Submit manuscript...
eISSN: 2377-4304

Obstetrics & Gynecology International Journal

Literature Review Volume 13 Issue 1

Rituximab related non-infectious lung injury complicating treatment of severe TTP in pregnancy – literature review and case-report

Oxana Zarudskaya,1 Nauman Khurshid,3 Dani Zoorob,1 Megan Lutz2

1Department of Obstetrics and Gynecology, University of Toledo Medical Center, Toledo, Ohio, USA
2Department of Obstetrics and Gynecology, Promedica, Toledo, Ohio, USA
3Division of Maternal-Fetal Medicine of Toledo Hospital, Promedica, Toledo, Ohio, USA

Correspondence: Dani Zoorob, MD, Department of Obstetrics and Gynecology, University of Toledo College of Medicine and Life Sciences, Ohio, USA, 2124 N Cove Blvd, 3rd Floor (ObGyn Academic Offices), Toledo, OH, USA 43606, Tel (419) 291-3121

Received: February 01, 2022 | Published: February 14, 2022

Citation: Zarudskaya O, Khurshid N, Zoorob D, et al. Rituximab related non-infectious lung injury complicating treatment of severe TTP in pregnancy – literature review and case-report. Obstet Gynecol Int J. 2022;13(1):58‒63. DOI: 10.15406/ogij.2022.13.00626

Download PDF

Abstract

Background: Thrombotic thrombocytopenic purpura (TTP) in pregnancy is a rare but potentially life-threatening condition. Management of severe, refractory TTP during pregnancy is challenging and includes multidisciplinary approach. The prognosis of cases with a variety of hematological and autoimmune diseases, including TTP has changed profoundly after the rituximab therapy was introduced into clinical practice. However, adverse pregnancy outcomes associated with biological agents should be kept in mind and the decision to treat should be weighed by measurement of potential risks vs benefits.

Case report: We reported the first documented case of noninfectious lung toxicity in pregnancy related to rituximab use for TTP treatment. 26 y/o patient at 23 weeks gestation initially presented to ED secondary to numbness, headache, and slurred speech with negative brain imaging. Her laboratory findings revealed severe deficiency of platelets, hemoglobin and ADAMT13 activity. She underwent multiple therapeutic interventions including plasmapheresis, intravenous immunoglobulins (IVIG), prednisone, and eventually required more often hospitalizations. Ultimately, the decision was made to proceed with rituximab therapy. After the third infusion of rituximab, she developed non-infectious lung injury without evidence of SARS-CoV-2 or other infections, pulmonary edema, or pulmonary embolism. The maternal condition worsened acutely resulting in significant desaturation that required intubation and eventual emergent premature delivery at 31-weeks’ gestation via C-section.

Conclusion: Rituximab therapy for TTP management in pregnancy may be associated with significant adverse maternal-fetal outcomes. Risks and benefits of treatment should be discussed with each patient and during multidisciplinary communications. Physicians should maintain high index of suspicion for non-infectious lung injury associated with rituximab treatment in order to be able to diagnose this complication early and start treatment to avoid severe mortality and morbidity.

Keywords: case report, thrombotic thrombocytopenic purpura, pregnancy, rituximab, pulmonary edema, non-infectious lung injury

Introduction

Thrombotic thrombocytopenic purpura (TTP), a potentially incurable clinical syndrome, belongs to a group of rare heterogenous disorders called thrombotic microangiopathies (TMAs), that are characterized by circulating blood clots in arterioles and capillaries resulting in thrombocytopenia, microangiopathic hemolytic anemia and systematic injury of endothelial cells.1,2 TTP is primarily instigated by autoantibodies cleaving protein ADAMTS13 that is required in the degradation of ultra large von Willebrand multimers secreted from the vascular endothelial cell.3–6

Typical TTP cases have severe deficiency of ADAMT13 and subsequently high plasma concentration of ultra large (>20,000 kDa) multimers of von Willebrand factor.7 Currently, the diagnosis of TTP in patients has been defined by the measurement of ADAMTS13 using both Fluorescence Resonance Energy Transfer (FRET assay) and quantitative immunoblotting (IB assay) methods.8

