Submit manuscript...
eISSN: 2377-4304

Obstetrics & Gynecology International Journal

Case Report Volume 12 Issue 6

Cerebral venous thrombosis in pregnancy: a case report

Małgorzata Wiszniewska,1,2 Urszula Włodarczyk2

1Department of Medical Rescue, Stanisław Staszic State University of Applied Sciences in Piła, Poland
2Neurological Department with Stroke Unit, Specialist Hospital in Piła, Poland

Correspondence: Małgorzata Wiszniewska, MD, PhD, Neurological Department with Stroke Unit, Specialist Hospital 64-920 PILA, Rydygiera 1 str., Poland, Tel +48 605564391

Received: October 16, 2021 | Published: November 8, 2021

Citation: Wiszniewska M, Włodarczyk U. Cerebral venous thrombosis in pregnancy: a case report. Obstet Gynecol Int J. 2021;12(6):360-362. DOI: 10.15406/ogij.2021.12.00606

Download PDF

Abstract

Cerebral venous thrombosis (CVT) is a rare, multi-symptomatic, and serious complication in pregnancy. CVS constitutes 2% of the causes of strokes in pregnancy. The most common symptoms of cerebral venous thrombosis are: headaches (74%), seizures (50%), limb paresis (38%), disturbed consciousness (45%), visual disturbances (24%). We present our 28-year-old pregnant patient because the dominant symptom was hemi -choreoathetotic movement, which made the daily life very difficult. After the differential diagnostic examinations we recognized cerebral venous thrombosis. After anti-clotting treatment, the symptoms resolved. We would like to point out that such a disorder in pregnant women may also be a symptom of cerebral venous thrombosis.

Keywords: Cerebral venous thrombosis, pregnancy, headache, seizure

Introduction

Cerebral venous thrombosis (CVT) is a rare, multi-symptomatic, and serious complication in pregnancy. 5-20% of all brain clots in women in developed countries are due to venous thrombosis, and pregnancy is recognized as an important risk factor for cerebral venous thrombosis.1–8 Thromboembolic events in pregnant women are 5.5-6 times more frequent than in the general female population, and approximately 0.004% -0.01% of pregnancies are complicated by venous thrombosis. CVS constitutes 2% of the causes of strokes in pregnancy.1,2

During pregnancy, the woman's body undergoes pathophysiological changes that promote increased blood clotting: an increase in the level of coagulation factors (factor VIII and fibrinogen), decrease in the level of S protein, decrease in the intensity of fibrinolysis processes, blood stagnation in the venous bed, especially in the lower extremities, infections, anemia, hyperhomocysteinemia, intense vomiting during pregnancy, obesity, lack of exercise, cesarean section.1,2 The most significant risk of cerebral venous thrombosis is found in the third trimester and the puerperium period.3,4

The most common symptoms of cerebral venous thrombosis are headaches (74%), seizures (50%), limb paresis (38%), disturbed consciousness (45%), visual disturbances (24%).2

Case report

A 28-year-old patient, in the 31st week of her 2nd pregnancy, was admitted to Neurological Ward due to headaches, the first generalized seizure in her life, involuntary choreoathetic movements of the upper limbs, involuntary dystonic movements of the mouth, which appeared a week before the patient's admission to the hospital. Clean medical history, previous pregnancy (2years earlier)-no complications. She did not take any medications permanently—no significant family history.

On admission, the patient presented a mild left hemiparesis: Barré Test showed left upper limb pronation, reduced superficial sensation in the left limbs. Periodic dystonic movements of the fingers and mouth.

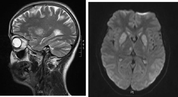
During the stay at the ward, extensive diagnostics were performed. The calcium-phosphate balance was assessed - the results were normal. Lyme disease test was performed–positive result in IgM class (47.8RU/ml with the norm up to 16RU/ml) confirmed by Western Blot, without intertecalar synthesis. Antibiotic therapy (cefuroxime) was introduced. Normal cerebrospinal fluid, negative oligoclonal bands. An EEG - normal. MRI of the head in the T2-weighted sequence and FLAIR revealed bilateral hyperintense lenticular nuclei and the heads of the caudate nuclei and bilateral hyperintense zones within the cortical layer of the frontal lobes and frontoparietal border (Figure 1).

Figure 1 MRI of the head in the T2-weighted sequence and FLAIR. Bilateral hyperintense lenticular nuclei and the heads of the caudate nuclei and bilateral hyperintense zones within the cortical layer of the frontal lobes and frontoparietal border.

