Case Report Volume 13 Issue 5
1Department of Obstetrics and Gynecology, The Brooklyn Hospital Center, 121 Dekalb Ave. Bk, NY, 11201, USA
2St. George’s University- School of Medicine, True Blue, Grenada West Indies
Correspondence: Neil Patel, MD, Department of Obstetrics and Gynecology, The Brooklyn Hospital Center, 121 Dekalb Ave. Bk, NY, 11201, USA, Tel 303-919-7668
Received: August 24, 2022 | Published: September 14, 2022
Citation: DOI: 10.15406/ogij.2022.13.00662
Petersen’s Hernia, a type of internal hernia that occurs posterior to a gastrojejunostomy, is a known late complication of gastric bypass surgery, particularly prevalent in laparoscopic Roux-en-Y procedures (LRYGB). The rise in laparoscopic gastric bypass procedures has coincided with a resurgence of Petersen’s Hernia cases.1 LRYGB surgeries performed on women of reproductive age improve fertility and pregnancy outcomes.2 However, pregnancy predisposes these patients to Petersen’s hernia due to the increased intraabdominal pressure and anatomical distortion.3 We present a case of Petersen’s hernia that occurred in a 29-year-old at 30 weeks gestation who had previously undergone LRYGB, notable for a delay in diagnosis. Pregnant patients with a history of bariatric surgery should be considered at high-risk for internal hernias. Abdominal or back pain associated with nausea and vomiting should prompt consideration of internal hernia and the need for imaging and surgical evaluation.
Keywords: roux-en-Y bypass, hernia, intestinal obstruction, hernia in pregnancy, petersens hernia
RYGB, roux-en-Y bypass; LRYGB, laparoscopic roux-en-Y bypass; CT, computed tomography; MRI, magnetic resonance imaging
Petersen’s hernia, a type of internal hernia, is defined as herniation of small bowel into the mesenteric defect between the alimentary limb and the inferior aspect of the transverse mesocolon; a complication of gastrojejunostomy. The German surgeon, Dr. Walther Petersen was the first to describe Petersen’s Hernia in 1900. Until the 1970’s, Petersen’s hernia was rarely documented in medical literature. Its prevalence increased initially with the advent of antrectomy for peptic ulcer disease in the 1970’s4 and has now become more common with the development of contemporary bariatric procedures, such as Laparoscopic Roux-en-Y bypass (LRYGB).5 Laparoscopic surgery generally results in fewer postoperative adhesions, leaving the bowel mobile and prone to herniation.6 Reported rates of internal hernia as a complication of LRYGB range from 0%-14%; the large disparity in documented statistics due to a lack of continuity in care.7,8
Reports note that eight out of ten patients undergoing LRYGB surgeries are performed on women of child-bearing age to improve fertility and pregnancy outcomes. While bariatric surgery has led to demonstrable improvements in fertility and pregnancy outcomes among obese women,9 pregnancy may place women at risk for internal hernia due to the increased intraabdominal pressure and anatomical distortion introduced by the enlarging gravid uterus.10 Single center studies on the actual incidence of Petersen’s Hernia in pregnant patients are scarce. A 2005 study utilized the Danish National Health Register to identify 23 women with confirmed internal hernias in pregnancy following a bariatric procedure.11 Additional studies reported on seven cases of pregnancy complicated by internal hernia after gastric bypass at a single academic center between 2011 to 2019.12 The reported median gestational age amongst these women was 25.6 weeks (range: 5–33 weeks), while the median time from LRYGB to pregnancy was four years (range: 1-7 years).13 All patients underwent operative reduction of the hernias, with six out of seven women needing a cesarean section at time of delivery.13
We present a case of small bowel herniation into Petersen’s space that occurred in the third trimester of pregnancy in a patient who had previously undergone LRYGB. This case is notable for an atypical presentation of internal hernia and delayed diagnosis.
A 29-year-old gravida 3 para 1 at 30 weeks gestation presented to Labor and Delivery Triage complaining of a one-day history of lower-back and bilateral flank pain. On evaluation she reported severe pain, rated 10 on a 10-point pain scale, that was referred to the left upper quadrant and was accompanied by intermittent nausea and vomiting; she denied fever, chills, and dysuria. She endorsed good fetal movement and denied leakage of fluid, abnormal vaginal discharge, vaginal bleeding, pelvic pressure, and contractions. She reported a history of obesity and Roux-en-Y bypass (RYGB) surgery six years prior to presentation.
On exam, the patient appeared to have moderate painful distress, was afebrile, had minimal tenderness upon palpation of her abdomen with no guarding or rebound, and had no costovertebral angle tenderness. A pelvic examination revealed no vaginal bleeding and a cervix that was closed and long. Sonographic evaluation of the fetus demonstrated a normal appearing fetus with normal growth, biophysical activity and adequate fluid. External fetal heart tracing was reactive and no contractions were recorded on the tocometer.