TTP is a very rare complication during pregnancy and ensues in 1 out of 25,000 pregnancies;9 whereas, the incidence of suspected TTP syndrome in the general / non-pregnant population has been reported as 11 cases per million.10 Most TTP cases in the general population are acquired and are more prevalent in adults. In contrast, inherited TTP is very rare and mostly occurs in newborns. It is unclear what triggers acquired and inherited TTP; however, the National Heart, Lung and Blood Institute (NIH, USA) defined some factors that may play a role in acquired TTP include, disease conditions (HIV, lupus, infections, pregnancy and cancer), medical procedures (surgery, blood and marrow stem cell transplant), medicines (ticlopidine, cyclosporine, clopidogrel, hormone therapy/estrogens) and health products (quinine/tonic water substances) (https://www.nhlbi.nih.gov). Pregnancy is one of the most common risk factors for acute episodes of TTP.9 The majority of TTP cases occur in the third trimester or during puerperium; whereas, only 10% occur in the 1st trimester.9,11

Currently, therapeutic plasma exchange (TPE) is the mainstay of treatment in pregnancy associated TTP cases; however, different therapeutic drugs (ticlopidine & clopidogrel) and chemotherapeutic drugs (rituximab & eculizumab) are being used in TTP cases.1 Currently, there is insufficient data on TTP management in obstetric population.12,13 Untreated TTP during pregnancy is associated with >90% chance of patient mortality.14 Therefore, pregnancies complicated by TTP are high risk and require a complex multidisciplinary approach. More studies and more experiences are needed in this area to improve maternal-fetal outcomes.

Our case report is the first to describe a non-infectious lung injury from rituximab therapy for TTP in pregnancy. Our case describes a rare case of pregnancy complicated by severe refractory TTP diagnosed in the second trimester of pregnancy, requiring repetitive therapeutic plasmapheresis, intravenous immunoglobulins (IVIG), prednisone and particularly three rituximab infusions, which resulted in non-infectious lung injury, leading to premature delivery via emergent C-section at 31 weeks of pregnancy. Both maternal and fetal outcomes were favorable considering the severity and complex character of pathology.

Case report

Our patient is a 26-year-old G5P3013 who initially presented to the emergency department at 22 weeks and 5 days gestational age with increased bruising, numbness involving her torso and tongue, headache, and slurred speech. Her past medical history is complicated by systemic lupus erythematous, right carpal tunnel syndrome, immune thrombocytopenic purpura, and iron deficiency anemia. For ITP treatment thus far, the patient was receiving IVIG, prednisone 60mg daily and high-dose steroids 1 milligram/kilogram. Upon presentation her hemoglobin was 6.2g/dL and her platelets were 5x10^9/L. She was found to have the following lupus antibodies: Anti Smith, Anti SSA and Anti SSB. ADAMTS13 activity was decreased, confirming the diagnosis of new onset TTP. Due to chronic steroid use, she required steroid-induced diabetes of pregnancy management and Pneumocystis prophylaxis. Ultimately, this patient’s TTP, as managed by hematology oncology, was refractory to oral prednisone 60 mg daily, daily plasmapheresis, IVIG 35g, solumedrol 60 mg IV Q8 hours, fresh frozen plasma, platelet transfusions, and cyclosporine 150 mg bid. The multi-disciplinary decision with hematology oncology and maternal fetal medicine was made to proceed with weekly rituximab, which was initiated at 29 weeks of gestation. Five days after her second infusion, she experienced right ear and jaw pain, sore neck, and had a maximum temperature of 38.0 C, for which she received IV vancomycin and cefepime. SARS-COV-2 testing was negative. Blood, streptococcus, and urine cultures were negative. Respiratory viral panel was negative. One week later, she received her third rituximab infusion, during which she experienced shortness of breath, upper abdominal and back pain, tachycardia and tachypnea. The rituximab infusion was slowed to a rate of 50 ml/hr for one hour, then increased to 100 ml/ hr, per consultation with hematology oncology. However, upon restarting at 100 ml/hr, she experienced severe back pain refractory to IV medicines and the infusion was stopped. Twelve hours later, she developed acute respiratory distress, requiring BiPAP and ICU admission, and broad-spectrum IV antibiotics were continued for presumed hospital acquired pneumonia. WBC was normal. BNP 809, lactate 3.5, procalcitonin was 3.44, D-Dimer was 1083k. Her arterial blood gases showed adequate oxygenation but hypercapnia which was concerning for the risk of developing fetal acidemia. Serial chest x-ray demonstrated worsening appearance of the chest with multiple areas of consolidation in the right lung, possibly multilobar pneumonia. She then required intubation due to decreasing oxygen saturation, after which point the fetus developed minimal variability with recurrent variable decelerations requiring emergency primary low transverse cesarean section. This was performed under general anesthesia at 31 weeks and 3 days. Repeat SARS-COV-2 testing was negative. Once stable after delivery, CT angiogram was performed ruling out pulmonary embolism. She met criteria for acute lung injury based on bilateral pulmonary infiltrates and PaO2/FiO2 <300 in the absence of left atrial hypertension. She was extubated POD#2, experienced ICU delirium in her postoperative course, and was discharged POD# 7 in stable condition. She declined contraceptive planning during and after her pregnancy, but ultimately did proceed with IUD placement at her 6-week postpartum visit.

