Submit manuscript...
eISSN: 2377-4304

Obstetrics & Gynecology International Journal

Case Report Volume 10 Issue 3

Ovarian fibrothecoma - a diagnostic dilemma

Nikita Kumari,1 Bindu Bajaj2

1Attending Consultant at Sitaram Bhartia Institute of Science and Research, Ex Senior Resident at VMMC and Safdarjung Hospital, India
2Associate Professor at VMMC and Safdarjung Hospital, New Delhi, India

Correspondence: Nikita Kumari, Attending Consultant at Sitaram Bhartia Institute of Science and Research, Ex Senior Resident at VMMC and Safdarjung Hospital, New Delhi, India, Tel 9654251653

Received: May 27, 2019 | Published: June 13, 2019

Citation: Kumari N, Bajaj B. Ovarian fibrothecoma - a diagnostic dilemma. Obstet Gynecol Int J. 2019;10(3):207-209. DOI: 10.15406/ogij.2019.10.00445

Download PDF

Abstract

Background: The presentation of ovarian fibrothecoma is highly deceptive and it may be undiagnosed till histopathology reveals the actual diagnosis. Hence, the clinician must be aware of such cases which may present as a diagnostic dilemma.

Introduction: Ovarian fibrothecomas are rare ovarian neoplasm. We report a case where clinical presentation was highly deceptive and suggestive of malignant tumor. However, ascitic fluid cytology revealed absent malignant cells. On histopathological examination, it was diagnosed as benign fibrothecoma with cystic changes. Postoperative follow-up for about six months was uneventful.

Case: A 45 year old female presented with large abdominal lump of 20 weeks size associated with pain abdomen. She was admitted for management and evaluation. Hematological and biochemical parameters were normal. USG revealed a large multilocular, predominantly cystic lesion 20.9x9.6x11.4 cm in pelvis. CECT revealed ovarian cystadenocarcinoma left ovary with locoregional mass effect, mild ascites and suspicious metastasis to internal iliac lymph nodes. Hence panhysterectomy and omentectomy was performed as radiological and preoperative clinical diagnosis was malignant ovarian tumor. On gross examination, a well encapsulated, multinodular cystic tumor of left ovary about 17x14x7 cm was identified. Cut surface was mostly solid with few cystic areas. On microscopic examination, multiple sections showed spindle shaped cells in storiform and palisading pattern. No mitotic activity was identified. On special staining, it was positive for vimentin. Hence, final diagnosis came to be as benign fibrothecoma of ovary

Conclusion: The accurate preoperative diagnosis of ovarian fibrothecoma with cystic changes could have prevented the extensive surgical intervention such as bilateral salpingo- oopherectomy with hysterectomy.

Keywords: ovarian fibrothecoma, ascites, tumor

Introduction

Fibrothecomas of ovary constitute about 4% of all ovarian tumors. They represent a group of benign tumors arising in stroma and exhibit a morphological spectrum consisting of entirely fibroblasts and producing collagen (Fibromas) to those containing more plump spindle cells with lipid droplets (Thecomas). When a tumor contains mixture of these cells, they are termed as fibrothecomas. . Also, they have been reported to show myxoid change and degeneration. These tumors occur at all ages, but are more frequent during middle age.1

We report a case of ovarian mass with abdominal distension whose clinical presentation was highly deceptive and was clinically and radiologically diagnosed as malignant ovarian tumor. Hence the patient had to undergo complete staging laprotomy. MRI was not used as an imaging modality in this case which could have otherwise suggested fibrothecoma as a differential diagnosis.

Case summary

A 45 year old female presented to gynecology emergency with large abdominal lump of 20 weeks size with pain lower abdomen. Menstrual history was normal. General physical and systemic examination was normal. Local examination of the abdomen and pelvis revealed a hard mass of 15×10cm in midline arising from pelvis. Mild ascites was present. Hematological and biochemical parameters were within normal limits. Ca 125 was 21.3U/ml.

Ultrasonography revealed a large multilocular, predominantly cystic lesion of 20.9×9.6×11.4cm in pelvis with multiple retroperitoneal lymph nodes. B/L ovaries were not seen separately. CECT revealed ovarian cystadencarcinoma left ovary with locoregional mass effect, mild ascites and suspicious metastasis to internal iliac lymph nodes. Since radiological and preoperative clinical diagnosis was malignant ovarian tumor, the patient underwent total abdominal hysterectomy with B/L salpingo-oopherectomy and omentectomy.

On gross examination, a well encapsulated, multinodular cystic tumor of left ovary about 17×14×7cm was identified (Figure 1). Cut surface was mostly solid with few cystic areas. On cut section hemorrhagic fluid came out (Figure 2). Uterus, cervix, right ovary and both tubes were unremarkable.