During the stay, the patient received diazepam and dexamethason for three days. The epileptic seizure did not recur; the involuntary movements decreased significantly. After six days, the patient was transferred to the Pathology of Pregnancy Ward, where she stayed for seven days and was discharged home. After a week, more generalized seizures took place, and speech disorders of dysarthria appeared. Laboratory tests revealed a reduced level of ionized calcium and an increased value of D-Dimers. Tetany test-positive. Another MRI scan of the head with angiography showed: hyperintense signals within the deep nuclei and significant impairment of blood flow in the internal veins of the brain. The image suggested cerebral vein thrombosis (Figure 2). Anticoagulant therapy (enoxaparin) and antiepileptic therapy (levetiracetam) were started. No clotting disorders were found. The pregnancy was terminated by cesarean section at 37 weeks. After delivery, anticoagulant therapy (enoxaparin) was continued at a therapeutic dose for another three months, after which the drug was discontinued. Antiepileptic treatment was also discontinued. In the follow-up MR examination after three months, further regression of changes was observed. Six months after delivery, the patient was in good condition without any complaints and any neurological symptoms. She is cared for under constant neurological supervision.

Figure 2 Angio - MRI scan of the head. Hyperintense signals within the deep nuclei and significant impairment of blood flow in the internal veins of the brain.

Discussion

Cerebral venous thrombosis is most often manifested by headaches (97%), epileptic seizures (47%), and paresis (43%).9 It can also cause symptoms such as dizziness, nausea, vomiting, blurred vision, edema of the optic nerve disc, diplopia, somnolence, coma.10 Usually, symptoms build up over a few days, but the disease can also start very rapidly. The symptoms depend mainly on the location of the thrombosis, the presence of collateral circulation, and the cortical areas involved. Symptoms may be fluctuating as a result of simultaneous thrombotic and fibrinolytic processes.10 The differential diagnosis includes diseases such as ischemic stroke, eclampsia, preeclampsia, encephalitis, trauma, brain tumors, subarachnoid hemorrhage, metabolic disorders (hypoglycemia, hyponatremia, hypokalemia, plasma hypoosmolarity), drug overdose, antiphospholipid syndrome or other thrombophilia, autoimmune diseases (systemic lupus erythematosus, essential thrombocytopenia).11 The test for the diagnosis of venous thrombosis in pregnant women is magnetic resonance venography, the so-called TOF MRV (Time-of-flight magnetic resonance venography). Venous thrombosis is often located within the transverse sinus, superior sagittal sinus, and straight sinus. Less often, it includes cortical veins, jugular vein, Galen's vein. Often, thrombosis develops in several venous vessels/sinuses.12 Low molecular weight heparin is the treatment of choice for cerebral venous thrombosis during pregnancy. Unfractionated heparin is an alternative treatment when LMWH is unavailable or contraindicated. None of the above heparins cross the placenta.

Vitamin K antagonists, e.g., warfarin, cross the placenta and are therefore contraindicated during pregnancy. Also, new oral anticoagulants such as direct thrombin inhibitors (dabigatran) or factor X inhibitors (rivaroxaban, apixaban) are not recommended in pregnancy because there is insufficient research.13 The dose of low molecular weight heparins depends on the body weight (Table 1).13

Enoxaparin [mg]

Dalteparin [IU]

Nadroparin [IU]

1mg/kg BW twice daily

100IU/kg twice daily

86IU/kg twice daily

1.5mg/kg BW once daily

200IU/kg once daily

 

Table 1 Dosage of therapeutic low molecular weight heparins

Anticoagulation treatment may be stopped at delivery or, if delivery is planned, the last dose should be given the day before the scheduled delivery date. Low molecular weight heparin can be applied again 4-6 hours after delivery or 6-12 hours after cesarean delivery. Anticoagulant treatment of cerebrovascular thrombosis during pregnancy should be carried out throughout pregnancy (from diagnosis) and at least six weeks after delivery. Preventive treatment would last for three months if the pregnancy was the sole cause of thrombosis. After delivery, both low molecular weight heparins and vitamin K antagonists (Warfarin) can be used because the medications mentioned above are safe in nursing women.13 The prognosis of cerebral venous thrombosis in pregnant women is quite good. Based on the analysis of 77 patients who during pregnancy developed CVT after six months, 87.4% of patients were fully functional (on the mRS scale 0-1 points), a further 10.4% achieved mild or moderate disability (in mRS 2- 3 points), and only in 2.2% of patients remained in the severe condition (4-5 points)2). In the course of 20 years, Martinelli et al. examined 283 patients with the first episode of thrombosis of the cerebral veins during pregnancy, who were treated with low-molecular-weight heparin in a prophylactic dose in subsequent pregnancies. None of the women in subsequent pregnancies experienced a recurrence of thrombosis or bleeding during pregnancy. The risk of late obstetric complications in subsequent pregnancies after the first CVT episode was 24% and was associated with the diagnosed thrombophilia or coexisting diseases.14 Also, Poli et al. confirm a good prognosis in 99 women with cerebral venous thrombosis during pregnancy and the absence of thrombosis in the subsequent pregnancy using low-molecular-weight heparin prophylaxis from the beginning of pregnancy.15 These studies have shown that a history of cerebral venous thrombosis is not a contraindication to further pregnancies, provided that low-molecular-weight heparin anticoagulant prophylaxis is implemented from the beginning of pregnancy and used up to 6-8 weeks after delivery.15–17

