Submit manuscript...
eISSN: 2377-4304

Obstetrics & Gynecology International Journal

Case Report Volume 15 Issue 4

Giant pelvic solitary fibrous tumor. Presentation of a rare case

Chrisostomos Sofoudis,1 Evgenia Charitaki,2 Konstantinos Alifieris,2 Spiros Delis2

11st Department of Obstetrics and Gynecology Elena Venizelou Maternal Hospital, Athens, Greece
2Department of Surgical Oncology Konstandopoulio General Hospital Athens, Greece

Correspondence: Dr. Chrisostomos Sofoudis MD, PhD (Athens), MPH, Post Doc fellow (Ioannina), 1st Department of Obstetrics and Gynecology Elena Venizelou Maternal Hospital, Athens, Greece

Received: August 16, 2024 | Published: August 29, 2024

Citation: Sofoudis C, Charitaki E, Alifieris K et al. Giant pelvic solitary fibrous tumor. Presentation of a rare case. Obstet Gynecol Int J. 2024;15(4):176-178. DOI: 10.15406/ogij.2024.15.00756

Download PDF

Abstract

Solitary fibrous tumors (STFs) consist a very rare and unique group of neoplasms throughout the entire human system. Basic histopathologic origin represents the mesenchymal tissue with slight exceptions.

Major incidence obtains the pleura with anatomic occupations especially in the limps, necks and gastrointestinal tracts.

Surgical dissection represents the gold standard of therapeutic strategy.

According to recent bibliography, only a few cases have been described arising from anatomic areas from mesentery and colon.

Aim of our study consists the presentation of such rare tumor group accompanied with assiduous diagnosis and therapeutic mapping.

Keywords: solid tumor, fibrous, surgical dissection

Introduction

Solitary fibrous tumors (SFTs) represent a rare variety of fibroblastic tumors arised in most of cases from mesenchymal tissues. All thought they can be localized mainly in anatomic areas such as thorax, neck, and abdominal retroperitoneal space, assiduous existence in colon consists very rare.1

Surgical dissection consists gold standard of optimal therapeutic mapping.

Despite benign origin and postoperative follow up, incidence of potential recurrence can be estimated about 60%.2

Predispositional factors could affect optimal therapeutic strategy represent size of the tumor, signs of intense vascularization, cystic degeneration and previous recurrences.

Such neoplasms obtain spindle cells, remaining most of cases asymptomatic until the size tumor can provoke episodes of abdominal pressure and pain, pressure of urine bladder with symptoms of urine retention and finally, colon pressure with potential bowel constipation.3

Mitotic areas, increased mitotic index (>4 mitotic Figures 15 per 10 high-power fields), and signs of tumor necrosis justify potential metaplastic and malignant transformation with different future therapeutic paths.

Figure 1 Enormous pelvic solitary fibrous tumor.

Figure 2 Enormous pelvic solitary fibrous tumor.

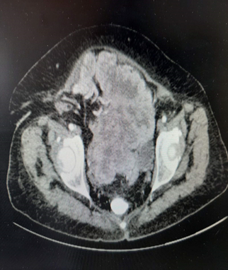
Figure 3 CT depiction of pelvic solitary fibrous tumor.

Figure 4 CT depiction of pelvic solitary fibrous tumor.

Figure 5 CT depiction of pelvic solitary fibrous tumor.

According to current bibliography only few cases have been presented with solitary fibrous tumor raised from mesentery and sigmoid colon.

Aim of our study consists assiduous depiction of such rare case followed with optimal therapeutic mapping and presentation of literature review.

Case

We present a case of 76-year-old female patient, (G2P2), with free atomic history, attended our Department, complaining of episodes of incomplete constipation and stool blood.

Pap smear revealed no signs of malignancy. After thorough physical examination, assiduous imaging findings and following laboratory examinations, presented crucial information concerning the clinical entity staging.

Abdominal CT revealed presence of enormous solid lesion with small lobular posterior line, which also bears cystic elements, necrosis and calcifications in its interior.

Formation diameter among 15,3X14,1X14,8 cm, obfuscating extended segments of descent colon and recto sigmoid which are in incomplete development, coming in contact with the uterus and bilateral adnexa, obfuscating them as well.

It also exerts pressure on the urinary tract. Other formations free of malignancy. Thorax CT did not reveal any pathological formations. Resuming all appropriate imaging findings, optimal therapeutic strategy reflected surgical dissection of the lesion and optimal staging. Due to size tumor, suprahypocephalic section entering the peritoneal cavity was performed.

Severe hemorrhagic tumor maximal diameter 17cm, with enormous collateral net. GIST tumor arising from sigmoid colon infiltrating segment of terminal ileum adjusting with ileocecal anastomosis.

Patient underwent sigmoidectomy with end colostomy and Hartman procedure. Small bowel resection of the involved ideal loop with side to side anastomosis was accomplished.