Figure 1 Multinodular cystic tumor of left ovary.

Figure 2 Cut section hemorrhagic fluid.

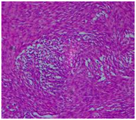
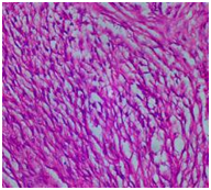
On microscopic examination, multiple sections showed spindle shaped cells arranged in storiform and palisading pattern. The cells were monomorphic with central nucleus. No mitotic activity could be identified (Figures 3 –5).

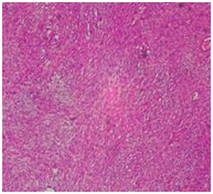
Tumor cells were diffusely positive for oil red O (Figure 6).

Figure 3 Multiple sections showed spindle shaped cells arranged in storiform pattern.

Figure 4 Multiple sections showed spindle shaped cells arranged in palisading pattern.

Figure 5 Cells were monomorphic with central nucleus.

Figure 6 Tumor cells were diffusely positive for oil red O.

On special staining, it was positive for Vimentin, which is a characteristic feature of ovarian fibrothecoma (Figure 7).

Figure 7 Tumor Characteristic feature of ovarian fibrothecoma.

Histopathology revealed as fibrothecoma left ovary. The cytology of ascitic fluid and omental biopsy was negative for malignancy. Postoperative course was uneventful. The patient is well and asymptomatic 6 months after surgery.

Discussion

Fibrothecoma are of gonadal stromal cell origin accounting for 3-4% of all ovarian tumors.2,3 They are unilateral3 in about 90% cases and are rarely malignant.4,5 The clinical presentation may be nonspecific such as pelvic and abdominal pain or distension, which was there in our case. It may be accompanied by Meig’s syndrome (ovarian fibroma, hydrothorax and ascites) and Basal cell nevus syndrome (bilateral ovarian fibroma, multiple basal cell carcinoma of skin, odontogenic keratocysts, etc). Our case diagnosed as fibrothecoma was associated with ascites only.

Some ovarian thecomas may be hormonally active and show estrogenic activity such as menstrual irregularities, amenorrhea, endometrial hyperplasia and endometrial carcinoma. In the present case no such abnormality was there. Grossly, fibrothecomas are usually round, oval or lobulated encapsulated hard gray white masses covered by intact ovarian serosa. Edema and cystic degeneration are relatively common2,4 which was there in the present case. Samanth et al.6 reported that fibrothecoma >10cm tend to be associated with myxoid change or degeneration. Also, discrepancy between arterial and venous and lymphatic drainage could lead to stromal edema.6

On CT scan, ovarian fibrothecomas may appear as a homogenous solid tumor with varying degrees of enhancement.7 In 79% of the cases the tumor appears as a solid mass with delayed accumulation of contrast medium, while in 21% of the cases the tumor is partly or mainly cystic thus making differential diagnosis from other ovarian masses, such as serous cystadenofibromas or even malignant tumors, difficult.8 The absence of arterial vessels and the absence or slight early uptake of contrast enhancement are characteristic signs and may be useful in considering the diagnosis of a fibrothecoma preoperatively.8

On MRI, fibrothecomas typically show predominantly low signal intensity on T2 weighted images.2 Also, scattered high signal areas may be present representing areas of cystic degeneration +/- oedema.

Differential diagnosis of fibrothecomas includes pedunculated and intraligamentous leiomyomas and other solid ovarian masses such as Brenner tumors, granulosa cell tumors and dysgerminomas.2,4,9 In the presence of extensive cystic degeneration, the fibrothecoma can be easily mistaken for a malignant ovarian tumor.9 Thus, an accurate preoperative diagnosis by MRI may prevent an excessive surgical intervention, especially if the patient is in younger age group.

Conclusion

Ovarian fibrothecomas represent an ovarian stromal neoplasm developing in a wide spectrum of clinical settings. Probably it is the most inaccurately diagnosed lesion of the female gonad, clinically as well as histologically.

Early diagnosis and surgical resection is the treatment of choice for ovarian fibrothecomas. The accurate preoperative diagnosis of ovarian fibrothecomas with cystic degeneration could have prevented the extensive surgical intervention such as bilateral salpingo-oophorectomy with hysterectomy. Tumorectomy is indicated for young patients. Radical surgery in terms of bilateral salpingo-oophorectomy is indicated for perimenopausal and menopausal patients and is associated with a good prognosis.

Acknowledgments

None.

Conflicts of interest

Author has no conflict of interest to declare.

References

Creative Commons Attribution License

©2019 Kumari, et al. This is an open access article distributed under the terms of the, which permits unrestricted use, distribution, and build upon your work non-commercially.