Discussion

This case report is the first to describe the clinical outcomes of a patient with refractory TTP during pregnancy that underwent rituximab therapy resulting in the severe non-infectious lung injury that required emergent delivery at 31 weeks of pregnancy.

The prognosis of cases with a variety of hematological and autoimmune diseases has been changed profoundly after the rituximab therapy was introduced in clinical practices.15,16 In previous studies, thrombotic thrombocytopenic purpura during pregnancy was associated with 80% of maternal and fetal mortality rate.17,18 Before the advent plasma therapy, the case-fatality rate reported in clinical series was near 100% until the 1960.17 In another study, approximately 10-25% of patients with TTP cases are pregnant women, suggesting that pregnancy is an efficient risk factor for precipitating the appearance or presentation of TTP and showing an interrelationship between pregnancy and TTP.7,19 Furthermore, pregnancy characterizes a hypercoagulable disorder due to an increase of coagulation factors as well as the reduction of fibrinolysis.5,19

Rituximab is a chimeric anti-CD20 monoclonal B cell-depleting antibody designated for acute hematologic malignancies and autoimmune diseases treatment.20 It has additionally been studied in randomized controlled trials, and approved as drug category C by Food and Drug Administration (FDA, USA) classification for treatment of autoimmune diseases, including systemic lupus erythematosus (SLE), idiopathic thrombocytopenia purpura (ITP), thrombotic thrombocytopenia (TTP), and multiple sclerosis (MS).20 The estimated median terminal elimination half-life of rituximab is 18-22 days. The active drug has been detected in peripheral blood beyond 24 weeks after the last infusion in some patients.21 Peripheral B-cells remain depleted for 6 months after infusion; however, B-cell reconstitution may not occur after years of followup.22,23 Except in instances of potentially life-threatening disease occurring during an established pregnancy, all persons of childbearing potential are strongly advised to avoid pregnancy for 12 months after therapy.20

Treatment with rituximab could be considered in situations when life-threatening illnesses are diagnosed or relapse during an established pregnancy and when benefits are outweighing potential risks of administration of rituximab. Risks described and associated with rituximab treatment in pregnancy include preterm delivery, chronic medical conditions and rare congenital malformation.24 Chakravarty et al.,24 described outcomes from 231 reported pregnancies with maternal or paternal rituximab exposure, in which most pregnancies resulted in uncomplicated live births with preconceptional or antepartum exposure to rituximab.24 The rate of preterm delivery was found to be higher than in general population (19% vs 10-12%)25 but may be similar to the rates reported for the women with certain chronical medical conditions.20,26 Two congenital malformations (2.2%)24 were reported after rituximab exposure (club foot in an infant from set of twins, and a full term singleton with a ventricular septal defect, patent foramen ovale and patent ductus arteriosus) which is consistent with the rate seen in the general obstetrics population on the official website of Centers for Disease Control and Prevention, Nutritional center on birth defects and developmental disabilities (www.cdc.gov/ncbddd/bd/faq1.htm#chanceofBD). In addition, it is important to keep in mind that underlying pregnancy conditions significantly affect pregnancy outcomes and may make it difficult to interpret consequences of antenatal medical exposure.20,21,26–29 Literature review of maternal complications associated with antepartum rituximab treatment presented in Table 1.