Histopathologic evaluation revealed clinical and immunmorphologically elements compatible with solitary fibrous tumor.

It is very difficult for specific clinical or histologic criteria to be established.

Molecular establishment for NAB2-STAT6 has been performed. Positivity of this mutation depicts assiduous diagnosis and proper therapeutic strategy. Meticulous follow up with Thorax and Abdominal CT did not reflect any signs of recurrence.

Three years after surgical dissection, patient diagnosed with febrile urine tract infection and episodes of abdominal pain. Results of urine tract cultivation revealed Ent. Faecium

Assiduous laboratory examinations revealed WBCs 21690, 84%PMNs, CRP 135. Urinary tract ultrasound reflected bilateral dilatation of urinary tract. Abdominal CT did not reflect signs of pathology.

After appropriate therapeutic mapping with IV antimicrobial agents (piperacillin-tazobactam and vancomycin), patient discharged in very good clinical condition.

Discussion

Solitary fibrous tumors (SFTs) depict a very rare clinical entity. Despite their clinical and imaging findings heterogeneity, in most of cases represent tumors of benign origin and prognostic value.4

Macroscopically, their diameter varies between 10 and 20 cm. Among all common characteristics, myxoid areas, diffuse fibrotic tissues and mast cells reflect cornerstones of proper diagnosis.5

Histologic characteristics of STFs depict tumors with hypo cellular and hyper cellular areas with diffuse stromal collagen and branching haemangiopericytoma.6

According to current bibliography, many clinical studies have been conducted in order to establish proper etiologic origin and predisposition factors, condition which direct affect ultimate therapeutic strategy. Tumor markers such as CD34 and Bcl-2 usually found in cases with STFs.

Additionally, expression of STAT6 reflects highly increased sensitivity and specificity of such cases, implying the significance of this marker, influencing further therapeutic pathways.7 After completion of essential preoperative imaging findings, treatment of choice represents surgical dissection of entire tumor mass.

As mentioned before, benign origin depicts majority of cases, signs such as extensive increases mitotic index, areas of necrosis and nuclear atypia implying potential metaplastic transformation and malignant evolution.

Many conducted studies suggest preoperatively, episodes of immunotherapy with agents such as imatinib in order to minimize the tumor diameter and potential metastatic capability.8 Statistical significant results concerning these preoperatively efforts are not being established.

Conclusion

Solitary fibrous tumor represents a rare clinical entity with the majority of cases reflecting benign follow up and patient’s quality of life.

Disciplinary approach seems mandatory in order to establish surgical penetration and dissection minimizing potential intraoperative or postoperative complications.

Acknowledgments

None.

Funding

None.

Conflicts of interest

All authors declare any financial interest with respect to this manuscript.

References

  1. Yang EJ, Howitt BE, Fletcher CDM, et al. Solitary fibrous tumor of the female genital tract: a clinic pathological analysis of 25 cases. Histopathology. 2018;72(5):749–759.
  2. Martin Broto J, Mondaza Hernandez JL, Mura DS, et al. A comprehensive review on solitary fibrous tumor: new insights for new horizons. Cancers (Basel). 2021;13(12):2913.
  3. Bridge JA, Fletcher CDM, Hogendoorn P, et al. World Health Organization (WHO) classification of tumors of soft tissue and bone. Pathology and genetics in extra pleural solitary fibrous tumor. In: Fletcher CDM, Bridge JA, Lee JC, editors. Lyon, France: IARC Press; 2013:80–83.
  4. Wingall OJ, Moskovic EC, Thway K, et al. Solitary fibrous tumors of the soft tissues: review of the imaging and clinical features with histopathologic coorelation. Am J Roentgenol. 2010;195(1):W55–W62.
  5. Mosquera JM, Fletcher CDM. Expanding the spectrum of malignant progression in solitary fibrous tumors: a study of 8 cases with a discrete anaplastic component-is the differentiated SFT? Am J Surg Pathol. 2009;33(9):1314–1321.
  6. Vy J, Hornick JL. Tumors with myxoid stroma. Practical soft tissue pathology: a diagnostic approach. 2nd edn. Philadelphia, PA: Elsevier; 2019:135–163.
  7. Val-Bernal JF, Mayorga M, Fernandez F, et al. Solitary fibrous tumor arising from the mesentery of adult patients. Report of two cases and review of the literature. Rom J Morphol Embryol. 2014;55(1):203–207.
  8. Soda H, Kainuma O, Yamamoto H, et al. Giant intrapelvic solitary fibrous tumor arising from mesorectum. Clin J Gastroenterol. 2010;3(3):136–139.
Creative Commons Attribution License

©2024 Sofoudis, et al. This is an open access article distributed under the terms of the, which permits unrestricted use, distribution, and build upon your work non-commercially.