphadenectomy is performed along with adjuvant radiotherapy.

The alternative with concomitant chemotherapy or radiotherapy for advanced tumors with the impossibility of achieving negative surgical margins. Other therapies, such as chemotherapy and immunotherapies, are reserved for metastatic disease or adjuvant melanoma.3

Comorbidities and functional status,3 chronic non-communicable diseases such as type 2 diabetes mellitus, nephropathy, liver disease, HIV, hemiplegia or paraplegia; Surgical treatment causes postoperative complications, short- and long-term morbidity, and affects quality of life.19

Adjuvant radiotherapy increases the disease-free period and overall survival 5, indicated in patients with 1 affected lymph node and/or extracapsular dissemination.20 It is started within 6 weeks. The radiation dose is determined by the initial extent of the disease, 50Gy in fractions of 1.8 to 2.0Gy is sufficient. In case of extracapsular spread, it is increased to 60Gy.

Chemotherapy is considered palliative for metastatic disease; using cisplatin, paclitaxel, bleomycin, navelbin or 5-fluorouracil. The response has been 0 to 40%, progression-free survival 1 to 10 months and overall survival 19 months.5,19

There is no evidence for the specific detection of vulvar cancer, so self-examination should be encouraged in all women, especially those with risk factors (history of HPV infection, smoking, white skin, scars or skin lesions on the vulva, carriers of chronic non-communicable diseases such as lichen sclerosus),2,3,18 early evaluation should be performed for any patient with symptoms (e.g., chronic vulvar pruritus) or signs (e.g., pigmented lesions, irregular ulcers ) With biopsy taking, women known to have a squamous intraepithelial lesion of the cervix, vagina, or anus have their vulva inspected as part of their follow-up visits.2,3

Survival in vulvar cancer is directly related to the extent of the disease; in early stages such as I and II, the overall 5-year survival rate is 90%. Patient surveillance requires close initial follow-up in the first two years after treatment; nearly 80% of patients recur during that time. 65% of recurrences were found during follow-up visits and half of those patients were asymptomatic 18. Patients should be reviewed every 3 to 6 months for the first 2 years, and then every 6 to 12 months until they turn 5 years after treatment.3,5,14

Clinical case

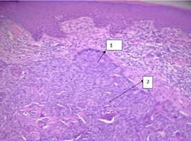
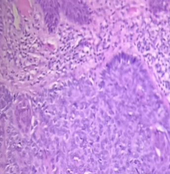
A 58-year-old patient without comorbidities began suffering due to self-detection of a vulvar nodule with pain and bleeding, with menarche at 12 years of age, menopause at 48 years of age, without hormone replacement, and negative cervical screening. Exploration showed a 1cm nodular lesion in the upper third of the right labia majora, rough, regular edges, erythematous, without color changes on acupressure, non-painful, fixed to superficial planes, without adjacent lesions. Radical local excision was performed and the histopathological study reported basal cell carcinoma (Figure 1) (Figure 2). Extension studies without evidence of pelvic or inguinal lymph node activity by tomography. During the 2-year follow-up, she has not presented recurrence.

Figure 1 Basel cell carcinoma of the vulva. (1) cells with a basaloid appearance, are characterized by a basophil nucleus, little cytoplasm, little and isolated mitoses, the cellular nests are arrangeed in a palized. (2). Little stroma retracts forming spaces (claves).

Figure 2 Microscopic view of the tumor at highest magnification 40x.

The diagnostic-therapeutic approach implies a challenge for the doctor due to the delay in diagnosis that affects the treatment, no risk factors were identified, nor chronic irritation that contributes to the development of basal cell carcinoma of the vulva. Timely diagnosis is difficult in the face of an uncharacteristic lesion and a rare vulvar cancer.

Discussion

The most common vulvar pathology in Geripauses is lichen sclerosus dermatosis, contact dermatitis (67 to 98%) or genitourinary syndrome of menopause. Although the histopathological diagnosis of vulvar BCC is simple in some cases, others presented difficulties due to non-representative initial biopsies, insufficient clinical information or contiguity with lesions of greater clinical importance such as Paget's disease or squamous cell carcinoma. The patient with vulvar symptoms warrants investigating a history of autoimmune diseases and risk factors. The appearance of an unexplained vulvar nodule or protuberance requires gynecological oncology evaluation.

This case did not present risk factors, only the beginning of a suspicious nodular lesion, wide local excision of the nodule as definitive treatment. The report of basal cell carcinoma clinical stage IA, chronic irritation was associated with the possible etiopathogenesis, a two-year follow-up without local or metastatic recurrence. The interrogation aimed at searching for vulvar symptoms increases the timely detection of lesions that warrant diagnosis and individualized treatment is carried out. One of the limitations for this approach is the lack of knowledge on the part of patients and doctors about vulvar pathology, which influences the delay in diagnosis and treatment.