Authors, year

Included pregnant

Indications for Rituximab treatment

Comedications

Maternal complications

Azim et al., 2010

n=7

Lymphoma (NHL 6, follicular 1)

Chemotherapy for patient with NHL

NR

Burnette et al., 2014

n=1

Primary CNS lymphoma

Dexamethasone

None

Daver et al.,
2013

n=1

DLBCL

Prednisolone, cladribine

None

Decker et al.,
2006

n=1

DLBCL

Metoclopramide

None

Kimby et al.,
2004

n=1

DLBCL

NR

None

Lee et al., 2014

n=1

DLBCL

Part of R-CHOP regimen

None

Mandal et al.,
2014

n=1

DLBCL

Part of R-CHOP regimen

None

Perez et al., 2012

n=1

Primary mediastinal large
B cell lymphoma

Part of R-CHOP regimen

None

Rey et al., 2009

n=1

DLBCL

Part of R-CHOP regimen

None

Chakravarty et al., 2011

n=64

Lymphoma, RA, SLE, ITP, MS, TTP, Castleman disease

Cyclophosphamide, vincristine, doxorubicin, methotrexate,
corticosteroids, azathioprine, fondaparinux

SAB 11, TAB 15

Abisror et al.,
2015

n=1

Lupus, hx of fetal loss

ASA, hydroxychloroquine, prednisone, LMWH, IVIG

Fetal demise 21week, hyperemesis gravidarum

Gall et all., 2010

n=1

ITP

Corticosteroids, IVIG,
splenectomy

None

Mariampillai et al., 2016

n=1

TTP

Decadron

None

Martinez-Martinez et al., 2013

n=1

ITP

Methylprednisolone,
azathioprine

None

Ojeda-Urbine et al., 2006

n=1

Autoimmune hemolytic anemia

NR

None

Fionan et al.,2020

n=1

ITP

none

None

Puja et al., 2019

n=1

Myositis

Prednisolone

None

Harris et al., 2018

n=1

ANCA associated vasculitis

Methylprednisolone and prednisone

None

Pefanis et al.,
2020

n=1

ANCA associated vasculitis

Prednisolone

None

Sica et al., 2019

n=1

NHL

 

None

Nagata et al.,
2020

n=1

APL

IVIG

None

Holden et al.,
2020

n=1

Minimal change nephropathy

 

None

Munger et al.,
2019

n=1

Neuromyelitis Optica

Methylprednisolone, plasma exchange

None

Padberg et al., 2017

n=1

DLBCL

R-CHOP

None

Table 1 Maternal complications associated with antepartum Rituximab treatment. Review of literature
NR, non reported; ITP, idiopathic thrombocytopenic purpura; TTP, thrombotic thrombocytopenic purpura; LMWH, low molecular weight heparin; IVIG, intravenous immunoglobulin; ASA, acetylsalicylic acid; RA, rheumatoid arthritis; SLE, systemic lupus erythematosus; MS, multiple sclerosis; DLBCL, diffuse large B-cell lymphoma; CNS, central nervous system; NHL, non-Hodgkin lymphoma; SAB, spontaneous abortion; TAB, therapeutic abortion

In the product insert, rituximab products can cause severe, including fatal, infusion-related reactions. Severe reactions typically occurred during the first infusion with time to onset of 30–120 minutes. Rituximab product-induced infusion-related reactions and sequelae include urticaria, hypotension, angioedema, hypoxia, bronchospasm, pulmonary infiltrates, acute respiratory distress syndrome, myocardial infarction, ventricular fibrillation, cardiogenic shock, anaphylactoid events, or death (www.pfizerpro.com/product/ruxience). Although, the worldwide reported rate of potential rituximab-induced lung injury is less than 0.01-0.03% in >0.54 million cases.22,23,29

The outcomes of the present case report are supported by a systematic review that included 121 non-pregnant patients from 21 clinical trials, who developed non-infectious pulmonary toxicity or rituximab-associated interstitial lung diseases.16 The mean and median number of cycles of rituximab was four. The time of onset from the last rituximab infusion until symptom development or relevant abnormal radiological changes vary from 0-158 days. Abnormal radiological findings were similar in all patients, with diffuse bilateral lung infiltrates apparent on chest X-ray and/or thoracic CT. Hypoxemia and abnormal functional tests (diffusion capacity deficit and restrictive ventilatory pattern) were seen in all cases. In 18 cases rituximab associated non-infectious lung injury was fatal.16 Another case-series described rituximab induced interstitial lung disease (R-ILD) that manifested as dyspnea, fever and dry cough without clear evidence of infection during therapy of non-Hodgkin’s lymphoma.30 The median number of cycles to presentation of R-ILD was three infusions. In this case-series, one out of sixteen patients required mechanical ventilation and succumbed to interstitial lung disease.30

