Submit manuscript...
eISSN: 2377-4304

Obstetrics & Gynecology International Journal

Case Report Volume 13 Issue 6

Cutaneous endometriosis presented in a 43-year-old woman’s caesarian scar

Pegah Kafi,1 Carl Swartling2

1Kungsholmens Skin Clinic, Sweden
2Hyperhidros Clinic, Sweden

Correspondence: Pegah Kafi, Kungsholmens Skin Clinic, Warfvinges Väg 35, 112 51 Stockholm, Sweden, Tel 1146763062516

Received: November 05, 2022 | Published: November 18, 2022

Citation: DOI: 10.15406/ogij.2022.13.00675

Download PDF

Abstract

Cutaneous endometriosis is a rare skin condition with the presence of endometrial tissue in the skin. The condition most often affect fertile women and symptoms typically include cyclical tenderness, pain or itch of the tissue during ovulation and menstruation.

We report a 43-year-old woman who presented with a red papule in a caesarian scar, with recurring tenderness and pain following ovulation and menstruation. Histopathological findings from a punch biopsy showed the presence of dermal endometrial glands surrounded by cytogenic stroma and blood. An immunohistochemical analysis further supported the diagnosis with ER-positive glands and CD-10+ stroma. The patient was referred to a gynecological ward where a hormonal spiral was inserted. This hormonal therapy reduced the patient’s clinical symptoms and improved her quality of life.

Significance: Cutaneous endometriosis is an uncommon skin condition with the presence of ovarian tissue on the skin. It most often affects fertile women and cause skin tissue to becomes tender and painful during ovulation and menstruation. This can have a great impact on the patient’s quality of life. Treatment options include hormonal therapy and surgery.

Keywords: cutaneous endometriosis, endometriosis, primary cutaneous endometriosis, secondary cutaneous endometriosis, hormone therapy

Introduction

Endometriosis is the presence of functional endometrial tissue with endometrial glands and stroma found outside the uterine cavity. The disorder is quite common with an estimated prevalence of 10-15% of all fertile women. Typical symptoms include pelvic pain and impaired fertility.1 Most common sites involve the ovaries, uterosacral ligaments, ovarian fossa, pouch of Douglas and the bladder.2 Cutaneous endometriosis is the presence of endometrial tissue in the skin and can be divided into primary and secondary cutaneous endometriosis.

Primary cutaneous endometriosis refers to endometriosis developed spontaneously without any prior surgery. Its pathogenesis remains unclear. Theories include hematogenic or lymphatic spreading, seeding through anatomical and physiological structures such as the umbilicus and the differentiating of primitive pluripotent mesenchymal stem cells to endometrial tissue. Secondary cutaneous endometriosis is located in postoperative scars such as cesarean sections, hysterectomy or laparoscopy. The prevailing hypothesis stands that endometrial cells dislocate during surgery through the process of seeding.3

Cutaneous endometriosis is rare and comprise less than 1% of all reported cases of extra-uterine endometriosis.4 The presentation is unspecific, a discolored nodular mass which can mimic hypertrophic or keloid scarring, dermatofibroma, dermatofibrosarcoma protuberans or malignant metastatic cancer from the umbilicus, a so-called Sister Mary Joseph’s nodule.

The disorders rarity and ability to mimic other conditions presents diagnostic difficulties. The diagnosis is confirmed histopathologically. Treatment options include hormonal therapy and surgical excision with wide marginal.3

A few case studies report of malignant transformation into endometrial carcinoma. The prevalence as well as the pathophysiology of this is unknown. Genetic, immunological and hormonal factors have been implicated.5,6

Case report

We present a 43-year-old woman with menarche at the age of nine. Since her menstrual debut she has suffered from menorrhagia, metrorrhagia and dysmenorrhea causing hospitalization on multiple occasions. A previous history of multiple ruptured ovarian cysts was recorded throughout her teenage years. Hormonal treatment with birth control pills was initiated but discontinued due to adverse side effects. She had difficulties becoming pregnant, and had two spontaneous abortions. With the help of IVF treatment, she became pregnant at the age of 29. She underwent an elective caesarian and delivered a healthy female offspring. A few days after surgery a red papule appeared on the right side of her abdominal scar. In the following years the papule and surrounding caesarian scar became noticeable tender during ovulation and menstruation. The tenderness and pain were reduced during the period she was breastfeeding and the symptoms reappeared when she stopped.

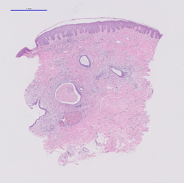
She was referred to a dermatologist four years after her caesarian. At the first visit a red nodule, measuring 5x5mm, was noticed (Figure 1) (Figure 2). A 3mm punch biopsy (Figure 3) showed histopathological findings including dermal endometrial glands surrounding by cytogenic stroma and blood. An immunohistochemical analysis concluded that the glands were positive for ER, and the stroma CD-10 positive.

Figure 1 A red papule on an abdominal scar after elective caesarean.

Figure 2 Dermatoscopic image of the red abdominal papule.

Figure 3 Histopathological image of the 3mm punch biopsy.

These histopathological findings are congruent with the diagnosis of cutaneous endometriosis. A noticeable pain relief was noticed after the punch biopsy was taken. At the first visit the patient scored DLQI of 5 and endometriosis assessment scale of EHP-30 of 97 out of 150. She was referred to a gynecological ward where ultrasound excluded deep endometriosis. A hormonal spiral was inserted. The hormonal therapy greatly reduced the patients’ clinical symptoms of dysmenorrhea and improved her quality of life with a reduction in DLQI to 0.

Discussion

Our case represents a fertile woman with a classical secondary cutaneous endometriosis in a cesarian scar. The symptoms of monthly pain and swelling became less noticeable after punch biopsy as well as hormonal therapy was initiated. Total surgical removal of the remaining tissue was not considered necessary. Further gynecological investigation with ultrasound excluded pelvic involvement. After initiating hormonal treatment, the patients’ symptoms were reduced and she had an improvement in quality of life, reflected by a decrease in DLQI.

Referral to a gynecologist is highly recommended in order to evaluate the extend of endometriosis in the pelvic region, uterocutaneous fistulas and to assess treatment options such as surgical removal and hormonal therapy with gonadotropin-releasing hormone agonists or danazol. In some cases where surgery is needed preoperative hormonal treatment can be considered in order to minimize the lesion. The overall prognosis is considered favorable. There is a risk of recurrence once non-surgical treatment is discontinued.

Conclusion

Cutaneous endometriosis should be kept in mind as a differential diagnosis when a patient presents with cyclical painful papules, nodules and tumors.

Acknowledgments

None.

Funding

None.

Conflicts of interest

There are no conflicts of interest.

References

Creative Commons Attribution License

©2022 , et al. This is an open access article distributed under the terms of the, which permits unrestricted use, distribution, and build upon your work non-commercially.