Conclusion

All symptomatic vulvar lesions, mainly pruritic and bleeding, should be evaluated with biopsy to establish a definitive diagnosis for a better therapeutic approach. Medical guidance towards self-examination is the best form of prevention.

Acknowledgments

None.

Funding

None.

Conflicts of interest

Authors declare that they have no conflicts of interest.

References

  1. Hedrick L, Pirog EC. Aparato genital femenino. In: Kummar V, Abbas A, Aster J, editors. Robbins y Cotran. Patologìa Estructural y Funcional. 9th edn. España: Elsevier; 2021:997–1014.
  2. Wiggans A, Coleridge S, Bryant A, et al. Relationship between vulvar symptoms and incidence of vulvar cancer in women referred to a rapid access clinic. Int J Gynecol Obstet. 2019; 145: 283–286.
  3. Olawaiye AB, Cuello MA, Rogers LJ. Cancer of the vulva: 2021 update. Int J Gynecol Obstet. 2021;155(Suppl.  1):7– 18.
  4. Olawaiye AB, Cotler J, Cuello MA, et al. FIGO staging for carcinoma of the vulva: 2021 revision. Int J Gynecol Obstet. 2021;155:43–47.
  5. Merlo S. Modern treatment of vulvar cancer. Radiol Oncol. 2020;54(4):371–376.
  6. Zapardiel I, Iacoponi S, Coronado PJ, et al. Prognostic factors in patients with vulvar cancer: the VULCAN study. Int J Gynecol Cancer. 2020;30(9), 1285–1291.
  7. Tan A, Bieber AK, Stein JA, et al. Diagnosis and management of vulvar cancer: A review. J Am Acad Dermatol. 2019;81(6):1387–1396.
  8. Woelber L, Jaeger A, Prieske K. New treatment standards for vulvar cancer 2020. Curr Opin Obstet Gynecol. 2020;32(1):9–14.
  9. Weinberg D, Gomez-Martinez RA. Vulvar Cancer. Obstet Gynecol North Am. 2019;46(1):125–135.
  10. Reyes C, Daryl C. Comportamiento clinicopatológico del cáncer de vulva en el hospital universitario Dr."José Eleuterio González". Especialidad thesis, Universidad Autónoma de Nuevo León. 2016.
  11. Dumont Vieira GSO, Rebelo AMG, Correia GM, et al. Carcinoma de células basales de la vulva: una presentación rara de una enfermedad común. Ginecol Obstet Mex. 2018;86(4):267–271.
  12. Francisco C, Almeida HB. Enfermedades precursoras del Cáncer de Vulva y Vagina. In: Solange M Diniz, Euridice M Almeida, editors. Ginecología Oncológica. Asociación de Médicos Instituto Nacional de Cáncer. 1th edn. España: Amolca; 2017:121–122. 
  13. Vulva. Carcinoma de células basales. En Nucci - Oliva. Diagnóstico Patológico: Ginecología. 2th edn. España: Amolca; 2021:86–88.
  14. Maaike HM Oonk, Planchamp F, Baldwin P, et al. European society of gynaecological oncology guidelines for the management of patients with vulvar cancer. Int J Gynecol Cancer. 2023;27(4):832–837.
  15. Torres-Lobatón A, Amoretti C, Morgan-Ortiz F.  Cáncer ginecológico: evolución de su frecuencia relativa en una institución de alta especialidad. Gac Mex Oncol. 2014;13(4):222–228.
  16. Salazar-Báez I, Salazar-Campos JE, López-Arias A, et al. Manejo quirúrgico inicial del carcinoma epidermoide vulvar. Gac Med Mex. 2016;152:297–303.
  17. Carcinoma de células escamosas. In: Goldblum J, Lamps L, McKenney J, editors. Rosai y Ackerman. Patología quirúrgica. 11th edn. E.U.A.: Almoca; 2018:51–52.
  18. Thomas J Herzog, Caroline C Billingsley. Invasive cancer of the vulva. In: William T Creasman, David G Mutch, Robert S Mannel, editors. DiSaia and Creasman Clinical Gynecologic Oncology. 10th edn. EUA: Elsevier; 2023:175–203.
  19. Rao YJ, Chin RI, Hui C, et al. Improved survival with definitive chemoradiation compared to definitive radiation alone in squamous cell carcinoma of the vulva: A review of the National Cancer Database. Gynecol Oncol. 2017;146(3):572–579.
  20. Oonk MHM, Slomovitz B, Baldwin PJW, et al. Radiotherapy versus inguinofemoral lymphadenectomy as treatment for vulvar cancer patients with micrometastases in the sentinel node: results of GROINSS-V II. J Clin Oncol. 2021;39(32):3623–3632.
Creative Commons Attribution License

©2024 Antonio, et al. This is an open access article distributed under the terms of the, which permits unrestricted use, distribution, and build upon your work non-commercially.