In a retrospective analysis, interstitial pneumonitis developed in 13 out of 90 cases treated with rituximab+ cyclophosphamide+ hydroxy daunorubicin+ oncovin and prednisolone (R-CHOP); whereas, none occurred in 105 cases treated with CHOP only.31 Consequently, it is apparent that pulmonary complications have been reported more frequently in rituximab -containing chemotherapy treatments. Furthermore, reported pulmonary complications due to rituximab therapy are hypersensitivity pneumonitis, pulmonary fibrosis, alveolar hemorrhage, acute respiratory distress syndrome (ARDS), interstitial pneumonitis and organizing pneumonia.22,32

Our case report is the first to document non-infectious lung injury after rituximab therapy for TTP in pregnancy. More information is needed to understand the frequency of this reaction in pregnant women. We also reported our case to the FDA MAUDE database. In our case report, each rituximab infusion was tolerated progressively less and after the third infusion, our patient developed the non-infectious lung injury with hypoxic hypercapnic respiratory failure necessitating intubation and emergent preterm delivery. Decision for rituximab induction therapy was made secondary to severe disease manifestation refractory to treatment and failure in recovery after first-line therapy with multiple plasmapheresis, IVIG, prednisolone and cyclosporin. In cases of TTP refractory to first line therapies, both hematology and obstetric teams need to be aware of side effects of rituximab. A multidisciplinary discussion should occur regarding the timing of initiation of therapy in relation to drug risks and benefits, particularly aiming to start therapy after fetal viability when possible. If intolerance of the drug is noted in pregnancy, a multidisciplinary discussion should occur to again evaluate risks and benefits of the drug, with careful consideration about continuation of rituximab, as maternal and fetal risks can be severe. The proposed logistic of management of TTP during pregnancy presented in flow diagram (Table 1).33–45

Conclusion

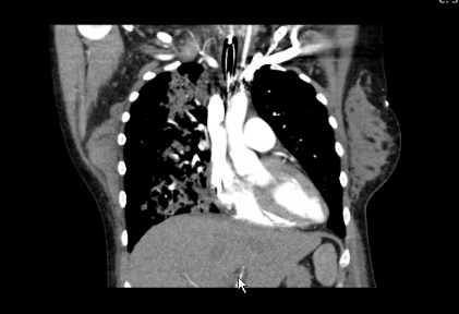
Pulmonary complication due to rituximab therapy in TTP management during pregnancy is rare but potentially life threatening for both mother and fetus. Management of severe and refractory TTP during pregnancy is challenging and requires a multidisciplinary approach. Rituximab therapy with potential serious maternal-fetal risks should be carefully chosen during pregnancy when benefits outweigh potential risks. Non-infectious lung injury should be considered among other differential diagnoses in any patient who develops respiratory symptoms or new radiographic changes while receiving this biological agent. As the symptoms are nonspecific at presentation, physicians should maintain a high index of suspicion to diagnose this complication at an early stage and start treatment to avoid severe morbidity and potential mortality (Figure 1) (Figure 2).

Figure 1 Bedside X-ray demonstrating worsening appearance of the chest with multiple areas of consolidation in the right lung, possibly multilobar pneumonia.

Figure 2 Chest CTA: Multifocal opacities most notably right upper lobe consistent with acute lung injury in the absence of pneumonia and pulmonary embolism. Small pleural effusions, right greater than left.

Acknowledgments

None.

Authors’ contributions

OZ literature search and writing manuscript, ML conceive idea, writing and editing manuscript, DZ writing manuscript, NK writing and editing manuscript.

Funding

All listed authors received no funding and have nothing to disclose.

Conflicts of interest

Authors had no conflict of interest.