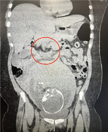
The patient was initially administered intravenous fluids and morphine. Laboratory studies and an ultrasound of the abdomen and kidneys were obtained to evaluate the patient’s flank pain; both were unremarkable. After several hours of monitoring, the patient endorsed no improvement in pain and non-contrast CT of the abdomen and pelvis was performed. Imaging was negative for nephrolithiasis and other renal pathology. Appendix appeared normal without signs of inflammation or enlargement. However, study was significant for a dilated loop of small bowel in the right mid abdomen, laterally, with significant adjacent mesenteric edema. There is swirling of mesenteric pedicle with no visualization of the superior mesenteric vein distal to the area of swirling and focal tapering of the superior mesenteric artery. Findings are suspicious for small bowel volvulus or internal hernia with concern for small bowel mesenteric/bowel ischemia, Figure 1. General Surgery consultation and evaluation advised immediate surgical management. The patient underwent diagnostic laparoscopy; an internal hernia was identified and reduced, and Petersen’s space was surgically closed. The patient’s postoperative course was unremarkable, and she underwent an uncomplicated scheduled repeat cesarean section at term.
Figure 1 There is a dilated loop of small bowel in the right mid abdomen, laterally with significant adjacent mesenteric edema. There is swirling of mesenteric pedicle with no visualization of the superior mesenteric vein distal to the area of swirling and focal tapering of the superior mesenteric artery.
Lower back pain is a common complaint during pregnancy that is usually attributable musculoskeletal origins rather than visceral etiology; or is masked as referred pain from underlying uterine contractions concerning for pre-term labor. Primary differentials of non-specific back and or abdominal pain in pregnancy typically include pre-term labor, pyelonephritis, renal calculi, cystitis, appendicitis, scoliosis, sciatica, and pressure from a gravid uterus.
Leading differentials for immediate evaluation include pre-term labor in pregnant patients presenting with abdominal pain. After initial evaluation, there was low concern for preterm labor in the setting of reassuring biophysical profile, reactive non-stress test, no contractions detected on tocometry, and a stable unchanged, closed and long cervix. Although there is low concern for preterm labor after the initial evaluation, the patient should have continuous maternal-fetal monitoring to evaluate for the onset of pre-term labor in the setting of persistent abdominal pain. Once the likelihood of preterm labor has been ruled out, alternative causes of persistent abdominal pain in pregnancy should be evaluated.
Differential diagnoses of persistent, nonspecific, diffuse abdominal pain may be attributed to nephrolithiasis, pyelonephritis, urinary tract infection, appendicitis, cholelithiasis and associated hepato-biliary conditions, pancreatitis, and possibly even bowel obstruction. In the setting of normal vital signs, afebrile, toleration of diet, normal bladder and bowel habits without dysuria, normal hematologic and hepatic panel; the differential diagnosis for infectious processes is decreased.
In persistent abdominal pain concerning for differential diagnosis presented above, alternative imaging should be obtained to evaluate and provide diagnosis. Preferred imaging in pregnancy is ultrasound, however CT, MRI, and contrast use, may be considered. Depending on gestational age and present clinical findings, a shared-decision making between provider, patient, and radiologist should be discussed regarding use of the CT, MRI, and contrast.
Providers should have a high suspicion for internal hernia when evaluating pregnant women with a history of LRYGB who present with acute abdominal pain13. Delayed diagnosis in these cases is associated with a high-risk of perinatal morbidity and mortality. The use of CT with or without contrast in pregnancy is controversial and should be considered on a case-by-case circumstance. If clinical suspicion for internal hernia is high, CT contrast may be preferential mode of imaging to provide better visualization of the bowel and anatomic space. MRI may be considered; while the diagnostic utility of MRI for the evaluation of LRYGB internal hernia is uncertain, case reports have described its use.14,15 If a high suspicion persists with inconclusive imaging, a low threshold to perform diagnostic and operative laparoscopy is advisable to reduce morbidity and mortality.16,17
After reviewing the pathophysiology of Petersen’s Hernia, many Obstetricians typically do not emphasize intra-abdominal pathology as primary differentials aside from those stated above. It is important to take a thorough surgical history for gravid patients who present with abdominal pain regardless of trimester and take into consideration possible complications of previous abdominal surgery, including bariatric surgery. A great emphasis is placed on prenatal care education and counseling in patients who underwent previous bariatric surgery, with regards to weight changes, nutrition supplementation, diet, and exercise. Likewise, Obstetricians and patients should be aware of possible causes for abdominal pain, and hernia complications that may arise during pregnancy, and should be precautioned and counseled appropriately.
Pregnant patients with severe abdominal or back pain, associated nausea and/or vomiting and a history of bariatric surgery should be considered high risk for Petersen’s hernia. Although not the forefront of initial primary differentials, prompt evaluation with appropriate imaging, and prompt surgical intervention should be performed. Antepartum, clinicians should be aware of possible common and uncommon complications after bariatric surgery, including Petersen’s Hernia.
None.
None.
Author declares there is no conflict of interest exists.
©2022 , et al. This is an open access article distributed under the terms of the, which permits unrestricted use, distribution, and build upon your work non-commercially.