Summary

Symptoms of cerebral venous thrombosis vary widely in pregnant women. In pregnant women with headaches, seizures, or other non-specific neurological symptoms, the possibility of cerebral venous thrombosis should always be considered as a cause of the symptoms. The imaging test of choice is venographic MRI. The treatment of choice is the use of low molecular weight heparins. The prognosis is good. In all cases, tests for thrombophilia should be performed. A history of cerebral venous thrombosis is not a contraindication to subsequent pregnancies, but anticoagulant prophylaxis is recommended during pregnancy. The patient should remain under gynecological care and neurological control.

Acknowledgments

None.

Funding

None.

Conflicts of interest

The authors did not report any potential conflicts of interest.

References

  1. Rajat Gupta, Meenal Aggarwal, Surekha Patil, et al. Cerebral venous thrombosis associated with pregnancy: a case report. Journal of Dental and Medical Sciences. 2015;5:43–45.
  2. Ahmed J Kashkoush, Henry Ma, Nitin Agarwal, et al. Cerebral venous sinus thrombosis in pregnancy and puerperium: A pooled, systematic review. Journal of Clinical Neuroscience. 2017.
  3. Abhilasha Singh, Smiti Nanda. A case report:venous sinus thrombosis in pregnancy. International Journal of Reproduction Contraception, Obstetrics and Gynecology. 2017:4721–4722.
  4. Jaigobin Cheryl, Silver Frank L. Stroke and pregnancy. Stroke. 2000;31:2948–2951.
  5. Steven K Feske, Aneesh B Singhal. Cerebrovascular disorders complicating pregnancy. Continuum. 2014;20:80– 97.
  6. Mary Angela O'Neal, Steven K Feske. Stroke in pregnancy: a case – oriented revew. Pract Neurol. 2016;16:23–34.
  7. Chang BP, Wira C, Miller J, et al. Neurology concepts: young women and ischemic stroke–evaluation and management in the emergency department. Academic Emergency Medicine. 2017.
  8. De Sousa DA, Canhao P, Crassard I, et al. Safety of pregnancy after cerebral venous thrombosis: results of the ISCVT (International study on cerebral vein and dural sinus thrombosis)–2 pregnancy Study. Stroke. 2017.
  9. Roeder HJ, Lopez JR, Miller E. Ischemic stroke and cerebral venous sinus thrombosis in pregnancy. Handb Clin Neurol. 2020; 172:3–31.
  10. Sheeba Marwah, Gaikwad Harsha Shailesh, Sumedha Gupta, et al. Cerebral venous thrombosis in pregnancy–a poignant allegory of an unusual case. Jurnal of Clinical and Diganostic Resaerch. 2016;10(12):QD08–QD09.
  11. Farnoush Farzi, Mehrsima Abdollahzadeh, Roya Faraji, et al. Seizure in pregnancy following cerebral venous sinus thrombosis. Anesthesiology and Pain Medicine. 2015;5(3):e26866.
  12. Yesoff Munira, Zakariah Sakinah, Embong Zunarina. Cerebral venous thrombosis in pregancy: a case report. Journal of Medical Case Reports. 2012;6:336.
  13. Ann Kinga Malinowski, Dorota Bomba–Opoń, Jacqueline Parrish, et al. Venous thromboembolism in obese pregnant women:approach to diagnosis andmanagement. Ginekologia Polska. 2017;88(8):453–459.
  14. Ida Martinelli, Serena M Passamonti, Alberto Maino, et al. Pregnancy outcome after a first episode of cerebral vein thrombosis. Thromb Haemost. 2017;15(7):1526.
  15. Daniela Poli, Caterina Cenci, Sophie Testa, et al. Obstetrical history of women with cerebral vein thrombosis:outcome of the pregnancies before and after the thrombotic event. Intern Emerg Med. 2017;12:941–945.
  16. Saposnik G, Barinagarrementeria F, Brown RD, et al. Diagnosis and management of cerebral venous thrombosis. Stroke. 2011;42:1158–1192.
  17. Abbattista M, Capecchi M, Martinelli I. Pregnancy after cerebral venous thrombosis. Thromb Res. 2019;181(suppl 1):1:S15–S18.
Creative Commons Attribution License

©2021 Wiszniewska, et al. This is an open access article distributed under the terms of the, which permits unrestricted use, distribution, and build upon your work non-commercially.