References

  1. Saha M, McDaniel JK, Zheng XL. Thrombotic thrombocytopenic purpura: pathogenesis, diagnosis and potential novel therapeutics. Journal of Thrombosis and Haemostasis. 2017;15(10):1889–1900.
  2. Yordanova M, Gaidarova M. Thrombotic microangiopathies. Pediatriya. 2019.
  3. Shenkman B, Einav Y. Thrombotic thrombocytopenic purpura and other thrombotic microangiopathic hemolytic anemias: Diagnosis and classification. Autoimmunity Reviews. 2014;13(4-5):584–586.
  4. Shah N, Rutherford C, Matevosyan K, et al. Role of ADAMTS13 in the management of thrombotic microangiopathies including thrombotic thrombocytopenic purpura (TTP). Br J Haematol. 2013;163(4):514–519.
  5. Nikolaou M, Karakantza M, Adonakis G, et al. A case of severe ADAMTS13 deficiency presenting as thrombotic thrombocytopenic purpura in pregnancy. Med Pregl. 2012;65(9-10):436–439.
  6. Vesely SK, George JN, Lämmle B, et al. ADAMTS13 activity in thrombotic thrombocytopenic purpura-hemolytic uremic syndrome: Relation to presenting features and clinical outcomes in a prospective cohort of 142 patients. Blood. 2003;102(1):60–68.
  7. Gasparri ML, Bellati F, Brunelli R et al. Thrombotic thrombocytopenic purpura during pregnancy versus imitator of preeclampsia. Transfusion. 2015;55(10):2516–518.
  8. Page EE, Kremer Hovinga JA, Terrell DR, et al. Thrombotic thrombocytopenic purpura: Diagnostic criteria, clinical features, and long-term outcomes from 1995 through 2015. Blood Adv. 2017;1(10):590–600.
  9. Sikka P, Chopra S, Aggarwal N, et al. Thrombotic thrombocytopenic purpura in the first trimester of pregnancy. Asian J Transfus Sci. 2013;7(1):79–80.
  10. Terrell DR, Williams LA, Vesely SK, et al. The incidence of thrombotic thrombocytopenic purpura-hemolytic uremic syndrome: All patients, idiopathic patients, and patients with severe ADAMTS-13 deficiency. J Thromb Haemost. 2005;3(7):1432–1436.
  11. Rozdzinski E, Hertenstein B, Schmeiser T, et al. Thrombotic thrombocytopenic purpura in early pregnancy with maternal and fetal survival. Ann Hematol. 1992;64(5):245–248.
  12. Fyfe-Brown A, Clarke G, Nerenberg K, et al. Management of pregnancy-associated thrombotic thrombocytopenia purpura. Am J Perinatol Reports. 2012;3(1):45–50.
  13. Michael M, Elliott EJ, Ridley GF, et al. Interventions for haemolytic uraemic syndrome and thrombotic thrombocytopenic purpura. Cochrane Database of Systematic Reviews. 2009;2009(1):CD003595.
  14. George JN. How I treat patients with thrombotic thrombocytopenic purpura: 2010. Blood. 2010;116(20):4060–4069.
  15. Sibilia J, Gottenberg JE, Mariette X. Rituximab: A new therapeutic alternative in rheumatoid arthritis. Joint Bone Spine. 2008;75(5):526–532.
  16. Hadjinicolaou AV, Nisar MK, Parfrey H, et al. Non-infectious pulmonary toxicity of rituximab: A systematic review. Rheumatology. 2012;51(4):653–662.
  17. Amorosi EL, Ultmann JE. Thrombotic thrombocytopenic purpura: Report of 16 cases and review of the literature. Medicine (United States). 1966;45(2):139–160.
  18. Shamseddine A, Chehal A, Usta I, et al. Thrombotic thrombocytopenic purpura and pregnancy: report of four cases and literature review. Journal of Clinical Apheresis. 2004;19(1):5–10.
  19. George JN. The association of pregnancy with thrombotic thrombocytopenic purpura-hemolytic uremic syndrome. Curr Opin Hematol. 2003;10(5):339–344.
  20. Clowse MEB. Lupus activity in pregnancy. Rheumatic Disease Clinics of North America. 2007;33(2):237–252.
  21. Mecacci F, Pieralli A, Bianchi B, et al. The impact of autoimmune disorders and adverse pregnancy outcome. Seminars in Perinatology. 2007;31(4):223–236.
  22. Kimby E. Tolerability and safety of rituximab (MabThera®). Cancer Treat Rev. 2005;31(6):456–473.
  23. Lee Y, Kyung SY, ChoiSJ, et al. Two cases of interstitial pneumonitis caused by rituximab therapy. Korean J Intern Med. 2006;21(3):183–186.
  24. Chakravarty EF, Murray ER, Kelman A, et al. Pregnancy outcomes after maternal exposure to rituximab. Blood. 2011;117(5):1499–506.
  25. Muglia LJ, Katz M. The enigma of spontaneous preterm birth. New England Journal of Medicine. 2010;362(6):529–535.
  26. Golding A, Haque UJ, Giles JT. Rheumatoid arthritis and reproduction. Rheumatic Disease Clinics of North America. 2007.
  27. Bruzzese V, Pepe J. Unexpected and persistent depletion of B lymphocytes CD20 following a minimum dose of anti-CD20 antibody (Rituximab). Reumatismo. 2011;61(4):306–308.
  28. De Man YA, Johanna MWH, Hugo van der H, et al. Association of higher rheumatoid arthritis disease activity during pregnancy with lower birth weight: Results of a national prospective study. Arthritis Rheum. 2009;60(11):3196–3206.
  29. Keir GJ, Toby MM, Damien M, et al. Rituximab in severe, treatment-refractory interstitial lung disease. Respirology. 2014;19(3):353–359.
  30. Krishnaswamy UM, Maka VV, Subramanian M, et al. Rituximab induced interstitial lung disease in patients with non-hodgkin’s lymphoma: a clinical study of six cases and review of the literature. Lymphoma. 2014.
  31. Ennishi D, Terui Y, Yokoyama M, et al. Increased incidence of interstitial pneumonia by CHOP combined with rituximab. Int J Hematol. 2008;87(4):393–397.
  32. Lioté H, Lioté F, Séroussi B, et al. Rituximab-induced lung disease: A systematic literature review. European Respiratory Journal. 2010;35:681–687.
  33. Hamasaki K, Sattar A, Zarlasht F, et al. Systemic lupus erythematosus and thrombotic thrombocytopenic purpura: A case report and literature review. Clin Rheumatol. 2003;25;17:782–787.
  34. Lu TYT, Kristine PNg, Geraldine C, et al. A retrospective seven-year analysis of the use of B cell depletion therapy in systemic lupus erythematosus at university college london hospital: The first fifty patients. Arthritis Care Res. 2009;61(4):482–487.
  35. Thurlings RM, Teng O, Vos K, et al. Clinical response, pharmacokinetics, development of human anti-chimaeric antibodies, and synovial tissue response to rituximab treatment in patients with rheumatoid arthritis. Ann Rheum Dis. 2010;69(2):409–412.
  36. Das G, Damotte V, Gelfand JM, et al. Rituximab before and during pregnancy: A systematic review, and a case series in MS and NMOSD. Neurol Neuroimmunol Neuroinflamm. 2018;5(3):e453.
  37. Donohoe F, Higgins M, Higgins S, et al. Rituximab - A novel therapy for severe ITP in pregnancy: A case report. Obstet Med. 2019;12(4):196–198.
  38. Mehta P, Dorsey-Campbell R, Dassan P, et al. Difficult case: rituximab in anti-SRP antibody myositis in pregnancy. Pract Neurol. 2019;19(5):444–446.
  39. Harris C, Marin J, Beaulieu MC. Rituximab induction therapy for de novo ANCA associated vasculitis in pregnancy: a case report. BMC Nephrol. 2018;19(1):152.
  40. Pefanis A, Williams DS, Skrzypek H, et al. A case of ANCA-associated vasculitis presenting de novo in pregnancy, successfully treated with rituximab. Obstet Med. 2020;13(1):41–44.
  41. Sica A, Vitiello P, Papa A, et al. Use of rituximab in NHL malt type pregnant in i° trimester for two times. open med (Wars). 2019;14:757–760.
  42. Nagata M, Kaneko K, Kohno C, et al. A case of successful pregnancy following multidrug treatment including rituximab and intravenous immunoglobulin for primary antiphospholipid antibody syndrome refractory to conventional treatment. Mod Rheumatol Case Rep. 2020;4(1):47–50.
  43. Holden F, Bramham K, Clark K. Rituximab for the maintenance of minimal change nephropathy - A report of two pregnancies. Obstet Med. 2020;13(3):145–147.
  44. Munger KC, Samkoff LM. Initiation of rituximab therapy for new onset neuromyelitis optica spectrum disorder during pregnancy. Mult Scler Relat Disord. 2020;37:101442.
  45. Padberg S, Mick I, Frenzel C, et al. Transient congenital dilated cardiomyopathy after maternal R-CHOP chemotherapy during pregnancy. Reprod Toxicol. 2017;71:146–149.
Creative Commons Attribution License

©2022 Zarudskaya, et al. This is an open access article distributed under the terms of the, which permits unrestricted use, distribution, and build upon your work non-commercially.